Revision 1

#78881

Store at -20C

CST Logo
Orders:

877-616-CELL (2355)

[email protected]

Support:

877-678-TECH (8324)

3 Trask Lane | Danvers | Massachusetts | 01923 | USA

For Research Use Only. Not for Use in Diagnostic Procedures.

Applications:
W, IHC-P

Reactivity:
M

Sensitivity:
Endogenous

MW (kDa):
60-100

Source/Isotype:
Rabbit IgG

UniProt ID:
#P18337

Entrez-Gene Id:
20343

Product Usage Information

This product is the carrier free version of product #45658. All data were generated using the same antibody clone in the standard formulation which contains BSA and glycerol.

This formulation is ideal for use with technologies requiring specialized or custom antibody labeling, including fluorophores, metals, lanthanides, and oligonucleotides. It is not recommended for ChIP, ChIP-seq, CUT&RUN or CUT&Tag assays. If you require a carrier free formulation for chromatin profiling, please contact us. Optimal dilutions/concentrations should be determined by the end user.

BSA and Azide Free antibodies are quality control tested by size exclusion chromatography (SEC) to determine antibody integrity.

Formulation

Supplied in 1X PBS (10 mM Na2HPO4, 3 mM KCl, 2 mM KH2PO4, and 140 mM NaCl (pH 7.8)). BSA and Azide Free.

For standard formulation of this product see product #45658

Storage

Store at -20°C. This product will freeze at -20°C so it is recommended to aliquot into single-use vials to avoid multiple freeze/thaw cycles. A slight precipitate may be present and can be dissolved by gently vortexing. This will not interfere with antibody performance.

Specificity/Sensitivity

CD62L/L-Selectin (E7L2M) Rabbit Monoclonal Antibody (BSA and Azide Free) recognizes endogenous levels of total CD62L/L-Selectin protein.

Source / Purification

Monoclonal antibody is produced by immunizing animals with mouse CD62L/L-Selectin recombinant protein.

Background

L-Selectin (CD62L, MEL-14, LAM1, SELL) is a cell adhesion molecule responsible for homing and mediating the binding of lymphocytes to high endothelial venules (HEV) in secondary lymphoid tissues (1-5). It is a commonly used marker for distinguishing naive and memory T cells from effector T cells (6).

Due to cell type-specific glycosylation, the actual molecular weight of L-Selectin differs between cell types and can range from 60 kDa in lymphocytes up to 100 kDa in neutrophils (7).

Species Reactivity

Species reactivity is determined by testing in at least one approved application (e.g., western blot).

Applications Key

W: Western Blotting IHC-P: Immunohistochemistry (Paraffin)

Cross-Reactivity Key

M: Mouse

Trademarks and Patents

Cell Signaling Technology is a trademark of Cell Signaling Technology, Inc.

All other trademarks are the property of their respective owners. Visit cellsignal.com/trademarks for more information.

Limited Uses

Except as otherwise expressly agreed in a writing signed by a legally authorized representative of CST, the following terms apply to Products provided by CST, its affiliates or its distributors. Any Customer's terms and conditions that are in addition to, or different from, those contained herein, unless separately accepted in writing by a legally authorized representative of CST, are rejected and are of no force or effect.

Products are labeled with For Research Use Only or a similar labeling statement and have not been approved, cleared, or licensed by the FDA or other regulatory foreign or domestic entity, for any purpose. Customer shall not use any Product for any diagnostic or therapeutic purpose, or otherwise in any manner that conflicts with its labeling statement. Products sold or licensed by CST are provided for Customer as the end-user and solely for research and development uses. Any use of Product for diagnostic, prophylactic or therapeutic purposes, or any purchase of Product for resale (alone or as a component) or other commercial purpose, requires a separate license from CST. Customer shall (a) not sell, license, loan, donate or otherwise transfer or make available any Product to any third party, whether alone or in combination with other materials, or use the Products to manufacture any commercial products, (b) not copy, modify, reverse engineer, decompile, disassemble or otherwise attempt to discover the underlying structure or technology of the Products, or use the Products for the purpose of developing any products or services that would compete with CST products or services, (c) not alter or remove from the Products any trademarks, trade names, logos, patent or copyright notices or markings, (d) use the Products solely in accordance with CST Product Terms of Sale and any applicable documentation, and (e) comply with any license, terms of service or similar agreement with respect to any third party products or services used by Customer in connection with the Products.

Orders: 877-616-CELL (2355) [email protected] Support: 877-678-TECH (8324) [email protected] Web: cellsignal.com
For Research Use Only. Not for Use in Diagnostic Procedures.

Revision 1

Cell Signaling Technology Logo
Western blot analysis of extracts from various cells and mouse tissue using CD62L/L-Selectin (E7L2M) Rabbit mAb (upper) or GAPDH (D16H11) XP® Rabbit mAb #5174 (lower). Negative expression of CD62L/L-Selectin protein in Neuro-2a cells is consistent with the predicted expression pattern. Data were generated using the standard formulation of this product.
Western Blotting Image 1: CD62L/L-Selectin (E7L2M) Rabbit Monoclonal Antibody (BSA and Azide Free)
Western blot analysis of extracts from 293T cells, mock transfected (-) or transfected with a construct expressing Myc/DDK-tagged full-length mouse CD62L/L-Selectin protein (mCD62L/L-Selectin-Myc/DDK; +), using CD62L/L-Selectin (E7L2M) Rabbit mAb (upper), Myc-Tag (71D10) Rabbit mAb #2278 (middle), or GAPDH (D16H11) XP® Rabbit mAb #5174 (lower). Data were generated using the standard formulation of this product.
Western Blotting Image 2: CD62L/L-Selectin (E7L2M) Rabbit Monoclonal Antibody (BSA and Azide Free)
Immunohistochemical analysis of paraffin-embedded GL261 syngeneic tumor using CD62L/L-Selectin (E7L2M) Rabbit mAb. Data were generated using the standard formulation of this product.
Immunohistochemistry Image 1: CD62L/L-Selectin (E7L2M) Rabbit Monoclonal Antibody (BSA and Azide Free)
Orders: 877-616-CELL (2355) [email protected] Support: 877-678-TECH (8324) [email protected] Web: cellsignal.com
For Research Use Only. Not for Use in Diagnostic Procedures.

Revision 1

Cell Signaling Technology Logo
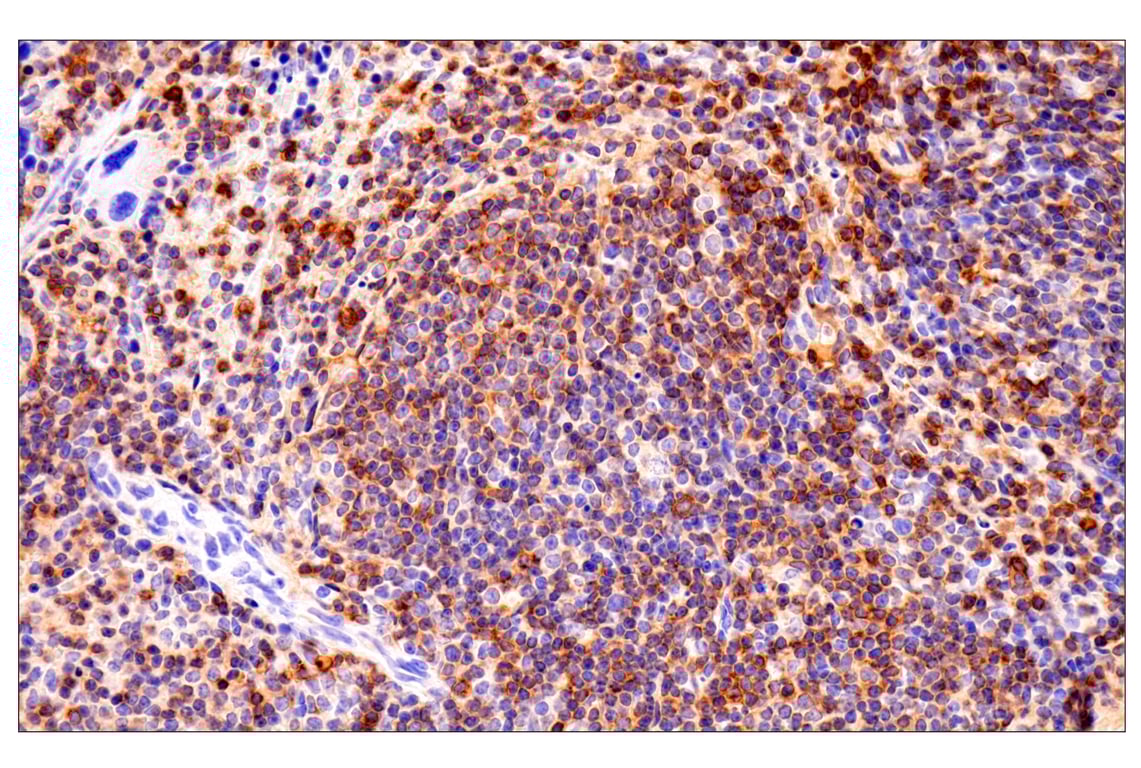
Immunohistochemical analysis of paraffin-embedded mouse thymus using CD62L/L-Selectin (E7L2M) Rabbit mAb. Data were generated using the standard formulation of this product.
Immunohistochemistry Image 2: CD62L/L-Selectin (E7L2M) Rabbit Monoclonal Antibody (BSA and Azide Free)
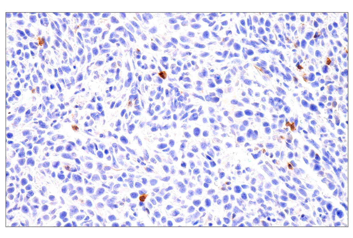
Immunohistochemical analysis of paraffin-embedded LL/2 syngeneic tumor using CD62L/L-Selectin (E7L2M) Rabbit mAb. Data were generated using the standard formulation of this product.
Immunohistochemistry Image 3: CD62L/L-Selectin (E7L2M) Rabbit Monoclonal Antibody (BSA and Azide Free)
Immunohistochemical analysis of paraffin-embedded CT26 syngeneic tumor using CD62L/L-Selectin (E7L2M) Rabbit mAb. Data were generated using the standard formulation of this product.
Immunohistochemistry Image 4: CD62L/L-Selectin (E7L2M) Rabbit Monoclonal Antibody (BSA and Azide Free)
Orders: 877-616-CELL (2355) [email protected] Support: 877-678-TECH (8324) [email protected] Web: cellsignal.com
For Research Use Only. Not for Use in Diagnostic Procedures.

Revision 1

Cell Signaling Technology Logo
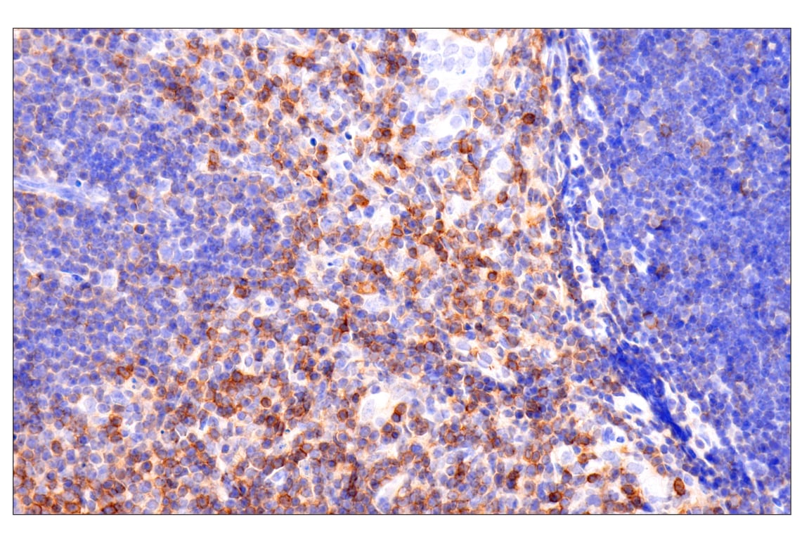
Immunohistochemical analysis of paraffin-embedded mouse spleen using CD62L/L-Selectin (E7L2M) Rabbit mAb. Data were generated using the standard formulation of this product.
Immunohistochemistry Image 5: CD62L/L-Selectin (E7L2M) Rabbit Monoclonal Antibody (BSA and Azide Free)
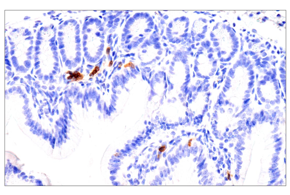
Immunohistochemical analysis of paraffin-embedded mouse small intestine using CD62L/L-Selectin (E7L2M) Rabbit mAb. Data were generated using the standard formulation of this product.
Immunohistochemistry Image 6: CD62L/L-Selectin (E7L2M) Rabbit Monoclonal Antibody (BSA and Azide Free)
Immunohistochemical analysis of paraffin-embedded mouse lung using CD62L/L-Selectin (E7L2M) Rabbit mAb (left) compared to concentration-matched Rabbit (DA1E) mAb IgG XP® Isotype Control #3900 (right). Data were generated using the standard formulation of this product.
Immunohistochemistry Image 7: CD62L/L-Selectin (E7L2M) Rabbit Monoclonal Antibody (BSA and Azide Free)
Orders: 877-616-CELL (2355) [email protected] Support: 877-678-TECH (8324) [email protected] Web: cellsignal.com
For Research Use Only. Not for Use in Diagnostic Procedures.

Revision 1

Cell Signaling Technology Logo
Immunohistochemical analysis of paraffin-embedded EL4 cell pellet (left, positive) or Neuro-2a cell pellet (right, negative) using CD62L/L-Selectin (E7L2M) Rabbit mAb. Data were generated using the standard formulation of this product.
Immunohistochemistry Image 8: CD62L/L-Selectin (E7L2M) Rabbit Monoclonal Antibody (BSA and Azide Free)
Orders: 877-616-CELL (2355) [email protected] Support: 877-678-TECH (8324) [email protected] Web: cellsignal.com
For Research Use Only. Not for Use in Diagnostic Procedures.