Revision 1

#12439

Store at -20C

CST Logo
Orders:

877-616-CELL (2355)

[email protected]

Support:

877-678-TECH (8324)

3 Trask Lane | Danvers | Massachusetts | 01923 | USA

For Research Use Only. Not for Use in Diagnostic Procedures.

Applications:
W, IHC-P

Reactivity:
H

Sensitivity:
Endogenous

MW (kDa):
30-60

Source/Isotype:
Rabbit IgG

UniProt ID:
#P27701

Entrez-Gene Id:
3732

Product Usage Information

Application Dilution
Western Blotting 1:1000
Immunohistochemistry (Paraffin) 1:1200

Storage

Supplied in 10 mM sodium HEPES (pH 7.5), 150 mM NaCl, 100 µg/ml BSA, 50% glycerol and less than 0.02% sodium azide. Store at –20°C. Do not aliquot the antibody.

Specificity/Sensitivity

CD82 (D7G6H) Rabbit Monoclonal Antibody recognizes endogenous levels of total CD82 protein.

Source / Purification

Monoclonal antibody is produced by immunizing animals with a synthetic peptide corresponding to residues surrounding Ile125 of human CD82 protein.

Background

CD82 (KAI1) belongs to the tetraspanin family, which is characterized by four transmembrane domains, one short extracellular domain (ECL1), and one long extracellular domain (ECL2). CD82 does not have enzymatic activity and appears to function by regulating the trafficking of other proteins and organization of the cell membrane (1). CD82 was originally described as a costimulator for T cells that directly associates with CD4 and CD8, and was subsequently identified during a screen as a metastasis suppressor in prostate cancer (2,3). CD82 has since been found to act as a metastasis suppressor in a variety of cancers, and its downregulation is associated with poor prognosis in research studies (4-6). CD82 suppresses metastasis through multiple mechanisms including inhibition of cell motility and invasion by modulating c-Met and the urokinase plasminogen activator surface receptor (uPAR), as well as promotion of homotypic cell-cell adhesion by stabilizing interactions between E-cadherin and β-catenin (7-9).

Species Reactivity

Species reactivity is determined by testing in at least one approved application (e.g., western blot).

Western Blot Buffer

IMPORTANT: For western blots, incubate membrane with diluted primary antibody in 5% w/v BSA, 1X TBS, 0.1% Tween® 20 at 4°C with gentle shaking, overnight.

Applications Key

W: Western Blotting IHC-P: Immunohistochemistry (Paraffin)

Cross-Reactivity Key

H: Human

Trademarks and Patents

Cell Signaling Technology is a trademark of Cell Signaling Technology, Inc.

All other trademarks are the property of their respective owners. Visit cellsignal.com/trademarks for more information.

Limited Uses

Except as otherwise expressly agreed in a writing signed by a legally authorized representative of CST, the following terms apply to Products provided by CST, its affiliates or its distributors. Any Customer's terms and conditions that are in addition to, or different from, those contained herein, unless separately accepted in writing by a legally authorized representative of CST, are rejected and are of no force or effect.

Products are labeled with For Research Use Only or a similar labeling statement and have not been approved, cleared, or licensed by the FDA or other regulatory foreign or domestic entity, for any purpose. Customer shall not use any Product for any diagnostic or therapeutic purpose, or otherwise in any manner that conflicts with its labeling statement. Products sold or licensed by CST are provided for Customer as the end-user and solely for research and development uses. Any use of Product for diagnostic, prophylactic or therapeutic purposes, or any purchase of Product for resale (alone or as a component) or other commercial purpose, requires a separate license from CST. Customer shall (a) not sell, license, loan, donate or otherwise transfer or make available any Product to any third party, whether alone or in combination with other materials, or use the Products to manufacture any commercial products, (b) not copy, modify, reverse engineer, decompile, disassemble or otherwise attempt to discover the underlying structure or technology of the Products, or use the Products for the purpose of developing any products or services that would compete with CST products or services, (c) not alter or remove from the Products any trademarks, trade names, logos, patent or copyright notices or markings, (d) use the Products solely in accordance with CST Product Terms of Sale and any applicable documentation, and (e) comply with any license, terms of service or similar agreement with respect to any third party products or services used by Customer in connection with the Products.

Orders: 877-616-CELL (2355) [email protected] Support: 877-678-TECH (8324) [email protected] Web: cellsignal.com
For Research Use Only. Not for Use in Diagnostic Procedures.

Revision 1

Cell Signaling Technology Logo
Western blot analysis of extracts from 293T cells, mock transfected (-) or transfected with a construct expressing Myc/DDK-tagged full-length human CD82 (hCD82-Myc/DDK; +), using CD82 (D7G6H) Rabbit mAb.
Western Blotting Image 1: CD82 (D7G6H) Rabbit Monoclonal Antibody
Western blot analysis of extracts from various cell lines using CD82 (D7G6H) Rabbit mAb (upper) or β-Actin (D6A8) Rabbit mAb #8457 (lower).
Western Blotting Image 2: CD82 (D7G6H) Rabbit Monoclonal Antibody
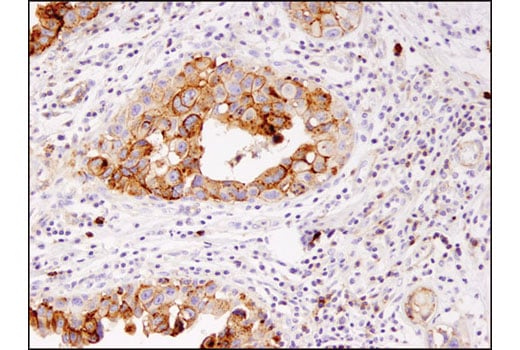
Immunohistochemical analysis of paraffin-embedded breast adenocarcinoma using CD82 (D7G6H) Rabbit mAb.
Immunohistochemistry Image 1: CD82 (D7G6H) Rabbit Monoclonal Antibody
Orders: 877-616-CELL (2355) [email protected] Support: 877-678-TECH (8324) [email protected] Web: cellsignal.com
For Research Use Only. Not for Use in Diagnostic Procedures.

Revision 1

Cell Signaling Technology Logo
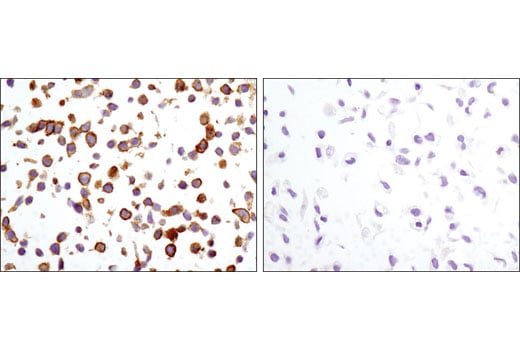
Immunohistochemical analysis of paraffin-embedded cell pellets, HT-29 (left) and A549 (right), using CD82 (D7G6H) Rabbit mAb.
Immunohistochemistry Image 2: CD82 (D7G6H) Rabbit Monoclonal Antibody
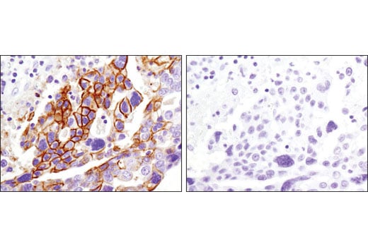
Immunohistochemical analysis of paraffin-embedded human ovarian serous adenocarcinoma using CD82 (D7G6H)

Rabbit mAb in the presence of control peptide (left) or antigen-specific peptide (right).

Immunohistochemistry Image 3: CD82 (D7G6H) Rabbit Monoclonal Antibody
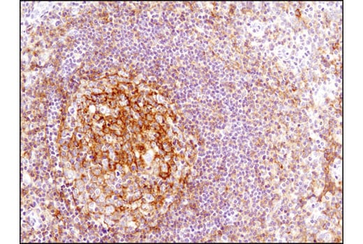
Immunohistochemical analysis of paraffin-embedded human tonsil using CD82 (D7G6H) Rabbit mAb.
Immunohistochemistry Image 4: CD82 (D7G6H) Rabbit Monoclonal Antibody
Orders: 877-616-CELL (2355) [email protected] Support: 877-678-TECH (8324) [email protected] Web: cellsignal.com
For Research Use Only. Not for Use in Diagnostic Procedures.