Revision 5

#77274

Store at -20C

CST Logo
Orders:

877-616-CELL (2355)

[email protected]

Support:

877-678-TECH (8324)

3 Trask Lane | Danvers | Massachusetts | 01923 | USA

For Research Use Only. Not for Use in Diagnostic Procedures.

Applications:
W, IHC-P, IF-IC, FC-FP

Reactivity:
H Mk

Sensitivity:
Endogenous

MW (kDa):
20-25, 30-40

Source/Isotype:
Rabbit IgG

UniProt ID:
#P04233

Entrez-Gene Id:
972

Product Usage Information

Application Dilution
Western Blotting 1:1000
Immunohistochemistry (Paraffin) 1:250 - 1:1000
Immunofluorescence (Immunocytochemistry) 1:200
Flow Cytometry (Fixed/Permeabilized) 1:400 - 1:1600

Storage

Supplied in 10 mM sodium HEPES (pH 7.5), 150 mM NaCl, 100 µg/ml BSA, 50% glycerol and less than 0.02% sodium azide. Store at –20°C. Do not aliquot the antibody.

For a carrier free (BSA and azide free) version of this product see product #95154.

Specificity/Sensitivity

CD74 (D5N3I) Rabbit Monoclonal Antibody recognizes endogenous levels of total CD74 protein.

Source / Purification

Monoclonal antibody is produced by immunizing animals with recombinant human CD74 protein.

Background

CD74, which is also known as the MHC Class II-associated invariant chain (Ii), is a type II transmembrane glycoprotein that plays a critical role in the antigen presentation process as a chaperone of MHC Class II proteins. It is expressed at high levels on B cells and to a lesser extent on numerous antigen presenting cell (APC) types including dendritic cells, Langerhans cells, monocytes, and macrophages as well as non-traditional APCs such as epithelial cells (1,2). CD74 was initially identified for its ability to regulate the folding and intracellular trafficking of newly synthesized MHC Class II molecules. Following expression, CD74 self-assembles as a trimer that serves as a scaffold for the assembly of MHC Class II molecules. Through this interaction, CD74 blocks the peptide binding cleft of MHC Class II molecules and prevents their premature association with endogenous polypeptides (3). Binding to CD74 also facilitates the translocation of MHC Class II molecules from the endoplasmic reticulum to the endocytic compartments during antigen presentation (4). In addition to its role as an MHC Class II chaperone, CD74 is also the receptor for macrophage migration-inhibitory factor (MIF). Binding to CD74 and its co-receptor, CD44, has been shown to induce the activation of the NFkB and ERK pathways to promote cell proliferation and survival signals (5,6). Recent studies have identified CXCR2 and CXCR4 as co-receptors for CD74 where MIF binding to CD74 complexes contributes to MIF-mediated monocyte chemotaxis and the induction of Akt signaling, respectively (7,8). Increased CD74 surface expression has been reported under inflammatory conditions and in certain types of cancer cells implying a potential role in tumorigenesis (9).

Species Reactivity

Species reactivity is determined by testing in at least one approved application (e.g., western blot).

Western Blot Buffer

IMPORTANT: For western blots, incubate membrane with diluted primary antibody in 5% w/v BSA, 1X TBS, 0.1% Tween® 20 at 4°C with gentle shaking, overnight.

Applications Key

W: Western Blotting IHC-P: Immunohistochemistry (Paraffin) IF-IC: Immunofluorescence (Immunocytochemistry) FC-FP: Flow Cytometry (Fixed/Permeabilized)

Cross-Reactivity Key

H: Human Mk: Monkey

Trademarks and Patents

Cell Signaling Technology is a trademark of Cell Signaling Technology, Inc.

SignalStain is a registered trademark of Cell Signaling Technology, Inc.

All other trademarks are the property of their respective owners. Visit cellsignal.com/trademarks for more information.

Limited Uses

Except as otherwise expressly agreed in a writing signed by a legally authorized representative of CST, the following terms apply to Products provided by CST, its affiliates or its distributors. Any Customer's terms and conditions that are in addition to, or different from, those contained herein, unless separately accepted in writing by a legally authorized representative of CST, are rejected and are of no force or effect.

Products are labeled with For Research Use Only or a similar labeling statement and have not been approved, cleared, or licensed by the FDA or other regulatory foreign or domestic entity, for any purpose. Customer shall not use any Product for any diagnostic or therapeutic purpose, or otherwise in any manner that conflicts with its labeling statement. Products sold or licensed by CST are provided for Customer as the end-user and solely for research and development uses. Any use of Product for diagnostic, prophylactic or therapeutic purposes, or any purchase of Product for resale (alone or as a component) or other commercial purpose, requires a separate license from CST. Customer shall (a) not sell, license, loan, donate or otherwise transfer or make available any Product to any third party, whether alone or in combination with other materials, or use the Products to manufacture any commercial products, (b) not copy, modify, reverse engineer, decompile, disassemble or otherwise attempt to discover the underlying structure or technology of the Products, or use the Products for the purpose of developing any products or services that would compete with CST products or services, (c) not alter or remove from the Products any trademarks, trade names, logos, patent or copyright notices or markings, (d) use the Products solely in accordance with CST Product Terms of Sale and any applicable documentation, and (e) comply with any license, terms of service or similar agreement with respect to any third party products or services used by Customer in connection with the Products.

Orders: 877-616-CELL (2355) [email protected] Support: 877-678-TECH (8324) [email protected] Web: cellsignal.com
For Research Use Only. Not for Use in Diagnostic Procedures.

Revision 5

Cell Signaling Technology Logo
Western blot analysis of extracts from various cell lines using CD74 (D5N3I) XP® Rabbit mAb (upper) or β-Actin (D6A8) Rabbit mAb #8457 (lower).
Western Blotting Image 1: CD74 (D5N3I) Rabbit Monoclonal Antibody
Western blot analysis of extracts from 293T cells, untransfected (-) or transfected with a construct expressing Myc/DDK-tagged full-length human CD74 (CD74-Myc/DDK; +), using CD74 (D5N3I) Rabbit XP® mAb.
Western Blotting Image 2: CD74 (D5N3I) Rabbit Monoclonal Antibody
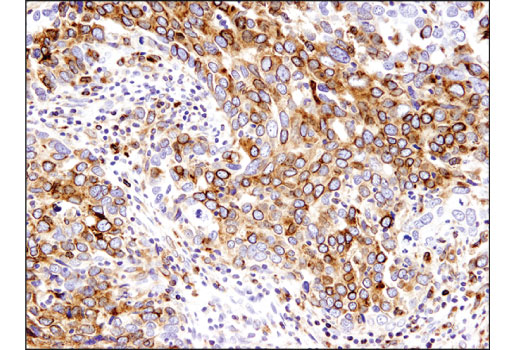
Immunohistochemical analysis of paraffin-embedded human endometrioid ovarian carcinoma using CD74 (D5N3I) XP® Rabbit mAb.
Immunohistochemistry Image 1: CD74 (D5N3I) Rabbit Monoclonal Antibody
Orders: 877-616-CELL (2355) [email protected] Support: 877-678-TECH (8324) [email protected] Web: cellsignal.com
For Research Use Only. Not for Use in Diagnostic Procedures.

Revision 5

Cell Signaling Technology Logo
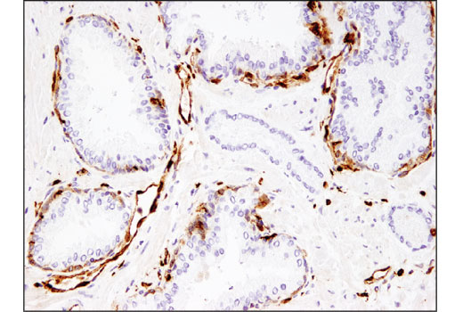
Immunohistochemical analysis of paraffin-embedded human prostate carcinoma using CD74 (D5N3I) XP® Rabbit mAb.
Immunohistochemistry Image 2: CD74 (D5N3I) Rabbit Monoclonal Antibody
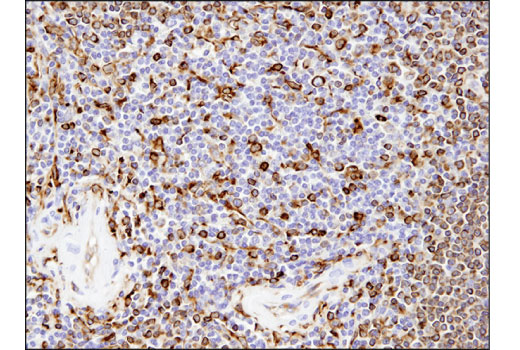
Immunohistochemical analysis of paraffin-embedded human spleen using CD74 (D5N3I) XP® Rabbit mAb.
Immunohistochemistry Image 3: CD74 (D5N3I) Rabbit Monoclonal Antibody
Immunohistochemical analysis of paraffin-embedded normal cynomolgus monkey spleen using CD74 (D5N3I) XP® Rabbit mAb.
Immunohistochemistry Image 4: CD74 (D5N3I) Rabbit Monoclonal Antibody
Orders: 877-616-CELL (2355) [email protected] Support: 877-678-TECH (8324) [email protected] Web: cellsignal.com
For Research Use Only. Not for Use in Diagnostic Procedures.

Revision 5

Cell Signaling Technology Logo
Confocal immunofluorescent analysis of Raji (left) and Jurkat (right) cells using CD74 (D5N3I) XP® Rabbit mAb (green). Blue pseudocolor = DRAQ5® #4084 (fluorescent DNA dye).
Immunofluorescence Image 1: CD74 (D5N3I) Rabbit Monoclonal Antibody
Flow Cytometric analysis of fixed and permeabilized human blood mononuclear cells using CD74 (D5N3I) Rabbit mAb (right) co-stained with anti-human CD19-APC compared to concentration-matched Rabbit (DA1E) mAb IgG XP® Isotype control #3900 (left). Anti-rabbit IgG (H+L), F(ab')2 Fragment (Alexa Fluor® 488 Conjugate) #4412 was used as a secondary antibody. Aanalysis was performed on gated lymphocyte cells.
Flow Cytometry Image 1: CD74 (D5N3I) Rabbit Monoclonal Antibody
Flow Cytometric analysis of fixed and permeabilized Raji cells (green), HT29 cells (red) and Jurkat cells (blue) using CD74 (D5N3I) Rabbit mAb. Anti-rabbit IgG (H+L), F(ab')2 Fragment (Alexa Fluor® 488 Conjugate) #4412 was used as a secondary antibody.
Flow Cytometry Image 2: CD74 (D5N3I) Rabbit Monoclonal Antibody
Orders: 877-616-CELL (2355) [email protected] Support: 877-678-TECH (8324) [email protected] Web: cellsignal.com
For Research Use Only. Not for Use in Diagnostic Procedures.