Revision 1

#36106

Store at -20C

CST Logo
Orders:

877-616-CELL (2355)

[email protected]

Support:

877-678-TECH (8324)

3 Trask Lane | Danvers | Massachusetts | 01923 | USA

For Research Use Only. Not for Use in Diagnostic Procedures.

Applications:
W

Reactivity:
H M R

Sensitivity:
Endogenous

MW (kDa):
40

Source/Isotype:
Rabbit IgG

UniProt ID:
#Q15131

Entrez-Gene Id:
8558

Product Usage Information

Application Dilution
Western Blotting 1:1000

Storage

Supplied in 10 mM sodium HEPES (pH 7.5), 150 mM NaCl, 100 µg/ml BSA, 50% glycerol and less than 0.02% sodium azide. Store at –20°C. Do not aliquot the antibody.

Specificity/Sensitivity

CDK10 (D8Z7Z) Rabbit Monoclonal Antibody recognizes endogenous levels of total CDK10 protein. This antibody is not expected to react with CDK10 N-terminal deletion isoforms.

Source / Purification

Monoclonal antibody is produced by immunizing animals with a synthetic peptide corresponding to residues surrounding Val24 of human CDK10 protein.

Background

Cyclin Dependent Kinase 10 (CDK10) is a Cdc2-related protein kinase that binds to and inhibits the transactivation activity of the transcription factor Ets2 (1).
CDK10 is activated by cyclin M, which is mutated and unable to activate CDK10 in the human developmental disorder, STAR syndrome. Phosphorylation of Ets2 by CDK10/Cyclin M leads to degradation of Ets2 by the proteasome (2). CDK10 also plays a role in the development of the zebrafish nervous system (3). Studies have shown that expression of CDK10, which is modulated by promoter hypermethylation, is decreased in human cancer (4-6). Further, studies show that CDK10 expression in breast cancer affects response to tamoxifen (7), and is correlated with disease progression (8). CDK10 regulates the expression of c-RAF, and signaling through the MAPK pathway (2-3, 6-7).

Species Reactivity

Species reactivity is determined by testing in at least one approved application (e.g., western blot).

Western Blot Buffer

IMPORTANT: For western blots, incubate membrane with diluted primary antibody in 5% w/v BSA, 1X TBS, 0.1% Tween® 20 at 4°C with gentle shaking, overnight.

Applications Key

W: Western Blotting

Cross-Reactivity Key

H: Human M: Mouse R: Rat

Trademarks and Patents

Cell Signaling Technology is a trademark of Cell Signaling Technology, Inc.

All other trademarks are the property of their respective owners. Visit cellsignal.com/trademarks for more information.

Limited Uses

Except as otherwise expressly agreed in a writing signed by a legally authorized representative of CST, the following terms apply to Products provided by CST, its affiliates or its distributors. Any Customer's terms and conditions that are in addition to, or different from, those contained herein, unless separately accepted in writing by a legally authorized representative of CST, are rejected and are of no force or effect.

Products are labeled with For Research Use Only or a similar labeling statement and have not been approved, cleared, or licensed by the FDA or other regulatory foreign or domestic entity, for any purpose. Customer shall not use any Product for any diagnostic or therapeutic purpose, or otherwise in any manner that conflicts with its labeling statement. Products sold or licensed by CST are provided for Customer as the end-user and solely for research and development uses. Any use of Product for diagnostic, prophylactic or therapeutic purposes, or any purchase of Product for resale (alone or as a component) or other commercial purpose, requires a separate license from CST. Customer shall (a) not sell, license, loan, donate or otherwise transfer or make available any Product to any third party, whether alone or in combination with other materials, or use the Products to manufacture any commercial products, (b) not copy, modify, reverse engineer, decompile, disassemble or otherwise attempt to discover the underlying structure or technology of the Products, or use the Products for the purpose of developing any products or services that would compete with CST products or services, (c) not alter or remove from the Products any trademarks, trade names, logos, patent or copyright notices or markings, (d) use the Products solely in accordance with CST Product Terms of Sale and any applicable documentation, and (e) comply with any license, terms of service or similar agreement with respect to any third party products or services used by Customer in connection with the Products.

Orders: 877-616-CELL (2355) [email protected] Support: 877-678-TECH (8324) [email protected] Web: cellsignal.com
For Research Use Only. Not for Use in Diagnostic Procedures.

Revision 1

Cell Signaling Technology Logo
Western blot analysis of extracts from various cell lines using CDK10 (D8Z7Z) Rabbit mAb (upper) or β-Actin (D6A8) Rabbit mAb #8457 (lower).
Western Blotting Image 1: CDK10 (D8Z7Z) Rabbit Monoclonal Antibody
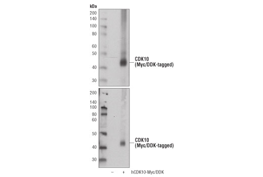
Western blot analysis of extracts from 293T cells, mock transfected (-) or transfected with a construct expressing Myc/DDK-tagged full-length human CDK10 (hCDK10-Myc/DDK; +), using CDK10 (D8Z7Z) Rabbit mAb (upper) or Myc-Tag (71D10) Rabbit mAb #2278 (lower).
Western Blotting Image 2: CDK10 (D8Z7Z) Rabbit Monoclonal Antibody
Orders: 877-616-CELL (2355) [email protected] Support: 877-678-TECH (8324) [email protected] Web: cellsignal.com
For Research Use Only. Not for Use in Diagnostic Procedures.