Revision 6

#69209

Store at -20C

CST Logo
Orders:

877-616-CELL (2355)

[email protected]

Support:

877-678-TECH (8324)

3 Trask Lane | Danvers | Massachusetts | 01923 | USA

For Research Use Only. Not for Use in Diagnostic Procedures.

Applications:
W, IHC-Bond, IHC-P

Reactivity:
H

Sensitivity:
Endogenous

MW (kDa):
27, 54, 81

Source/Isotype:
Rabbit IgG

UniProt ID:
#P32970

Entrez-Gene Id:
970

Product Usage Information

Application Dilution
Western Blotting 1:1000
IHC Leica Bond 1:400 - 1:1600
Immunohistochemistry (Paraffin) 1:400 - 1:1600

Storage

Supplied in 10 mM sodium HEPES (pH 7.5), 150 mM NaCl, 100 µg/ml BSA, 50% glycerol and less than 0.02% sodium azide. Store at –20°C. Do not aliquot the antibody.



For a carrier free (BSA and azide free) version of this product see product #35969.

Specificity/Sensitivity

CD70 (E3Q1A) Rabbit Monoclonal Antibody recognizes endogenous levels of total CD70 protein. Non-specific staining was observed in prostate epithelium by immunohistochemistry.

Source / Purification

Monoclonal antibody is produced by immunizing animals with recombinant protein specific to the carboxy terminus of human CD70 protein.

Background

CD70 is a type II transmembrane glycoprotein and a member of the tumor necrosis factor ligand superfamily (TNFSF), also known as CD27L and TNFSF7. It is normally expressed on medullary thymic epithelial cells. Its expression is induced on activated lymphoid cells (B cells, T cells, and NK cells) and dendritic cells. CD70 is a ligand for CD27, a co-stimulatory receptor that plays an important role in T cell activation and proliferation (1,2). CD70 overexpression has been reported in various tumors such as renal cell carcinoma, glioblastoma, and non-small cell lung carcinoma and it’s being actively pursued as a therapeutic target (3-6).

Species Reactivity

Species reactivity is determined by testing in at least one approved application (e.g., western blot).

Western Blot Buffer

IMPORTANT: For western blots, incubate membrane with diluted primary antibody in 5% w/v nonfat dry milk, 1X TBS, 0.1% Tween® 20 at 4°C with gentle shaking, overnight.

Applications Key

W: Western Blotting IHC-Bond: IHC Leica Bond IHC-P: Immunohistochemistry (Paraffin)

Cross-Reactivity Key

H: Human

Trademarks and Patents

Cell Signaling Technology is a trademark of Cell Signaling Technology, Inc.

SignalStain is a registered trademark of Cell Signaling Technology, Inc.

All other trademarks are the property of their respective owners. Visit cellsignal.com/trademarks for more information.

Limited Uses

Except as otherwise expressly agreed in a writing signed by a legally authorized representative of CST, the following terms apply to Products provided by CST, its affiliates or its distributors. Any Customer's terms and conditions that are in addition to, or different from, those contained herein, unless separately accepted in writing by a legally authorized representative of CST, are rejected and are of no force or effect.

Products are labeled with For Research Use Only or a similar labeling statement and have not been approved, cleared, or licensed by the FDA or other regulatory foreign or domestic entity, for any purpose. Customer shall not use any Product for any diagnostic or therapeutic purpose, or otherwise in any manner that conflicts with its labeling statement. Products sold or licensed by CST are provided for Customer as the end-user and solely for research and development uses. Any use of Product for diagnostic, prophylactic or therapeutic purposes, or any purchase of Product for resale (alone or as a component) or other commercial purpose, requires a separate license from CST. Customer shall (a) not sell, license, loan, donate or otherwise transfer or make available any Product to any third party, whether alone or in combination with other materials, or use the Products to manufacture any commercial products, (b) not copy, modify, reverse engineer, decompile, disassemble or otherwise attempt to discover the underlying structure or technology of the Products, or use the Products for the purpose of developing any products or services that would compete with CST products or services, (c) not alter or remove from the Products any trademarks, trade names, logos, patent or copyright notices or markings, (d) use the Products solely in accordance with CST Product Terms of Sale and any applicable documentation, and (e) comply with any license, terms of service or similar agreement with respect to any third party products or services used by Customer in connection with the Products.

Orders: 877-616-CELL (2355) [email protected] Support: 877-678-TECH (8324) [email protected] Web: cellsignal.com
For Research Use Only. Not for Use in Diagnostic Procedures.

Revision 6

Cell Signaling Technology Logo
Western blot analysis of extracts from various cell lines using CD70 (E3Q1A) Rabbit mAb (upper) and β-Actin (D6A8) Rabbit mAb #8457 (lower).
Western Blotting Image 1: CD70 (E3Q1A) Rabbit Monoclonal Antibody
Immunohistochemical analysis of paraffin-embedded human urothelial carcinoma using CD70 (E3Q1A) Rabbit mAb performed on the Leica® BOND™ Rx.
Immunohistochemistry Image 1: CD70 (E3Q1A) Rabbit Monoclonal Antibody
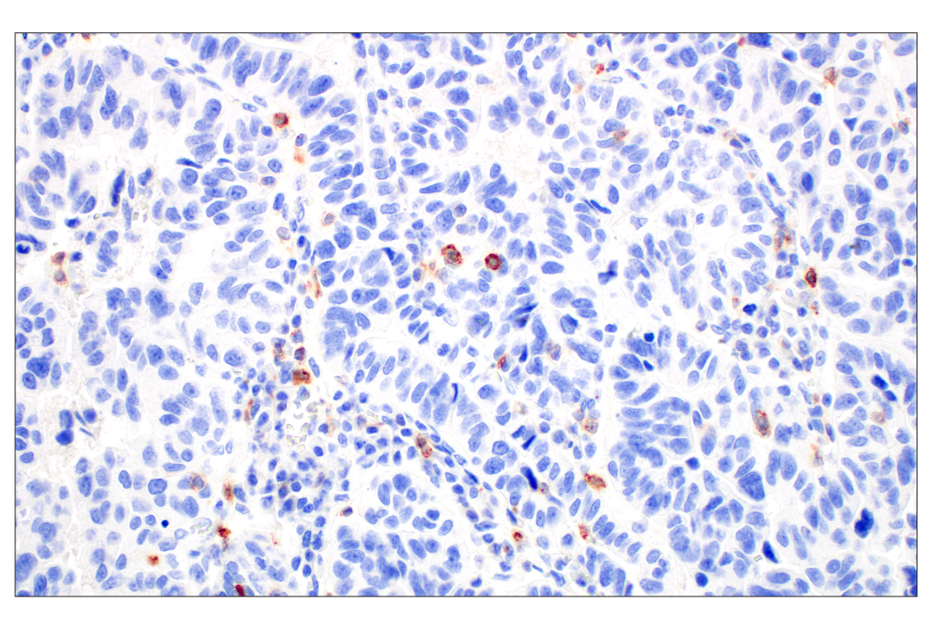
Immunohistochemical analysis of paraffin-embedded human colon adenocarcinoma using CD70 (E3Q1A) Rabbit mAb.
Immunohistochemistry Image 1: CD70 (E3Q1A) Rabbit Monoclonal Antibody
Orders: 877-616-CELL (2355) [email protected] Support: 877-678-TECH (8324) [email protected] Web: cellsignal.com
For Research Use Only. Not for Use in Diagnostic Procedures.

Revision 6

Cell Signaling Technology Logo
Immunohistochemical analysis of paraffin-embedded human colon adenocarcinoma using CD70 (E3Q1A) Rabbit mAb.
Immunohistochemistry Image 2: CD70 (E3Q1A) Rabbit Monoclonal Antibody
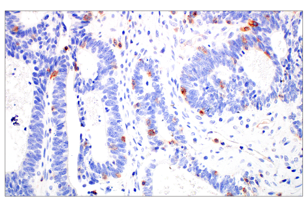
Immunohistochemical analysis of paraffin-embedded human esophageal adenocarcinoma using CD70 (E3Q1A) Rabbit mAb.
Immunohistochemistry Image 3: CD70 (E3Q1A) Rabbit Monoclonal Antibody
Immunohistochemical analysis of paraffin-embedded human colon adenocarcinoma using CD70 (E3Q1A) Rabbit mAb.
Immunohistochemistry Image 4: CD70 (E3Q1A) Rabbit Monoclonal Antibody
Orders: 877-616-CELL (2355) [email protected] Support: 877-678-TECH (8324) [email protected] Web: cellsignal.com
For Research Use Only. Not for Use in Diagnostic Procedures.

Revision 6

Cell Signaling Technology Logo
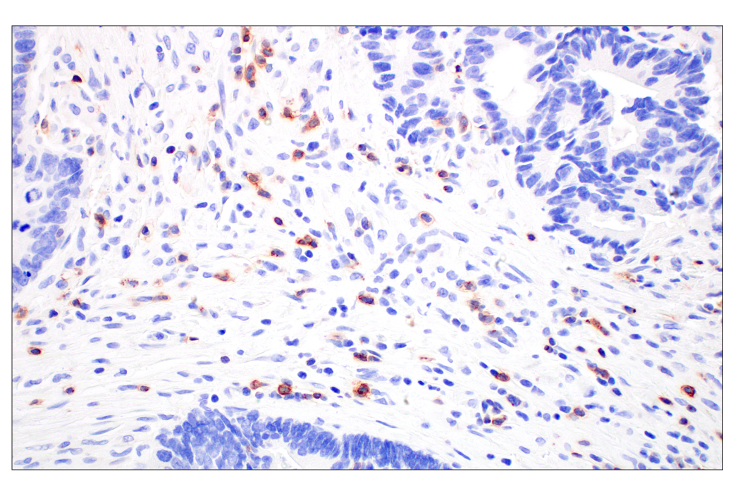
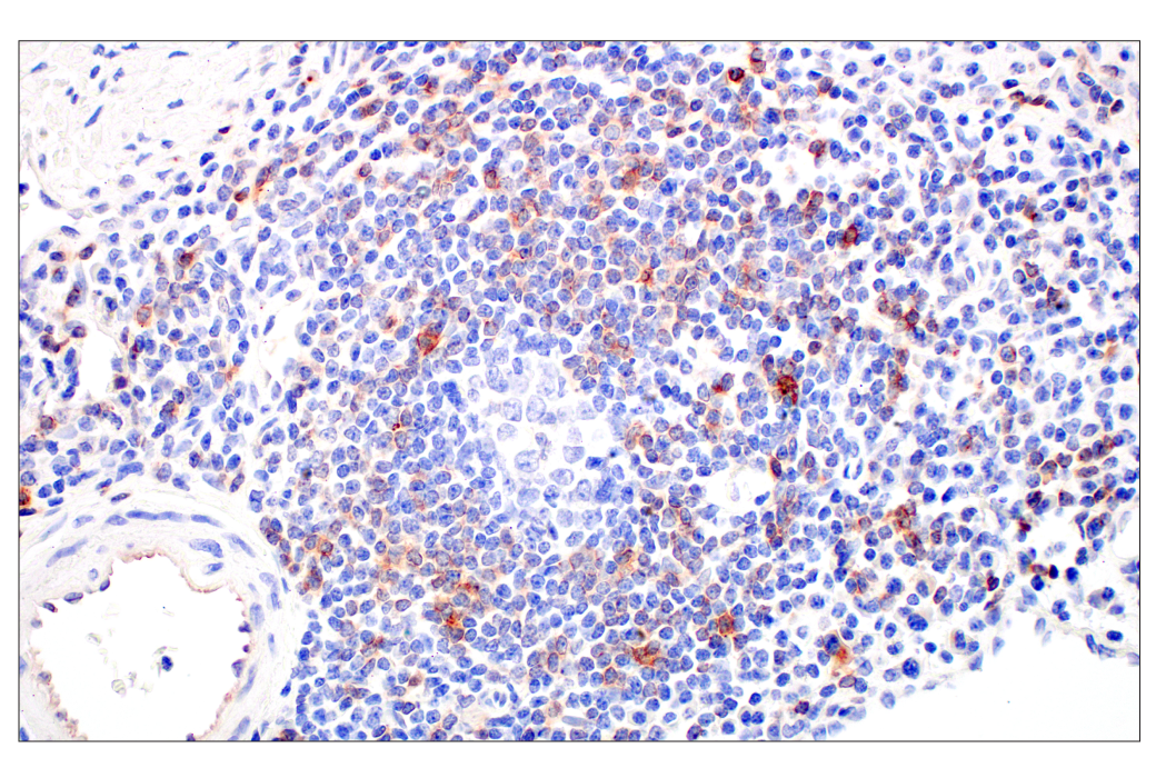
Immunohistochemical analysis of paraffin-embedded human B-cell non-Hodgkin lymphoma using CD70 (E3Q1A) Rabbit mAb.
Immunohistochemistry Image 5: CD70 (E3Q1A) Rabbit Monoclonal Antibody
Immunohistochemical analysis of paraffin-embedded human endometrioid adenocarcinoma using CD70 (E3Q1A) Rabbit mAb.
Immunohistochemistry Image 6: CD70 (E3Q1A) Rabbit Monoclonal Antibody
Immunohistochemical analysis of paraffin-embedded human colon adenocarcinoma using CD70 (E3Q1A) Rabbit mAb (left) compared to concentration-matched Rabbit (DA1E) mAb IgG XP® Isotype Control #3900 (right).
Immunohistochemistry Image 7: CD70 (E3Q1A) Rabbit Monoclonal Antibody
Orders: 877-616-CELL (2355) [email protected] Support: 877-678-TECH (8324) [email protected] Web: cellsignal.com
For Research Use Only. Not for Use in Diagnostic Procedures.

Revision 6

Cell Signaling Technology Logo
Immunohistochemical analysis of paraffin-embedded U266B1 cell pellet (left, positive) or IGROV-1 cell pellet (right, negative) using CD70 (E3Q1A) Rabbit mAb.
Immunohistochemistry Image 8: CD70 (E3Q1A) Rabbit Monoclonal Antibody
Orders: 877-616-CELL (2355) [email protected] Support: 877-678-TECH (8324) [email protected] Web: cellsignal.com
For Research Use Only. Not for Use in Diagnostic Procedures.