Revision 1

#9932

Store at -20C

Cell Cycle Regulation Antibody Sampler Kit

1 Kit

(8 x 20 microliters)

CST Logo
Orders:

877-616-CELL (2355)

[email protected]

Support:

877-678-TECH (8324)

3 Trask Lane | Danvers | Massachusetts | 01923 | USA

For Research Use Only. Not for Use in Diagnostic Procedures.

Product Includes Product # Quantity Mol. Wt Isotype/Source
CDK2 (78B2) Rabbit mAb254620 µl33 kDaRabbit
p27 Kip1 (D69C12) XP® Rabbit mAb368620 µl27 kDaRabbit IgG
Cyclin D1 (92G2) Rabbit mAb297820 µl36 kDaRabbit IgG
CDK6 (DCS83) Mouse mAb313620 µl36 kDaMouse IgG1
Cyclin D3 (DCS22) Mouse mAb293620 µl31 kDaMouse IgG1
p21 Waf1/Cip1 (12D1) Rabbit mAb294720 µl21 kDaRabbit IgG
CDK4 (D9G3E) Rabbit mAb1279020 µl30 kDaRabbit IgG
p18 INK4C (DCS118) Mouse mAb289620 µl18 kDaMouse IgG2a
Anti-rabbit IgG, HRP-linked Antibody7074100 µlGoat
Anti-mouse IgG, HRP-linked Antibody7076100 µlHorse

Please visit cellsignal.com for individual component applications, species cross-reactivity, dilutions, protocols, and additional product information.

Description

Cell Cycle Regulation Antibody Sampler kit offers an economical way of detecting eight integral cell cycle regulation proteins. The kit contains enough primary and secondary antibodies to perform two western blot experiments with each primary antibody.

Storage

Supplied in 10 mM sodium HEPES (pH 7.5), 150 mM NaCl, 100 µg/ml BSA, 50% glycerol and less than 0.02% sodium azide. Store at –20°C. Do not aliquot the antibody.

Background

Eukaryotic cell cycle progression is dependent, in part, on the tightly regulated activity of cyclin dependent kinases (CDKs). Cyclin D/CDK4/6 activity occurs in mid-late G1 phase, upstream of CDK2/cyclin E activity. Both of these activities are required for hyperphosphorylation of the retinoblastoma gene product (pRb). pRb phosphorylation allows the release of S phase-promoting transcription factors and is indicative of the cell's commitment to proliferate. This point in the cell cycle is known as the restriction point. Cyclin protein levels oscillate throughout the cell cycle, and their availability is a means of controlling CDK activity and cell proliferation. Cyclin D is degraded through the ubiquitin proteasome pathway in the absence of mitogenic signaling. Ubiquitination of cyclin D1 is enhanced by phosphorylation at Thr286 by glycogen synthase kinase 3b (GSK-3b) (1). p27/Kip1, p57 Kip2 and p21 Waf1/Cip1 are members of the Cip/Kip family of cyclin-dependent kinase inhibitors. They form heterotrimeric complexes with cyclins and CDKs, inhibiting kinase activity and blocking progression through G1/S phase (2). However, p21 may enhance assembly and activity of cyclin D/CDK4/6 complexes (3). Levels of p21 and p27 protein are controlled through ubiquitination and proteasomal degradation (4). Levels of p27 are upregulated in quiescent cells and in cells treated with negative cell cycle regulators. p27 nuclear localization is controlled by Akt-dependent phosphorylation at Thr157 (5). The inhibitors of CDK4 (INK4) family include p15 INK4B, p16 INK4A, p18 INK4C, and p19 INK4D. All INK4 proteins selectively inhibit CDK4/6 activity, either in a binary complex, or in a ternary complex including cyclin D, resulting in inhibition of cell division (6,7).

Trademarks and Patents

Cell Signaling Technology is a trademark of Cell Signaling Technology, Inc.

All other trademarks are the property of their respective owners. Visit cellsignal.com/trademarks for more information.

Limited Uses

Except as otherwise expressly agreed in a writing signed by a legally authorized representative of CST, the following terms apply to Products provided by CST, its affiliates or its distributors. Any Customer's terms and conditions that are in addition to, or different from, those contained herein, unless separately accepted in writing by a legally authorized representative of CST, are rejected and are of no force or effect.

Products are labeled with For Research Use Only or a similar labeling statement and have not been approved, cleared, or licensed by the FDA or other regulatory foreign or domestic entity, for any purpose. Customer shall not use any Product for any diagnostic or therapeutic purpose, or otherwise in any manner that conflicts with its labeling statement. Products sold or licensed by CST are provided for Customer as the end-user and solely for research and development uses. Any use of Product for diagnostic, prophylactic or therapeutic purposes, or any purchase of Product for resale (alone or as a component) or other commercial purpose, requires a separate license from CST. Customer shall (a) not sell, license, loan, donate or otherwise transfer or make available any Product to any third party, whether alone or in combination with other materials, or use the Products to manufacture any commercial products, (b) not copy, modify, reverse engineer, decompile, disassemble or otherwise attempt to discover the underlying structure or technology of the Products, or use the Products for the purpose of developing any products or services that would compete with CST products or services, (c) not alter or remove from the Products any trademarks, trade names, logos, patent or copyright notices or markings, (d) use the Products solely in accordance with CST Product Terms of Sale and any applicable documentation, and (e) comply with any license, terms of service or similar agreement with respect to any third party products or services used by Customer in connection with the Products.

Orders: 877-616-CELL (2355) [email protected] Support: 877-678-TECH (8324) [email protected] Web: cellsignal.com
For Research Use Only. Not for Use in Diagnostic Procedures.

Revision 1

Cell Signaling Technology Logo
Western blot analysis of extracts from various cell lines using CDK4 (D9G3E) Rabbit mAb.
undefined Image 1: Cell Cycle Regulation Antibody Sampler Kit
Western blot analysis of extracts from HeLa, NIH/3T3, C6 and COS cells, using CDK2 (78B2) Rabbit mAb.
undefined Image 2: Cell Cycle Regulation Antibody Sampler Kit
Western blot analysis of extracts from HeLa, 293 and Ramos cells, using p18 INK4C (DCS118) Mouse mAb.
undefined Image 3: Cell Cycle Regulation Antibody Sampler Kit
Orders: 877-616-CELL (2355) [email protected] Support: 877-678-TECH (8324) [email protected] Web: cellsignal.com
For Research Use Only. Not for Use in Diagnostic Procedures.

Revision 1

Cell Signaling Technology Logo
Western blot analysis of extracts from SK-N-MC, C6 and IMCD3 cells, using Cyclin D3 (DCS22) Mouse mAb.
undefined Image 4: Cell Cycle Regulation Antibody Sampler Kit
Western blot analysis from control HeLa cells (lane 1) or p21 Waf1/Cip1 knockout HeLa cells (lane 2) using p21 Waf1/Cip1 (12D1) Rabbit mAb (upper) or β-Actin (D6A8) Rabbit mAb #8457 (lower). The absence of signal in the p21 Waf1/Cip1 knockout HeLa cells confirms specificity of the antibody for p21 Waf1/Cip1.
undefined Image 5: Cell Cycle Regulation Antibody Sampler Kit
Western blot analysis of extracts from MCF7, L929 and C6 cells, using Cyclin D1 (92G2) Rabbit mAb.
undefined Image 6: Cell Cycle Regulation Antibody Sampler Kit
Orders: 877-616-CELL (2355) [email protected] Support: 877-678-TECH (8324) [email protected] Web: cellsignal.com
For Research Use Only. Not for Use in Diagnostic Procedures.

Revision 1

Cell Signaling Technology Logo
Western blot analysis of extracts from HeLa, IM-CD-3 and C6 cells, using CDK6 (DCS83) Mouse mAb.
undefined Image 7: Cell Cycle Regulation Antibody Sampler Kit
Western blot analysis from control HeLa cells (lane 1) or p27 Kip1 knockout HeLa cells (lane 2) using p27 Kip1 (D69C12) XP Rabbit mAb #3686 (upper) or B-Actin (D6A8) Rabbit mAb #8457 (lower). The absence of signal in the p27 Kip1 knockout HeLa cells confirms specificity of the antibody for p27 Kip1.
undefined Image 8: Cell Cycle Regulation Antibody Sampler Kit
After the primary antibody is bound to the target protein, a complex with HRP-linked secondary antibody is formed. The LumiGLO® is added and emits light during enzyme catalyzed decomposition.
undefined Image 9: Cell Cycle Regulation Antibody Sampler Kit
Orders: 877-616-CELL (2355) [email protected] Support: 877-678-TECH (8324) [email protected] Web: cellsignal.com
For Research Use Only. Not for Use in Diagnostic Procedures.

Revision 1

Cell Signaling Technology Logo
After the primary antibody is bound to the target protein, a complex with HRP-linked secondary antibody is formed. The LumiGLO* is added and emits light during enzyme catalyzed decomposition.
undefined Image 10: Cell Cycle Regulation Antibody Sampler Kit
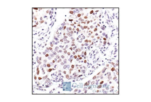
Immunohistochemical analysis of paraffin-embedded human breast carcinoma using CDK4 (D9G3E) Rabbit mAb.
undefined Image 11: Cell Cycle Regulation Antibody Sampler Kit
Flow cytometric analysis of Jurkat cells using CDK2 (78B2) Rabbit mAb (right) and Propidium Iodide (PI)/RNase Staining Solution #4087, compared to a secondary only sample (left). Anti-rabbit IgG (H+L), F(ab')2 Fragment (Alexa Fluor® 488 Conjugate) #4412 was used as a secondary antibody.
undefined Image 12: Cell Cycle Regulation Antibody Sampler Kit
Orders: 877-616-CELL (2355) [email protected] Support: 877-678-TECH (8324) [email protected] Web: cellsignal.com
For Research Use Only. Not for Use in Diagnostic Procedures.

Revision 1

Cell Signaling Technology Logo
Immunohistochemical analysis of paraffin-embedded human breast carcinoma, using Cyclin D3 (DCS22) Mouse mAb.
undefined Image 13: Cell Cycle Regulation Antibody Sampler Kit
Western blot analysis of extracts from various cell types using p21 Waf1/Cip1 (12D1) Rabbit mAb.
undefined Image 14: Cell Cycle Regulation Antibody Sampler Kit
Immunohistochemical analysis of paraffin-embedded human colon carcinoma, using Cyclin D1 (92G2) Rabbit mAb.
undefined Image 15: Cell Cycle Regulation Antibody Sampler Kit
Orders: 877-616-CELL (2355) [email protected] Support: 877-678-TECH (8324) [email protected] Web: cellsignal.com
For Research Use Only. Not for Use in Diagnostic Procedures.

Revision 1

Cell Signaling Technology Logo
Western blot analysis of extracts from various cell types using p27 Kip1 (D69C12) XP® Rabbit mAb.
undefined Image 16: Cell Cycle Regulation Antibody Sampler Kit
Immunohistochemical analysis of paraffin-embedded human lung carcinoma using CDK4 (D9G3E) Rabbit mAb in the presence of control peptide (left) or antigen-specific peptide (right).
undefined Image 17: Cell Cycle Regulation Antibody Sampler Kit
Immunohistochemical analysis of paraffin-embedded human lung carcinoma, using Cyclin D3 (DCS22) Mouse mAb.
undefined Image 18: Cell Cycle Regulation Antibody Sampler Kit
Orders: 877-616-CELL (2355) [email protected] Support: 877-678-TECH (8324) [email protected] Web: cellsignal.com
For Research Use Only. Not for Use in Diagnostic Procedures.

Revision 1

Cell Signaling Technology Logo
Western blot analysis of extracts from HeLa cells, transfected with 100 nM SignalSilence® Control siRNA (Fluorescein Conjugate) #6201 (-) or SignalSilence® p21 Waf1/Cip1 siRNA II (+), using p21 Waf1/Cip1 (12D1) Rabbit mAb #2947 and α-Tubulin (11H10) Rabbit mAb #2125. The p21 Waf1/Cip1 (12D1) Rabbit mAb confirms silencing of p21 Waf1/Cip1 expression and α-Tubulin (11H10) Rabbit mAb is used to control for loading and specificity of p21 Waf1/Cip1 siRNA.
undefined Image 19: Cell Cycle Regulation Antibody Sampler Kit
Immunohistochemical analysis of paraffin-embedded Apc (min/+) mouse intestine using Cyclin D1 (92G2) Rabbit mAb.
undefined Image 20: Cell Cycle Regulation Antibody Sampler Kit
Immunoprecipitation of p27 Kip1 from 293 cells using p27 Kip1 (D69C12) XP® Rabbit mAb. Western analysis was performed using the same antibody. Lane 1 is 5% input.
undefined Image 21: Cell Cycle Regulation Antibody Sampler Kit
Orders: 877-616-CELL (2355) [email protected] Support: 877-678-TECH (8324) [email protected] Web: cellsignal.com
For Research Use Only. Not for Use in Diagnostic Procedures.

Revision 1

Cell Signaling Technology Logo
Confocal immunofluorescent analysis of MCF7 cells using CDK4 (D9G3E) Rabbit mAb (green), p21 Waf1/Cip1 (12D1) Rabbit mAb (Alexa Fluor® 555 Conjugate) #8493 (red), and Phospho-Histone H3 (Ser10) (D2C8) XP® Rabbit mAb (Alexa Fluor® 647 Conjugate) #3458 (blue pseudocolor).
undefined Image 22: Cell Cycle Regulation Antibody Sampler Kit
Immunoprecipitation of p21 from human umbillical vein endothelial cells (HUVECs) using p21 Waf1/Cip1 (12D1) Rabbit mAb. Western blot detection was performed using the same antibody.
undefined Image 23: Cell Cycle Regulation Antibody Sampler Kit
Immunohistochemical analysis of paraffin-embedded human breast carcinoma, using Cyclin D1 (92G2) Rabbit mAb in the presence of control peptide (left) or Cyclin D1 Blocking Peptide #1044 (right).
undefined Image 24: Cell Cycle Regulation Antibody Sampler Kit
Orders: 877-616-CELL (2355) [email protected] Support: 877-678-TECH (8324) [email protected] Web: cellsignal.com
For Research Use Only. Not for Use in Diagnostic Procedures.

Revision 1

Cell Signaling Technology Logo
Confocal immunofluorescent analysis of MCF-7 cells using p27 Kip1 (D69C12) XP® Rabbit mAb (green). Actin filaments have been labeled with DY-554 phalloidin (red).
undefined Image 25: Cell Cycle Regulation Antibody Sampler Kit
Flow cytometric analysis of Jurkat cells using CDK4 (D9G3E) Rabbit mAb (right) and Propidium Iodide (PI)/RNase Staining Solution #4087, compared to concentration-matched Rabbit (DA1E) mAb IgG XP® Isotype Control #3900 (left). Anti-rabbit IgG (H+L), F(ab')2 Fragment (Alexa Fluor® 488 Conjugate) #4412 was used as a secondary antibody.
undefined Image 26: Cell Cycle Regulation Antibody Sampler Kit
Immunohistochemical analysis of paraffin-embedded human breast carcinoma using p21 Waf1/Cip1 (12D1) Rabbit mAb in the presence of control peptide (left) or antigen-specific peptide (right).
undefined Image 27: Cell Cycle Regulation Antibody Sampler Kit
Orders: 877-616-CELL (2355) [email protected] Support: 877-678-TECH (8324) [email protected] Web: cellsignal.com
For Research Use Only. Not for Use in Diagnostic Procedures.

Revision 1

Cell Signaling Technology Logo
Immunohistochemical analysis of paraffin-embedded H1975 xenograft, using Cyclin D1 (92G2) Rabbit mAb.
undefined Image 28: Cell Cycle Regulation Antibody Sampler Kit
Immunohistochemical analysis of paraffin-embedded HeLa cells, transfected with SignalSilence® Control siRNA (Unconjugated) #6568 (left) or SignalSilence® p21 Waf1/Cip1 siRNA II #6558 (right), using p21 Waf1/Cip1 (12D1) Rabbit mAb.
undefined Image 29: Cell Cycle Regulation Antibody Sampler Kit
Confocal immunofluorescent analysis of MCF7 cells using p21 Waf1/Cip1 (12D1) Rabbit mAb (red) and Phospho-Histone H3 (Ser10) (6G3) Mouse mAb #9706 (green). Blue pseudocolor = DRAQ5® #4084 (fluorescent DNA dye).
undefined Image 30: Cell Cycle Regulation Antibody Sampler Kit
Orders: 877-616-CELL (2355) [email protected] Support: 877-678-TECH (8324) [email protected] Web: cellsignal.com
For Research Use Only. Not for Use in Diagnostic Procedures.

Revision 1

Cell Signaling Technology Logo
Flow cytometric analysis of Daudi cells using p21 Waf1/Cip1 (12D1) Rabbit mAb (right) and Propidium Iodide (PI)/RNase Staining Solution #4087, compared to concentration-matched Rabbit (DA1E) mAb IgG XP® Isotype Control #3900 (left). Anti-rabbit IgG (H+L), F(ab')2 Fragment (Alexa Fluor® 488 Conjugate) #4412 was used as a secondary antibody.
undefined Image 31: Cell Cycle Regulation Antibody Sampler Kit
Simple Western™ analysis of lysates (1.0 mg/mL) from HeLa cells using CDK2 (78B2) Rabbit mAb #2546. The virtual lane view (left) shows a single target band (as indicated) at 1:10 and 1:50 dilutions of primary antibody. The corresponding electropherogram view (right) plots chemiluminescence by molecular weight along the capillary at 1:10 (blue line) and 1:50 (green line) dilutions of primary antibody. This experiment was performed under reducing conditions on the Jess™ Simple Western instrument from ProteinSimple, a BioTechne brand, using the 12-230 kDa separation module.
undefined Image 32: Cell Cycle Regulation Antibody Sampler Kit
Simple Western™ analysis of lysates (1.0 mg/mL) from MCF-7 cells using p21 Waf1/Cip1 (12D1) Rabbit mAb #2947. The virtual lane view (left) shows a single target band (as indicated) at 1:10 and 1:50 dilutions of primary antibody. The corresponding electropherogram view (right) plots chemiluminescence by molecular weight along the capillary at 1:10 (blue line) and 1:50 (green line) dilutions of primary antibody. This experiment was performed under reducing conditions on the Jess™ Simple Western instrument from ProteinSimple, a BioTechne brand, using the 12-230 kDa separation module.
undefined Image 33: Cell Cycle Regulation Antibody Sampler Kit
Orders: 877-616-CELL (2355) [email protected] Support: 877-678-TECH (8324) [email protected] Web: cellsignal.com
For Research Use Only. Not for Use in Diagnostic Procedures.

Revision 1

Cell Signaling Technology Logo
Flow cytometric analysis of Jurkat cells using p27 Kip1 (D69C12) XP® Rabbit mAb (right) or concentration-matched Rabbit (DA1E) mAb IgG XP® Isotype Control #3900 (left) and Propidium Iodide (PI)/RNase Staining Solution #4087 to measure DNA content. Anti-rabbit IgG (H+L), F(ab')2 Fragment (Alexa Fluor® 488 Conjugate) #4412 was used as a secondary antibody.
undefined Image 34: Cell Cycle Regulation Antibody Sampler Kit
Orders: 877-616-CELL (2355) [email protected] Support: 877-678-TECH (8324) [email protected] Web: cellsignal.com
For Research Use Only. Not for Use in Diagnostic Procedures.