Revision 9

#91882

Store at -20C

CST Logo
Orders:

877-616-CELL (2355)

[email protected]

Support:

877-678-TECH (8324)

3 Trask Lane | Danvers | Massachusetts | 01923 | USA

For Research Use Only. Not for Use in Diagnostic Procedures.

Applications:
W, IHC-Bond, IHC-P, IF-IC

Reactivity:
H Mk

Sensitivity:
Endogenous

MW (kDa):
60-85

Source/Isotype:
Rabbit IgG

UniProt ID:
#P42081

Entrez-Gene Id:
942

Product Usage Information

Application Dilution
Western Blotting 1:1000
IHC Leica Bond 1:50 - 1:200
Immunohistochemistry (Paraffin) 1:50 - 1:200
Immunofluorescence (Immunocytochemistry) 1:100 - 1:200

Storage

Supplied in 10 mM sodium HEPES (pH 7.5), 150 mM NaCl, 100 µg/ml BSA, 50% glycerol and less than 0.02% sodium azide. Store at –20°C. Do not aliquot the antibody.

For a carrier free (BSA and azide free) version of this product see product #76755.

Specificity/Sensitivity

CD86 (E2G8P) Rabbit Monoclonal Antibody recognizes endogenous levels of total CD86 protein.

Source / Purification

Monoclonal antibody is produced by immunizing animals with a synthetic peptide corresponding to residues surrounding Pro239 of human CD86 protein.

Background

CD80 (B7-1, BB1) and CD86 (B7-2, B70) are members of the B7 family of cell surface ligands that regulate T cell activation and immune responses. CD80 is expressed on activated antigen presenting cells, including dendritic cells, B cells, monocytes, and macrophages. CD86 is expressed on resting monocytes, dendritic cells, activated B lymphocytes, and can be further upregulated in the presence of inflammation (1-3). CD80 and CD86 are ligands for CD28, which functions as a T cell costimulatory receptor. Interaction of CD28 with CD80 or CD86 provides the second signal required for naïve T cell activation, T cell proliferation, and acquisition of effector functions (3-7). Alternatively, CD80 and CD86 also act as ligands to CTLA-4, which results in the downregulation of T cell activity (3,7-9).

Species Reactivity

Species reactivity is determined by testing in at least one approved application (e.g., western blot).

Western Blot Buffer

IMPORTANT: For western blots, incubate membrane with diluted primary antibody in 5% w/v BSA, 1X TBS, 0.1% Tween® 20 at 4°C with gentle shaking, overnight.

Applications Key

W: Western Blotting IHC-Bond: IHC Leica Bond IHC-P: Immunohistochemistry (Paraffin) IF-IC: Immunofluorescence (Immunocytochemistry)

Cross-Reactivity Key

H: Human Mk: Monkey

Trademarks and Patents

Cell Signaling Technology is a trademark of Cell Signaling Technology, Inc.

SignalStain is a registered trademark of Cell Signaling Technology, Inc.

All other trademarks are the property of their respective owners. Visit cellsignal.com/trademarks for more information.

Limited Uses

Except as otherwise expressly agreed in a writing signed by a legally authorized representative of CST, the following terms apply to Products provided by CST, its affiliates or its distributors. Any Customer's terms and conditions that are in addition to, or different from, those contained herein, unless separately accepted in writing by a legally authorized representative of CST, are rejected and are of no force or effect.

Products are labeled with For Research Use Only or a similar labeling statement and have not been approved, cleared, or licensed by the FDA or other regulatory foreign or domestic entity, for any purpose. Customer shall not use any Product for any diagnostic or therapeutic purpose, or otherwise in any manner that conflicts with its labeling statement. Products sold or licensed by CST are provided for Customer as the end-user and solely for research and development uses. Any use of Product for diagnostic, prophylactic or therapeutic purposes, or any purchase of Product for resale (alone or as a component) or other commercial purpose, requires a separate license from CST. Customer shall (a) not sell, license, loan, donate or otherwise transfer or make available any Product to any third party, whether alone or in combination with other materials, or use the Products to manufacture any commercial products, (b) not copy, modify, reverse engineer, decompile, disassemble or otherwise attempt to discover the underlying structure or technology of the Products, or use the Products for the purpose of developing any products or services that would compete with CST products or services, (c) not alter or remove from the Products any trademarks, trade names, logos, patent or copyright notices or markings, (d) use the Products solely in accordance with CST Product Terms of Sale and any applicable documentation, and (e) comply with any license, terms of service or similar agreement with respect to any third party products or services used by Customer in connection with the Products.

Orders: 877-616-CELL (2355) [email protected] Support: 877-678-TECH (8324) [email protected] Web: cellsignal.com
For Research Use Only. Not for Use in Diagnostic Procedures.

Revision 9

Cell Signaling Technology Logo
Western blot analysis of extracts from various cell lines using CD86 (E2G8P) Rabbit mAb (upper) or β-Actin (D6A8) Rabbit mAb #8457 (lower).
Western Blotting Image 1: CD86 (E2G8P) Rabbit Monoclonal Antibody
Immunohistochemical analysis of paraffin-embedded human lung adenocarcinoma using CD86 (E2G8P) Rabbit mAb performed on the Leica® BOND™ Rx.
Immunohistochemistry Image 1: CD86 (E2G8P) Rabbit Monoclonal Antibody
Immunohistochemical analysis of paraffin-embedded human gastric adenocarcinoma using CD86 (E2G8P) Rabbit mAb performed on the Leica® BOND™ Rx.
Immunohistochemistry Image 2: CD86 (E2G8P) Rabbit Monoclonal Antibody
Orders: 877-616-CELL (2355) [email protected] Support: 877-678-TECH (8324) [email protected] Web: cellsignal.com
For Research Use Only. Not for Use in Diagnostic Procedures.

Revision 9

Cell Signaling Technology Logo
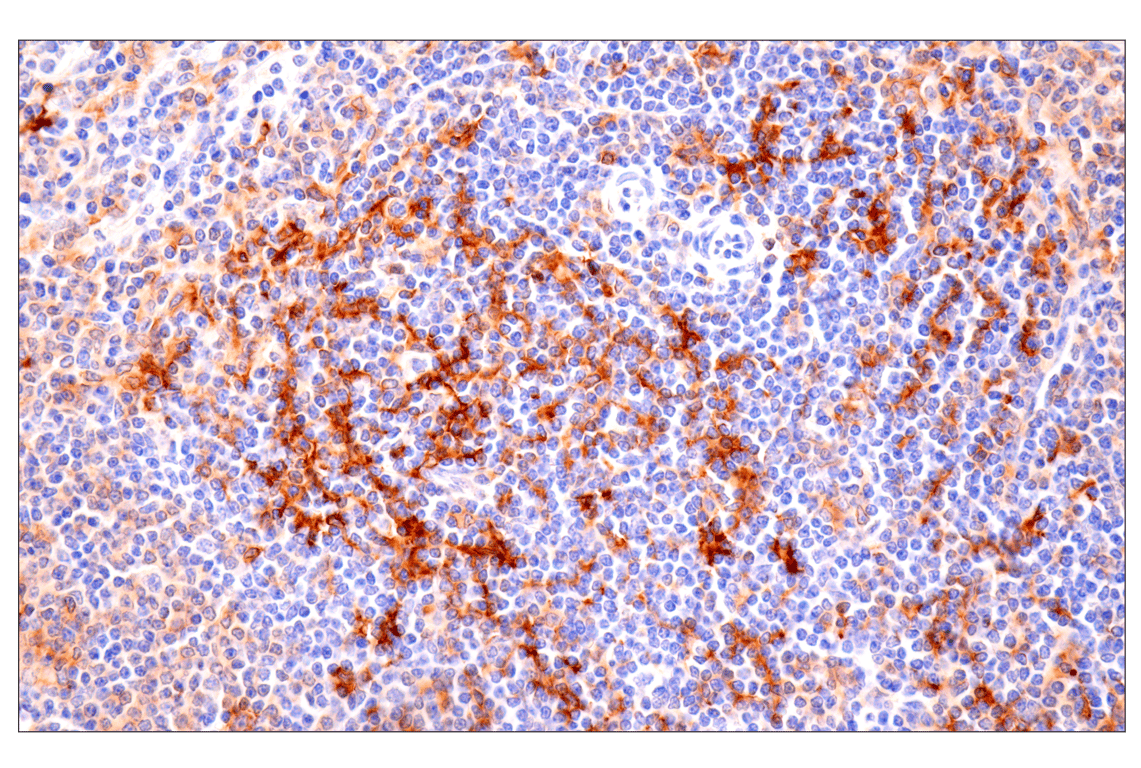
Immunohistochemical analysis of paraffin-embedded human tonsil using CD86 (E2G8P) Rabbit mAb performed on the Leica® BOND™ Rx. 
Immunohistochemistry Image 3: CD86 (E2G8P) Rabbit Monoclonal Antibody
Immunohistochemical analysis of paraffin-embedded human ovarian serous carcinoma using CD86 (E2G8P) Rabbit mAb performed on the Leica® BOND™ Rx.
Immunohistochemistry Image 4: CD86 (E2G8P) Rabbit Monoclonal Antibody
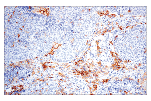
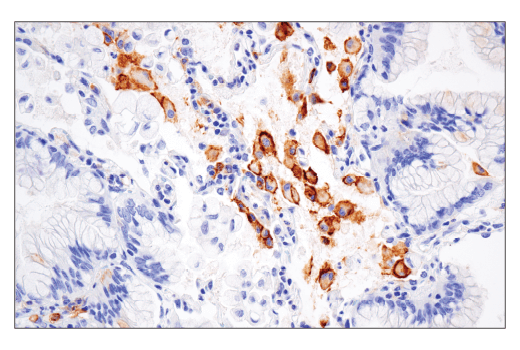
Immunohistochemical analysis of paraffin-embedded human colon adenocarcinoma using CD86 (E2G8P) Rabbit mAb.
Immunohistochemistry Image 1: CD86 (E2G8P) Rabbit Monoclonal Antibody
Orders: 877-616-CELL (2355) [email protected] Support: 877-678-TECH (8324) [email protected] Web: cellsignal.com
For Research Use Only. Not for Use in Diagnostic Procedures.

Revision 9

Cell Signaling Technology Logo
Immunohistochemical analysis of paraffin-embedded cynomolgus monkey spleen using CD86 (E2G8P) Rabbit mAb.
Immunohistochemistry Image 2: CD86 (E2G8P) Rabbit Monoclonal Antibody
Immunohistochemical analysis of paraffin-embedded human lung adenocarcinoma using CD86 (E2G8P) Rabbit mAb (left) compared to concentration matched Rabbit (DA1E) mAb IgG XP® Isotype Control #3900 (right).
Immunohistochemistry Image 3: CD86 (E2G8P) Rabbit Monoclonal Antibody
Immunohistochemical analysis of paraffin-embedded HDLM-2 cell pellet (left, positive) or HT-29 cell pellet (right, negative) using CD86 (E2G8P) Rabbit mAb.
Immunohistochemistry Image 4: CD86 (E2G8P) Rabbit Monoclonal Antibody
Orders: 877-616-CELL (2355) [email protected] Support: 877-678-TECH (8324) [email protected] Web: cellsignal.com
For Research Use Only. Not for Use in Diagnostic Procedures.

Revision 9

Cell Signaling Technology Logo
Confocal immunofluorescent analysis of HDLM-2 cells (left, positive) and HT-29 cells (right, negative) using CD86 (E2G8P) Rabbit mAb (green). Blue = Hoechst 33342 #4082 (fluorescent DNA dye).
Immunofluorescence Image 1: CD86 (E2G8P) Rabbit Monoclonal Antibody
Orders: 877-616-CELL (2355) [email protected] Support: 877-678-TECH (8324) [email protected] Web: cellsignal.com
For Research Use Only. Not for Use in Diagnostic Procedures.