Revision 3

#89946

Store at -20C

CST Logo
Orders:

877-616-CELL (2355)

[email protected]

Support:

877-678-TECH (8324)

3 Trask Lane | Danvers | Massachusetts | 01923 | USA

For Research Use Only. Not for Use in Diagnostic Procedures.

Applications:
W, IHC-P, IF-IC, ELISA+

Reactivity:
H M R Mk

Sensitivity:
Endogenous

MW (kDa):
56

Source/Isotype:
Mouse IgG1

UniProt ID:
#O14757

Entrez-Gene Id:
1111

Product Usage Information

This product is the carrier free version of product #2360. All data were generated using the same antibody clone in the standard formulation which contains BSA and glycerol.

This formulation is ideal for use with technologies requiring specialized or custom antibody labeling, including fluorophores, metals, lanthanides, and oligonucleotides. It is not recommended for ChIP, ChIP-seq, CUT&RUN or CUT&Tag assays. If you require a carrier free formulation for chromatin profiling, please contact us. Optimal dilutions/concentrations should be determined by the end user.

BSA and Azide Free antibodies are quality control tested by size exclusion chromatography (SEC) to determine antibody integrity.

Formulation

Supplied in 1X PBS (10 mM Na2HPO4, 3 mM KCl, 2 mM KH2PO4, and 140 mM NaCl (pH 7.8)). BSA and Azide Free.

For standard formulation of this product see product #2360

Storage

Store at -20°C. This product will freeze at -20°C so it is recommended to aliquot into single-use vials to avoid multiple freeze/thaw cycles. A slight precipitate may be present and can be dissolved by gently vortexing. This will not interfere with antibody performance.

Specificity/Sensitivity

Chk1 (2G1D5) Mouse Monoclonal Antibody (BSA and Azide Free) recognizes endogenous levels of total Chk1 protein.

Source / Purification

Monoclonal antibody is produced by immunizing animals with purified recombinant Chk1 protein.

Background

Chk1 kinase acts downstream of ATM/ATR kinase and plays an important role in DNA damage checkpoint control, embryonic development, and tumor suppression (1). Activation of Chk1 involves phosphorylation at Ser317 and Ser345 by ATM/ATR, followed by autophosphorylation of Ser296. Activation occurs in response to blocked DNA replication and certain forms of genotoxic stress (2). While phosphorylation at Ser345 serves to localize Chk1 to the nucleus following checkpoint activation (3), phosphorylation at Ser317 along with site-specific phosphorylation of PTEN allows for re-entry into the cell cycle following stalled DNA replication (4). Chk1 exerts its checkpoint mechanism on the cell cycle, in part, by regulating the cdc25 family of phosphatases. Chk1 phosphorylation of cdc25A targets it for proteolysis and inhibits its activity through 14-3-3 binding (5). Activated Chk1 can inactivate cdc25C via phosphorylation at Ser216, blocking the activation of cdc2 and transition into mitosis (6). Centrosomal Chk1 has been shown to phosphorylate cdc25B and inhibit its activation of CDK1-cyclin B1, thereby abrogating mitotic spindle formation and chromatin condensation (7). Furthermore, Chk1 plays a role in spindle checkpoint function through regulation of aurora B and BubR1 (8). Research studies have implicated Chk1 as a drug target for cancer therapy as its inhibition leads to cell death in many cancer cell lines (9).

Species Reactivity

Species reactivity is determined by testing in at least one approved application (e.g., western blot).

Applications Key

W: Western Blotting IHC-P: Immunohistochemistry (Paraffin) IF-IC: Immunofluorescence (Immunocytochemistry) ELISA+: ELISA and/or ELISA-like Assays

Cross-Reactivity Key

H: Human M: Mouse R: Rat Mk: Monkey

Trademarks and Patents

Cell Signaling Technology is a trademark of Cell Signaling Technology, Inc.

All other trademarks are the property of their respective owners. Visit cellsignal.com/trademarks for more information.

Limited Uses

Except as otherwise expressly agreed in a writing signed by a legally authorized representative of CST, the following terms apply to Products provided by CST, its affiliates or its distributors. Any Customer's terms and conditions that are in addition to, or different from, those contained herein, unless separately accepted in writing by a legally authorized representative of CST, are rejected and are of no force or effect.

Products are labeled with For Research Use Only or a similar labeling statement and have not been approved, cleared, or licensed by the FDA or other regulatory foreign or domestic entity, for any purpose. Customer shall not use any Product for any diagnostic or therapeutic purpose, or otherwise in any manner that conflicts with its labeling statement. Products sold or licensed by CST are provided for Customer as the end-user and solely for research and development uses. Any use of Product for diagnostic, prophylactic or therapeutic purposes, or any purchase of Product for resale (alone or as a component) or other commercial purpose, requires a separate license from CST. Customer shall (a) not sell, license, loan, donate or otherwise transfer or make available any Product to any third party, whether alone or in combination with other materials, or use the Products to manufacture any commercial products, (b) not copy, modify, reverse engineer, decompile, disassemble or otherwise attempt to discover the underlying structure or technology of the Products, or use the Products for the purpose of developing any products or services that would compete with CST products or services, (c) not alter or remove from the Products any trademarks, trade names, logos, patent or copyright notices or markings, (d) use the Products solely in accordance with CST Product Terms of Sale and any applicable documentation, and (e) comply with any license, terms of service or similar agreement with respect to any third party products or services used by Customer in connection with the Products.

Orders: 877-616-CELL (2355) [email protected] Support: 877-678-TECH (8324) [email protected] Web: cellsignal.com
For Research Use Only. Not for Use in Diagnostic Procedures.

Revision 3

Cell Signaling Technology Logo
Western blot analysis of extracts from various cell lines using Chk1 (2G1D5) Mouse mAb. Data were generated using the standard formulation of this product.
Western Blotting Image 1: Chk1 (2G1D5) Mouse Monoclonal Antibody (BSA and Azide Free)
Western blot analysis of extracts from HeLa cells, transfected with 100 nM SignalSilence® Control siRNA (Fluorescein Conjugate) #6201 (-) or SignalSilence® Chk1 siRNA I or SignalSilence® Chk1 siRNA II (+), using Chk1 (2G1D5) Mouse mAb #2360 and β-Actin (13E5) Rabbit mAb #4970. Chk1 (2G1D5) Mouse mAb confirms silencing of Chk1 expression and β-Actin (13E5) Rabbit mAb is used to control for loading and specificity of Chk1 siRNA. Data were generated using the standard formulation of this product.
Western Blotting Image 2: Chk1 (2G1D5) Mouse Monoclonal Antibody (BSA and Azide Free)
Immunohistochemical analysis of paraffin-embedded human oropharyngeal squamous cell carcinoma using Chk1 (2G1D5) Mouse mAb. Data were generated using the standard formulation of this product.
Immunohistochemistry Image 1: Chk1 (2G1D5) Mouse Monoclonal Antibody (BSA and Azide Free)
Orders: 877-616-CELL (2355) [email protected] Support: 877-678-TECH (8324) [email protected] Web: cellsignal.com
For Research Use Only. Not for Use in Diagnostic Procedures.

Revision 3

Cell Signaling Technology Logo
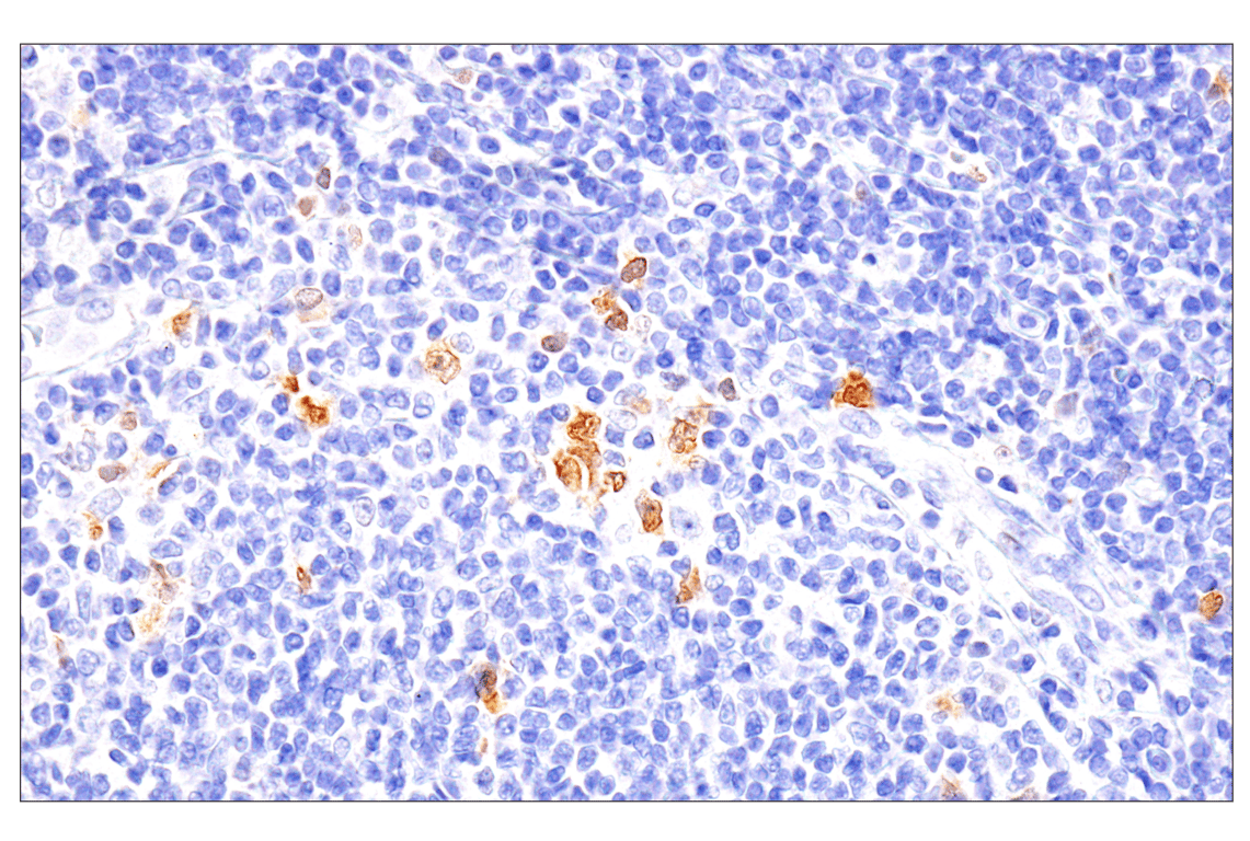
Immunohistochemical analysis of paraffin-embedded human thymoma using Chk1 (2G1D5) Mouse mAb. Data were generated using the standard formulation of this product.
Immunohistochemistry Image 2: Chk1 (2G1D5) Mouse Monoclonal Antibody (BSA and Azide Free)
Immunohistochemical analysis of paraffin-embedded human squamous cell lung carcinoma using Chk1 (2G1D5) Mouse mAb. Data were generated using the standard formulation of this product.
Immunohistochemistry Image 3: Chk1 (2G1D5) Mouse Monoclonal Antibody (BSA and Azide Free)
Immunohistochemical analysis of paraffin-embedded human esophageal adenocarcinoma using Chk1 (2G1D5) Mouse mAb. Data were generated using the standard formulation of this product.
Immunohistochemistry Image 4: Chk1 (2G1D5) Mouse Monoclonal Antibody (BSA and Azide Free)
Orders: 877-616-CELL (2355) [email protected] Support: 877-678-TECH (8324) [email protected] Web: cellsignal.com
For Research Use Only. Not for Use in Diagnostic Procedures.

Revision 3

Cell Signaling Technology Logo
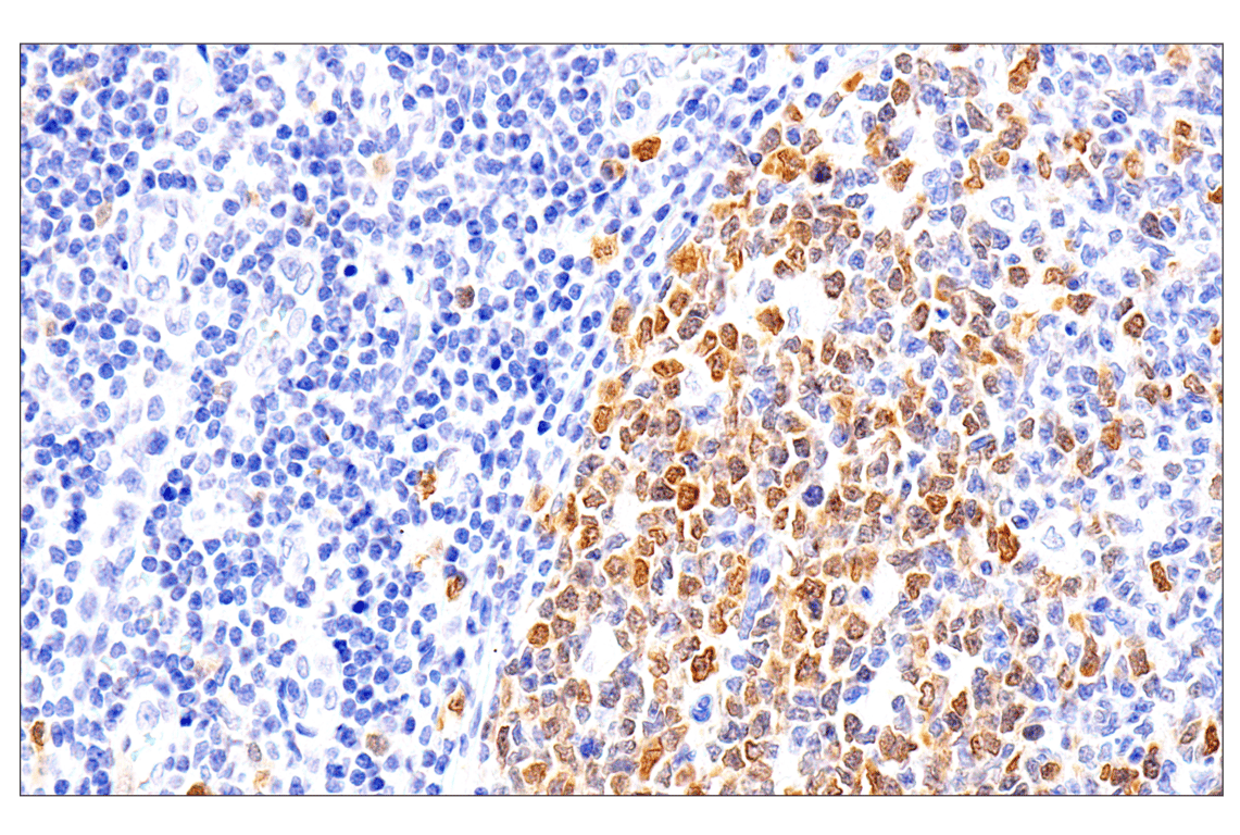
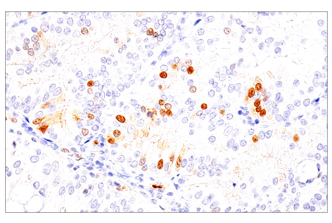
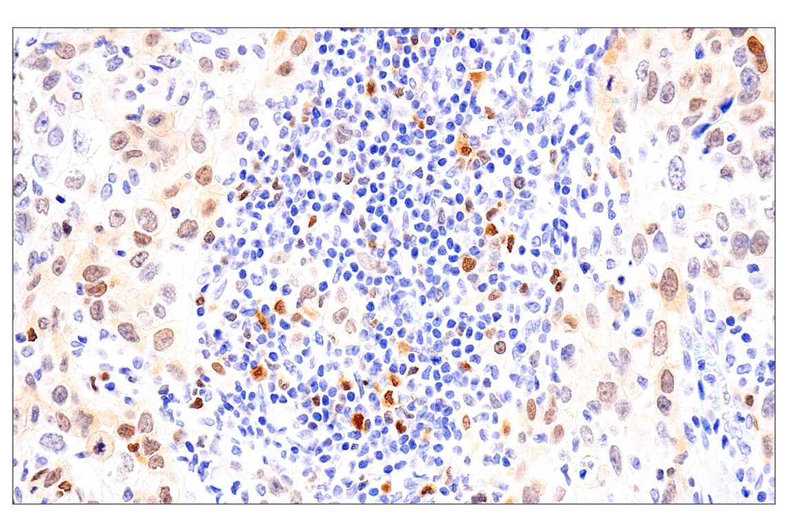
Immunohistochemical analysis of paraffin-embedded human Non-Hodgkin lymphoma using Chk1 (2G1D5) Mouse mAb. Data were generated using the standard formulation of this product.
Immunohistochemistry Image 5: Chk1 (2G1D5) Mouse Monoclonal Antibody (BSA and Azide Free)
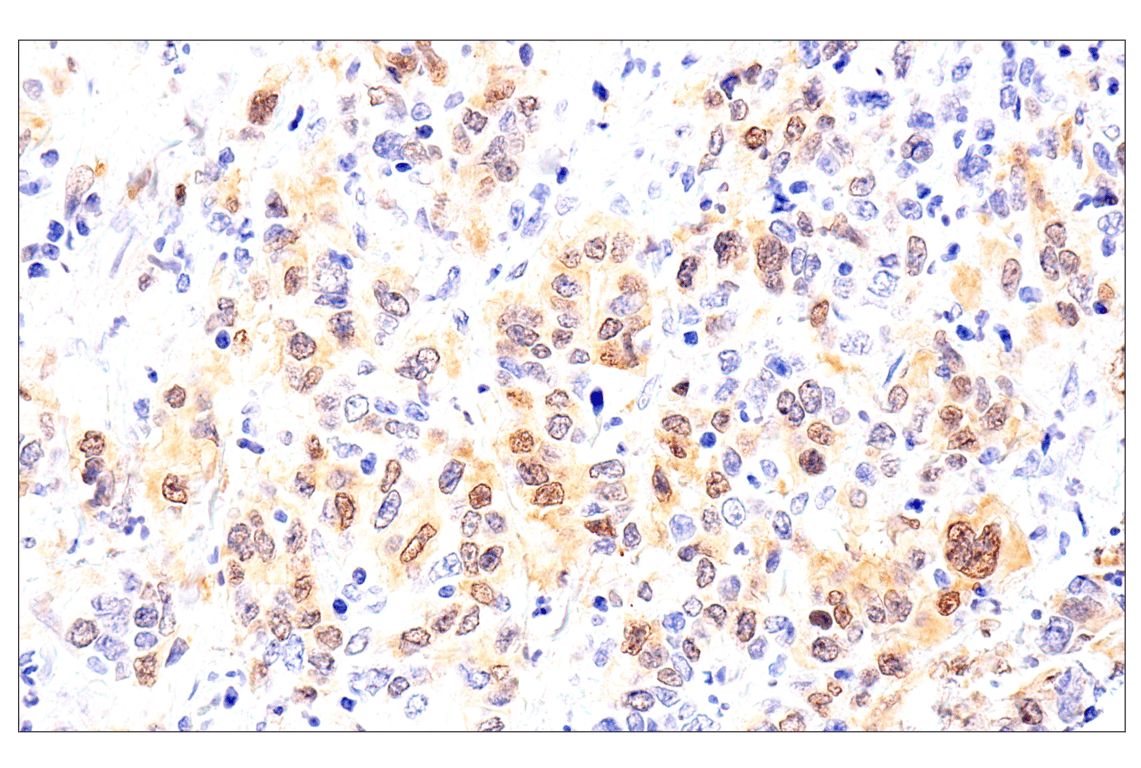
Immunohistochemical analysis of paraffin-embedded human urothelial carcinoma using Chk1 (2G1D5) Mouse mAb. Data were generated using the standard formulation of this product.
Immunohistochemistry Image 6: Chk1 (2G1D5) Mouse Monoclonal Antibody (BSA and Azide Free)
Immunohistochemical analysis of paraffin-embedded human gastric adenocarcinoma using Chk1 (2G1D5) Mouse mAb. Data were generated using the standard formulation of this product.
Immunohistochemistry Image 7: Chk1 (2G1D5) Mouse Monoclonal Antibody (BSA and Azide Free)
Orders: 877-616-CELL (2355) [email protected] Support: 877-678-TECH (8324) [email protected] Web: cellsignal.com
For Research Use Only. Not for Use in Diagnostic Procedures.

Revision 3

Cell Signaling Technology Logo
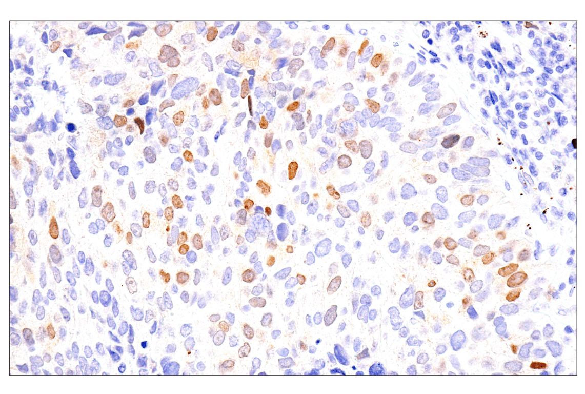
Immunohistochemical analysis of paraffin-embedded human endometrial cancer using Chk1 (2G1D5) Mouse mAb. Data were generated using the standard formulation of this product.
Immunohistochemistry Image 8: Chk1 (2G1D5) Mouse Monoclonal Antibody (BSA and Azide Free)
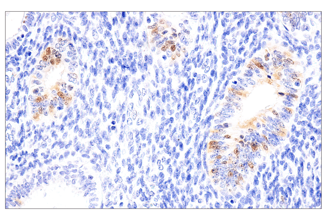
Immunohistochemical analysis of paraffin-embedded normal human uterus using Chk1 (2G1D5) Mouse mAb. Data were generated using the standard formulation of this product.
Immunohistochemistry Image 9: Chk1 (2G1D5) Mouse Monoclonal Antibody (BSA and Azide Free)
Immunohistochemical analysis of paraffin-embedded human tonsil using Chk1 (2G1D5) Mouse mAb. Data were generated using the standard formulation of this product.
Immunohistochemistry Image 10: Chk1 (2G1D5) Mouse Monoclonal Antibody (BSA and Azide Free)
Orders: 877-616-CELL (2355) [email protected] Support: 877-678-TECH (8324) [email protected] Web: cellsignal.com
For Research Use Only. Not for Use in Diagnostic Procedures.

Revision 3

Cell Signaling Technology Logo
Immunohistochemical analysis of paraffin-embedded normal human esophagus using Chk1 (2G1D5) Mouse mAb. Data were generated using the standard formulation of this product.
Immunohistochemistry Image 11: Chk1 (2G1D5) Mouse Monoclonal Antibody (BSA and Azide Free)
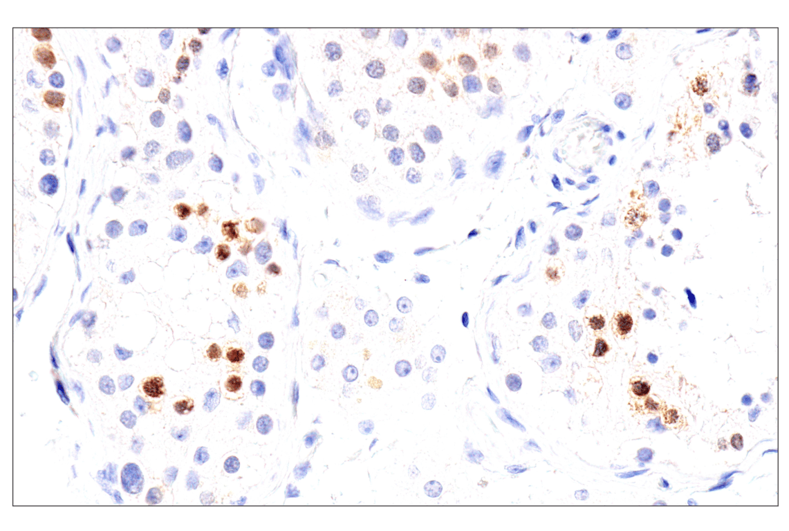
Immunohistochemical analysis of paraffin-embedded normal human testis using Chk1 (2G1D5) Mouse mAb. Data were generated using the standard formulation of this product.
Immunohistochemistry Image 12: Chk1 (2G1D5) Mouse Monoclonal Antibody (BSA and Azide Free)
Immunohistochemical analysis of paraffin-embedded normal human small intestine using Chk1 (2G1D5) Mouse mAb (left) compared to concentration-matched Mouse (G3A1) mAb IgG1 Isotype Control #5415 (right).  Data were generated using the standard formulation of this product.
Immunohistochemistry Image 13: Chk1 (2G1D5) Mouse Monoclonal Antibody (BSA and Azide Free)
Orders: 877-616-CELL (2355) [email protected] Support: 877-678-TECH (8324) [email protected] Web: cellsignal.com
For Research Use Only. Not for Use in Diagnostic Procedures.

Revision 3

Cell Signaling Technology Logo
Immunohistochemical analysis of paraffin-embedded 293T cell pellet (left, high-expressing) or SK-MEL-28 cell pellet (right, low-expressing) using Chk1 (2G1D5) Mouse mAb. Data were generated using the standard formulation of this product.
Immunohistochemistry Image 14: Chk1 (2G1D5) Mouse Monoclonal Antibody (BSA and Azide Free)
Confocal immunofluorescent analysis of NCI H358 cells (left, high-expressing) and MIA PaCa-2 cells (right, low-expressing) using Chk1 (2G1D5) Mouse mAb (green), p21 Waf1/Cip1 (12D1) Rabbit mAb #2947 (red), and DAPI #4083 (blue). Data were generated using the standard formulation of this product.
Immunofluorescence Image 1: Chk1 (2G1D5) Mouse Monoclonal Antibody (BSA and Azide Free)
Data using Phospho-Chk1 (Ser345) Matched Antibody Pair #29860 are shown. The two antibodies function as a capture-target-detection sandwich (#89946 and #49035, respectively) to detect endogenous protein expression in positive and negative controls.
ELISA and/or ELISA-like Assays Image 1: Chk1 (2G1D5) Mouse Monoclonal Antibody (BSA and Azide Free)
Orders: 877-616-CELL (2355) [email protected] Support: 877-678-TECH (8324) [email protected] Web: cellsignal.com
For Research Use Only. Not for Use in Diagnostic Procedures.