Revision 1

#61572

Store at -20C

CST Logo
Orders:

877-616-CELL (2355)

[email protected]

Support:

877-678-TECH (8324)

3 Trask Lane | Danvers | Massachusetts | 01923 | USA

For Research Use Only. Not for Use in Diagnostic Procedures.

Applications:
W

Reactivity:
H

Sensitivity:
Endogenous

MW (kDa):
200

Source/Isotype:
Rabbit IgG

UniProt ID:
#P31997

Entrez-Gene Id:
1088

Product Usage Information

Application Dilution
Western Blotting 1:1000

Storage

Supplied in 10 mM sodium HEPES (pH 7.5), 150 mM NaCl, 100 µg/ml BSA, 50% glycerol and less than 0.02% sodium azide. Store at –20°C. Do not aliquot the antibody.

Specificity/Sensitivity

CEACAM8 (D2F5U) Rabbit Monoclonal Antibody recognizes endogenous levels of total CEACAM8 protein. This antibody does not cross-react with CEACAM1 or CEACAM6 proteins.

Source / Purification

Monoclonal antibody is produced by immunizing animals with recombinant protein specific to the carboxy terminus of human CEACAM8 protein.

Background

Carcinoembryonic antigen-related cell adhesion molecule 8 (CEACAM8), also known as CD66b, is a member of the CEA-related cell-adhesion molecule (CEACAM) family (1). CEACAMs bind to themselves and other family members to carry out numerous cellular functions, including proliferation, signaling, differentiation, tumor suppression, and survival (2). CEACAM8 is a single-chain, glycosylphosphatidylinositol (GPI)-anchored, highly glycosylated protein that under normal conditions is expressed almost exclusively on granulocytes (3). Heterophilic interactions of CEACAM8 with other surface molecules, such as CEACAM6, have been shown to be involved in regulating cell adhesion in a calcium-independent manner (4). As such, CEACAM8 has demonstrated utility as a marker of neutrophil and eosinophil activation (5,6) and in pathological conditions is shown to be highly expressed in primary myelofibrosis and acute lymphoblastic leukemias (7,8). Assessment of CEACAM8 positive tumor-infiltrating neutrophils has demonstrated value as a prognostic factor in multiple cancer types (9,10).

Species Reactivity

Species reactivity is determined by testing in at least one approved application (e.g., western blot).

Western Blot Buffer

IMPORTANT: For western blots, incubate membrane with diluted primary antibody in 5% w/v BSA, 1X TBS, 0.1% Tween® 20 at 4°C with gentle shaking, overnight.

Applications Key

W: Western Blotting

Cross-Reactivity Key

H: Human

Trademarks and Patents

Cell Signaling Technology is a trademark of Cell Signaling Technology, Inc.

All other trademarks are the property of their respective owners. Visit cellsignal.com/trademarks for more information.

Limited Uses

Except as otherwise expressly agreed in a writing signed by a legally authorized representative of CST, the following terms apply to Products provided by CST, its affiliates or its distributors. Any Customer's terms and conditions that are in addition to, or different from, those contained herein, unless separately accepted in writing by a legally authorized representative of CST, are rejected and are of no force or effect.

Products are labeled with For Research Use Only or a similar labeling statement and have not been approved, cleared, or licensed by the FDA or other regulatory foreign or domestic entity, for any purpose. Customer shall not use any Product for any diagnostic or therapeutic purpose, or otherwise in any manner that conflicts with its labeling statement. Products sold or licensed by CST are provided for Customer as the end-user and solely for research and development uses. Any use of Product for diagnostic, prophylactic or therapeutic purposes, or any purchase of Product for resale (alone or as a component) or other commercial purpose, requires a separate license from CST. Customer shall (a) not sell, license, loan, donate or otherwise transfer or make available any Product to any third party, whether alone or in combination with other materials, or use the Products to manufacture any commercial products, (b) not copy, modify, reverse engineer, decompile, disassemble or otherwise attempt to discover the underlying structure or technology of the Products, or use the Products for the purpose of developing any products or services that would compete with CST products or services, (c) not alter or remove from the Products any trademarks, trade names, logos, patent or copyright notices or markings, (d) use the Products solely in accordance with CST Product Terms of Sale and any applicable documentation, and (e) comply with any license, terms of service or similar agreement with respect to any third party products or services used by Customer in connection with the Products.

Orders: 877-616-CELL (2355) [email protected] Support: 877-678-TECH (8324) [email protected] Web: cellsignal.com
For Research Use Only. Not for Use in Diagnostic Procedures.

Revision 1

Cell Signaling Technology Logo
Western blot analysis of extracts from HT55, SW1463, and HCC827 cells, untreated (-) or treated with PNGase F (+), using CEACAM8 (D2F5U) Rabbit mAb (upper), or β-Actin (D6A8) Rabbit mAb #8457 (lower).
Western Blotting Image 1: CEACAM8 (D2F5U) Rabbit Monoclonal Antibody
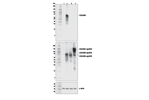
Western blot analysis of extracts from 293T cells, mock-transfected (lane 1) or transfected with CEACAM8-mycDDK (lane 2), CEACAM6-mycDDK (lane 3) or CEACAM1-mycDDK (lane 4), using CEACAM8 (D2F5U) Rabbit mAb (upper), Myc-tag (71D10) Rabbit mAb #2278 (middle), and β-Actin (D6A8) Rabbit mAb #8457 (lower).
Western Blotting Image 2: CEACAM8 (D2F5U) Rabbit Monoclonal Antibody
Orders: 877-616-CELL (2355) [email protected] Support: 877-678-TECH (8324) [email protected] Web: cellsignal.com
For Research Use Only. Not for Use in Diagnostic Procedures.