Revision 5

#18048

Store at -20C

CST Logo
Orders:

877-616-CELL (2355)

[email protected]

Support:

877-678-TECH (8324)

3 Trask Lane | Danvers | Massachusetts | 01923 | USA

For Research Use Only. Not for Use in Diagnostic Procedures.

Applications:
W, IP, IHC-P, IF-F, IF-IC

Reactivity:
H M R

Sensitivity:
Endogenous

MW (kDa):
33

Source/Isotype:
Rabbit IgG

UniProt ID:
#P24941

Entrez-Gene Id:
1017

Product Usage Information

Application Dilution
Western Blotting 1:1000
Immunoprecipitation 1:100
Immunohistochemistry (Paraffin) 1:200 - 1:800
Immunofluorescence (Frozen) 1:400 - 1:1600
Immunofluorescence (Immunocytochemistry) 1:800 - 1:3200

Storage

Supplied in 10 mM sodium HEPES (pH 7.5), 150 mM NaCl, 100 µg/ml BSA, 50% glycerol and less than 0.02% sodium azide. Store at –20°C. Do not aliquot the antibody.

For a carrier free (BSA and azide free) version of this product see product #34541.

Specificity/Sensitivity

CDK2 (E8J9T) Rabbit Monoclonal Antibody recognizes endogenous levels of total CDK2 protein. In rodent cell lines, isoforms 1 and 2 of CDK2 run as two distinct bands by western blot. This antibody non-specifically labels the muscle in the mouse retina and the vasculature in the mouse brain by immunofluorescence.

Source / Purification

Monoclonal antibody is produced by immunizing animals with a synthetic peptide corresponding to residues surrounding Pro294 of human CDK2 protein.

Background

Cyclin-dependent kinase 2 (p33CDK2) is an important component of the cell cycle machinery. Like p34cdc2, kinase activity is regulated by phosphorylation state as well as association with a cyclin subunit and a CDK inhibitor. Inhibitory phosphorylation occurs on Thr14 and Tyr15 (1). Inhibition of CDK2-cyclin complexes can also be attributed to association with p27 Kip1 and p21 Waf1/Cip1 (2). Activation of CDK2 complexes requires dephosphorylation of Thr14 and Tyr15 by cdc25 phosphatase and phosphorylation of Thr160 (3), which is mediated by CAK, a complex of CDK7 and cyclin H (4). CDK2/cyclin E kinase activity is important for the G1 to S transition and phosphorylation of the Rb protein. During S-phase, active CDK2/cyclin A complexes predominate and phosphorylate E2F and the active CDK2 complex persists in the nucleus throughout G2 (5).

Species Reactivity

Species reactivity is determined by testing in at least one approved application (e.g., western blot).

Western Blot Buffer

IMPORTANT: For western blots, incubate membrane with diluted primary antibody in 5% w/v nonfat dry milk, 1X TBS, 0.1% Tween® 20 at 4°C with gentle shaking, overnight.

Applications Key

W: Western Blotting IP: Immunoprecipitation IHC-P: Immunohistochemistry (Paraffin) IF-F: Immunofluorescence (Frozen) IF-IC: Immunofluorescence (Immunocytochemistry)

Cross-Reactivity Key

H: Human M: Mouse R: Rat

Trademarks and Patents

Cell Signaling Technology is a trademark of Cell Signaling Technology, Inc.

SignalStain is a registered trademark of Cell Signaling Technology, Inc.

All other trademarks are the property of their respective owners. Visit cellsignal.com/trademarks for more information.

Limited Uses

Except as otherwise expressly agreed in a writing signed by a legally authorized representative of CST, the following terms apply to Products provided by CST, its affiliates or its distributors. Any Customer's terms and conditions that are in addition to, or different from, those contained herein, unless separately accepted in writing by a legally authorized representative of CST, are rejected and are of no force or effect.

Products are labeled with For Research Use Only or a similar labeling statement and have not been approved, cleared, or licensed by the FDA or other regulatory foreign or domestic entity, for any purpose. Customer shall not use any Product for any diagnostic or therapeutic purpose, or otherwise in any manner that conflicts with its labeling statement. Products sold or licensed by CST are provided for Customer as the end-user and solely for research and development uses. Any use of Product for diagnostic, prophylactic or therapeutic purposes, or any purchase of Product for resale (alone or as a component) or other commercial purpose, requires a separate license from CST. Customer shall (a) not sell, license, loan, donate or otherwise transfer or make available any Product to any third party, whether alone or in combination with other materials, or use the Products to manufacture any commercial products, (b) not copy, modify, reverse engineer, decompile, disassemble or otherwise attempt to discover the underlying structure or technology of the Products, or use the Products for the purpose of developing any products or services that would compete with CST products or services, (c) not alter or remove from the Products any trademarks, trade names, logos, patent or copyright notices or markings, (d) use the Products solely in accordance with CST Product Terms of Sale and any applicable documentation, and (e) comply with any license, terms of service or similar agreement with respect to any third party products or services used by Customer in connection with the Products.

Orders: 877-616-CELL (2355) [email protected] Support: 877-678-TECH (8324) [email protected] Web: cellsignal.com
For Research Use Only. Not for Use in Diagnostic Procedures.

Revision 5

Cell Signaling Technology Logo
Western blot analysis of extracts from various cell lines using CDK2 (E8J9T) XP® Rabbit mAb (upper) or GAPDH (D16H11) XP® Rabbit mAb #5174 (lower).
Western Blotting Image 1: CDK2 (E8J9T) Rabbit Monoclonal Antibody
Immunoprecipitation of CDK2 protein from SK-MEL-30 cell extracts. Lane 1 is 10% input, lane 2 is Rabbit (DA1E) mAb IgG XP® Isotype Control #3900, and lane 3 is CDK2 (E8J9T) XP® Rabbit mAb. Western blot analysis was performed using CDK2 (E8J9T) XP® Rabbit mAb. Anti-rabbit IgG HRP-linked Antibody #7074 was used as a secondary antibody.
Immunoprecipitation Image 1: CDK2 (E8J9T) Rabbit Monoclonal Antibody
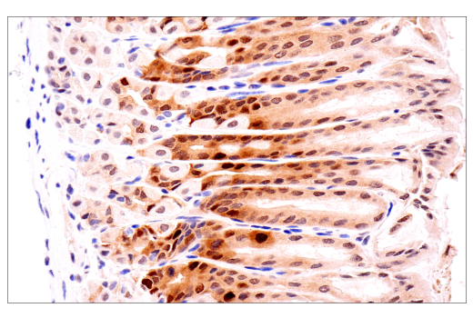
Immunohistochemical analysis of paraffin-embedded normal human colon using CDK2 (E8J9T) XP® Rabbit mAb.
Immunohistochemistry Image 1: CDK2 (E8J9T) Rabbit Monoclonal Antibody
Orders: 877-616-CELL (2355) [email protected] Support: 877-678-TECH (8324) [email protected] Web: cellsignal.com
For Research Use Only. Not for Use in Diagnostic Procedures.

Revision 5

Cell Signaling Technology Logo
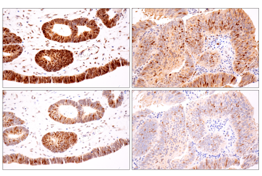
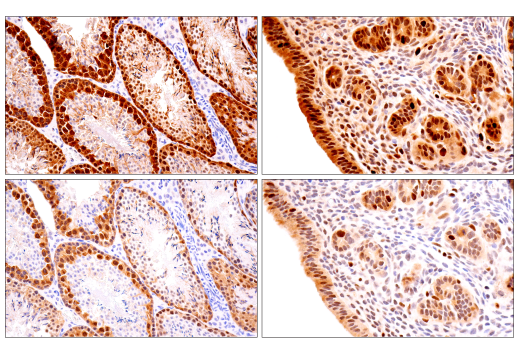
Immunohistochemical analysis of paraffin-embedded human ovarian carcinoma (left) or colon carcinoma (right), using CDK2 (E8J9T) XP® Rabbit mAb (top) or CDK2 Rabbit mAb (bottom). These two antibodies detect independent, unique epitopes on human CDK2. The similar staining patterns obtained with both antibodies help to confirm the specificity of the staining.
Immunohistochemistry Image 2: CDK2 (E8J9T) Rabbit Monoclonal Antibody
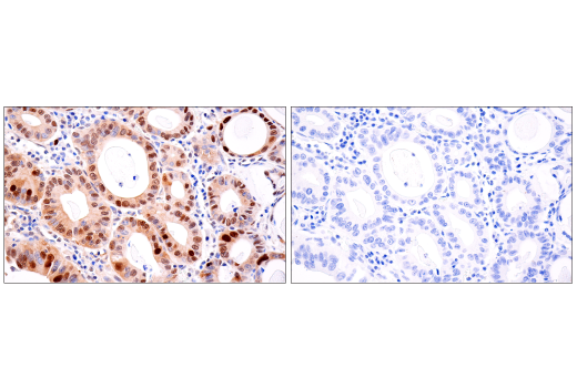
Immunohistochemical analysis of paraffin-embedded human esophageal adenocarcinoma using CDK2 (E8J9T) XP® Rabbit mAb (left) compared to concentration-matched Rabbit (DA1E) mAb IgG XP® Isotype Control #3900 (right).
Immunohistochemistry Image 3: CDK2 (E8J9T) Rabbit Monoclonal Antibody
Immunohistochemical analysis of paraffin-embedded SK-MEL-30 cell pellet (left, high-expressing) or Hep G2 cell pellet (right, low-expressing) using CDK2 (E8J9T) XP® Rabbit mAb.
Immunohistochemistry Image 4: CDK2 (E8J9T) Rabbit Monoclonal Antibody
Orders: 877-616-CELL (2355) [email protected] Support: 877-678-TECH (8324) [email protected] Web: cellsignal.com
For Research Use Only. Not for Use in Diagnostic Procedures.

Revision 5

Cell Signaling Technology Logo
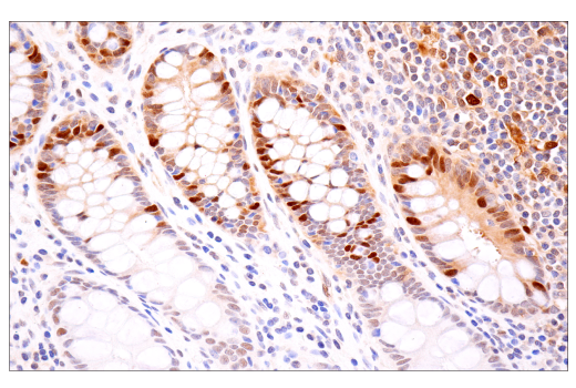
Immunohistochemical analysis of paraffin-embedded normal mouse stomach using CDK2 (E8J9T) XP® Rabbit mAb.
Immunohistochemistry Image 5: CDK2 (E8J9T) Rabbit Monoclonal Antibody
Immunohistochemical analysis of paraffin-embedded normal mouse testis (left) or uterus (right), using CDK2 (E8J9T) XP® Rabbit mAb (top) or CDK2 Rabbit mAb (bottom). These two antibodies detect independent, unique epitopes on human CDK2. The similar staining patterns obtained with both antibodies help to confirm the specificity of the staining.
Immunohistochemistry Image 6: CDK2 (E8J9T) Rabbit Monoclonal Antibody
Immunohistochemical analysis of paraffin-embedded HCT116 cell pellet, wild-type (left, positive) or CDK2 knockout (right, negative), using CDK2 (E8J9T) XP® Rabbit mAb.
Immunohistochemistry Image 7: CDK2 (E8J9T) Rabbit Monoclonal Antibody
Orders: 877-616-CELL (2355) [email protected] Support: 877-678-TECH (8324) [email protected] Web: cellsignal.com
For Research Use Only. Not for Use in Diagnostic Procedures.

Revision 5

Cell Signaling Technology Logo
Confocal immunofluorescent analysis of mouse colon using CDK2 (E8J9T) XP® Rabbit mAb (green). Free secondary binding sites were then blocked with Rabbit (DA1E) mAb IgG XP® Isotype Control #3900 prior to colabeling with Ras (E4K9L) Rabbit mAb (Alexa Fluor® 647 Conjugate) #37182 (red). Samples were mounted in ProLong® Gold Antifade Reagent with DAPI #8961 (blue).
Immunofluorescence Image 1: CDK2 (E8J9T) Rabbit Monoclonal Antibody
Confocal immunofluorescent analysis of mouse thymus using CDK2 (E8J9T) XP® Rabbit mAb (green). Free secondary binding sites were then blocked with Rabbit (DA1E) mAb IgG XP® Isotype Control #3900 prior to colabeling with Ras (E4K9L) Rabbit mAb (Alexa Fluor® 647 Conjugate) #37182 (red). Samples were mounted in ProLong® Gold Antifade Reagent with DAPI #8961 (blue).
Immunofluorescence Image 2: CDK2 (E8J9T) Rabbit Monoclonal Antibody
Confocal immunofluorescent analysis of HCT 116 cells (left, positive) or CDK2 HCT 116 knockout cells (right, negative) using CDK2 (E8J9T) XP® Rabbit mAb (green), DyLight™ 554 Phalloidin #13054 (red), and DAPI #4083 (blue).
Immunofluorescence Image 1: CDK2 (E8J9T) Rabbit Monoclonal Antibody
Orders: 877-616-CELL (2355) [email protected] Support: 877-678-TECH (8324) [email protected] Web: cellsignal.com
For Research Use Only. Not for Use in Diagnostic Procedures.