Revision 10

#10037

Store at -20C

CST Logo
Orders:

877-616-CELL (2355)

[email protected]

Support:

877-678-TECH (8324)

3 Trask Lane | Danvers | Massachusetts | 01923 | USA

For Research Use Only. Not for Use in Diagnostic Procedures.

Applications:
W, IP, IHC-P, IF-IC, FC-FP, FC-L

Reactivity:
M

Sensitivity:
Endogenous

MW (kDa):
22

Source/Isotype:
Rabbit IgG

UniProt ID:
#P35762

Entrez-Gene Id:
12520

Product Usage Information

Application Dilution
Western Blotting 1:1000
Immunoprecipitation 1:50
Immunohistochemistry (Paraffin) 1:50 - 1:200
Immunofluorescence (Immunocytochemistry) 1:200 - 1:400
Flow Cytometry (Fixed/Permeabilized) 1:50
Flow Cytometry (Live) 1:50

Storage

Supplied in 10 mM sodium HEPES (pH 7.5), 150 mM NaCl, 100 µg/ml BSA, 50% glycerol and less than 0.02% sodium azide. Store at –20°C. Do not aliquot the antibody.

For a carrier free (BSA and azide free) version of this product see product #79273.

Specificity/Sensitivity

CD81 (D5O2Q) Rabbit Monoclonal Antibody recognizes endogenous levels of total CD81 protein.

Source / Purification

Monoclonal antibody is produced by immunizing animals with a synthetic peptide corresponding to residues surrounding Pro184 of mouse CD81 protein.

Background

CD81 belongs to the tetraspanin family, which is characterized by four transmembrane domains, one short extracellular domain (ECL1), and one long extracellular domain (ECL2) (1-3). Tetraspanins interact with a variety of cell surface proteins and intracellular signaling molecules in specialized tetraspanin enriched microdomains (TEMs) where they mediate a range of processes including adhesion, motility, membrane organization, and signal transduction (3). CD81, like other tetraspanins, is enriched in exosomes (4). Many research studies demonstrate a role for CD81 in lymphocyte signaling (5-7). CD81 is also a well-characterized receptor for Hepatitis C Virus and facilitates the entry of the virus into target cells (8,9).

Species Reactivity

Species reactivity is determined by testing in at least one approved application (e.g., western blot).

Western Blot Buffer

IMPORTANT: For western blots, incubate membrane with diluted primary antibody in 5% w/v nonfat dry milk, 1X TBS, 0.1% Tween® 20 at 4°C with gentle shaking, overnight.

Applications Key

W: Western Blotting IP: Immunoprecipitation IHC-P: Immunohistochemistry (Paraffin) IF-IC: Immunofluorescence (Immunocytochemistry) FC-FP: Flow Cytometry (Fixed/Permeabilized) FC-L: Flow Cytometry (Live)

Cross-Reactivity Key

M: Mouse

Trademarks and Patents

Cell Signaling Technology is a trademark of Cell Signaling Technology, Inc.

Alexa Fluor is a registered trademark of Life Technologies Corporation.

All other trademarks are the property of their respective owners. Visit cellsignal.com/trademarks for more information.

Limited Uses

Except as otherwise expressly agreed in a writing signed by a legally authorized representative of CST, the following terms apply to Products provided by CST, its affiliates or its distributors. Any Customer's terms and conditions that are in addition to, or different from, those contained herein, unless separately accepted in writing by a legally authorized representative of CST, are rejected and are of no force or effect.

Products are labeled with For Research Use Only or a similar labeling statement and have not been approved, cleared, or licensed by the FDA or other regulatory foreign or domestic entity, for any purpose. Customer shall not use any Product for any diagnostic or therapeutic purpose, or otherwise in any manner that conflicts with its labeling statement. Products sold or licensed by CST are provided for Customer as the end-user and solely for research and development uses. Any use of Product for diagnostic, prophylactic or therapeutic purposes, or any purchase of Product for resale (alone or as a component) or other commercial purpose, requires a separate license from CST. Customer shall (a) not sell, license, loan, donate or otherwise transfer or make available any Product to any third party, whether alone or in combination with other materials, or use the Products to manufacture any commercial products, (b) not copy, modify, reverse engineer, decompile, disassemble or otherwise attempt to discover the underlying structure or technology of the Products, or use the Products for the purpose of developing any products or services that would compete with CST products or services, (c) not alter or remove from the Products any trademarks, trade names, logos, patent or copyright notices or markings, (d) use the Products solely in accordance with CST Product Terms of Sale and any applicable documentation, and (e) comply with any license, terms of service or similar agreement with respect to any third party products or services used by Customer in connection with the Products.

Orders: 877-616-CELL (2355) [email protected] Support: 877-678-TECH (8324) [email protected] Web: cellsignal.com
For Research Use Only. Not for Use in Diagnostic Procedures.

Revision 10

Cell Signaling Technology Logo
Western blot analysis of extracts from various cell lines using CD81 (D5O2Q) Rabbit mAb (upper) or β-Actin (D6A8) Rabbit mAb #8457 (lower).
Western Blotting Image 1: CD81 (D5O2Q) Rabbit Monoclonal Antibody
Western blot analysis of extracts from 293T cells, untransfected (-) or transfected with a construct expressing Myc/DDK-tagged full-length mouse CD81 (mCD81-Myc/DDK, +), using CD81 (D5O2Q) Rabbit mAb.
Western Blotting Image 2: CD81 (D5O2Q) Rabbit Monoclonal Antibody
Immunoprecipitation of CD81 from extracts of C2C12 cells. Lane 1 is 10% input, Lane 2 is Rabbit (DA1E) mAb IgG XP® Isotype Control #3900, and lane 3 is CD81 (D5O2Q) Rabbit mAb. Western blot analysis was performed using CD81 (D5O2Q) Rabbit mAb.
Immunoprecipitation Image 1: CD81 (D5O2Q) Rabbit Monoclonal Antibody
Orders: 877-616-CELL (2355) [email protected] Support: 877-678-TECH (8324) [email protected] Web: cellsignal.com
For Research Use Only. Not for Use in Diagnostic Procedures.

Revision 10

Cell Signaling Technology Logo
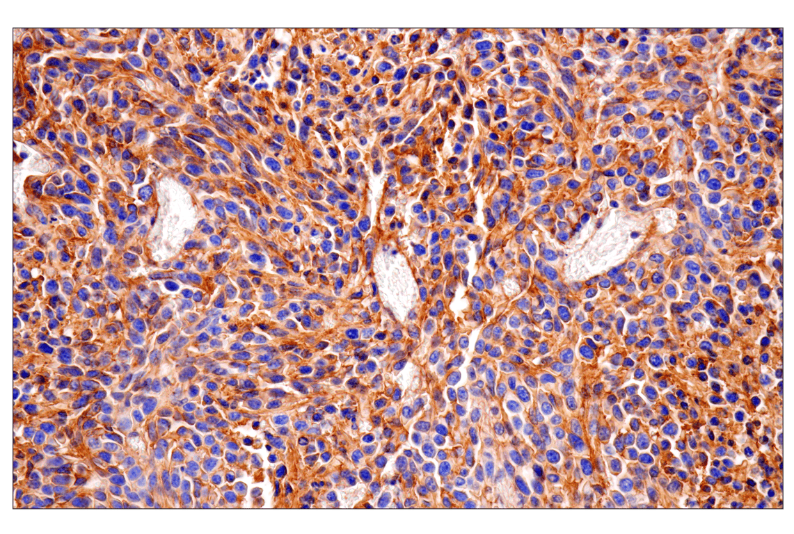
Immunohistochemical analysis of paraffin-embedded CT26.WT syngeneic tumor using CD81 (D5O2Q) Rabbit mAb.
Immunohistochemistry Image 1: CD81 (D5O2Q) Rabbit Monoclonal Antibody
Immunohistochemical analysis of paraffin-embedded mouse testis using CD81 (D5O2Q) Rabbit mAb.
Immunohistochemistry Image 2: CD81 (D5O2Q) Rabbit Monoclonal Antibody
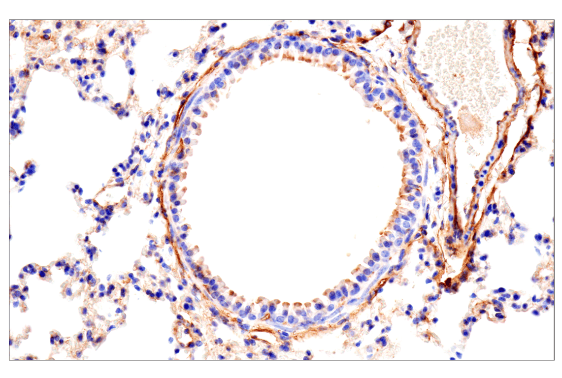
Immunohistochemical analysis of paraffin-embedded mouse lung using CD81 (D5O2Q) Rabbit mAb.
Immunohistochemistry Image 3: CD81 (D5O2Q) Rabbit Monoclonal Antibody
Orders: 877-616-CELL (2355) [email protected] Support: 877-678-TECH (8324) [email protected] Web: cellsignal.com
For Research Use Only. Not for Use in Diagnostic Procedures.

Revision 10

Cell Signaling Technology Logo
Immunohistochemical analysis of paraffin-embedded mouse cerebellum using CD81 (D5O2Q) Rabbit mAb.
Immunohistochemistry Image 4: CD81 (D5O2Q) Rabbit Monoclonal Antibody
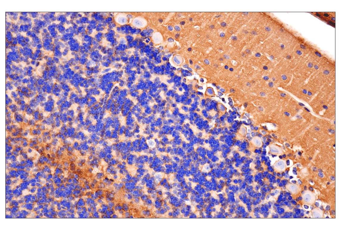
Immunohistochemical analysis of paraffin-embedded mouse striatum using CD81 (D5O2Q) Rabbit mAb.
Immunohistochemistry Image 5: CD81 (D5O2Q) Rabbit Monoclonal Antibody
Immunohistochemical analysis of paraffin-embedded mouse brown fat using CD81 (D5O2Q) Rabbit mAb.
Immunohistochemistry Image 6: CD81 (D5O2Q) Rabbit Monoclonal Antibody
Orders: 877-616-CELL (2355) [email protected] Support: 877-678-TECH (8324) [email protected] Web: cellsignal.com
For Research Use Only. Not for Use in Diagnostic Procedures.

Revision 10

Cell Signaling Technology Logo
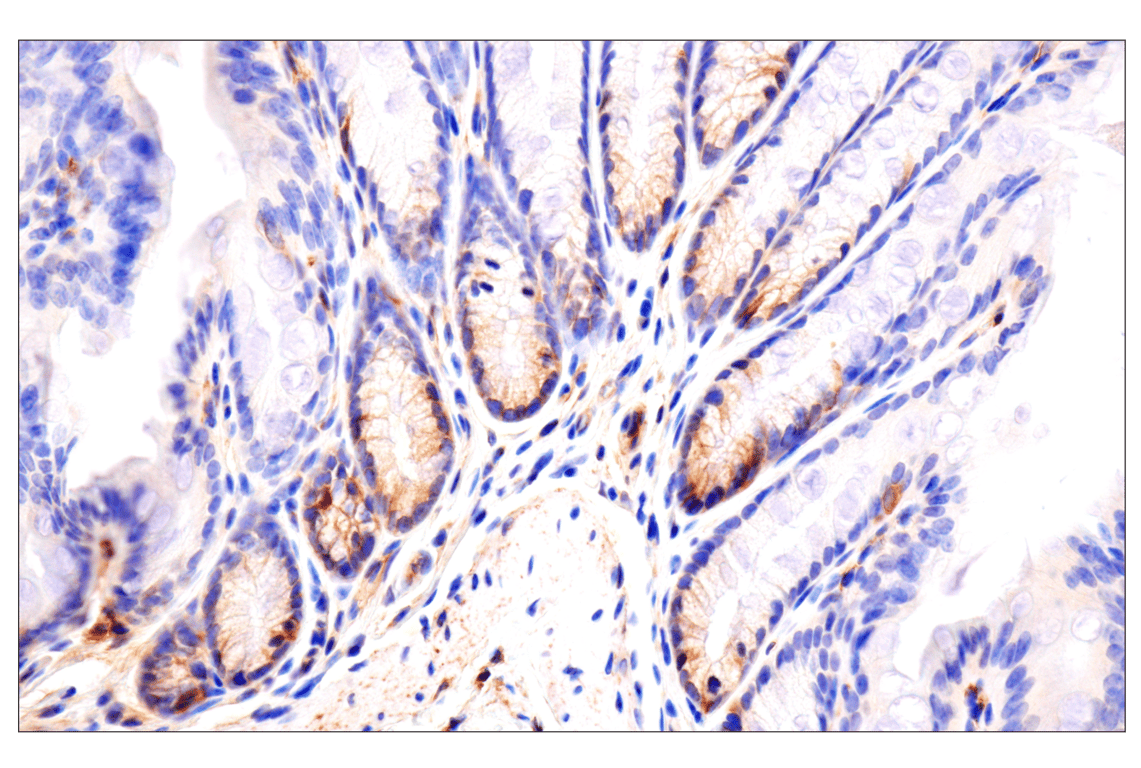
Immunohistochemical analysis of paraffin-embedded mouse colon using CD81 (D5O2Q) Rabbit mAb.
Immunohistochemistry Image 7: CD81 (D5O2Q) Rabbit Monoclonal Antibody
Immunohistochemical analysis of paraffin-embedded mouse heart using CD81 (D5O2Q) Rabbit mAb.
Immunohistochemistry Image 8: CD81 (D5O2Q) Rabbit Monoclonal Antibody
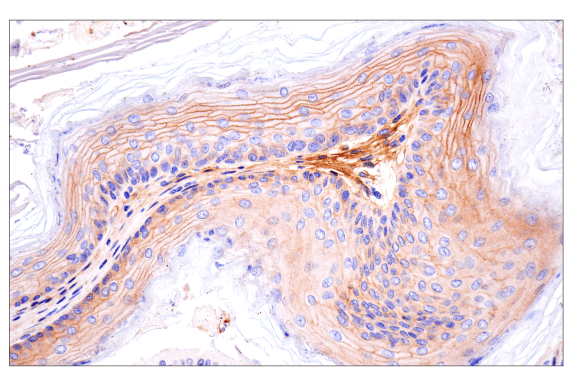
Immunohistochemical analysis of paraffin-embedded mouse forestomach using CD81 (D5O2Q) Rabbit mAb.
Immunohistochemistry Image 9: CD81 (D5O2Q) Rabbit Monoclonal Antibody
Orders: 877-616-CELL (2355) [email protected] Support: 877-678-TECH (8324) [email protected] Web: cellsignal.com
For Research Use Only. Not for Use in Diagnostic Procedures.

Revision 10

Cell Signaling Technology Logo
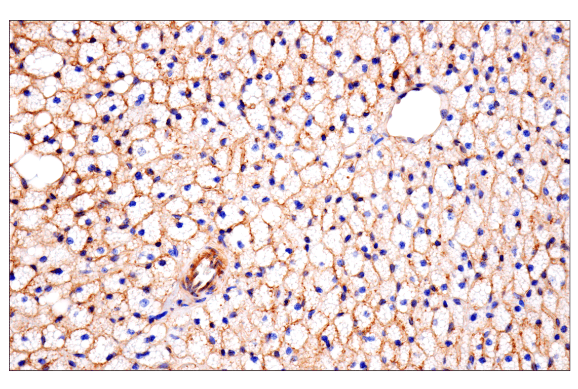
Immunohistochemical analysis of paraffin-embedded mouse liver using CD81 (D5O2Q) Rabbit mAb (left) compared to concentration-matched Rabbit (DA1E) mAb IgG XP® Isotype Control #3900 (right).
Immunohistochemistry Image 10: CD81 (D5O2Q) Rabbit Monoclonal Antibody
Immunohistochemical analysis of paraffin-embedded C2C12 cell pellet (left, positive) or Ba/F3 cell pellet (right, negative) using CD81 (D5O2Q) Rabbit mAb.
Immunohistochemistry Image 11: CD81 (D5O2Q) Rabbit Monoclonal Antibody
Confocal immunofluorescent analysis of C2C12 (positive, left) and BaF3 (negative, right) cells using CD81 (D5O2Q) Rabbit mAb (green). Blue pseudocolor = DRAQ5® #4084 (fluorescent DNA dye).
Immunofluorescence Image 1: CD81 (D5O2Q) Rabbit Monoclonal Antibody
Orders: 877-616-CELL (2355) [email protected] Support: 877-678-TECH (8324) [email protected] Web: cellsignal.com
For Research Use Only. Not for Use in Diagnostic Procedures.

Revision 10

Cell Signaling Technology Logo
Flow cytometric analysis of live EL4 cells (blue, negative) and A20 cells (green, positive) using CD81 (D5O2Q) Rabbit mAb (solid lines) or concentration-matched Rabbit (DA1E) mAb IgG XP® Isotype Control #3900 (dashed line). Anti-rabbit IgG (H+L), F(ab')2 Fragment (Alexa Fluor® 488 Conjugate) #4412 was used as a secondary antibody.
Flow Cytometry Image 1: CD81 (D5O2Q) Rabbit Monoclonal Antibody
Orders: 877-616-CELL (2355) [email protected] Support: 877-678-TECH (8324) [email protected] Web: cellsignal.com
For Research Use Only. Not for Use in Diagnostic Procedures.