Revision 3

#81945

Store at -20C

CST Logo
Orders:

877-616-CELL (2355)

[email protected]

Support:

877-678-TECH (8324)

3 Trask Lane | Danvers | Massachusetts | 01923 | USA

For Research Use Only. Not for Use in Diagnostic Procedures.

Applications:
W, IHC-P

Reactivity:
H

Sensitivity:
Endogenous

MW (kDa):
55

Source/Isotype:
Rabbit IgG

UniProt ID:
#Q14002

Entrez-Gene Id:
1087

Product Usage Information

Application Dilution
Western Blotting 1:1000
Immunohistochemistry (Paraffin) 1:200 - 1:800

Storage

Supplied in 10 mM sodium HEPES (pH 7.5), 150 mM NaCl, 100 µg/mL BSA, 50% glycerol, and less than 0.02% sodium azide. Store at –20°C. Do not aliquot the antibody.

For a carrier free (BSA and azide free) version of this product see product #34209.

Specificity/Sensitivity

CEACAM7 (E5Q6X) Rabbit Monoclonal Antibody recognizes endogenous levels of total CEACAM7 protein.

Source / Purification

Monoclonal antibody is produced by immunizing animals with a synthetic peptide corresponding to residues surrounding Val141 of human CEACAM7 protein.

Background

Carcinoembryonic antigen (CEA)-related cell adhesion molecule 7 (CEACAM7) is a homodomeric glycoprotein that is covalently linked to the plasma membrane via a GPI anchor and modulates cell adhesion via its N-terminal IgV domain (1). In normal human tissues, CEACAM7 expression is largely restricted to epithelial cells of the colon and pancreatic ducts (2). While some research studies have demonstrated that CEACAM7 expression is downregulated in human colorectal carcinomas, other studies have highlighted high expression levels in some pancreatic ductal adenocarcinomas (PDAC) (3-5). Given the restricted expression pattern in normal human tissues, CEACAM7 is positioned as an attractive immunotherapeutic target for PDAC (4).

Species Reactivity

Species reactivity is determined by testing in at least one approved application (e.g., western blot).

Western Blot Buffer

IMPORTANT: For western blots, incubate membrane with diluted primary antibody in 5% w/v BSA, 1X TBS, 0.1% Tween® 20 at 4°C with gentle shaking, overnight.

Applications Key

W: Western Blotting IHC-P: Immunohistochemistry (Paraffin)

Cross-Reactivity Key

H: Human

Trademarks and Patents

Cell Signaling Technology is a trademark of Cell Signaling Technology, Inc.

All other trademarks are the property of their respective owners. Visit cellsignal.com/trademarks for more information.

Limited Uses

Except as otherwise expressly agreed in a writing signed by a legally authorized representative of CST, the following terms apply to Products provided by CST, its affiliates or its distributors. Any Customer's terms and conditions that are in addition to, or different from, those contained herein, unless separately accepted in writing by a legally authorized representative of CST, are rejected and are of no force or effect.

Products are labeled with For Research Use Only or a similar labeling statement and have not been approved, cleared, or licensed by the FDA or other regulatory foreign or domestic entity, for any purpose. Customer shall not use any Product for any diagnostic or therapeutic purpose, or otherwise in any manner that conflicts with its labeling statement. Products sold or licensed by CST are provided for Customer as the end-user and solely for research and development uses. Any use of Product for diagnostic, prophylactic or therapeutic purposes, or any purchase of Product for resale (alone or as a component) or other commercial purpose, requires a separate license from CST. Customer shall (a) not sell, license, loan, donate or otherwise transfer or make available any Product to any third party, whether alone or in combination with other materials, or use the Products to manufacture any commercial products, (b) not copy, modify, reverse engineer, decompile, disassemble or otherwise attempt to discover the underlying structure or technology of the Products, or use the Products for the purpose of developing any products or services that would compete with CST products or services, (c) not alter or remove from the Products any trademarks, trade names, logos, patent or copyright notices or markings, (d) use the Products solely in accordance with CST Product Terms of Sale and any applicable documentation, and (e) comply with any license, terms of service or similar agreement with respect to any third party products or services used by Customer in connection with the Products.

Orders: 877-616-CELL (2355) [email protected] Support: 877-678-TECH (8324) [email protected] Web: cellsignal.com
For Research Use Only. Not for Use in Diagnostic Procedures.

Revision 3

Cell Signaling Technology Logo
Western blot analysis of extracts from human colon tissue and various cell lines using CEACAM7 (E5Q6X) Rabbit mAb (upper) or β-Actin (D6A8) Rabbit mAb #8457 (lower). Negative expression of CEACAM7 protein in SK-N-AS cells is consistent with the predicted expression pattern.
Western Blotting Image 1: CEACAM7 (E5Q6X) Rabbit Monoclonal Antibody
Western blot analysis of extracts from 293T cells, mock transfected (-) or transfected with a construct expressing Myc/DDK-tagged full-length human CEACAM7 (hCEACAM7-Myc/DDK; +), using CEACAM7 (E5Q6X) Rabbit mAb (upper), Myc-Tag (71D10) Rabbit mAb #2278 (middle), or β-Actin (D6A8) Rabbit mAb #8457 (lower).
Western Blotting Image 2: CEACAM7 (E5Q6X) Rabbit Monoclonal Antibody
Immunohistochemical analysis of paraffin-embedded human squamous cell lung carcinoma using CEACAM7 (E5Q6X) Rabbit mAb.
Immunohistochemistry Image 1: CEACAM7 (E5Q6X) Rabbit Monoclonal Antibody
Orders: 877-616-CELL (2355) [email protected] Support: 877-678-TECH (8324) [email protected] Web: cellsignal.com
For Research Use Only. Not for Use in Diagnostic Procedures.

Revision 3

Cell Signaling Technology Logo
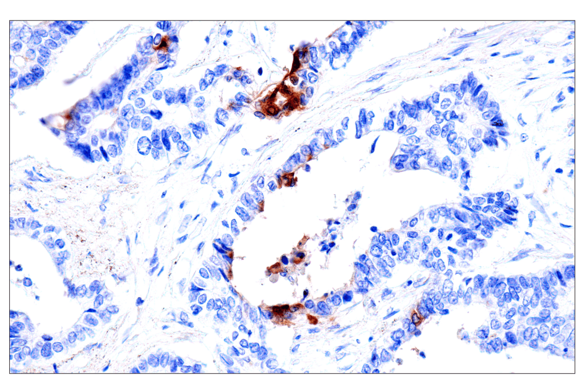
Immunohistochemical analysis of paraffin-embedded human esophageal adenocarcinoma using CEACAM7 (E5Q6X) Rabbit mAb.
Immunohistochemistry Image 2: CEACAM7 (E5Q6X) Rabbit Monoclonal Antibody
Immunohistochemical analysis of paraffin-embedded human ovarian clear cell carcinoma using CEACAM7 (E5Q6X) Rabbit mAb.
Immunohistochemistry Image 3: CEACAM7 (E5Q6X) Rabbit Monoclonal Antibody
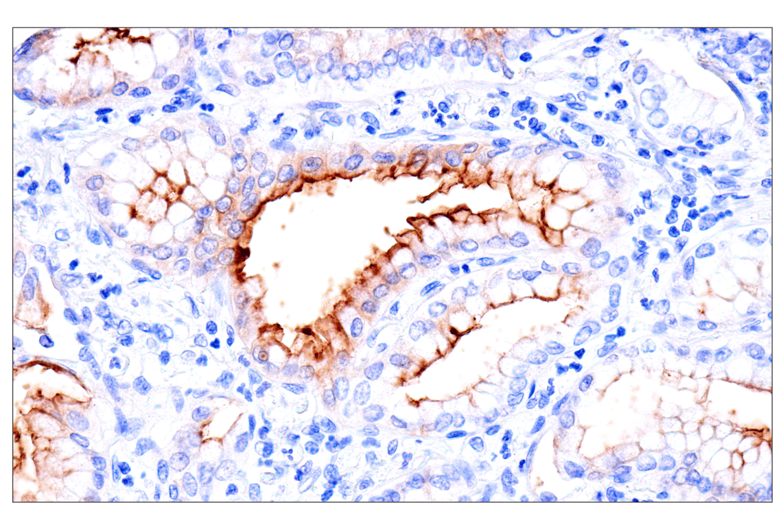
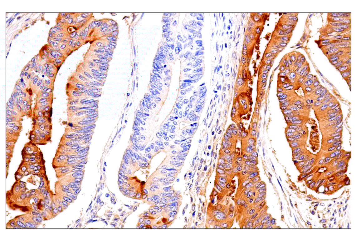
Immunohistochemical analysis of paraffin-embedded human colon adenocarcinoma using CEACAM7 (E5Q6X) Rabbit mAb.
Immunohistochemistry Image 4: CEACAM7 (E5Q6X) Rabbit Monoclonal Antibody
Orders: 877-616-CELL (2355) [email protected] Support: 877-678-TECH (8324) [email protected] Web: cellsignal.com
For Research Use Only. Not for Use in Diagnostic Procedures.

Revision 3

Cell Signaling Technology Logo
Immunohistochemical analysis of paraffin-embedded human endometrioid adenocarcinoma using CEACAM7 (E5Q6X) Rabbit mAb.
Immunohistochemistry Image 5: CEACAM7 (E5Q6X) Rabbit Monoclonal Antibody
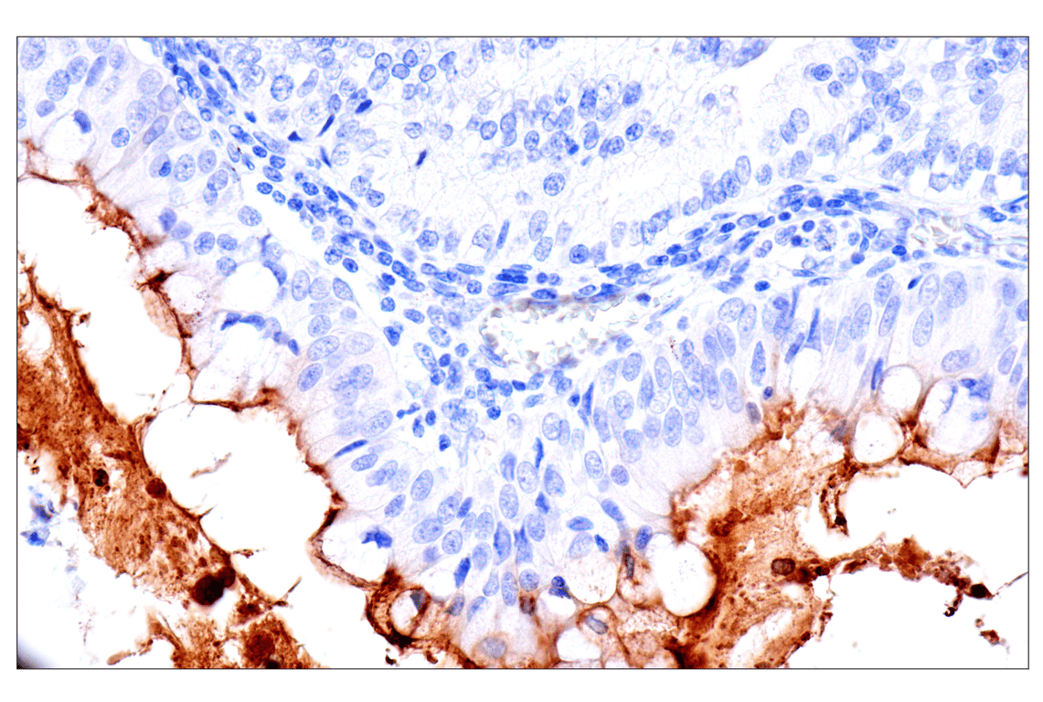
Immunohistochemical analysis of paraffin-embedded human colon adenocarcinoma using CEACAM7 (E5Q6X) Rabbit mAb.
Immunohistochemistry Image 6: CEACAM7 (E5Q6X) Rabbit Monoclonal Antibody
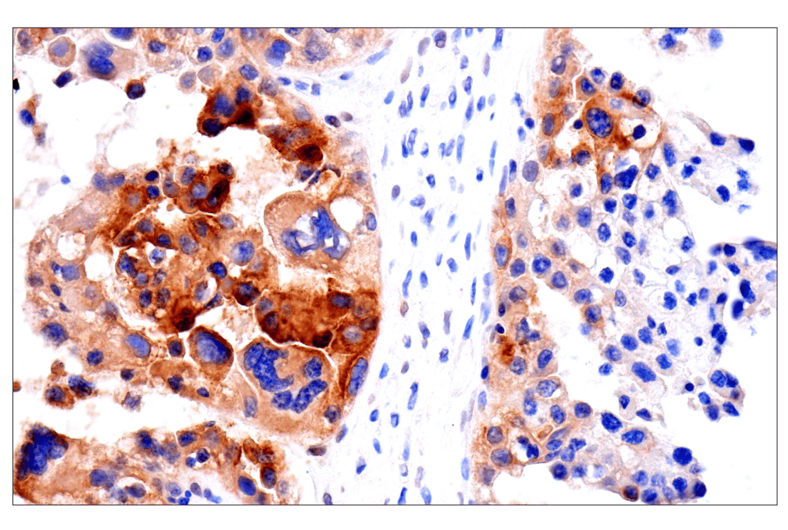
Immunohistochemical analysis of paraffin-embedded human pancreatic adenocarcinoma using CEACAM7 (E5Q6X) Rabbit mAb.
Immunohistochemistry Image 7: CEACAM7 (E5Q6X) Rabbit Monoclonal Antibody
Orders: 877-616-CELL (2355) [email protected] Support: 877-678-TECH (8324) [email protected] Web: cellsignal.com
For Research Use Only. Not for Use in Diagnostic Procedures.

Revision 3

Cell Signaling Technology Logo
Immunohistochemical analysis of various paraffin-embedded normal human tissues: colon (left-top), spleen (middle-top), skin (right-top), liver (left-bottom), kidney (middle-bottom), and lung (right-bottom) using CEACAM7 (E5Q6X) Rabbit mAb.
Immunohistochemistry Image 8: CEACAM7 (E5Q6X) Rabbit Monoclonal Antibody
Immunohistochemical analysis of paraffin-embedded human appendix using CEACAM7 (E5Q6X) Rabbit mAb.
Immunohistochemistry Image 9: CEACAM7 (E5Q6X) Rabbit Monoclonal Antibody
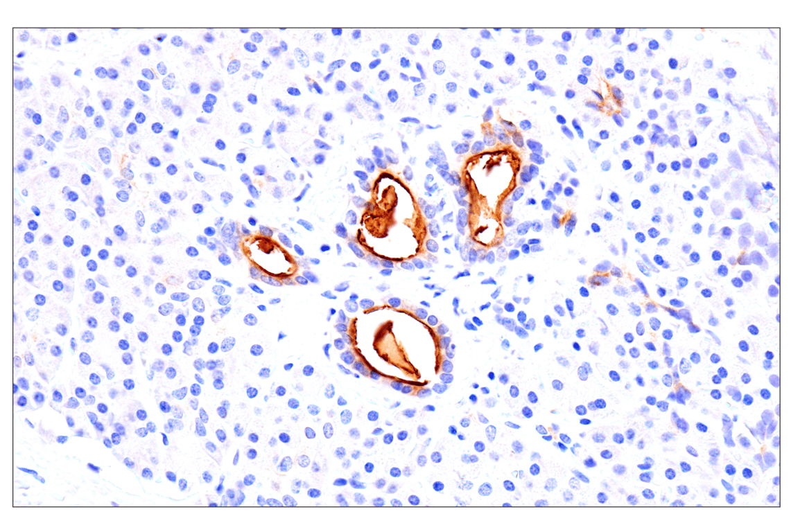
Immunohistochemical analysis of paraffin-embedded normal human pancreas using CEACAM7 (E5Q6X) Rabbit mAb.
Immunohistochemistry Image 10: CEACAM7 (E5Q6X) Rabbit Monoclonal Antibody
Orders: 877-616-CELL (2355) [email protected] Support: 877-678-TECH (8324) [email protected] Web: cellsignal.com
For Research Use Only. Not for Use in Diagnostic Procedures.

Revision 3

Cell Signaling Technology Logo
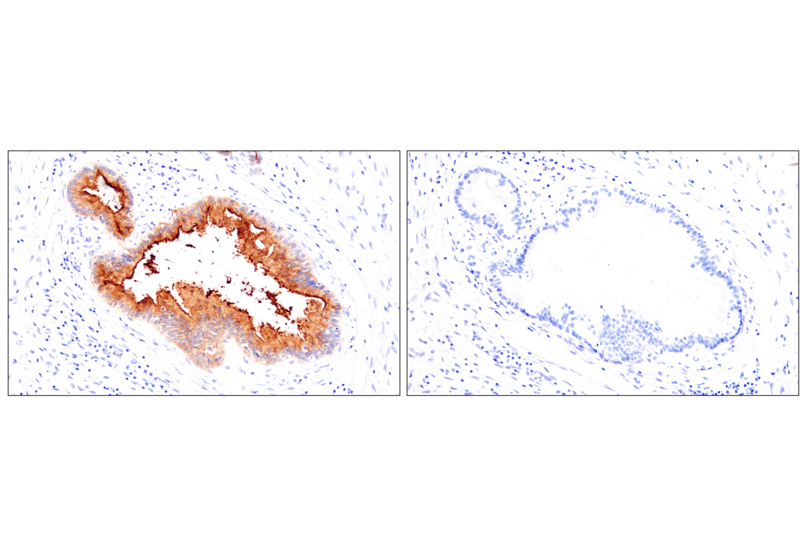
Immunohistochemical analysis of paraffin-embedded human pancreatic adenocarcinoma using CEACAM7 (E5Q6X) Rabbit mAb (left) compared to concentration-matched Rabbit (DA1E) mAb IgG XP® Isotype Control #3900 (right).
Immunohistochemistry Image 11: CEACAM7 (E5Q6X) Rabbit Monoclonal Antibody
Immunohistochemical analysis of paraffin-embedded 293T cell pellet, untransfected (left, negative) or CEACAM7-transfected (middle, positive), or OV-90 cell pellet (right, positive) using CEACAM7 (E5Q6X) Rabbit mAb.
Immunohistochemistry Image 12: CEACAM7 (E5Q6X) Rabbit Monoclonal Antibody
Orders: 877-616-CELL (2355) [email protected] Support: 877-678-TECH (8324) [email protected] Web: cellsignal.com
For Research Use Only. Not for Use in Diagnostic Procedures.