Revision 2

#79273

Store at -20C

CST Logo
Orders:

877-616-CELL (2355)

[email protected]

Support:

877-678-TECH (8324)

3 Trask Lane | Danvers | Massachusetts | 01923 | USA

For Research Use Only. Not for Use in Diagnostic Procedures.

Applications:
W, IHC-P, IF-IC, FC-L

Reactivity:
M

Sensitivity:
Endogenous

MW (kDa):
22

Source/Isotype:
Rabbit IgG

UniProt ID:
#P35762

Entrez-Gene Id:
12520

Product Usage Information

This product is the carrier free version of product #10037. All data were generated using the same antibody clone in the standard formulation which contains BSA and glycerol.

This formulation is ideal for use with technologies requiring specialized or custom antibody labeling, including fluorophores, metals, lanthanides, and oligonucleotides. It is not recommended for ChIP, ChIP-seq, CUT&RUN or CUT&Tag assays. If you require a carrier free formulation for chromatin profiling, please contact us. Optimal dilutions/concentrations should be determined by the end user.

BSA and Azide Free antibodies are quality control tested by size exclusion chromatography (SEC) to determine antibody integrity.

Formulation

Supplied in 1X PBS (10 mM Na2HPO4, 3 mM KCl, 2 mM KH2PO4, and 140 mM NaCl (pH 7.8)). BSA and Azide Free.

For standard formulation of this product see product #10037

Storage

Store at -20°C. This product will freeze at -20°C so it is recommended to aliquot into single-use vials to avoid multiple freeze/thaw cycles. A slight precipitate may be present and can be dissolved by gently vortexing. This will not interfere with antibody performance.

Specificity/Sensitivity

CD81 (D5O2Q) Rabbit Monoclonal Antibody (BSA and Azide Free) recognizes endogenous levels of total CD81 protein.

Source / Purification

Monoclonal antibody is produced by immunizing animals with a synthetic peptide corresponding to residues surrounding Pro184 of mouse CD81 protein.

Background

CD81 belongs to the tetraspanin family, which is characterized by four transmembrane domains, one short extracellular domain (ECL1), and one long extracellular domain (ECL2) (1-3). Tetraspanins interact with a variety of cell surface proteins and intracellular signaling molecules in specialized tetraspanin enriched microdomains (TEMs) where they mediate a range of processes including adhesion, motility, membrane organization, and signal transduction (3). CD81, like other tetraspanins, is enriched in exosomes (4). Many research studies demonstrate a role for CD81 in lymphocyte signaling (5-7). CD81 is also a well-characterized receptor for Hepatitis C Virus and facilitates the entry of the virus into target cells (8, 9).

Species Reactivity

Species reactivity is determined by testing in at least one approved application (e.g., western blot).

Applications Key

W: Western Blotting IHC-P: Immunohistochemistry (Paraffin) IF-IC: Immunofluorescence (Immunocytochemistry) FC-L: Flow Cytometry (Live)

Cross-Reactivity Key

M: Mouse

Trademarks and Patents

Cell Signaling Technology is a trademark of Cell Signaling Technology, Inc.

All other trademarks are the property of their respective owners. Visit cellsignal.com/trademarks for more information.

Limited Uses

Except as otherwise expressly agreed in a writing signed by a legally authorized representative of CST, the following terms apply to Products provided by CST, its affiliates or its distributors. Any Customer's terms and conditions that are in addition to, or different from, those contained herein, unless separately accepted in writing by a legally authorized representative of CST, are rejected and are of no force or effect.

Products are labeled with For Research Use Only or a similar labeling statement and have not been approved, cleared, or licensed by the FDA or other regulatory foreign or domestic entity, for any purpose. Customer shall not use any Product for any diagnostic or therapeutic purpose, or otherwise in any manner that conflicts with its labeling statement. Products sold or licensed by CST are provided for Customer as the end-user and solely for research and development uses. Any use of Product for diagnostic, prophylactic or therapeutic purposes, or any purchase of Product for resale (alone or as a component) or other commercial purpose, requires a separate license from CST. Customer shall (a) not sell, license, loan, donate or otherwise transfer or make available any Product to any third party, whether alone or in combination with other materials, or use the Products to manufacture any commercial products, (b) not copy, modify, reverse engineer, decompile, disassemble or otherwise attempt to discover the underlying structure or technology of the Products, or use the Products for the purpose of developing any products or services that would compete with CST products or services, (c) not alter or remove from the Products any trademarks, trade names, logos, patent or copyright notices or markings, (d) use the Products solely in accordance with CST Product Terms of Sale and any applicable documentation, and (e) comply with any license, terms of service or similar agreement with respect to any third party products or services used by Customer in connection with the Products.

Orders: 877-616-CELL (2355) [email protected] Support: 877-678-TECH (8324) [email protected] Web: cellsignal.com
For Research Use Only. Not for Use in Diagnostic Procedures.

Revision 2

Cell Signaling Technology Logo
Western blot analysis of extracts from various cell lines using CD81 (D5O2Q) Rabbit mAb (upper) or β-Actin (D6A8) Rabbit mAb #8457 (lower). Data were generated using the standard formulation of this product.
Western Blotting Image 1: CD81 (D5O2Q) Rabbit Monoclonal Antibody (BSA and Azide Free)
Western blot analysis of extracts from 293T cells, untransfected (-) or transfected with a construct expressing Myc/DDK-tagged full-length mouse CD81 (mCD81-Myc/DDK, +), using CD81 (D5O2Q) Rabbit mAb. Data were generated using the standard formulation of this product.
Western Blotting Image 2: CD81 (D5O2Q) Rabbit Monoclonal Antibody (BSA and Azide Free)

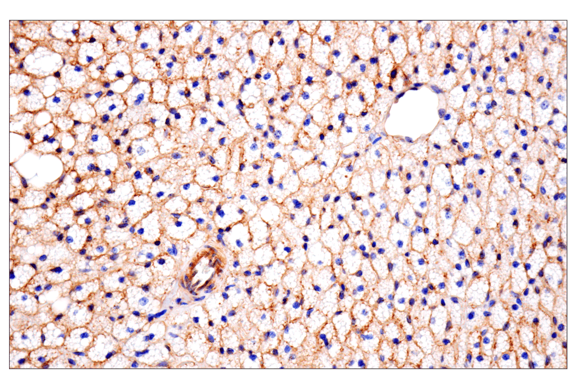
Immunohistochemical analysis of paraffin-embedded mouse liver using CD81 (D5O2Q) Rabbit mAb (left) compared to concentration-matched Rabbit (DA1E) mAb IgG XP® Isotype Control #3900 (right). Data were generated using the standard formulation of this product.

Immunohistochemistry Image 1: CD81 (D5O2Q) Rabbit Monoclonal Antibody (BSA and Azide Free)
Orders: 877-616-CELL (2355) [email protected] Support: 877-678-TECH (8324) [email protected] Web: cellsignal.com
For Research Use Only. Not for Use in Diagnostic Procedures.

Revision 2

Cell Signaling Technology Logo

Immunohistochemical analysis of paraffin-embedded CT26.WT syngeneic tumor using CD81 (D5O2Q) Rabbit mAb. Data were generated using the standard formulation of this product.

Immunohistochemistry Image 2: CD81 (D5O2Q) Rabbit Monoclonal Antibody (BSA and Azide Free)

Immunohistochemical analysis of paraffin-embedded C2C12 cell pellet (left, positive) or Ba/F3 cell pellet (right, negative) using CD81 (D5O2Q) Rabbit mAb. Data were generated using the standard formulation of this product.

Immunohistochemistry Image 3: CD81 (D5O2Q) Rabbit Monoclonal Antibody (BSA and Azide Free)
Immunohistochemical analysis of paraffin-embedded mouse cerebellum using CD81 (D5O2Q) Rabbit mAb. Data were generated using the standard formulation of this product.
Immunohistochemistry Image 4: CD81 (D5O2Q) Rabbit Monoclonal Antibody (BSA and Azide Free)
Orders: 877-616-CELL (2355) [email protected] Support: 877-678-TECH (8324) [email protected] Web: cellsignal.com
For Research Use Only. Not for Use in Diagnostic Procedures.

Revision 2

Cell Signaling Technology Logo
Immunohistochemical analysis of paraffin-embedded mouse striatum using CD81 (D5O2Q) Rabbit mAb. Data were generated using the standard formulation of this product.
Immunohistochemistry Image 5: CD81 (D5O2Q) Rabbit Monoclonal Antibody (BSA and Azide Free)
Immunohistochemical analysis of paraffin-embedded mouse brown fat using CD81 (D5O2Q) Rabbit mAb. Data were generated using the standard formulation of this product.
Immunohistochemistry Image 6: CD81 (D5O2Q) Rabbit Monoclonal Antibody (BSA and Azide Free)
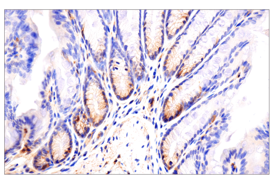
Immunohistochemical analysis of paraffin-embedded mouse colon using CD81 (D5O2Q) Rabbit mAb. Data were generated using the standard formulation of this product.
Immunohistochemistry Image 7: CD81 (D5O2Q) Rabbit Monoclonal Antibody (BSA and Azide Free)
Orders: 877-616-CELL (2355) [email protected] Support: 877-678-TECH (8324) [email protected] Web: cellsignal.com
For Research Use Only. Not for Use in Diagnostic Procedures.

Revision 2

Cell Signaling Technology Logo
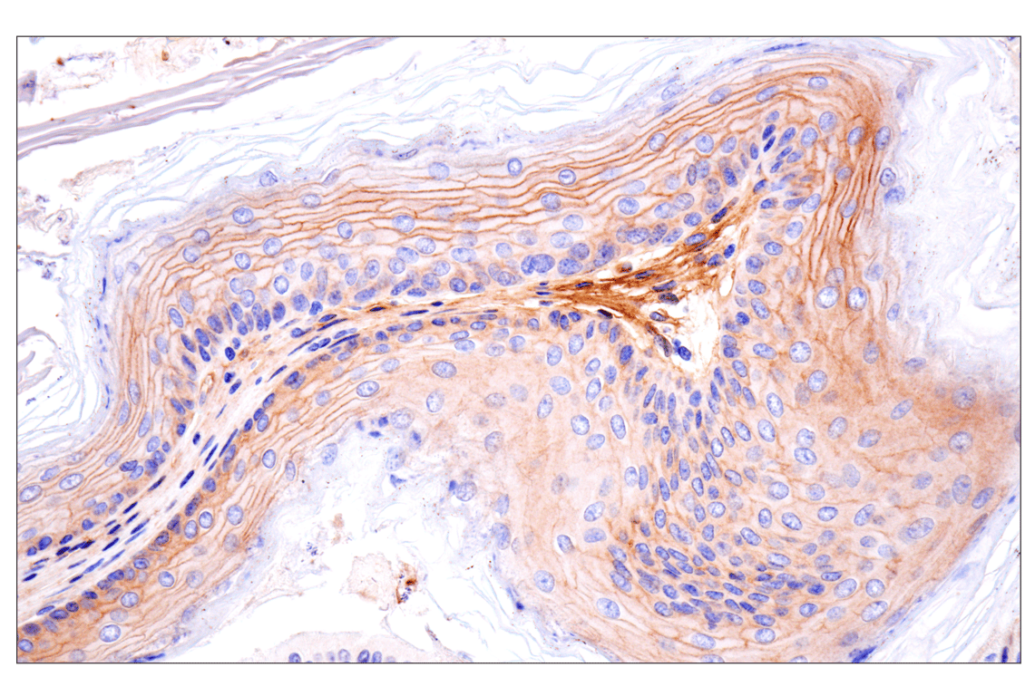
Immunohistochemical analysis of paraffin-embedded mouse forestomach using CD81 (D5O2Q) Rabbit mAb. Data were generated using the standard formulation of this product.
Immunohistochemistry Image 8: CD81 (D5O2Q) Rabbit Monoclonal Antibody (BSA and Azide Free)
Immunohistochemical analysis of paraffin-embedded mouse heart using CD81 (D5O2Q) Rabbit mAb. Data were generated using the standard formulation of this product.
Immunohistochemistry Image 9: CD81 (D5O2Q) Rabbit Monoclonal Antibody (BSA and Azide Free)
Immunohistochemical analysis of paraffin-embedded mouse lung using CD81 (D5O2Q) Rabbit mAb. Data were generated using the standard formulation of this product.
Immunohistochemistry Image 10: CD81 (D5O2Q) Rabbit Monoclonal Antibody (BSA and Azide Free)
Orders: 877-616-CELL (2355) [email protected] Support: 877-678-TECH (8324) [email protected] Web: cellsignal.com
For Research Use Only. Not for Use in Diagnostic Procedures.

Revision 2

Cell Signaling Technology Logo
Immunohistochemical analysis of paraffin-embedded mouse testis using CD81 (D5O2Q) Rabbit mAb. Data were generated using the standard formulation of this product.

Immunohistochemistry Image 11: CD81 (D5O2Q) Rabbit Monoclonal Antibody (BSA and Azide Free)
Confocal immunofluorescent analysis of C2C12 (positive, left) and BaF3 (negative, right) cells using CD81 (D5O2Q) Rabbit mAb (green). Blue pseudocolor = DRAQ5® #4084 (fluorescent DNA dye). Data were generated using the standard formulation of this product.
Immunofluorescence Image 1: CD81 (D5O2Q) Rabbit Monoclonal Antibody (BSA and Azide Free)
Flow cytometric analysis of live EL4 cells (blue, negative) and A20 cells (green, positive) using CD81 (D5O2Q) Rabbit mAb (solid lines) or concentration-matched Rabbit (DA1E) mAb IgG XP® Isotype Control #3900 (dashed line). Anti-rabbit IgG (H+L), F(ab')2 Fragment (Alexa Fluor® 488 Conjugate) #4412 was used as a secondary antibody. Data were generated using the standard formulation of this product.
Flow Cytometry Image 1: CD81 (D5O2Q) Rabbit Monoclonal Antibody (BSA and Azide Free)
Orders: 877-616-CELL (2355) [email protected] Support: 877-678-TECH (8324) [email protected] Web: cellsignal.com
For Research Use Only. Not for Use in Diagnostic Procedures.