Revision 4

#44464

Store at -20C

CST Logo
Orders:

877-616-CELL (2355)

[email protected]

Support:

877-678-TECH (8324)

3 Trask Lane | Danvers | Massachusetts | 01923 | USA

For Research Use Only. Not for Use in Diagnostic Procedures.

Applications:
W, IHC-P

Reactivity:
H

Sensitivity:
Endogenous

MW (kDa):
120-150

Source/Isotype:
Rabbit IgG

UniProt ID:
#P13688

Entrez-Gene Id:
634

Product Usage Information

Application Dilution
Western Blotting 1:1000
Immunohistochemistry (Paraffin) 1:400

Storage

Supplied in 10 mM sodium HEPES (pH 7.5), 150 mM NaCl, 100 µg/ml BSA, 50% glycerol and less than 0.02% sodium azide. Store at –20°C. Do not aliquot the antibody.

For a carrier free (BSA and azide free) version of this product see product #24107.

Specificity/Sensitivity

CEACAM1 (D3R8O) Rabbit Monoclonal Antibody recognizes endogenous levels of total CEACAM1 protein.

Source / Purification

Monoclonal antibody is produced by immunizing animals with a synthetic peptide corresponding to residues surrounding Phe361 of human CEACAM1 protein.

Background

CEACAM1 (also known as C-CAM and CD66a) is a member of CEA-related cell-adhesion molecule (CEACAM) subfamily of the carcinoembryonic antigen (CEA) family (1). CEACAM1 is expressed by certain epithelial, endothelial, lymphoid, and myeloid cells. Human CEACAM1 has many different splice variants; the abundance of CEACAM1 and the relative ratio of the different isoforms varies markedly among cell types and may be regulated in a context-dependent fashion. The isoforms with long (L) and short (S) cytoplasmic tails have different signaling properties. Notably, L isoforms contain a functional ITIM (immunoreceptor tyrosine-based inhibitory motif) and several serine and threonine residues that could serve as potential phosphorylation targets. The extracellular domain of CEACAM1 is heavily glycosylated, making its apparent molecular weight during electrophoresis much larger than its predicted size (57.6 kDa) (2). CEACAM1 mediates intercellular adhesion through homo- and heterophilic interaction with other members of the CEACAM family. Studies indicate that CEACAM1 plays important roles in angiogenesis, neovascularization, insulin signaling, T cell signaling, and tumorigenesis (3-8). In addition, CEACAM1 can function as a receptor for several microbial pathogens (9,10).

Species Reactivity

Species reactivity is determined by testing in at least one approved application (e.g., western blot).

Western Blot Buffer

IMPORTANT: For western blots, incubate membrane with diluted primary antibody in 5% w/v BSA, 1X TBS, 0.1% Tween® 20 at 4°C with gentle shaking, overnight.

Applications Key

W: Western Blotting IHC-P: Immunohistochemistry (Paraffin)

Cross-Reactivity Key

H: Human

Trademarks and Patents

Cell Signaling Technology is a trademark of Cell Signaling Technology, Inc.

SignalStain is a registered trademark of Cell Signaling Technology, Inc.

All other trademarks are the property of their respective owners. Visit cellsignal.com/trademarks for more information.

Limited Uses

Except as otherwise expressly agreed in a writing signed by a legally authorized representative of CST, the following terms apply to Products provided by CST, its affiliates or its distributors. Any Customer's terms and conditions that are in addition to, or different from, those contained herein, unless separately accepted in writing by a legally authorized representative of CST, are rejected and are of no force or effect.

Products are labeled with For Research Use Only or a similar labeling statement and have not been approved, cleared, or licensed by the FDA or other regulatory foreign or domestic entity, for any purpose. Customer shall not use any Product for any diagnostic or therapeutic purpose, or otherwise in any manner that conflicts with its labeling statement. Products sold or licensed by CST are provided for Customer as the end-user and solely for research and development uses. Any use of Product for diagnostic, prophylactic or therapeutic purposes, or any purchase of Product for resale (alone or as a component) or other commercial purpose, requires a separate license from CST. Customer shall (a) not sell, license, loan, donate or otherwise transfer or make available any Product to any third party, whether alone or in combination with other materials, or use the Products to manufacture any commercial products, (b) not copy, modify, reverse engineer, decompile, disassemble or otherwise attempt to discover the underlying structure or technology of the Products, or use the Products for the purpose of developing any products or services that would compete with CST products or services, (c) not alter or remove from the Products any trademarks, trade names, logos, patent or copyright notices or markings, (d) use the Products solely in accordance with CST Product Terms of Sale and any applicable documentation, and (e) comply with any license, terms of service or similar agreement with respect to any third party products or services used by Customer in connection with the Products.

Orders: 877-616-CELL (2355) [email protected] Support: 877-678-TECH (8324) [email protected] Web: cellsignal.com
For Research Use Only. Not for Use in Diagnostic Procedures.

Revision 4

Cell Signaling Technology Logo
Western blot analysis of extracts from Hep G2, SK-MEL-5, and HeLa cell lines using CEACAM1 (D3R8O) Rabbit mAb (upper) and β-actin (D6A8) Rabbit mAb #8457 (lower).
Western Blotting Image 1: CEACAM1 (D3R8O) Rabbit Monoclonal Antibody
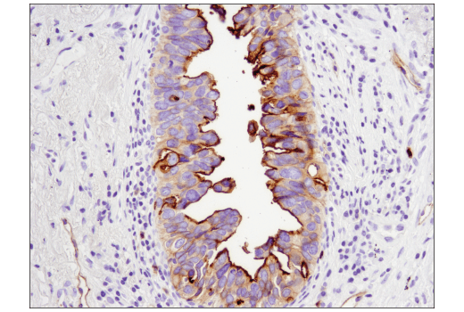
Immunohistochemical analysis of paraffin-embedded human colon carcinoma using CEACAM1 (D3R8O) Rabbit mAb.
Immunohistochemistry Image 1: CEACAM1 (D3R8O) Rabbit Monoclonal Antibody
Immunohistochemical analysis of paraffin-embedded human lung carcinoma using CEACAM1 (D3R8O) Rabbit mAb.
Immunohistochemistry Image 2: CEACAM1 (D3R8O) Rabbit Monoclonal Antibody
Orders: 877-616-CELL (2355) [email protected] Support: 877-678-TECH (8324) [email protected] Web: cellsignal.com
For Research Use Only. Not for Use in Diagnostic Procedures.