Revision 4

#3440

Store at -20C

CST Logo
Orders:

877-616-CELL (2355)

[email protected]

Support:

877-678-TECH (8324)

3 Trask Lane | Danvers | Massachusetts | 01923 | USA

For Research Use Only. Not for Use in Diagnostic Procedures.

Applications:
W, IHC-P, IF-IC

Reactivity:
H Mk

Sensitivity:
Endogenous

MW (kDa):
62

Source/Isotype:
Mouse IgG2b

UniProt ID:
#O96017

Entrez-Gene Id:
11200

Product Usage Information

Application Dilution
Western Blotting 1:1000
Immunohistochemistry (Paraffin) 1:3200
Immunofluorescence (Immunocytochemistry) 1:200

Storage

Supplied in 10 mM sodium HEPES (pH 7.5), 150 mM NaCl, 100 µg/ml BSA, 50% glycerol and less than 0.02% sodium azide. Store at –20°C. Do not aliquot the antibody.

For a carrier free (BSA and azide free) version of this product see product #17332.

Specificity/Sensitivity

Chk2 (1C12) Mouse Monoclonal Antibody detects endogenous levels of total Chk2 protein.

Source / Purification

Monoclonal antibody is produced by immunizing animals with truncated recombinant GST-Chk2.

Background

Chk2 is the mammalian orthologue of the budding yeast Rad53 and fission yeast Cds1 checkpoint kinases (1-3). The amino-terminal domain of Chk2 contains a series of seven serine or threonine residues (Ser19, Thr26, Ser28, Ser33, Ser35, Ser50, and Thr68) each followed by glutamine (SQ or TQ motif). These are known to be preferred sites for phosphorylation by ATM/ATR kinases (4,5). After DNA damage by ionizing radiation (IR), UV irradiation, or hydroxyurea treatment, Thr68 and other sites in this region become phosphorylated by ATM/ATR (5-7). The SQ/TQ cluster domain, therefore, seems to have a regulatory function. Phosphorylation at Thr68 is a prerequisite for the subsequent activation step, which is attributable to autophosphorylation of Chk2 at residues Thr383 and Thr387 in the activation loop of the kinase domain (8).

Species Reactivity

Species reactivity is determined by testing in at least one approved application (e.g., western blot).

Western Blot Buffer

IMPORTANT: For western blots, incubate membrane with diluted primary antibody in 5% w/v nonfat dry milk, 1X TBS, 0.1% Tween® 20 at 4°C with gentle shaking, overnight.

Applications Key

W: Western Blotting IHC-P: Immunohistochemistry (Paraffin) IF-IC: Immunofluorescence (Immunocytochemistry)

Cross-Reactivity Key

H: Human Mk: Monkey

Trademarks and Patents

Cell Signaling Technology is a trademark of Cell Signaling Technology, Inc.

All other trademarks are the property of their respective owners. Visit cellsignal.com/trademarks for more information.

Limited Uses

Except as otherwise expressly agreed in a writing signed by a legally authorized representative of CST, the following terms apply to Products provided by CST, its affiliates or its distributors. Any Customer's terms and conditions that are in addition to, or different from, those contained herein, unless separately accepted in writing by a legally authorized representative of CST, are rejected and are of no force or effect.

Products are labeled with For Research Use Only or a similar labeling statement and have not been approved, cleared, or licensed by the FDA or other regulatory foreign or domestic entity, for any purpose. Customer shall not use any Product for any diagnostic or therapeutic purpose, or otherwise in any manner that conflicts with its labeling statement. Products sold or licensed by CST are provided for Customer as the end-user and solely for research and development uses. Any use of Product for diagnostic, prophylactic or therapeutic purposes, or any purchase of Product for resale (alone or as a component) or other commercial purpose, requires a separate license from CST. Customer shall (a) not sell, license, loan, donate or otherwise transfer or make available any Product to any third party, whether alone or in combination with other materials, or use the Products to manufacture any commercial products, (b) not copy, modify, reverse engineer, decompile, disassemble or otherwise attempt to discover the underlying structure or technology of the Products, or use the Products for the purpose of developing any products or services that would compete with CST products or services, (c) not alter or remove from the Products any trademarks, trade names, logos, patent or copyright notices or markings, (d) use the Products solely in accordance with CST Product Terms of Sale and any applicable documentation, and (e) comply with any license, terms of service or similar agreement with respect to any third party products or services used by Customer in connection with the Products.

Orders: 877-616-CELL (2355) [email protected] Support: 877-678-TECH (8324) [email protected] Web: cellsignal.com
For Research Use Only. Not for Use in Diagnostic Procedures.

Revision 4

Cell Signaling Technology Logo
Western blot analysis of extracts from control HeLa cells (lane 1) or Chk2 knockout HeLa cells (lane 2) using Chk2 (1C12) Mouse mAb (upper) or α-Actinin (D6F6) XP® Rabbit mAb #6487 (lower). The absence of signal in the Chk2 knockout HeLa cells confirms the specificity of the antibody for Chk2.
Western Blotting Image 1: Chk2 (1C12) Mouse Monoclonal Antibody
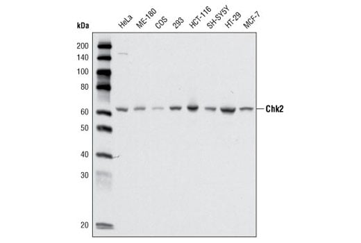
Western blot analysis of extracts from various cell types using Chk2 (1C12) Mouse mAb.
Western Blotting Image 2: Chk2 (1C12) Mouse Monoclonal Antibody
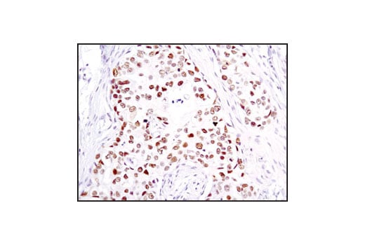
Immunohistochemical analysis of paraffin-embedded human breast carcinoma using Chk2 (1C12) Mouse mAb.
Immunohistochemistry Image 1: Chk2 (1C12) Mouse Monoclonal Antibody
Orders: 877-616-CELL (2355) [email protected] Support: 877-678-TECH (8324) [email protected] Web: cellsignal.com
For Research Use Only. Not for Use in Diagnostic Procedures.

Revision 4

Cell Signaling Technology Logo
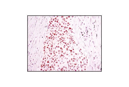
Immunohistochemical analysis of paraffin-embedded human lung carcinoma using Chk2 (1C12) Mouse mAb.
Immunohistochemistry Image 2: Chk2 (1C12) Mouse Monoclonal Antibody
Immunohistochemical analysis of paraffin-embedded HCT 116 cell pellets, control (left, positive) or CRISPR/Cas9 Chk2 knockout (KO) (right, negative), using Chk2 (1C12) Mouse mAb.
Immunohistochemistry Image 3: Chk2 (1C12) Mouse Monoclonal Antibody
Confocal immunofluorescent analysis of HeLa cells using Chk2 (1C12) Mouse mAb (green). Actin filaments have been labeled with DY-554 phalloidin (red).
Immunofluorescence Image 1: Chk2 (1C12) Mouse Monoclonal Antibody
Orders: 877-616-CELL (2355) [email protected] Support: 877-678-TECH (8324) [email protected] Web: cellsignal.com
For Research Use Only. Not for Use in Diagnostic Procedures.