Revision 7

#59728

Store at -20C

CST Logo
Orders:

877-616-CELL (2355)

[email protected]

Support:

877-678-TECH (8324)

3 Trask Lane | Danvers | Massachusetts | 01923 | USA

For Research Use Only. Not for Use in Diagnostic Procedures.

Applications:
W, IHC-Bond, IHC-P, IF-IC

Reactivity:
H M

Sensitivity:
Endogenous

MW (kDa):
14, 30-50

Source/Isotype:
Rabbit IgG

UniProt ID:
#P40259

Entrez-Gene Id:
974

Product Usage Information

This product is the carrier free version of product #96024. All data were generated using the same antibody clone in the standard formulation which contains BSA and glycerol.

This formulation is ideal for use with technologies requiring specialized or custom antibody labeling, including fluorophores, metals, lanthanides, and oligonucleotides. It is not recommended for ChIP, ChIP-seq, CUT&RUN, or CUT&Tag assays. If you require a carrier-free formulation for chromatin profiling, please contact us. Optimal dilutions/concentrations should be determined by the end user.

BSA and Azide Free antibodies are quality control tested by size exclusion chromatography (SEC) to determine antibody integrity.

Formulation

Supplied in 1X PBS (10 mM Na2HPO4, 3 mM KCl, 2 mM KH2PO4, and 140 mM NaCl (pH 7.8)). BSA and Azide Free.

For standard formulation of this product see product #96024.

Storage

Store at -20°C. This product will freeze at -20°C so it is recommended to aliquot into single-use vials to avoid multiple freeze/thaw cycles. A slight precipitate may be present and can be dissolved by gently vortexing. This will not interfere with antibody performance.

Specificity/Sensitivity

CD79B (D7V2F) Rabbit Monoclonal Antibody (BSA and Azide Free) recognizes endogenous levels of total CD79B protein. This antibody is predicted to detect multiple isoforms of CD79B.

Species predicted to react based on 100% sequence homology

Rat, Hamster, Bovine, Pig

Source / Purification

Monoclonal antibody is produced by immunizing animals with a synthetic peptide corresponding to residues surrounding Val222 of human CD79B protein.

Background

The B-cell antigen receptor (BCR) is composed of membrane immunoglobulin molecules non-covalently associated with the heterodimeric signaling component, CD79A and CD79B (also known as Igα and Igβ, respectively) (1,2). The presence of this receptor complex is essential for B cell development and function (3). Following antigen binding, CD79A/CD79B heterodimers are phosphorylated and initiate intracellular signaling through Src family kinases, Lyn, Blk, and Fyn, as well as Syk and Btk tyrosine kinases (4,5). The complexity of BCR signaling results in a variety of distinct cellular functions, such as proliferation, tolerance, apoptosis, and differentiation (6). BCR-antigen ligation also leads to internalization of the complex, trafficking to late endosomes, and antigen presentation in major histocompatibility molecules on the B cell surface (7,8). CD79B enhances the phosphorylation of CD79A (9). Alternatively spliced transcript variants encoding different isoforms of CD79B have been identified (10). CD79B is widely expressed on B cell malignancies and may serve as a target for therapeutic intervention (11,12).

Species Reactivity

Species reactivity is determined by testing in at least one approved application (e.g., western blot).

Applications Key

W: Western Blotting IHC-Bond: IHC Leica Bond IHC-P: Immunohistochemistry (Paraffin) IF-IC: Immunofluorescence (Immunocytochemistry)

Cross-Reactivity Key

H: Human M: Mouse

Trademarks and Patents

Cell Signaling Technology is a trademark of Cell Signaling Technology, Inc.

SignalStain is a registered trademark of Cell Signaling Technology, Inc.

All other trademarks are the property of their respective owners. Visit cellsignal.com/trademarks for more information.

Limited Uses

Except as otherwise expressly agreed in a writing signed by a legally authorized representative of CST, the following terms apply to Products provided by CST, its affiliates or its distributors. Any Customer's terms and conditions that are in addition to, or different from, those contained herein, unless separately accepted in writing by a legally authorized representative of CST, are rejected and are of no force or effect.

Products are labeled with For Research Use Only or a similar labeling statement and have not been approved, cleared, or licensed by the FDA or other regulatory foreign or domestic entity, for any purpose. Customer shall not use any Product for any diagnostic or therapeutic purpose, or otherwise in any manner that conflicts with its labeling statement. Products sold or licensed by CST are provided for Customer as the end-user and solely for research and development uses. Any use of Product for diagnostic, prophylactic or therapeutic purposes, or any purchase of Product for resale (alone or as a component) or other commercial purpose, requires a separate license from CST. Customer shall (a) not sell, license, loan, donate or otherwise transfer or make available any Product to any third party, whether alone or in combination with other materials, or use the Products to manufacture any commercial products, (b) not copy, modify, reverse engineer, decompile, disassemble or otherwise attempt to discover the underlying structure or technology of the Products, or use the Products for the purpose of developing any products or services that would compete with CST products or services, (c) not alter or remove from the Products any trademarks, trade names, logos, patent or copyright notices or markings, (d) use the Products solely in accordance with CST Product Terms of Sale and any applicable documentation, and (e) comply with any license, terms of service or similar agreement with respect to any third party products or services used by Customer in connection with the Products.

Orders: 877-616-CELL (2355) [email protected] Support: 877-678-TECH (8324) [email protected] Web: cellsignal.com
For Research Use Only. Not for Use in Diagnostic Procedures.

Revision 7

Cell Signaling Technology Logo
Western blot analysis of extracts from various cell lines and tissues using CD79B (D7V2F) Rabbit mAb (upper) and β-Actin (D6A8) Rabbit mAb #8457 (lower). Data were generated using the standard formulation of this product.
Western Blotting Image 1: CD79B (D7V2F) Rabbit Monoclonal Antibody (BSA and Azide Free)
Immunohistochemical analysis of paraffin-embedded human ductal carcinoma of the breast using CD79B (D7V2F) Rabbit mAb performed on the Leica® BOND™ Rx. Data were generated using the standard formulation of this product.
Immunohistochemistry Image 1: CD79B (D7V2F) Rabbit Monoclonal Antibody (BSA and Azide Free)
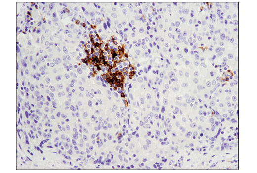
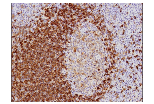
Immunohistochemical analysis of paraffin-embedded human tonsil using CD79B (D7V2F) Rabbit mAb. Data were generated using the standard formulation of this product.
Immunohistochemistry Image 1: CD79B (D7V2F) Rabbit Monoclonal Antibody (BSA and Azide Free)
Orders: 877-616-CELL (2355) [email protected] Support: 877-678-TECH (8324) [email protected] Web: cellsignal.com
For Research Use Only. Not for Use in Diagnostic Procedures.

Revision 7

Cell Signaling Technology Logo
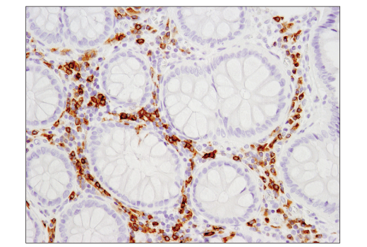
Immunohistochemical analysis of paraffin-embedded human colon carcinoma using CD79B (D7V2F) Rabbit mAb. Data were generated using the standard formulation of this product.
Immunohistochemistry Image 2: CD79B (D7V2F) Rabbit Monoclonal Antibody (BSA and Azide Free)
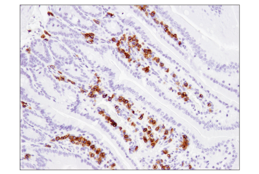
Immunohistochemical analysis of paraffin-embedded mouse small intestine using CD79B (D7V2F) Rabbit mAb. Data were generated using the standard formulation of this product.
Immunohistochemistry Image 3: CD79B (D7V2F) Rabbit Monoclonal Antibody (BSA and Azide Free)
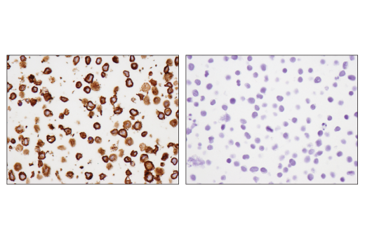
Immunohistochemical analysis of paraffin-embedded Daudi cell pellets (left, positive) and Jurkat cell pellets (right, negative) using CD79B (D7V2F) Rabbit mAb. Data were generated using the standard formulation of this product.
Immunohistochemistry Image 4: CD79B (D7V2F) Rabbit Monoclonal Antibody (BSA and Azide Free)
Orders: 877-616-CELL (2355) [email protected] Support: 877-678-TECH (8324) [email protected] Web: cellsignal.com
For Research Use Only. Not for Use in Diagnostic Procedures.

Revision 7

Cell Signaling Technology Logo
Confocal immunofluorescent analysis of Ramos cell pellet (left, positive) or Jurkat cell pellet (right, negative) using CD79B (D7V2F) Rabbit mAb (green) and DAPI #4083 (blue). Data were generated using the standard formulation of this product.
Immunofluorescence Image 1: CD79B (D7V2F) Rabbit Monoclonal Antibody (BSA and Azide Free)
Orders: 877-616-CELL (2355) [email protected] Support: 877-678-TECH (8324) [email protected] Web: cellsignal.com
For Research Use Only. Not for Use in Diagnostic Procedures.