Revision 3

#26111

Store at -20C

CST Logo
Orders:

877-616-CELL (2355)

[email protected]

Support:

877-678-TECH (8324)

3 Trask Lane | Danvers | Massachusetts | 01923 | USA

For Research Use Only. Not for Use in Diagnostic Procedures.

Applications:
IHC-P

Reactivity:
H M

Sensitivity:
Endogenous

Source/Isotype:
Rabbit IgG

UniProt ID:
#P68431

Entrez-Gene Id:
8350

Product Usage Information

Application Dilution
Immunohistochemistry (Paraffin) 1:50

Storage

Supplied in 10 mM sodium HEPES (pH 7.5), 150 mM NaCl, 100 µg/mL BSA, 50% glycerol, and less than 0.02% sodium azide. Store at –20°C. Do not aliquot the antibody.

For a carrier free (BSA and azide free) version of this product see product #25711.

Specificity/Sensitivity

Citrullinated Histone H3 (Arg2) (F3C9B) Rabbit Monoclonal Antibody (IHC Formulated) recognizes histone H3 citrullinated at residue Arg2. This antibody does not cross-react with any other known citrullinated or methylated arginine residues on histone H3.

Source / Purification

Monoclonal antibody is produced by immunizing animals with a synthetic peptide corresponding to residues near the amino terminus of histone H3 in which Arg2 is citrullinated.

Background

The nucleosome, made up of four core histone proteins (H2A, H2B, H3, and H4), is the primary building block of chromatin. Histone post-translational modifications, such as methylation, acetylation, ubiquitination, and citrullination, influence chromatin accessibility and regulate gene expression (1). Histone citrullination is carried out by protein arginine deiminases (PADs), which convert positively charged arginine residues into neutral citrulline (2). Histone citrullination affects the binding of histone reader proteins to chromatin, and it is associated with both transcriptional activation and repression (3-5). Histone citrullination is also a major marker for NETosis, which is a programmed cell death mechanism carried out by neutrophils (6). Deregulation of NETosis is associated with multiple autoimmune diseases, including rheumatoid arthritis (RA) and lupus (7,8). Histone hypercitrullination via PAD4 may also play a role in the progression of various cancers, including multiple myeloma (MM), acute myeloid leukemia (AML), lung cancer, and hepatocellular carcinoma (HCC) (9-12).

Species Reactivity

Species reactivity is determined by testing in at least one approved application (e.g., western blot).

Applications Key

IHC-P: Immunohistochemistry (Paraffin)

Cross-Reactivity Key

H: Human M: Mouse

Trademarks and Patents

Cell Signaling Technology is a trademark of Cell Signaling Technology, Inc.

All other trademarks are the property of their respective owners. Visit cellsignal.com/trademarks for more information.

Limited Uses

Except as otherwise expressly agreed in a writing signed by a legally authorized representative of CST, the following terms apply to Products provided by CST, its affiliates or its distributors. Any Customer's terms and conditions that are in addition to, or different from, those contained herein, unless separately accepted in writing by a legally authorized representative of CST, are rejected and are of no force or effect.

Products are labeled with For Research Use Only or a similar labeling statement and have not been approved, cleared, or licensed by the FDA or other regulatory foreign or domestic entity, for any purpose. Customer shall not use any Product for any diagnostic or therapeutic purpose, or otherwise in any manner that conflicts with its labeling statement. Products sold or licensed by CST are provided for Customer as the end-user and solely for research and development uses. Any use of Product for diagnostic, prophylactic or therapeutic purposes, or any purchase of Product for resale (alone or as a component) or other commercial purpose, requires a separate license from CST. Customer shall (a) not sell, license, loan, donate or otherwise transfer or make available any Product to any third party, whether alone or in combination with other materials, or use the Products to manufacture any commercial products, (b) not copy, modify, reverse engineer, decompile, disassemble or otherwise attempt to discover the underlying structure or technology of the Products, or use the Products for the purpose of developing any products or services that would compete with CST products or services, (c) not alter or remove from the Products any trademarks, trade names, logos, patent or copyright notices or markings, (d) use the Products solely in accordance with CST Product Terms of Sale and any applicable documentation, and (e) comply with any license, terms of service or similar agreement with respect to any third party products or services used by Customer in connection with the Products.

Orders: 877-616-CELL (2355) [email protected] Support: 877-678-TECH (8324) [email protected] Web: cellsignal.com
For Research Use Only. Not for Use in Diagnostic Procedures.

Revision 3

Cell Signaling Technology Logo
Immunohistochemical analysis of paraffin-embedded human gastric adenocarcinoma using Citrullinated Histone H3 (Arg2) (F3C9B) Rabbit mAb (IHC Formulated).
Immunohistochemistry Image 1: Citrullinated Histone H3 (Arg2) (F3C9B) Rabbit Monoclonal Antibody (IHC Formulated)
Immunohistochemical analysis of paraffin-embedded human endometrioid adenocarcinoma using Citrullinated Histone H3 (Arg2) (F3C9B) Rabbit mAb (IHC Formulated).
Immunohistochemistry Image 2: Citrullinated Histone H3 (Arg2) (F3C9B) Rabbit Monoclonal Antibody (IHC Formulated)
Immunohistochemical analysis of paraffin-embedded human squamous cell carcinoma of the skin using Citrullinated Histone H3 (Arg2) (F3C9B) Rabbit mAb (IHC Formulated).
Immunohistochemistry Image 3: Citrullinated Histone H3 (Arg2) (F3C9B) Rabbit Monoclonal Antibody (IHC Formulated)
Orders: 877-616-CELL (2355) [email protected] Support: 877-678-TECH (8324) [email protected] Web: cellsignal.com
For Research Use Only. Not for Use in Diagnostic Procedures.

Revision 3

Cell Signaling Technology Logo
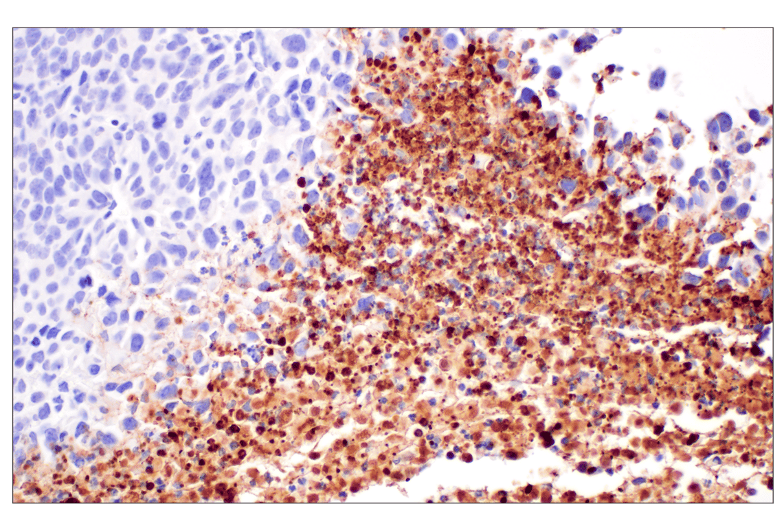
Immunohistochemical analysis of paraffin-embedded human squamous cell lung carcinoma using Citrullinated Histone H3 (Arg2) (F3C9B) Rabbit mAb (IHC Formulated).
Immunohistochemistry Image 4: Citrullinated Histone H3 (Arg2) (F3C9B) Rabbit Monoclonal Antibody (IHC Formulated)
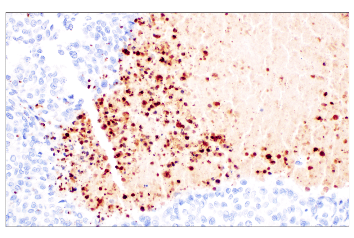
Immunohistochemical analysis of paraffin-embedded human oropharyngeal squamous cell carcinoma using Citrullinated Histone H3 (Arg2) (F3C9B) Rabbit mAb (IHC Formulated).
Immunohistochemistry Image 5: Citrullinated Histone H3 (Arg2) (F3C9B) Rabbit Monoclonal Antibody (IHC Formulated)

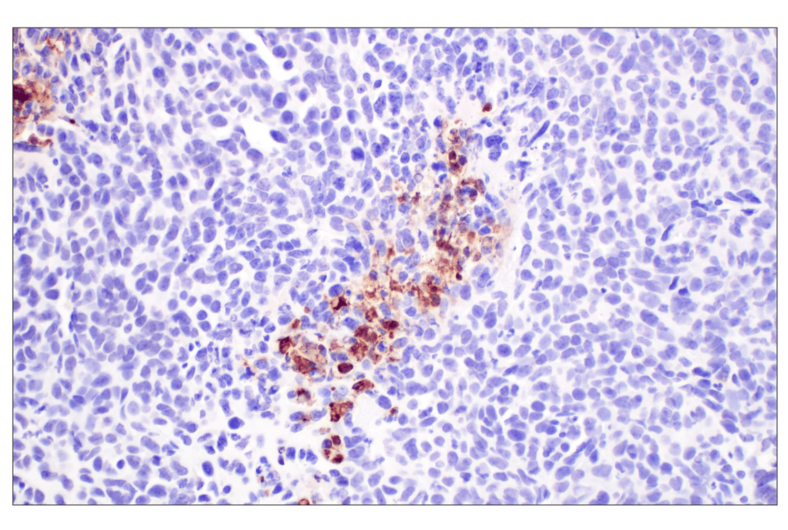
Immunohistochemical analysis of paraffin-embedded LL/2 (LLC1) syngeneic tumor using Citrullinated Histone H3 (Arg2) (F3C9B) Rabbit mAb (IHC Formulated).

Immunohistochemistry Image 6: Citrullinated Histone H3 (Arg2) (F3C9B) Rabbit Monoclonal Antibody (IHC Formulated)
Orders: 877-616-CELL (2355) [email protected] Support: 877-678-TECH (8324) [email protected] Web: cellsignal.com
For Research Use Only. Not for Use in Diagnostic Procedures.

Revision 3

Cell Signaling Technology Logo
Immunohistochemical analysis of paraffin-embedded 4T1 syngeneic tumor using Citrullinated Histone H3 (Arg2) (F3C9B) Rabbit mAb (IHC Formulated).
Immunohistochemistry Image 7: Citrullinated Histone H3 (Arg2) (F3C9B) Rabbit Monoclonal Antibody (IHC Formulated)
Immunohistochemical analysis of paraffin-embedded Renca syngeneic tumor using Citrullinated Histone H3 (Arg2) (F3C9B) Rabbit mAb (IHC Formulated) (left) compared to concentration-matched Rabbit (DA1E) mAb IgG XP® Isotype Control #3900 (right).
Immunohistochemistry Image 8: Citrullinated Histone H3 (Arg2) (F3C9B) Rabbit Monoclonal Antibody (IHC Formulated)
Immunohistochemical analysis of paraffin-embedded 293T cell pellets transfected with a construct expressing human PADI4 (hPADI4), untreated (left) or treated with Locke’s Solution (30 min) and A23187 ionophore (5 μM, 30 min) (right), using
Citrullinated Histone H3 (Arg2) (F3C9B) Rabbit mAb (IHC Formulated).
Immunohistochemistry Image 9: Citrullinated Histone H3 (Arg2) (F3C9B) Rabbit Monoclonal Antibody (IHC Formulated)
Orders: 877-616-CELL (2355) [email protected] Support: 877-678-TECH (8324) [email protected] Web: cellsignal.com
For Research Use Only. Not for Use in Diagnostic Procedures.