Revision 1

#66102

Store at -20C

CST Logo
Orders:

877-616-CELL (2355)

[email protected]

Support:

877-678-TECH (8324)

3 Trask Lane | Danvers | Massachusetts | 01923 | USA

For Research Use Only. Not for Use in Diagnostic Procedures.

Applications:
W, IF-F, IF-IC, FC-FP, FC-L

Reactivity:
M

Sensitivity:
Endogenous

MW (kDa):
100-200

Source/Isotype:
Rabbit IgG

UniProt ID:
#Q3U0X8

Entrez-Gene Id:
84544

Product Usage Information

Application Dilution
Western Blotting 1:1000
Immunofluorescence (Frozen) 1:50 - 1:200
Immunofluorescence (Immunocytochemistry) 1:200 - 1:800
Flow Cytometry (Fixed/Permeabilized) 1:50 - 1:200
Flow Cytometry (Live) 1:50 - 1:200

Storage

Supplied in 10 mM sodium HEPES (pH 7.5), 150 mM NaCl, 100 µg/mL BSA, 50% glycerol, and less than 0.02% sodium azide. Store at –20°C. Do not aliquot the antibody.

Specificity/Sensitivity

CD96 (E1Y2Z) Rabbit Monoclonal Antibody recognizes endogenous levels of total CD96 protein. This antibody does not cross-react with human CD96 protein.

Source / Purification

Monoclonal antibody is produced by immunizing animals with recombinant protein specific to the extracellular domain of mouse CD96 protein.

Background

Cluster of Differentiation 96 (CD96), also known as T cell-activated increased late expression protein (TACTILE), is a heavily glycosylated type I transmembrane protein belonging to the immunoglobulin superfamily (1-3). CD96 is expressed on peripheral T cells and natural killer (NK) cells, and is strongly upregulated on these cell types after activation (1,4). It is also expressed on transformed T cells, and at very low levels on activated B cells (1,5,6). CD96 interacts with the receptor ligand PVR (CD155), and is involved in adhesion of activated T and NK cells to target cells during the late phase of the immune response (2,4). CD96 competes with DNAM-1 (CD226) for binding to PVR (CD155) in order to negatively regulate T and NK cell activity, and thus blockade of CD96 in order to induce anti-tumor immune responses is investigated for potential immunotherapeutic intervention in cancer (7-9). Alternative splicing occurs at this locus, and two transcript variants encoding distinct isoforms with variable functions have been identified (1,10).

Species Reactivity

Species reactivity is determined by testing in at least one approved application (e.g., western blot).

Western Blot Buffer

IMPORTANT: For western blots, incubate membrane with diluted primary antibody in 5% w/v BSA, 1X TBS, 0.1% Tween® 20 at 4°C with gentle shaking, overnight.

Applications Key

W: Western Blotting IF-F: Immunofluorescence (Frozen) IF-IC: Immunofluorescence (Immunocytochemistry) FC-FP: Flow Cytometry (Fixed/Permeabilized) FC-L: Flow Cytometry (Live)

Cross-Reactivity Key

M: Mouse

Trademarks and Patents

Cell Signaling Technology is a trademark of Cell Signaling Technology, Inc.

All other trademarks are the property of their respective owners. Visit cellsignal.com/trademarks for more information.

Limited Uses

Except as otherwise expressly agreed in a writing signed by a legally authorized representative of CST, the following terms apply to Products provided by CST, its affiliates or its distributors. Any Customer's terms and conditions that are in addition to, or different from, those contained herein, unless separately accepted in writing by a legally authorized representative of CST, are rejected and are of no force or effect.

Products are labeled with For Research Use Only or a similar labeling statement and have not been approved, cleared, or licensed by the FDA or other regulatory foreign or domestic entity, for any purpose. Customer shall not use any Product for any diagnostic or therapeutic purpose, or otherwise in any manner that conflicts with its labeling statement. Products sold or licensed by CST are provided for Customer as the end-user and solely for research and development uses. Any use of Product for diagnostic, prophylactic or therapeutic purposes, or any purchase of Product for resale (alone or as a component) or other commercial purpose, requires a separate license from CST. Customer shall (a) not sell, license, loan, donate or otherwise transfer or make available any Product to any third party, whether alone or in combination with other materials, or use the Products to manufacture any commercial products, (b) not copy, modify, reverse engineer, decompile, disassemble or otherwise attempt to discover the underlying structure or technology of the Products, or use the Products for the purpose of developing any products or services that would compete with CST products or services, (c) not alter or remove from the Products any trademarks, trade names, logos, patent or copyright notices or markings, (d) use the Products solely in accordance with CST Product Terms of Sale and any applicable documentation, and (e) comply with any license, terms of service or similar agreement with respect to any third party products or services used by Customer in connection with the Products.

Orders: 877-616-CELL (2355) [email protected] Support: 877-678-TECH (8324) [email protected] Web: cellsignal.com
For Research Use Only. Not for Use in Diagnostic Procedures.

Revision 1

Cell Signaling Technology Logo
Western blot analysis of extracts from EL4, CTLL-2, and C2C12 cells using CD96 (E1Y2Z) Rabbit mAb (upper) or β-Actin (D6A8) Rabbit mAb #8457 (lower). Negative expression of CD96 protein in C2C12 cells is consistent with the predicted expression pattern.
Western Blotting Image 1: CD96 (E1Y2Z) Rabbit Monoclonal Antibody
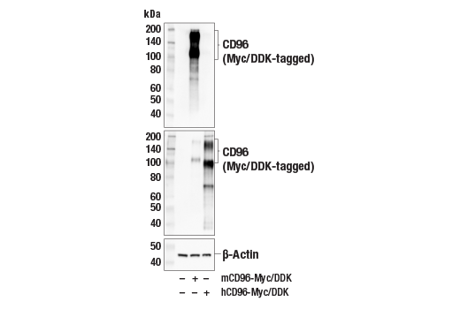
Western blot analysis of extracts from 293T cells, mock transfected (-) or transfected with constructs expressing Myc/DDK-tagged full-length mouse CD96 (mCD96-Myc/DDK; +) and Myc/DDK-tagged full-length human CD96 (hCD96-Myc/DDK; +), using CD96 (E1Y2Z) Rabbit mAb (upper), Myc-Tag (71D10) Rabbit mAb #2278 (middle), or β-Actin (D6A8) Rabbit mAb #8457 (lower).
Western Blotting Image 2: CD96 (E1Y2Z) Rabbit Monoclonal Antibody
Confocal immunofluorescent analysis of fixed frozen mouse spleen using CD96 (E1Y2Z) Rabbit mAb (green), CD45R/B220 (RA3-6B2) Rat mAb (FITC Conjugate) #34399 (magenta pseudocolor), and CD3 (17A2) Rat mAb (APC Conjugate) #24265 (red).
Immunofluorescence Image 1: CD96 (E1Y2Z) Rabbit Monoclonal Antibody
Orders: 877-616-CELL (2355) [email protected] Support: 877-678-TECH (8324) [email protected] Web: cellsignal.com
For Research Use Only. Not for Use in Diagnostic Procedures.

Revision 1

Cell Signaling Technology Logo
Confocal immunofluorescent analysis of fixed frozen mouse lymph node using CD96 (E1Y2Z) Rabbit mAb (green), CD45R/B220 (RA3-6B2) Rat mAb (FITC Conjugate) #34399 (magenta pseudocolor), and CD3 (17A2) Rat mAb (APC Conjugate) #24265 (red).
Immunofluorescence Image 2: CD96 (E1Y2Z) Rabbit Monoclonal Antibody
Confocal immunofluorescent analysis of EL4 cells (left, positive) or C2C12 cells (right, negative) using CD96 (E1Y2Z) Rabbit mAb (green) and DAPI #4083 (blue).
Immunofluorescence Image 1: CD96 (E1Y2Z) Rabbit Monoclonal Antibody
Flow cytometric analysis of live mouse splenocytes using CD96 (E1Y2Z) Rabbit mAb (right) or concentration-matched Rabbit (DA1E) mAb IgG XP® Isotype Control #3900 (left), co-stained with CD3 (17A2) Rat mAb (violetFluor™ 450 Conjugate) #38527. Anti-rabbit IgG (H+L), F(ab')2 Fragment (Alexa Fluor® 488 Conjugate) #4412 was used as a secondary antibody.
Flow Cytometry Image 1: CD96 (E1Y2Z) Rabbit Monoclonal Antibody
Orders: 877-616-CELL (2355) [email protected] Support: 877-678-TECH (8324) [email protected] Web: cellsignal.com
For Research Use Only. Not for Use in Diagnostic Procedures.

Revision 1

Cell Signaling Technology Logo
Flow cytometric analysis of fixed and permeabilized mouse splenocytes using CD96 (E1Y2Z) Rabbit mAb (right) or concentration-matched Rabbit (DA1E) mAb IgG XP® Isotype Control #3900 (left), co-stained with CD3 (17A2) Rat mAb (violetFluor™ 450 Conjugate) #38527. Anti-rabbit IgG (H+L), F(ab')2 Fragment (Alexa Fluor® 488 Conjugate) #4412 was used as a secondary antibody.
Flow Cytometry Image 2: CD96 (E1Y2Z) Rabbit Monoclonal Antibody
Orders: 877-616-CELL (2355) [email protected] Support: 877-678-TECH (8324) [email protected] Web: cellsignal.com
For Research Use Only. Not for Use in Diagnostic Procedures.