Revision 1

#36549

Store at -20C

CST Logo
Orders:

877-616-CELL (2355)

[email protected]

Support:

877-678-TECH (8324)

3 Trask Lane | Danvers | Massachusetts | 01923 | USA

For Research Use Only. Not for Use in Diagnostic Procedures.

Applications:
W, IHC-P

Reactivity:
H

Sensitivity:
Endogenous

MW (kDa):
100-140

Source/Isotype:
Rabbit IgG

UniProt ID:
#P30203

Entrez-Gene Id:
923

Product Usage Information

This product is the carrier free version of product #40623. All data were generated using the same antibody clone in the standard formulation which contains BSA and glycerol.

This formulation is ideal for use with technologies requiring specialized or custom antibody labeling, including fluorophores, metals, lanthanides, and oligonucleotides. It is not recommended for ChIP, ChIP-seq, CUT&RUN or CUT&Tag assays. If you require a carrier free formulation for chromatin profiling, please contact us. Optimal dilutions/concentrations should be determined by the end user.

BSA and Azide Free antibodies are quality control tested by size exclusion chromatography (SEC) to determine antibody integrity.

Formulation

Supplied in 1X PBS (10 mM Na2HPO4, 3 mM KCl, 2 mM KH2PO4, and 140 mM NaCl (pH 7.8)). BSA and Azide Free.

For standard formulation of this product see product #40623

Storage

Store at -20°C. This product will freeze at -20°C so it is recommended to aliquot into single-use vials to avoid multiple freeze/thaw cycles. A slight precipitate may be present and can be dissolved by gently vortexing. This will not interfere with antibody performance.

Specificity/Sensitivity

CD6 (E9Y7Y) Rabbit Monoclonal Antibody (BSA and Azide Free) recognizes endogenous levels of total CD6 protein.

Source / Purification

Monoclonal antibody is produced by immunizing animals with recombinant protein specific to the amino terminus of human CD6 protein.

Background

T cell differentiation antigen CD6 is a cell adhesion molecule expressed on immature thymocytes and mature T cells, and has also been detected on a subset of B cells and NK cells within the immune system (1-4). CD6 mediates cell-cell interactions through its binding partner CD166/ALCAM (2), and contributes to the formation and maturation of the immunological synapse (3,4). CD6 functions as a co-stimulatory receptor, promoting T cell activation and proliferation through the TCR/CD3 complex signaling cascade (3-6). Studies have shown CD6 can be glycosylated (7), hyperphosphorylated on serine and threonine residues (8), and phosphorylated on tyrosine residues (6,9), each of which can differentially affect the function and signaling of this molecule. CD6 also functions as a calcium-dependent pattern receptor that binds and aggregates Gram-positive and Gram-negative bacteria. In response to lipopolysaccharide, CD6 mediates activation of the inflammatory response and secretion of pro-inflammatory cytokines (10).

Species Reactivity

Species reactivity is determined by testing in at least one approved application (e.g., western blot).

Applications Key

W: Western Blotting IHC-P: Immunohistochemistry (Paraffin)

Cross-Reactivity Key

H: Human

Trademarks and Patents

Cell Signaling Technology is a trademark of Cell Signaling Technology, Inc.

SignalStain is a registered trademark of Cell Signaling Technology, Inc.

All other trademarks are the property of their respective owners. Visit cellsignal.com/trademarks for more information.

Limited Uses

Except as otherwise expressly agreed in a writing signed by a legally authorized representative of CST, the following terms apply to Products provided by CST, its affiliates or its distributors. Any Customer's terms and conditions that are in addition to, or different from, those contained herein, unless separately accepted in writing by a legally authorized representative of CST, are rejected and are of no force or effect.

Products are labeled with For Research Use Only or a similar labeling statement and have not been approved, cleared, or licensed by the FDA or other regulatory foreign or domestic entity, for any purpose. Customer shall not use any Product for any diagnostic or therapeutic purpose, or otherwise in any manner that conflicts with its labeling statement. Products sold or licensed by CST are provided for Customer as the end-user and solely for research and development uses. Any use of Product for diagnostic, prophylactic or therapeutic purposes, or any purchase of Product for resale (alone or as a component) or other commercial purpose, requires a separate license from CST. Customer shall (a) not sell, license, loan, donate or otherwise transfer or make available any Product to any third party, whether alone or in combination with other materials, or use the Products to manufacture any commercial products, (b) not copy, modify, reverse engineer, decompile, disassemble or otherwise attempt to discover the underlying structure or technology of the Products, or use the Products for the purpose of developing any products or services that would compete with CST products or services, (c) not alter or remove from the Products any trademarks, trade names, logos, patent or copyright notices or markings, (d) use the Products solely in accordance with CST Product Terms of Sale and any applicable documentation, and (e) comply with any license, terms of service or similar agreement with respect to any third party products or services used by Customer in connection with the Products.

Orders: 877-616-CELL (2355) [email protected] Support: 877-678-TECH (8324) [email protected] Web: cellsignal.com
For Research Use Only. Not for Use in Diagnostic Procedures.

Revision 1

Cell Signaling Technology Logo
Western blot analysis of extracts from HuT 102, human CD4+ T cells, and HeLa cells using CD6 (E9Y7Y) Rabbit mAb (upper), and β-Actin (D6A8) Rabbit mAb #8457 (lower). CD4+ T cells were purified from human blood and stimulated for 9 days using beads coated with CD3 and CD28 antibodies in the presence of human interleukin-2 (hIL-2) #8907 (6.7 ng/ml). Data were generated using the standard formulation of this product.
Western Blotting Image 1: CD6 (E9Y7Y) Rabbit Monoclonal Antibody (BSA and Azide Free)
Immunohistochemical analysis of paraffin-embedded human ductal breast carcinoma using CD6 (E9Y7Y) Rabbit mAb. Data were generated using the standard formulation of this product.
Immunohistochemistry Image 1: CD6 (E9Y7Y) Rabbit Monoclonal Antibody (BSA and Azide Free)
Immunohistochemical analysis of paraffin-embedded Jurkat cell pellet (left, positive) or 293T cell pellet (right, negative) using CD6 (E9Y7Y) Rabbit mAb. Data were generated using the standard formulation of this product.
Immunohistochemistry Image 2: CD6 (E9Y7Y) Rabbit Monoclonal Antibody (BSA and Azide Free)
Orders: 877-616-CELL (2355) [email protected] Support: 877-678-TECH (8324) [email protected] Web: cellsignal.com
For Research Use Only. Not for Use in Diagnostic Procedures.

Revision 1

Cell Signaling Technology Logo
Immunohistochemical analysis of paraffin-embedded human colon carcinoma using CD6 (E9Y7Y) Rabbit mAb. Data were generated using the standard formulation of this product.
Immunohistochemistry Image 3: CD6 (E9Y7Y) Rabbit Monoclonal Antibody (BSA and Azide Free)
Immunohistochemical analysis of paraffin-embedded human squamous cell lung carcinoma using CD6 (E9Y7Y) Rabbit mAb. Data were generated using the standard formulation of this product.
Immunohistochemistry Image 4: CD6 (E9Y7Y) Rabbit Monoclonal Antibody (BSA and Azide Free)
Immunohistochemical analysis of paraffin-embedded human non-Hodgkin's lymphoma using CD6 (E9Y7Y) Rabbit mAb. Data were generated using the standard formulation of this product.
Immunohistochemistry Image 5: CD6 (E9Y7Y) Rabbit Monoclonal Antibody (BSA and Azide Free)
Orders: 877-616-CELL (2355) [email protected] Support: 877-678-TECH (8324) [email protected] Web: cellsignal.com
For Research Use Only. Not for Use in Diagnostic Procedures.

Revision 1

Cell Signaling Technology Logo
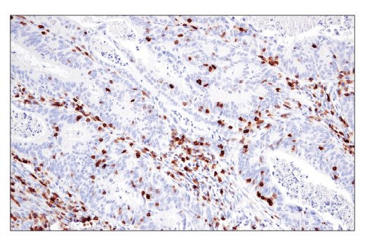
Immunohistochemical analysis of paraffin-embedded human prostate carcinoma using CD6 (E9Y7Y) Rabbit mAb. Data were generated using the standard formulation of this product.
Immunohistochemistry Image 6: CD6 (E9Y7Y) Rabbit Monoclonal Antibody (BSA and Azide Free)
Orders: 877-616-CELL (2355) [email protected] Support: 877-678-TECH (8324) [email protected] Web: cellsignal.com
For Research Use Only. Not for Use in Diagnostic Procedures.