Revision 1

#13824

Store at -20C

CST Logo
Orders:

877-616-CELL (2355)

[email protected]

Support:

877-678-TECH (8324)

3 Trask Lane | Danvers | Massachusetts | 01923 | USA

For Research Use Only. Not for Use in Diagnostic Procedures.

Applications:
W, IP

Reactivity:
H

Sensitivity:
Endogenous

MW (kDa):
24,26

Source/Isotype:
Rabbit

UniProt ID:
#Q9H305

Entrez-Gene Id:
29965

Product Usage Information

Application Dilution
Western Blotting 1:1000
Immunoprecipitation 1:50

Storage

Supplied in 10 mM sodium HEPES (pH 7.5), 150 mM NaCl, 100 µg/ml BSA and 50% glycerol. Store at –20°C. Do not aliquot the antibody.

Specificity/Sensitivity

CDIP Antibody recognizes endogenous levels of total CDIP protein. This antibody may detect proteins of unknown origin at 35 and 70 kDa in some cell lines.

Species predicted to react based on 100% sequence homology

Mouse, Rat

Source / Purification

Polyclonal antibodies are produced by immunizing animals with a synthetic peptide corresponding to residues near the amino terminus of human CDIP protein. Antibodies are purified by protein A and peptide affinity chromatography.

Background

Cell Death Involved p53-Target (CDIP) is a pro-apoptotic protein induced by genotoxic stress in a p53-dependent manner (1). Indeed, CDIP is a direct target of p53. Inhibition of CDIP impairs p53-mediated apoptosis. Induction of apoptosis by CDIP requires caspase-8 suggesting involvement in the extrinsic apoptotic pathway. CDIP also promotes increased expression of TNF-α capable of triggering apoptosis. Furthermore, expression of CDIP correlates with increased sensitivity of TNF-α-induced apoptosis (2). These studies suggest that CDIP may serve as a marker for apoptotic sensitivity.

Species Reactivity

Species reactivity is determined by testing in at least one approved application (e.g., western blot).

Western Blot Buffer

IMPORTANT: For western blots, incubate membrane with diluted primary antibody in 5% w/v nonfat dry milk, 1X TBS, 0.1% Tween® 20 at 4°C with gentle shaking, overnight.

Applications Key

W: Western Blotting IP: Immunoprecipitation

Cross-Reactivity Key

H: Human

Trademarks and Patents

Cell Signaling Technology is a trademark of Cell Signaling Technology, Inc.

All other trademarks are the property of their respective owners. Visit cellsignal.com/trademarks for more information.

Limited Uses

Except as otherwise expressly agreed in a writing signed by a legally authorized representative of CST, the following terms apply to Products provided by CST, its affiliates or its distributors. Any Customer's terms and conditions that are in addition to, or different from, those contained herein, unless separately accepted in writing by a legally authorized representative of CST, are rejected and are of no force or effect.

Products are labeled with For Research Use Only or a similar labeling statement and have not been approved, cleared, or licensed by the FDA or other regulatory foreign or domestic entity, for any purpose. Customer shall not use any Product for any diagnostic or therapeutic purpose, or otherwise in any manner that conflicts with its labeling statement. Products sold or licensed by CST are provided for Customer as the end-user and solely for research and development uses. Any use of Product for diagnostic, prophylactic or therapeutic purposes, or any purchase of Product for resale (alone or as a component) or other commercial purpose, requires a separate license from CST. Customer shall (a) not sell, license, loan, donate or otherwise transfer or make available any Product to any third party, whether alone or in combination with other materials, or use the Products to manufacture any commercial products, (b) not copy, modify, reverse engineer, decompile, disassemble or otherwise attempt to discover the underlying structure or technology of the Products, or use the Products for the purpose of developing any products or services that would compete with CST products or services, (c) not alter or remove from the Products any trademarks, trade names, logos, patent or copyright notices or markings, (d) use the Products solely in accordance with CST Product Terms of Sale and any applicable documentation, and (e) comply with any license, terms of service or similar agreement with respect to any third party products or services used by Customer in connection with the Products.

Orders: 877-616-CELL (2355) [email protected] Support: 877-678-TECH (8324) [email protected] Web: cellsignal.com
For Research Use Only. Not for Use in Diagnostic Procedures.

Revision 1

Cell Signaling Technology Logo
Western blot analysis of extracts from U-2 OS cells, untreated (-) or treated with Doxorubicin #5927 (500 nM, overnight; +), using CDIP Antibody (upper) and β-Actin (D6A8) Rabbit mAb #8457 (lower).
Western Blotting Image 1: CDIP Antibody
Western blot analysis of extracts from 293T cells, mock transfected (-) or transfected with a construct expressing Myc/DDK-tagged-transcript of the active form of CDIP protein (hCDIP-Myc/DDK; +), using CDIP Antibody (upper) and Myc-Tag (71D10) Rabbit mAb #2278 (lower).
Western Blotting Image 2: CDIP Antibody
Western blot analysis of extracts from RD and A172 cells using CDIP Antibody.
Western Blotting Image 3: CDIP Antibody
Orders: 877-616-CELL (2355) [email protected] Support: 877-678-TECH (8324) [email protected] Web: cellsignal.com
For Research Use Only. Not for Use in Diagnostic Procedures.

Revision 1

Cell Signaling Technology Logo
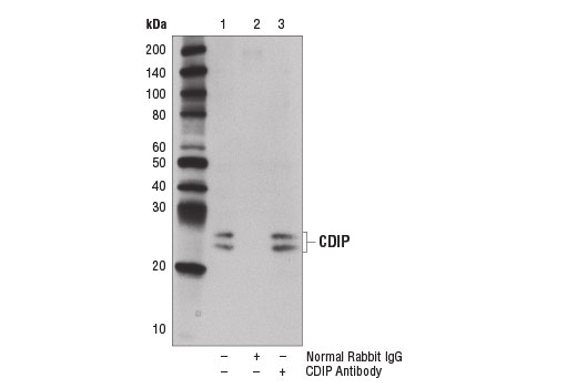
Immunoprecipitation of CDIP from RD cell extracts using Normal Rabbit IgG #2729 (lane 2) or CDIP Antibody (lane 3). Lane 1 is 10% input. Western blot analysis was performed using CDIP Antibody.
Immunoprecipitation Image 1: CDIP Antibody
Orders: 877-616-CELL (2355) [email protected] Support: 877-678-TECH (8324) [email protected] Web: cellsignal.com
For Research Use Only. Not for Use in Diagnostic Procedures.