Revision 5

#55011

Store at -20C

CST Logo
Orders:

877-616-CELL (2355)

[email protected]

Support:

877-678-TECH (8324)

3 Trask Lane | Danvers | Massachusetts | 01923 | USA

For Research Use Only. Not for Use in Diagnostic Procedures.

Applications:
W, IP, IHC-P, FC-L

Reactivity:
H

Sensitivity:
Endogenous

MW (kDa):
120, 82

Source/Isotype:
Rabbit IgG

UniProt ID:
#Q9NPY3

Entrez-Gene Id:
22918

Product Usage Information

Application Dilution
Western Blotting 1:1000
Immunoprecipitation 1:50
Immunohistochemistry (Paraffin) 1:800 - 1:3200
Flow Cytometry (Live) 1:400 - 1:1600

Storage

Supplied in 10 mM sodium HEPES (pH 7.5), 150 mM NaCl, 100 µg/mL BSA, 50% glycerol, and less than 0.02% sodium azide. Store at –20°C. Do not aliquot the antibody.

For a carrier free (BSA and azide free) version of this product see product #55570.

Specificity/Sensitivity

CD93/C1qR (E5H9B) Rabbit Monoclonal Antibody recognizes endogenous levels of total CD93/C1qR protein.

Source / Purification

Monoclonal antibody is produced by immunizing animals with recombinant protein specific to the extracellular domain of human CD93/C1qR protein.

Background

CD93, also known as complement component C1q receptor (C1qR), is a type-I transmembrane glycoprotein belonging to the CLEC14 family of surface antigens, which share a similar ectodomain architecture highlighted by the presence of a C-type lectin domain and multiple EGF-like domains. CD93/C1qR expression is primarily restricted to endothelial cells associated with normal and tumor-associated vasculature as well as immune cells of the myeloid lineage, including monocytes and neutrophils (1). The extracellular domain of CD93/C1qR is rich in O-linked glycosylation modifications, which stabilizes its surface expression by protecting it from proteolytic cleavage (2,3). CD93/C1qR regulates various aspects of endothelial cell biology, including proliferation, migration, and adhesion (4). Indeed, research studies have demonstrated that surface-expressed CD93/C1qR binds to an endothelial-specific extracellular matrix ligand, multimerin-2, and disrupting the interaction compromises angiogenesis (5). Furthermore, CD93 expression is upregulated in tumor vasculature and correlates with poor survival (6-8).

Species Reactivity

Species reactivity is determined by testing in at least one approved application (e.g., western blot).

Western Blot Buffer

IMPORTANT: For western blots, incubate membrane with diluted primary antibody in 5% w/v BSA, 1X TBS, 0.1% Tween® 20 at 4°C with gentle shaking, overnight.

Applications Key

W: Western Blotting IP: Immunoprecipitation IHC-P: Immunohistochemistry (Paraffin) FC-L: Flow Cytometry (Live)

Cross-Reactivity Key

H: Human

Trademarks and Patents

Cell Signaling Technology is a trademark of Cell Signaling Technology, Inc.

All other trademarks are the property of their respective owners. Visit cellsignal.com/trademarks for more information.

Limited Uses

Except as otherwise expressly agreed in a writing signed by a legally authorized representative of CST, the following terms apply to Products provided by CST, its affiliates or its distributors. Any Customer's terms and conditions that are in addition to, or different from, those contained herein, unless separately accepted in writing by a legally authorized representative of CST, are rejected and are of no force or effect.

Products are labeled with For Research Use Only or a similar labeling statement and have not been approved, cleared, or licensed by the FDA or other regulatory foreign or domestic entity, for any purpose. Customer shall not use any Product for any diagnostic or therapeutic purpose, or otherwise in any manner that conflicts with its labeling statement. Products sold or licensed by CST are provided for Customer as the end-user and solely for research and development uses. Any use of Product for diagnostic, prophylactic or therapeutic purposes, or any purchase of Product for resale (alone or as a component) or other commercial purpose, requires a separate license from CST. Customer shall (a) not sell, license, loan, donate or otherwise transfer or make available any Product to any third party, whether alone or in combination with other materials, or use the Products to manufacture any commercial products, (b) not copy, modify, reverse engineer, decompile, disassemble or otherwise attempt to discover the underlying structure or technology of the Products, or use the Products for the purpose of developing any products or services that would compete with CST products or services, (c) not alter or remove from the Products any trademarks, trade names, logos, patent or copyright notices or markings, (d) use the Products solely in accordance with CST Product Terms of Sale and any applicable documentation, and (e) comply with any license, terms of service or similar agreement with respect to any third party products or services used by Customer in connection with the Products.

Orders: 877-616-CELL (2355) [email protected] Support: 877-678-TECH (8324) [email protected] Web: cellsignal.com
For Research Use Only. Not for Use in Diagnostic Procedures.

Revision 5

Cell Signaling Technology Logo
Western blot analysis of extracts from various cell lines using CD93/C1qR (E5H9B) Rabbit mAb (upper) or β-Actin (D6A8) Rabbit mAb #8457 (lower). Negative expression of CD93/C1qR protein in GRANTA 519 and Raji cells is consistent with the predicted expression pattern.
Western Blotting Image 1: CD93/C1qR (E5H9B) Rabbit Monoclonal Antibody
Western blot analysis of extracts from 293T cells, mock transfected (-) or transfected with a construct expressing Myc/DDK-tagged full-length human CD93/C1qR (hCD93/C1qR-Myc/DDK; +), using CD93/C1qR (E5H9B) Rabbit mAb (upper), Myc-Tag (71D10) Rabbit mAb #2278 (middle), or β-Actin (D6A8) Rabbit mAb #8457 (lower).
Western Blotting Image 2: CD93/C1qR (E5H9B) Rabbit Monoclonal Antibody
Immunoprecipitation of CD93/C1qR protein from U-937 cell extracts. Lane 1 is 10% input, lane 2 is Rabbit (DA1E) mAb IgG XP® Isotype Control #3900, and lane 3 is CD93/C1qR (E5H9B) Rabbit mAb. Western blot analysis was performed using CD93/C1qR (E5H9B) Rabbit mAb. Anti-rabbit IgG, HRP-linked Antibody #7074 was used as a secondary antibody.
Immunoprecipitation Image 1: CD93/C1qR (E5H9B) Rabbit Monoclonal Antibody
Orders: 877-616-CELL (2355) [email protected] Support: 877-678-TECH (8324) [email protected] Web: cellsignal.com
For Research Use Only. Not for Use in Diagnostic Procedures.

Revision 5

Cell Signaling Technology Logo

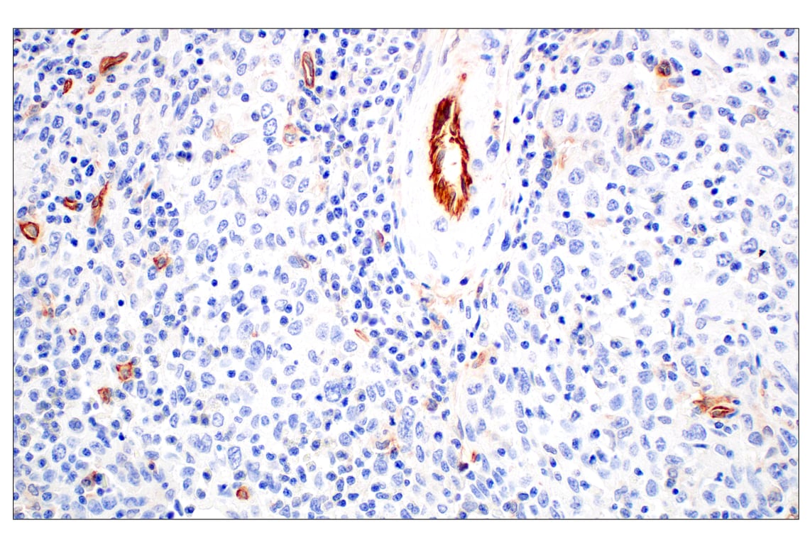
Immunohistochemical analysis of paraffin-embedded human non-Hodgkin lymphoma using CD93/C1qR (E5H9B) Rabbit mAb.

Immunohistochemistry Image 1: CD93/C1qR (E5H9B) Rabbit Monoclonal Antibody

Immunohistochemical analysis of paraffin-embedded human urothelial carcinoma using CD93/C1qR (E5H9B) Rabbit mAb.

Immunohistochemistry Image 2: CD93/C1qR (E5H9B) Rabbit Monoclonal Antibody

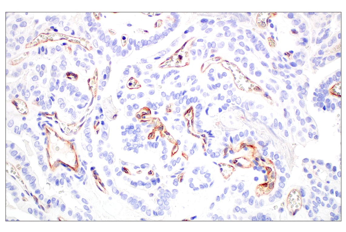
Immunohistochemical analysis of paraffin-embedded human papillary thyroid carcinoma using CD93/C1qR (E5H9B) Rabbit mAb.

Immunohistochemistry Image 3: CD93/C1qR (E5H9B) Rabbit Monoclonal Antibody
Orders: 877-616-CELL (2355) [email protected] Support: 877-678-TECH (8324) [email protected] Web: cellsignal.com
For Research Use Only. Not for Use in Diagnostic Procedures.

Revision 5

Cell Signaling Technology Logo
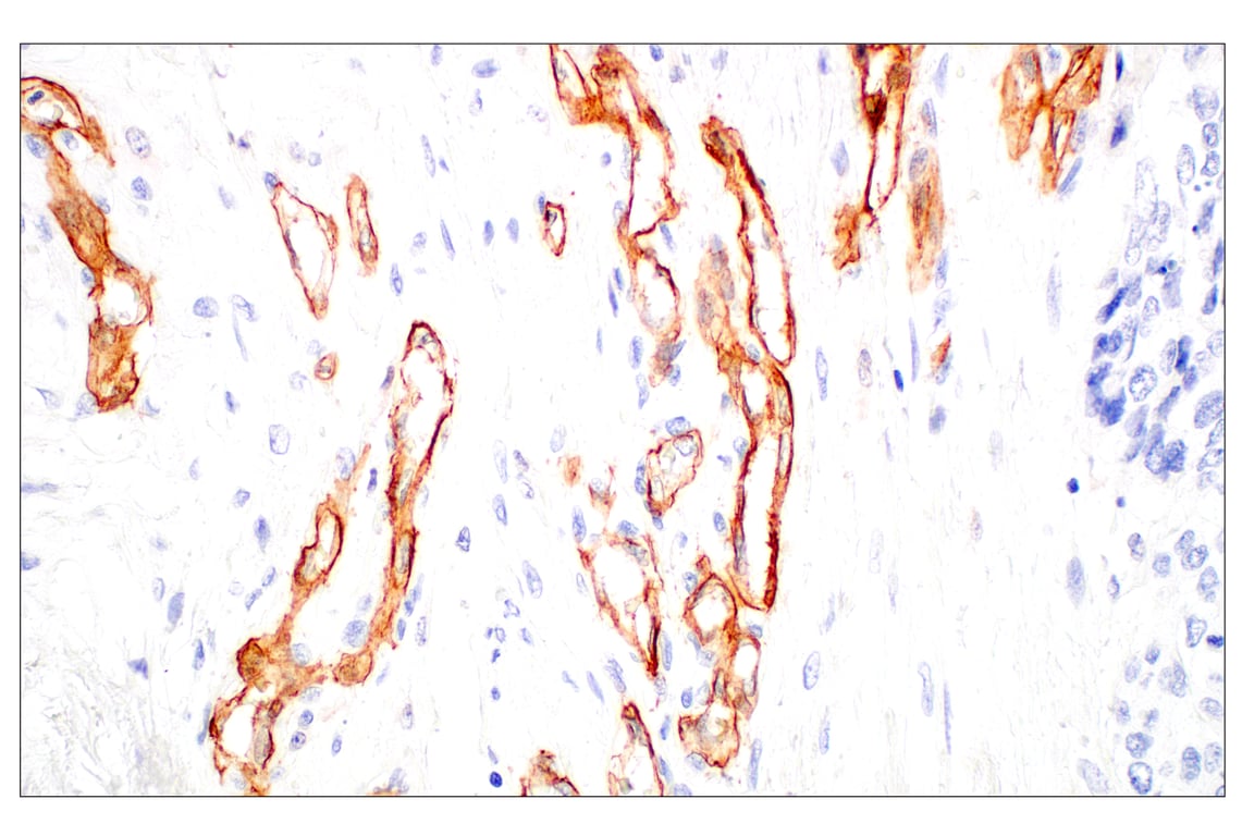
Immunohistochemical analysis of paraffin-embedded human squamous cell carcinoma of the cervix using CD93/C1qR (E5H9B) Rabbit mAb.
Immunohistochemistry Image 4: CD93/C1qR (E5H9B) Rabbit Monoclonal Antibody

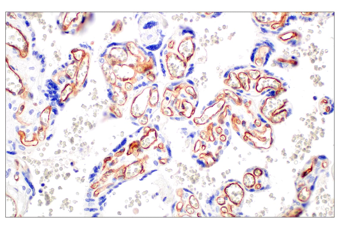
Immunohistochemical analysis of paraffin-embedded normal human placenta using CD93/C1qR (E5H9B) Rabbit mAb.

Immunohistochemistry Image 5: CD93/C1qR (E5H9B) Rabbit Monoclonal Antibody
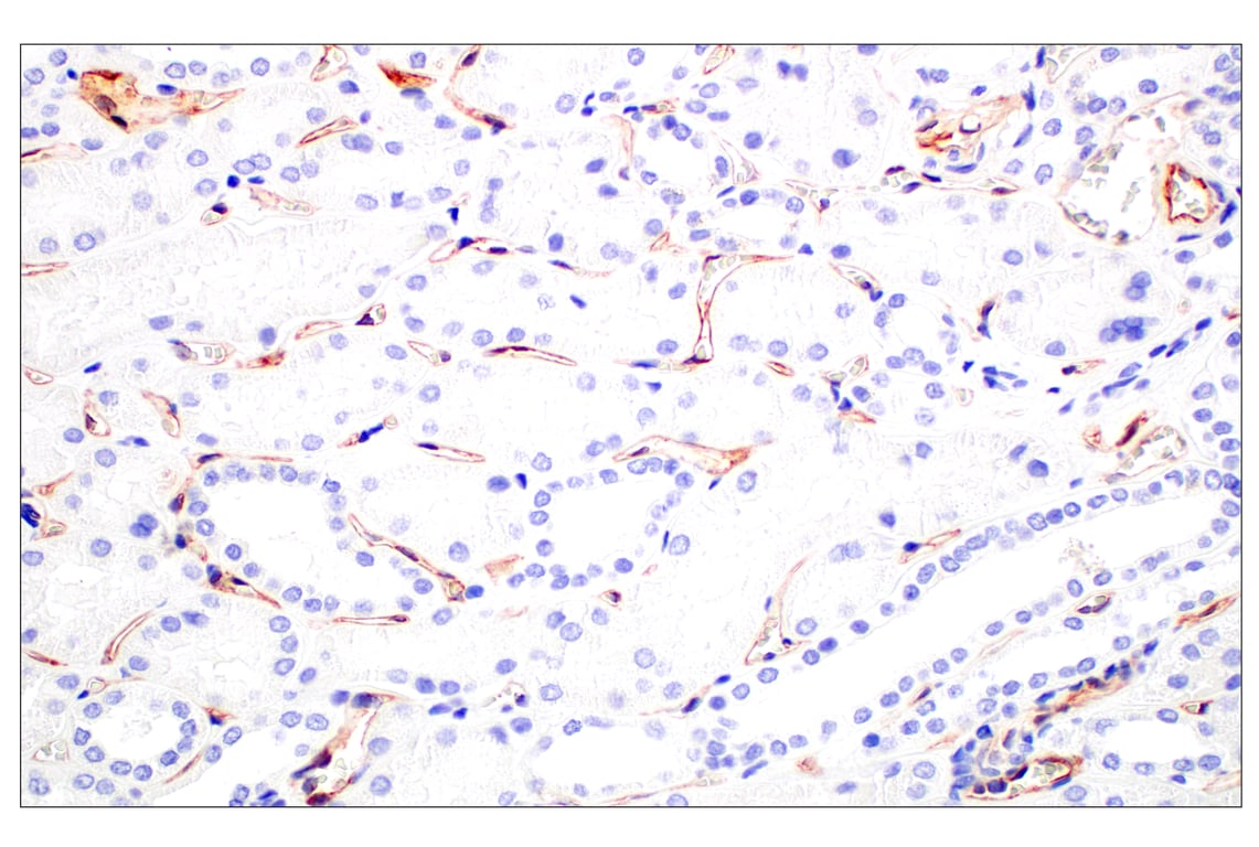
Immunohistochemical analysis of paraffin-embedded normal human kidney using CD93/C1qR (E5H9B) Rabbit mAb.
Immunohistochemistry Image 6: CD93/C1qR (E5H9B) Rabbit Monoclonal Antibody
Orders: 877-616-CELL (2355) [email protected] Support: 877-678-TECH (8324) [email protected] Web: cellsignal.com
For Research Use Only. Not for Use in Diagnostic Procedures.

Revision 5

Cell Signaling Technology Logo
Immunohistochemical analysis of paraffin-embedded normal human stomach using CD93/C1qR (E5H9B) Rabbit mAb.
Immunohistochemistry Image 7: CD93/C1qR (E5H9B) Rabbit Monoclonal Antibody
Immunohistochemical analysis of paraffin-embedded normal human placenta using CD93/C1qR (E5H9B) Rabbit mAb (left) compared to concentration-matched Rabbit (DA1E) mAb IgG XP® Isotype Control #3900 (right).
Immunohistochemistry Image 8: CD93/C1qR (E5H9B) Rabbit Monoclonal Antibody
Immunohistochemical analysis of paraffin-embedded U-937 cell pellet (left, positive) or GRANTA 519 cell pellet (right, negative) using CD93/C1qR (E5H9B) Rabbit mAb.
Immunohistochemistry Image 9: CD93/C1qR (E5H9B) Rabbit Monoclonal Antibody
Orders: 877-616-CELL (2355) [email protected] Support: 877-678-TECH (8324) [email protected] Web: cellsignal.com
For Research Use Only. Not for Use in Diagnostic Procedures.

Revision 5

Cell Signaling Technology Logo
Flow cytometric analysis of live peripheral blood mononuclear cells preincubated with human Fc block (2.5 μg/million cells, 10 min) using CD93/C1qR (E5H9B) Rabbit mAb (right) or concentration-matched Rabbit (DA1E) mAb IgG XP® Isotype Control #3900 (left), co-stained with CD14 (FITC Conjugate). Anti-rabbit IgG (H+L), F(ab')2 Fragment (Alexa Fluor® 647 Conjugate) #4414 was used as a secondary antibody.
Flow Cytometry Image 1: CD93/C1qR (E5H9B) Rabbit Monoclonal Antibody
Orders: 877-616-CELL (2355) [email protected] Support: 877-678-TECH (8324) [email protected] Web: cellsignal.com
For Research Use Only. Not for Use in Diagnostic Procedures.