Revision 5

#84298

Store at -20C

CST Logo
Orders:

877-616-CELL (2355)

[email protected]

Support:

877-678-TECH (8324)

3 Trask Lane | Danvers | Massachusetts | 01923 | USA

For Research Use Only. Not for Use in Diagnostic Procedures.

Applications:
W, IHC-Bond, IHC-P

Reactivity:
H

Sensitivity:
Endogenous

MW (kDa):
140

Source/Isotype:
Rabbit IgG

UniProt ID:
#P16109

Entrez-Gene Id:
6403

Product Usage Information

Application Dilution
Western Blotting 1:1000
IHC Leica Bond 1:400 - 1:1600
Immunohistochemistry (Paraffin) 1:200 - 1:800

Storage

Supplied in 10 mM sodium HEPES (pH 7.5), 150 mM NaCl, 100 µg/mL BSA, 50% glycerol, and less than 0.02% sodium azide. Store at –20°C. Do not aliquot the antibody.

For a carrier free (BSA and azide free) version of this product see product #31214.

Specificity/Sensitivity

CD62P/P-Selectin (E8Q1W) Rabbit Monoclonal Antibody recognizes endogenous levels of total CD62P/P-Selectin protein.

Source / Purification

Monoclonal antibody is produced by immunizing animals with a synthetic peptide corresponding to residues surrounding Leu433 of human CD62P/P-Selectin protein.

Background

CD62P/P-Selectin is a type-I transmembrane glycoprotein that is largely expressed and stored in intracellular granules by resting platelets, megakaryocytes, and vascular endothelial cells (1,2). The restricted expression pattern of CD62P/P-Selectin positions this molecule as a key regulator of hemostasis, thrombosis, and inflammation. Platelets and endothelial cells that become activated in response to proinflammatory cytokines express CD62P/P-Selectin on the cell surface, which serves as an adhesion receptor to facilitate recruitment of leukocytes to sites of inflammation (3-5). CD62P/P-Selectin has also been implicated in cancer cell metastasis by promoting the adhesion of tumor cells in circulation to activated platelets and endothelial cells (6,7).

Species Reactivity

Species reactivity is determined by testing in at least one approved application (e.g., western blot).

Western Blot Buffer

IMPORTANT: For western blots, incubate membrane with diluted primary antibody in 5% w/v BSA, 1X TBS, 0.1% Tween® 20 at 4°C with gentle shaking, overnight.

Applications Key

W: Western Blotting IHC-Bond: IHC Leica Bond IHC-P: Immunohistochemistry (Paraffin)

Cross-Reactivity Key

H: Human

Trademarks and Patents

Cell Signaling Technology is a trademark of Cell Signaling Technology, Inc.

SignalStain is a registered trademark of Cell Signaling Technology, Inc.

All other trademarks are the property of their respective owners. Visit cellsignal.com/trademarks for more information.

Limited Uses

Except as otherwise expressly agreed in a writing signed by a legally authorized representative of CST, the following terms apply to Products provided by CST, its affiliates or its distributors. Any Customer's terms and conditions that are in addition to, or different from, those contained herein, unless separately accepted in writing by a legally authorized representative of CST, are rejected and are of no force or effect.

Products are labeled with For Research Use Only or a similar labeling statement and have not been approved, cleared, or licensed by the FDA or other regulatory foreign or domestic entity, for any purpose. Customer shall not use any Product for any diagnostic or therapeutic purpose, or otherwise in any manner that conflicts with its labeling statement. Products sold or licensed by CST are provided for Customer as the end-user and solely for research and development uses. Any use of Product for diagnostic, prophylactic or therapeutic purposes, or any purchase of Product for resale (alone or as a component) or other commercial purpose, requires a separate license from CST. Customer shall (a) not sell, license, loan, donate or otherwise transfer or make available any Product to any third party, whether alone or in combination with other materials, or use the Products to manufacture any commercial products, (b) not copy, modify, reverse engineer, decompile, disassemble or otherwise attempt to discover the underlying structure or technology of the Products, or use the Products for the purpose of developing any products or services that would compete with CST products or services, (c) not alter or remove from the Products any trademarks, trade names, logos, patent or copyright notices or markings, (d) use the Products solely in accordance with CST Product Terms of Sale and any applicable documentation, and (e) comply with any license, terms of service or similar agreement with respect to any third party products or services used by Customer in connection with the Products.

Orders: 877-616-CELL (2355) [email protected] Support: 877-678-TECH (8324) [email protected] Web: cellsignal.com
For Research Use Only. Not for Use in Diagnostic Procedures.

Revision 5

Cell Signaling Technology Logo
Western blot analysis of extracts from HEL 92.1.7 cells, human platelets, and HeLa cells using CD62P/P-Selectin (E8Q1W) XP® Rabbit mAb (upper) or α-Actinin (D6F6) XP® Rabbit mAb #6487 (lower). Negative expression of CD62P/P-Selectin protein in HeLa cells is consistent with the predicted expression pattern.
Western Blotting Image 1: CD62P/P-Selectin (E8Q1W) Rabbit Monoclonal Antibody
Western blot analysis of extracts from 293T cells, mock transfected (-) or transfected with a construct expressing Myc/DDK-tagged full-length human CD62P/P-Selectin protein (hCD62P/P-Selectin-Myc/DDK; +), using CD62P/P-Selectin (E8Q1W) XP® Rabbit mAb (upper), DYKDDDDK Tag (D6W5B) Rabbit mAb #14793 (middle), or α-Actinin (D6F6) XP® Rabbit mAb #6487 (lower).
Western Blotting Image 2: CD62P/P-Selectin (E8Q1W) Rabbit Monoclonal Antibody
Immunohistochemical analysis of paraffin-embedded human urothelial carcinoma using CD62P/P-Selectin (E8Q1W) XP® Rabbit mAb performed on the Leica® BOND™ Rx.
Immunohistochemistry Image 1: CD62P/P-Selectin (E8Q1W) Rabbit Monoclonal Antibody
Orders: 877-616-CELL (2355) [email protected] Support: 877-678-TECH (8324) [email protected] Web: cellsignal.com
For Research Use Only. Not for Use in Diagnostic Procedures.

Revision 5

Cell Signaling Technology Logo
Immunohistochemical analysis of paraffin-embedded human colon carcinoma using CD62P/P-Selectin (E8Q1W) XP® Rabbit mAb performed on the Leica® BOND™ Rx.
Immunohistochemistry Image 2: CD62P/P-Selectin (E8Q1W) Rabbit Monoclonal Antibody
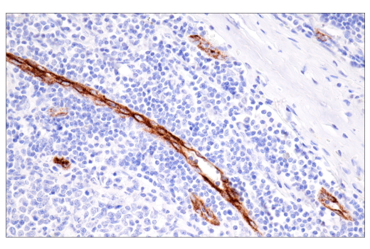
Immunohistochemical analysis of paraffin-embedded human esophageal carcinoma using CD62P/P-Selectin (E8Q1W) XP® Rabbit mAb performed on the Leica® BOND™ Rx.
Immunohistochemistry Image 3: CD62P/P-Selectin (E8Q1W) Rabbit Monoclonal Antibody
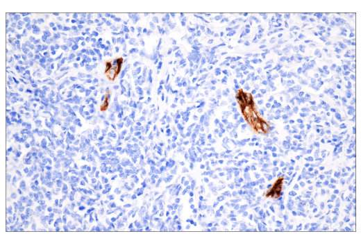
Immunohistochemical analysis of paraffin-embedded human B-cell non-Hodgkin lymphoma using CD62P/P-Selectin (E8Q1W) XP® Rabbit mAb performed on the Leica® BOND™ Rx.
Immunohistochemistry Image 4: CD62P/P-Selectin (E8Q1W) Rabbit Monoclonal Antibody
Orders: 877-616-CELL (2355) [email protected] Support: 877-678-TECH (8324) [email protected] Web: cellsignal.com
For Research Use Only. Not for Use in Diagnostic Procedures.

Revision 5

Cell Signaling Technology Logo
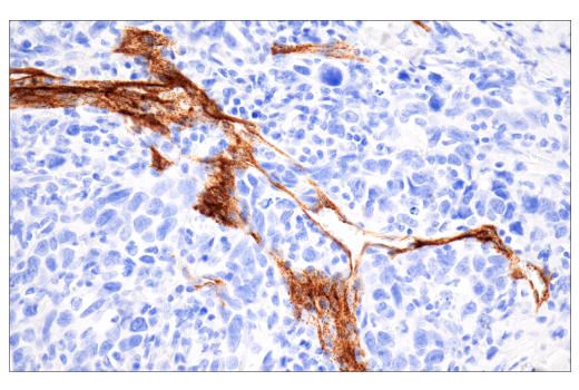
Immunohistochemical analysis of paraffin-embedded human oral squamous cell carcinoma using CD62P/P-Selectin (E8Q1W) XP® Rabbit mAb.
Immunohistochemistry Image 1: CD62P/P-Selectin (E8Q1W) Rabbit Monoclonal Antibody
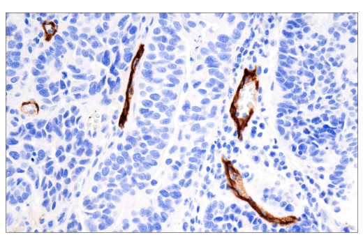
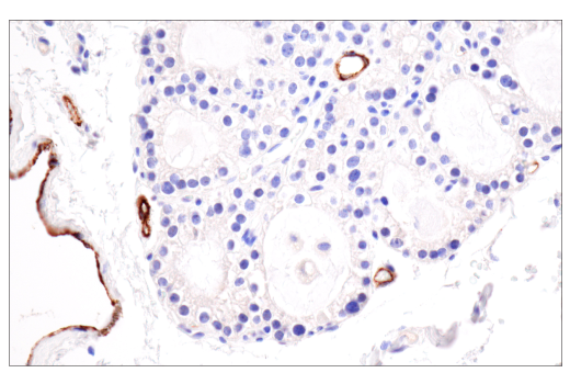
Immunohistochemical analysis of paraffin-embedded human prostate carcinoma using CD62P/P-Selectin (E8Q1W) XP® Rabbit mAb.
Immunohistochemistry Image 2: CD62P/P-Selectin (E8Q1W) Rabbit Monoclonal Antibody
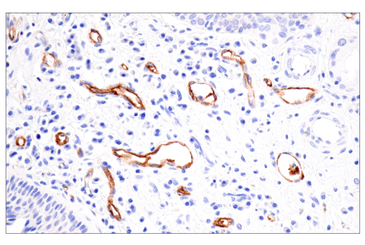
Immunohistochemical analysis of paraffin-embedded human small cell carcinoma of the salivary gland using CD62P/P-Selectin (E8Q1W) XP® Rabbit mAb.
Immunohistochemistry Image 3: CD62P/P-Selectin (E8Q1W) Rabbit Monoclonal Antibody
Orders: 877-616-CELL (2355) [email protected] Support: 877-678-TECH (8324) [email protected] Web: cellsignal.com
For Research Use Only. Not for Use in Diagnostic Procedures.

Revision 5

Cell Signaling Technology Logo
Immunohistochemical analysis of paraffin-embedded human tonsil using CD62P/P-Selectin (E8Q1W) XP® Rabbit mAb.
Immunohistochemistry Image 4: CD62P/P-Selectin (E8Q1W) Rabbit Monoclonal Antibody
Immunohistochemical analysis of paraffin-embedded normal human esophagus using CD62P/P-Selectin (E8Q1W) XP® Rabbit mAb.
Immunohistochemistry Image 5: CD62P/P-Selectin (E8Q1W) Rabbit Monoclonal Antibody
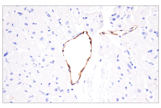
Immunohistochemical analysis of paraffin-embedded normal human heart using CD62P/P-Selectin (E8Q1W) XP® Rabbit mAb.
Immunohistochemistry Image 6: CD62P/P-Selectin (E8Q1W) Rabbit Monoclonal Antibody
Orders: 877-616-CELL (2355) [email protected] Support: 877-678-TECH (8324) [email protected] Web: cellsignal.com
For Research Use Only. Not for Use in Diagnostic Procedures.

Revision 5

Cell Signaling Technology Logo
Immunohistochemical analysis of paraffin-embedded normal human parathyroid using CD62P/P-Selectin (E8Q1W) XP® Rabbit mAb.
Immunohistochemistry Image 7: CD62P/P-Selectin (E8Q1W) Rabbit Monoclonal Antibody
Immunohistochemical analysis of paraffin-embedded normal human spleen using CD62P/P-Selectin (E8Q1W) XP® Rabbit mAb (left) compared to concentration-matched Rabbit (DA1E) mAb IgG XP® Isotype Control #3900 (right).
Immunohistochemistry Image 8: CD62P/P-Selectin (E8Q1W) Rabbit Monoclonal Antibody
Immunohistochemical analysis of paraffin-embedded HEL 92.1.7 cell pellet (left, positive) or HeLa cell pellet (right, negative) using CD62P/P-Selectin (E8Q1W) XP® Rabbit mAb.
Immunohistochemistry Image 9: CD62P/P-Selectin (E8Q1W) Rabbit Monoclonal Antibody
Orders: 877-616-CELL (2355) [email protected] Support: 877-678-TECH (8324) [email protected] Web: cellsignal.com
For Research Use Only. Not for Use in Diagnostic Procedures.