Revision 3

#66879

Store at -20C

CST Logo
Orders:

877-616-CELL (2355)

[email protected]

Support:

877-678-TECH (8324)

3 Trask Lane | Danvers | Massachusetts | 01923 | USA

For Research Use Only. Not for Use in Diagnostic Procedures.

Applications:
W, IP, IHC-P

Reactivity:
H M

Sensitivity:
Endogenous

MW (kDa):
23

Source/Isotype:
Rabbit IgG

UniProt ID:
#O00501

Entrez-Gene Id:
7122

Product Usage Information

Application Dilution
Western Blotting 1:1000
Immunoprecipitation 1:50
Immunohistochemistry (Paraffin) 1:400 - 1:1600

Storage

Supplied in 10 mM sodium HEPES (pH 7.5), 150 mM NaCl, 100 µg/mL BSA, 50% glycerol, and less than 0.02% sodium azide. Store at –20°C. Do not aliquot the antibody.

For a carrier free (BSA and azide free) version of this product see product #78328.

Specificity/Sensitivity

Claudin-5 (E5D9Y) Rabbit Monoclonal Antibody recognizes endogenous levels of total claudin-5 protein. Species reactivity for immunohistochemistry is human only. Non-specific staining was observed in skeletal muscle by immunohistochemistry.

Source / Purification

Monoclonal antibody is produced by immunizing animals with a synthetic peptide corresponding to residues surrounding Ala202 of human claudin-5 protein.

Background

Tight junctions, or zonula occludens, form a continuous barrier to fluids across the epithelium and endothelium. They function in regulation of paracellular permeability and in the maintenance of cell polarity, blocking the movement of transmembrane proteins between the apical and the basolateral cell surfaces. Tight junctions are composed of claudin and occludin proteins, which join the junctions to the cytoskeleton (1,2). The claudin family is composed of 23 integral membrane proteins, and their expression, which varies among tissue types, may determine both the strength and properties of the epithelial barrier. Alteration in claudin protein expression pattern is associated with several types of cancer (2,3). 

Claudin-5, highly expressed in brain and lung tissue, is a primary component of the tight junctions of blood-brain barrier endothelial cells. The blood-brain barrier regulates homeostatic and pathological conditions in the brain by limiting passage of material circulating to the brain. The blood-brain barrier can also impede the effectiveness of small molecule therapeutics (4). Claudin-5 is also thought to regulate tumor cell motility brain metastasis (5).

Species Reactivity

Species reactivity is determined by testing in at least one approved application (e.g., western blot).

Western Blot Buffer

IMPORTANT: For western blots, incubate membrane with diluted primary antibody in 5% w/v BSA, 1X TBS, 0.1% Tween® 20 at 4°C with gentle shaking, overnight.

Applications Key

W: Western Blotting IP: Immunoprecipitation IHC-P: Immunohistochemistry (Paraffin)

Cross-Reactivity Key

H: Human M: Mouse

Trademarks and Patents

Cell Signaling Technology is a trademark of Cell Signaling Technology, Inc.

All other trademarks are the property of their respective owners. Visit cellsignal.com/trademarks for more information.

Limited Uses

Except as otherwise expressly agreed in a writing signed by a legally authorized representative of CST, the following terms apply to Products provided by CST, its affiliates or its distributors. Any Customer's terms and conditions that are in addition to, or different from, those contained herein, unless separately accepted in writing by a legally authorized representative of CST, are rejected and are of no force or effect.

Products are labeled with For Research Use Only or a similar labeling statement and have not been approved, cleared, or licensed by the FDA or other regulatory foreign or domestic entity, for any purpose. Customer shall not use any Product for any diagnostic or therapeutic purpose, or otherwise in any manner that conflicts with its labeling statement. Products sold or licensed by CST are provided for Customer as the end-user and solely for research and development uses. Any use of Product for diagnostic, prophylactic or therapeutic purposes, or any purchase of Product for resale (alone or as a component) or other commercial purpose, requires a separate license from CST. Customer shall (a) not sell, license, loan, donate or otherwise transfer or make available any Product to any third party, whether alone or in combination with other materials, or use the Products to manufacture any commercial products, (b) not copy, modify, reverse engineer, decompile, disassemble or otherwise attempt to discover the underlying structure or technology of the Products, or use the Products for the purpose of developing any products or services that would compete with CST products or services, (c) not alter or remove from the Products any trademarks, trade names, logos, patent or copyright notices or markings, (d) use the Products solely in accordance with CST Product Terms of Sale and any applicable documentation, and (e) comply with any license, terms of service or similar agreement with respect to any third party products or services used by Customer in connection with the Products.

Orders: 877-616-CELL (2355) [email protected] Support: 877-678-TECH (8324) [email protected] Web: cellsignal.com
For Research Use Only. Not for Use in Diagnostic Procedures.

Revision 3

Cell Signaling Technology Logo
Western blot analysis of extracts from various cells and tissues using Claudin-5 (E5D9Y) Rabbit mAb (upper) or GAPDH (D16H11) XP® Rabbit mAb #5174 (lower). Negative expression of claudin-5 protein in HeLa cells is consistent with the predicted expression pattern.
Western Blotting Image 1: Claudin-5 (E5D9Y) Rabbit Monoclonal Antibody
Immunoprecipitation of claudin-5 protein from SCLC-21H cell extracts. Lane 1 is 10% input, lane 2 is Rabbit (DA1E) mAb IgG XP® Isotype Control #3900, and lane 3 is Claudin-5 (E5D9Y) Rabbit mAb. Western blot analysis was performed using Claudin-5 (E5D9Y) Rabbit mAb. Anti-rabbit IgG, HRP-linked Antibody #7074 was used as a secondary antibody.
Immunoprecipitation Image 1: Claudin-5 (E5D9Y) Rabbit Monoclonal Antibody

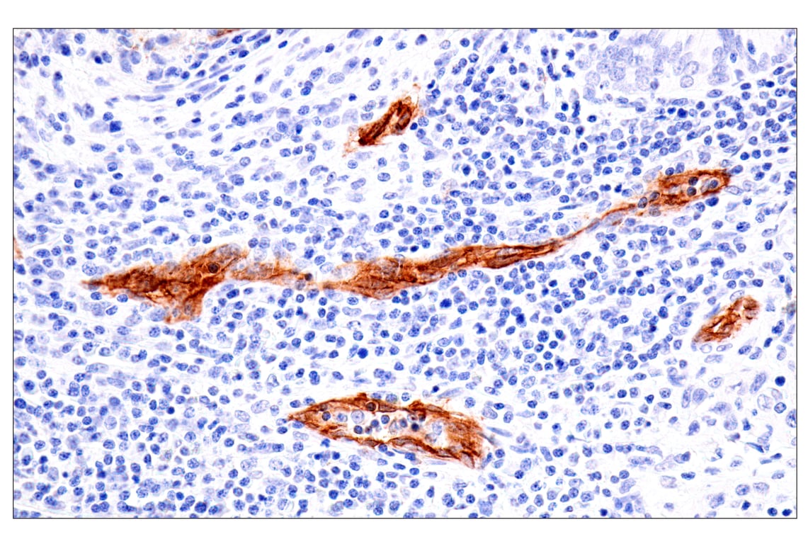
Immunohistochemical analysis of paraffin-embedded human squamous cell carcinoma of the cervix using Claudin-5 (E5D9Y) Rabbit mAb.

Immunohistochemistry Image 1: Claudin-5 (E5D9Y) Rabbit Monoclonal Antibody
Orders: 877-616-CELL (2355) [email protected] Support: 877-678-TECH (8324) [email protected] Web: cellsignal.com
For Research Use Only. Not for Use in Diagnostic Procedures.

Revision 3

Cell Signaling Technology Logo

Immunohistochemical analysis of paraffin-embedded human serous papillary carcinoma of the ovary using Claudin-5 (E5D9Y) Rabbit mAb.

Immunohistochemistry Image 2: Claudin-5 (E5D9Y) Rabbit Monoclonal Antibody

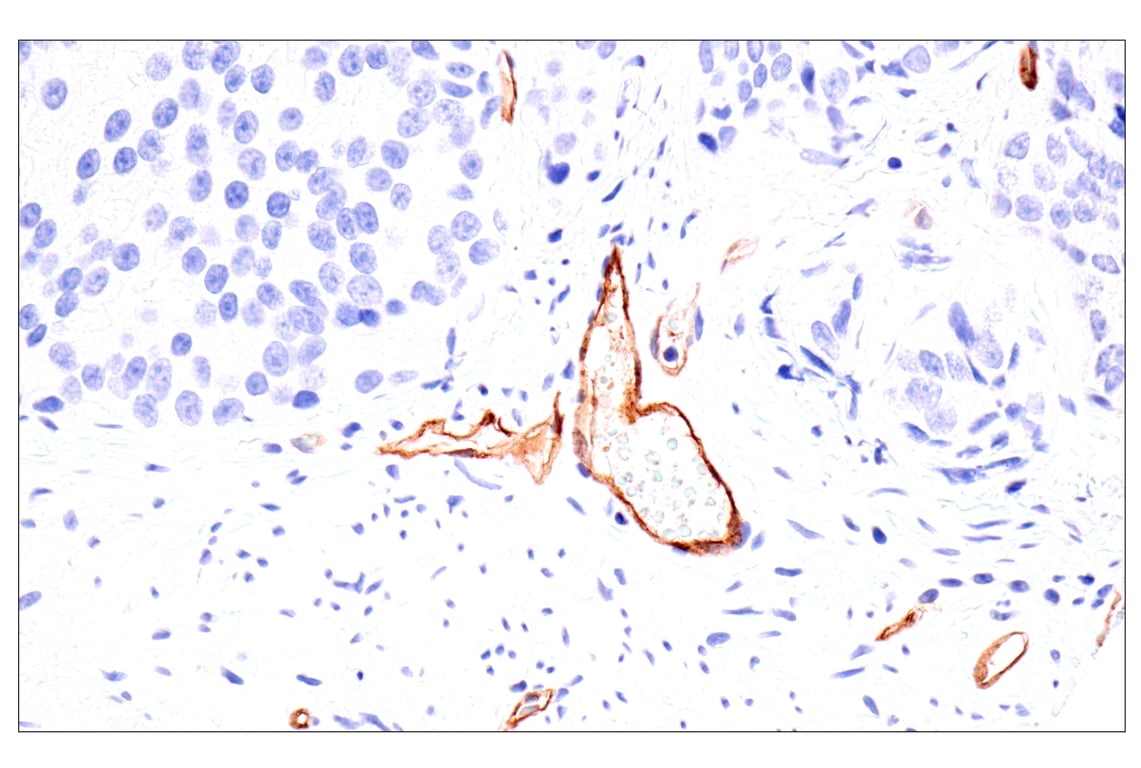
Immunohistochemical analysis of paraffin-embedded human esophageal carcinoma using Claudin-5 (E5D9Y) Rabbit mAb.

Immunohistochemistry Image 3: Claudin-5 (E5D9Y) Rabbit Monoclonal Antibody

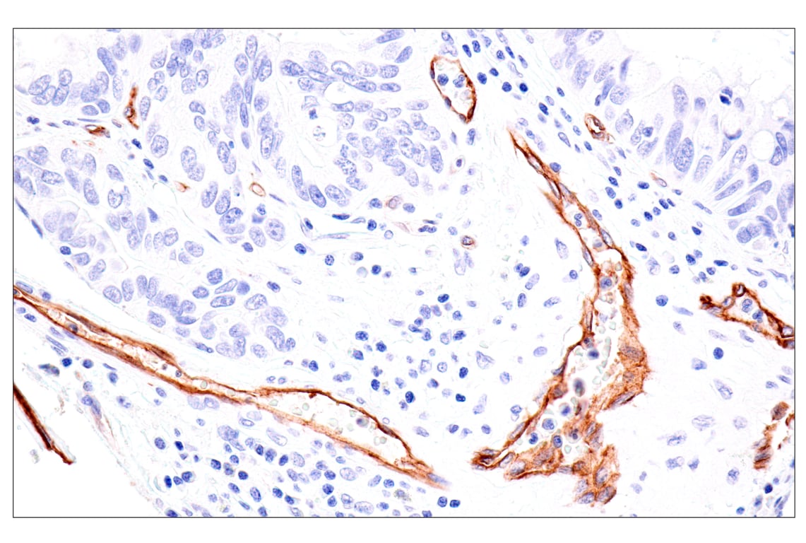
Immunohistochemical analysis of paraffin-embedded human prostate carcinoma using Claudin-5 (E5D9Y) Rabbit mAb.

Immunohistochemistry Image 4: Claudin-5 (E5D9Y) Rabbit Monoclonal Antibody
Orders: 877-616-CELL (2355) [email protected] Support: 877-678-TECH (8324) [email protected] Web: cellsignal.com
For Research Use Only. Not for Use in Diagnostic Procedures.

Revision 3

Cell Signaling Technology Logo
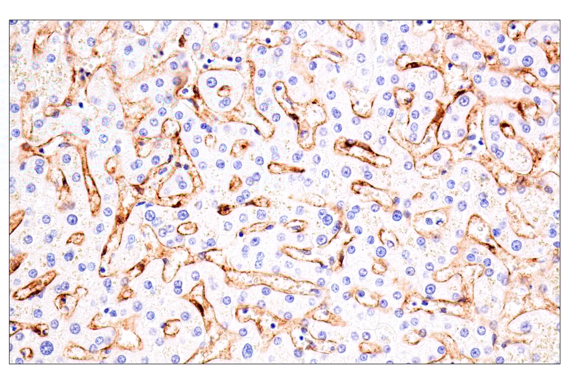
Immunohistochemical analysis of paraffin-embedded normal human liver using Claudin-5 (E5D9Y) Rabbit mAb.
Immunohistochemistry Image 5: Claudin-5 (E5D9Y) Rabbit Monoclonal Antibody
Immunohistochemical analysis of paraffin-embedded normal human kidney using Claudin-5 (E5D9Y) Rabbit mAb.
Immunohistochemistry Image 6: Claudin-5 (E5D9Y) Rabbit Monoclonal Antibody

Immunohistochemical analysis of paraffin-embedded normal human esophagus using Claudin-5 (E5D9Y) Rabbit mAb.

Immunohistochemistry Image 7: Claudin-5 (E5D9Y) Rabbit Monoclonal Antibody
Orders: 877-616-CELL (2355) [email protected] Support: 877-678-TECH (8324) [email protected] Web: cellsignal.com
For Research Use Only. Not for Use in Diagnostic Procedures.

Revision 3

Cell Signaling Technology Logo
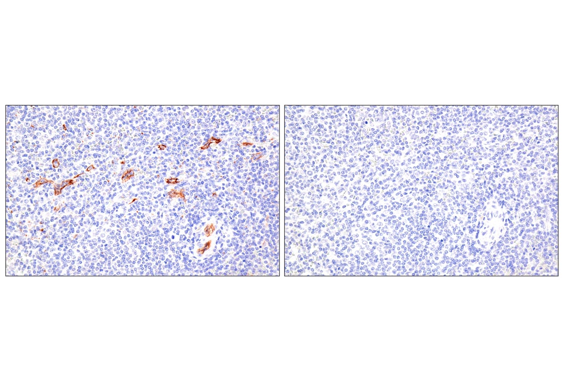
Immunohistochemical analysis of paraffin-embedded human non-Hodgkin lymphoma using Claudin-5 (E5D9Y) Rabbit mAb (left) compared to concentration-matched Rabbit (DA1E) mAb IgG XP® Isotype Control #3900 (right).
Immunohistochemistry Image 8: Claudin-5 (E5D9Y) Rabbit Monoclonal Antibody
Immunohistochemical analysis of paraffin-embedded SCLC-21H cell pellet (left, positive) or HeLa cell pellet (right, negative) using Claudin-5 (E5D9Y) Rabbit mAb.
Immunohistochemistry Image 9: Claudin-5 (E5D9Y) Rabbit Monoclonal Antibody
Orders: 877-616-CELL (2355) [email protected] Support: 877-678-TECH (8324) [email protected] Web: cellsignal.com
For Research Use Only. Not for Use in Diagnostic Procedures.