Revision 1

#44829

Store at -20C

CST Logo
Orders:

877-616-CELL (2355)

[email protected]

Support:

877-678-TECH (8324)

3 Trask Lane | Danvers | Massachusetts | 01923 | USA

For Research Use Only. Not for Use in Diagnostic Procedures.

Applications:
W, IP, IHC-P

Reactivity:
H

Sensitivity:
Endogenous

MW (kDa):
220

Source/Isotype:
Rabbit IgG

UniProt ID:
#Q8TDI0

Entrez-Gene Id:
26038

Product Usage Information

Application Dilution
Western Blotting 1:1000
Immunoprecipitation 1:200
Immunohistochemistry (Paraffin) 1:100

Storage

Supplied in 10 mM sodium HEPES (pH 7.5), 150 mM NaCl, 100 µg/ml BSA, 50% glycerol and less than 0.02% sodium azide. Store at –20°C. Do not aliquot the antibody.

Specificity/Sensitivity

CHD5 (D2F9Q) Rabbit Monoclonal Antibody recognizes endogenous levels of total CHD5 protein.

Source / Purification

Monoclonal antibody is produced by immunizing animals with a synthetic peptide corresponding to residues surrounding Gly1564 of human CHD5 protein.

Background

CHD5 (chromodomain-helicase-DNA-binding-5) is one of the 9 known CHD proteins and is homologous to its family members, CHD3 and CHD4 (1-3). CHD5 interacts with the nucleosome remodeling and deacetylation (NuRD) complex (1,4). CHD5 is characterized by two PHD domains, two chromo domains, a SNF2-like helicase/ATPase domain, as well as a conserved coiled-coil motif in the C-terminal region (1). CHD5 binds to the N-terminus of Histone H3 via its PHD domains (1). CHD5 was first characterized as a tumor suppressor gene found to be frequently lost in neuroblastomas (1). Since its initial discovery, CHD5 has been studied extensively and has been implicated in numerous other cancers including gliomas, breast, lung, ovarian, and prostate cancers as well as in laryngeal squamous cell carcinomas and gallbladder carcinoma (1). CHD5 is thought to be a prognostic marker in neuroblastoma patients. High CHD5 levels are strongly correlated with favorable clinical outcomes, whereas low or absent expression is associated with MYCN amplification and poor outcomes (1). In addition, CHD5 has a dual function in neurogenesis, playing a transcription activating role in neurogenesis, while interacting with the Polycomb group proteins to repress genes encoding regulators of other lineages. Deletion of CHD5 also inhibits neuronal differentiation leading to the accumulation of undifferentiated progenitors (5).

Species Reactivity

Species reactivity is determined by testing in at least one approved application (e.g., western blot).

Western Blot Buffer

IMPORTANT: For western blots, incubate membrane with diluted primary antibody in 5% w/v BSA, 1X TBS, 0.1% Tween® 20 at 4°C with gentle shaking, overnight.

Applications Key

W: Western Blotting IP: Immunoprecipitation IHC-P: Immunohistochemistry (Paraffin)

Cross-Reactivity Key

H: Human

Trademarks and Patents

Cell Signaling Technology is a trademark of Cell Signaling Technology, Inc.

All other trademarks are the property of their respective owners. Visit cellsignal.com/trademarks for more information.

Limited Uses

Except as otherwise expressly agreed in a writing signed by a legally authorized representative of CST, the following terms apply to Products provided by CST, its affiliates or its distributors. Any Customer's terms and conditions that are in addition to, or different from, those contained herein, unless separately accepted in writing by a legally authorized representative of CST, are rejected and are of no force or effect.

Products are labeled with For Research Use Only or a similar labeling statement and have not been approved, cleared, or licensed by the FDA or other regulatory foreign or domestic entity, for any purpose. Customer shall not use any Product for any diagnostic or therapeutic purpose, or otherwise in any manner that conflicts with its labeling statement. Products sold or licensed by CST are provided for Customer as the end-user and solely for research and development uses. Any use of Product for diagnostic, prophylactic or therapeutic purposes, or any purchase of Product for resale (alone or as a component) or other commercial purpose, requires a separate license from CST. Customer shall (a) not sell, license, loan, donate or otherwise transfer or make available any Product to any third party, whether alone or in combination with other materials, or use the Products to manufacture any commercial products, (b) not copy, modify, reverse engineer, decompile, disassemble or otherwise attempt to discover the underlying structure or technology of the Products, or use the Products for the purpose of developing any products or services that would compete with CST products or services, (c) not alter or remove from the Products any trademarks, trade names, logos, patent or copyright notices or markings, (d) use the Products solely in accordance with CST Product Terms of Sale and any applicable documentation, and (e) comply with any license, terms of service or similar agreement with respect to any third party products or services used by Customer in connection with the Products.

Orders: 877-616-CELL (2355) [email protected] Support: 877-678-TECH (8324) [email protected] Web: cellsignal.com
For Research Use Only. Not for Use in Diagnostic Procedures.

Revision 1

Cell Signaling Technology Logo
Western blot analysis of extracts from various cell lines using CHD5 (D2F9Q) Rabbit mAb.
Western Blotting Image 1: CHD5 (D2F9Q) Rabbit Monoclonal Antibody
Immunoprecipitation of CHD5 from PANC1 cell extracts. Lane 1 is 10% input, lane 2 is Rabbit (DA1E) mAb IgG XP® Isotype Control #3900, and lane 3 is CHD5 (D2F9Q) Rabbit mAb. Western blot analysis was performed using CHD5 (D2F9Q) Rabbit mAb.
Immunoprecipitation Image 1: CHD5 (D2F9Q) Rabbit Monoclonal Antibody
Immunohistochemical analysis of paraffin-embedded normal human brain using CHD5 (D2F9Q) Rabbit mAb.
Immunohistochemistry Image 1: CHD5 (D2F9Q) Rabbit Monoclonal Antibody
Orders: 877-616-CELL (2355) [email protected] Support: 877-678-TECH (8324) [email protected] Web: cellsignal.com
For Research Use Only. Not for Use in Diagnostic Procedures.

Revision 1

Cell Signaling Technology Logo
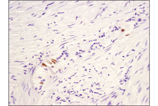
Immunohistochemical analysis of paraffin-embedded normal human colon using CHD5 (D2F9Q) Rabbit mAb.
Immunohistochemistry Image 2: CHD5 (D2F9Q) Rabbit Monoclonal Antibody
Immunohistochemical analysis of paraffin-embedded Panc-1 (left) and SK-N-MC (right) cell pellets using CHD5 (D2F9Q) Rabbit mAb.
Immunohistochemistry Image 3: CHD5 (D2F9Q) Rabbit Monoclonal Antibody
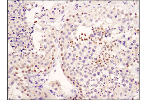
Immunohistochemical analysis of paraffin-embedded normal human testis using CHD5 (D2F9Q) Rabbit mAb.
Immunohistochemistry Image 4: CHD5 (D2F9Q) Rabbit Monoclonal Antibody
Orders: 877-616-CELL (2355) [email protected] Support: 877-678-TECH (8324) [email protected] Web: cellsignal.com
For Research Use Only. Not for Use in Diagnostic Procedures.