Revision 3

#59648

Store at -20C

CST Logo
Orders:

877-616-CELL (2355)

[email protected]

Support:

877-678-TECH (8324)

3 Trask Lane | Danvers | Massachusetts | 01923 | USA

For Research Use Only. Not for Use in Diagnostic Procedures.

Applications:
W, IHC-Bond, IHC-P, ELISA

Reactivity:
H

Sensitivity:
Endogenous

MW (kDa):
23

Source/Isotype:
Rabbit IgG

UniProt ID:
#P56747

Entrez-Gene Id:
9074

Product Usage Information

This product is the carrier free version of product #18932. All data were generated using the same antibody clone in the standard formulation which contains BSA and glycerol.

This formulation is ideal for use with technologies requiring specialized or custom antibody labeling, including fluorophores, metals, lanthanides, and oligonucleotides. It is not recommended for ChIP, ChIP-seq, CUT&RUN or CUT&Tag assays. If you require a carrier free formulation for chromatin profiling, please contact us. Optimal dilutions/concentrations should be determined by the end user.

BSA and Azide Free antibodies are quality control tested by size exclusion chromatography (SEC) to determine antibody integrity.

Formulation

Supplied in 1X PBS (10 mM Na2HPO4, 3 mM KCl, 2 mM KH2PO4, and 140 mM NaCl (pH 7.8)). BSA and Azide Free.

For standard formulation of this product see product #18932

Storage

Store at -20°C. This product will freeze at -20°C so it is recommended to aliquot into single-use vials to avoid multiple freeze/thaw cycles. A slight precipitate may be present and can be dissolved by gently vortexing. This will not interfere with antibody performance.

Specificity/Sensitivity

Claudin-6 (E7U2O) Rabbit Monoclonal Antibody (BSA and Azide Free) recognizes endogenous levels of total Claudin-6 protein. This antibody does not cross-react with Claudin-9 protein.

Source / Purification

Monoclonal antibody is produced by immunizing animals with a synthetic peptide corresponding to residues surrounding Val220 of human Claudin-6 protein.

Background

Tight junctions, or zonula occludens, form a continuous barrier to fluids across the epithelium and endothelium. They function in regulation of paracellular permeability and in the maintenance of cell polarity, blocking the movement of transmembrane proteins between the apical and the basolateral cell surfaces. Tight junctions are composed of claudin and occludin proteins, which join the junctions to the cytoskeleton (1,2). The claudin family is composed of 23 integral membrane proteins, and their expression, which varies among tissue types, may determine both the strength and properties of the epithelial barrier. Alteration in claudin protein expression pattern is associated with several types of cancer (2,3). Claudin-1 is expressed primarily in keratinocytes (4) and normal mammary epithelial cells, but is absent or reduced in breast carcinomas and breast cancer cell lines (5,6).

Claudin-6 is a member of the CLDN family that is expressed in epithelial cell sheets. Downregulation of Claudin-6 has been reported in breast invasive ductal carcinoma associated with lymphatic metastasis which may point to a function of Claudin-6 as a tumor suppressor. Claudin-6 is reported to play a role in inhibiting malignancy of breast cancer cells by inducing apoptosis, inhibiting proliferation and migration. Mechanisms of action of Claudin-6 have been described through various signaling pathways such as p38-MAPK, JAKs-STATs, ASK1-JNK, and other pathways (7,8). Regulation of Claudin-6 expression may occur through epigenetic mechanisms (9). Other reports describe aberrant expression in various malignancies (10,11). The clinical significance of Claudin-6 dysregulation has created interest in the potential for pharmaceutical intervention (12-14).

Species Reactivity

Species reactivity is determined by testing in at least one approved application (e.g., western blot).

Applications Key

W: Western Blotting IHC-Bond: IHC Leica Bond IHC-P: Immunohistochemistry (Paraffin) ELISA: ELISA

Cross-Reactivity Key

H: Human

Trademarks and Patents

Cell Signaling Technology is a trademark of Cell Signaling Technology, Inc.

SignalStain is a registered trademark of Cell Signaling Technology, Inc.

All other trademarks are the property of their respective owners. Visit cellsignal.com/trademarks for more information.

Limited Uses

Except as otherwise expressly agreed in a writing signed by a legally authorized representative of CST, the following terms apply to Products provided by CST, its affiliates or its distributors. Any Customer's terms and conditions that are in addition to, or different from, those contained herein, unless separately accepted in writing by a legally authorized representative of CST, are rejected and are of no force or effect.

Products are labeled with For Research Use Only or a similar labeling statement and have not been approved, cleared, or licensed by the FDA or other regulatory foreign or domestic entity, for any purpose. Customer shall not use any Product for any diagnostic or therapeutic purpose, or otherwise in any manner that conflicts with its labeling statement. Products sold or licensed by CST are provided for Customer as the end-user and solely for research and development uses. Any use of Product for diagnostic, prophylactic or therapeutic purposes, or any purchase of Product for resale (alone or as a component) or other commercial purpose, requires a separate license from CST. Customer shall (a) not sell, license, loan, donate or otherwise transfer or make available any Product to any third party, whether alone or in combination with other materials, or use the Products to manufacture any commercial products, (b) not copy, modify, reverse engineer, decompile, disassemble or otherwise attempt to discover the underlying structure or technology of the Products, or use the Products for the purpose of developing any products or services that would compete with CST products or services, (c) not alter or remove from the Products any trademarks, trade names, logos, patent or copyright notices or markings, (d) use the Products solely in accordance with CST Product Terms of Sale and any applicable documentation, and (e) comply with any license, terms of service or similar agreement with respect to any third party products or services used by Customer in connection with the Products.

Orders: 877-616-CELL (2355) [email protected] Support: 877-678-TECH (8324) [email protected] Web: cellsignal.com
For Research Use Only. Not for Use in Diagnostic Procedures.

Revision 3

Cell Signaling Technology Logo
Western blot analysis of extracts from OVCAR-3 and DU 145 cells using Claudin-6 (E7U2O) XP® Rabbit mAb (upper) or β-Actin (D6A8) Rabbit mAb #8457 (lower). Negative expression of Claudin-6 in DU 145 cells is consistent with the predicted expression pattern. Data were generated using the standard formulation of this product.
Western Blotting Image 1: Claudin-6 (E7U2O) Rabbit Monoclonal Antibody (BSA and Azide Free)
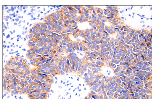
Immunohistochemical analysis of paraffin-embedded human serous papillary carcinoma of the ovary using Claudin-6 (E7U2O) XP® Rabbit mAb performed on the Leica® BOND™ Rx. Data were generated using the standard formulation of this product.
Immunohistochemistry Image 1: Claudin-6 (E7U2O) Rabbit Monoclonal Antibody (BSA and Azide Free)
Immunohistochemical analysis of paraffin-embedded 293T cell pellet, untransfected (left) or Claudin-9 transfected (right), using Claudin-6 (E7U2O) XP® Rabbit mAb (top) or DYKDDDDK Tag (D6W5B) Rabbit mAb #14793 (bottom). Data were generated using the standard formulation of this product.
Immunohistochemistry Image 1: Claudin-6 (E7U2O) Rabbit Monoclonal Antibody (BSA and Azide Free)
Orders: 877-616-CELL (2355) [email protected] Support: 877-678-TECH (8324) [email protected] Web: cellsignal.com
For Research Use Only. Not for Use in Diagnostic Procedures.

Revision 3

Cell Signaling Technology Logo
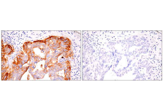
Immunohistochemical analysis of paraffin-embedded human serous papillary carcinoma of the ovary using Claudin-6 (E7U2O) XP® Rabbit mAb (left) compared to concentration-matched Rabbit (DA1E) mAb IgG XP® Isotype Control #3900 (right). Data were generated using the standard formulation of this product.
Immunohistochemistry Image 2: Claudin-6 (E7U2O) Rabbit Monoclonal Antibody (BSA and Azide Free)
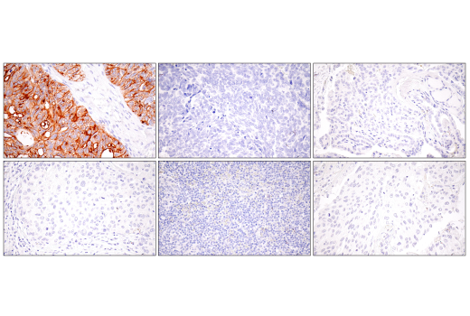
Immunohistochemical analysis of various paraffin-embedded human tissues: serous papillary carcinoma of the ovary (left-top), small cell carcinoma of the salivary gland (middle-top), papillary thyroid carcinoma (right-top), hepatocellular carcinoma (left-bottom), non-Hodgkin lymphoma (middle-bottom), and pulmonary sarcoma (right-bottom) using Claudin-6 (E7U2O) XP® Rabbit mAb. Data were generated using the standard formulation of this product.
Immunohistochemistry Image 3: Claudin-6 (E7U2O) Rabbit Monoclonal Antibody (BSA and Azide Free)
Immunohistochemical analysis of various paraffin-embedded normal human tissues: placenta (left-top), appendix (middle-top), esophagus (right-top), brain (left-bottom), pancreas (middle-bottom), and tonsil (right-bottom) using Claudin-6 (E7U2O) XP® Rabbit mAb. Data were generated using the standard formulation of this product.
Immunohistochemistry Image 4: Claudin-6 (E7U2O) Rabbit Monoclonal Antibody (BSA and Azide Free)
Orders: 877-616-CELL (2355) [email protected] Support: 877-678-TECH (8324) [email protected] Web: cellsignal.com
For Research Use Only. Not for Use in Diagnostic Procedures.

Revision 3

Cell Signaling Technology Logo
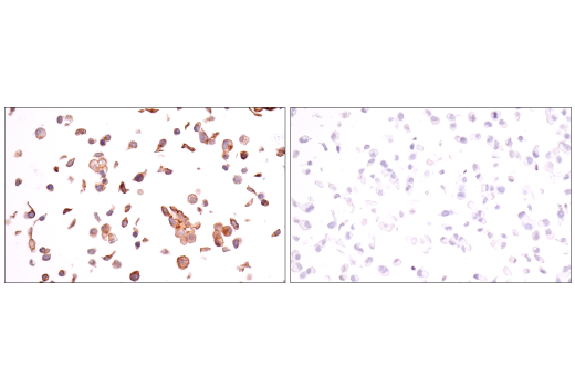
Immunohistochemical analysis of paraffin-embedded OVCAR-3 cell pellet (left, positive) or DU 145 cell pellet (right, negative) using Claudin-6 (E7U2O) XP® Rabbit mAb. Data were generated using the standard formulation of this product.
Immunohistochemistry Image 5: Claudin-6 (E7U2O) Rabbit Monoclonal Antibody (BSA and Azide Free)
Data using Claudin-6 Matched Antibody Pair #16740 are shown. The two antibodies function as a capture-target-detection sandwich (#84615 and #59648, respectively) to detect endogenous protein expression in positive and negative controls.
ELISA Image 1: Claudin-6 (E7U2O) Rabbit Monoclonal Antibody (BSA and Azide Free)
Orders: 877-616-CELL (2355) [email protected] Support: 877-678-TECH (8324) [email protected] Web: cellsignal.com
For Research Use Only. Not for Use in Diagnostic Procedures.