Revision 4

#18932

Store at -20C

CST Logo
Orders:

877-616-CELL (2355)

[email protected]

Support:

877-678-TECH (8324)

3 Trask Lane | Danvers | Massachusetts | 01923 | USA

For Research Use Only. Not for Use in Diagnostic Procedures.

Applications:
W, IHC-Bond, IHC-P

Reactivity:
H

Sensitivity:
Endogenous

MW (kDa):
23

Source/Isotype:
Rabbit IgG

UniProt ID:
#P56747

Entrez-Gene Id:
9074

Product Usage Information

Application Dilution
Western Blotting 1:1000
IHC Leica Bond 1:200 - 1:800
Immunohistochemistry (Paraffin) 1:200 - 1:800

Storage

Supplied in 10 mM sodium HEPES (pH 7.5), 150 mM NaCl, 100 µg/mL BSA, 50% glycerol, and less than 0.02% sodium azide. Store at –20°C. Do not aliquot the antibody.

For a carrier free (BSA and azide free) version of this product see product #59648.

Specificity/Sensitivity

Claudin-6 (E7U2O) Rabbit Monoclonal Antibody recognizes endogenous levels of total Claudin-6 protein. This antibody does not cross-react with Claudin-9 protein.

Source / Purification

Monoclonal antibody is produced by immunizing animals with a synthetic peptide corresponding to residues surrounding Val220 of human Claudin-6 protein.

Background

Tight junctions, or zonula occludens, form a continuous barrier to fluids across the epithelium and endothelium. They function in regulation of paracellular permeability and in the maintenance of cell polarity, blocking the movement of transmembrane proteins between the apical and the basolateral cell surfaces. Tight junctions are composed of claudin and occludin proteins, which join the junctions to the cytoskeleton (1,2). The claudin family is composed of 23 integral membrane proteins, and their expression, which varies among tissue types, may determine both the strength and properties of the epithelial barrier. Alteration in claudin protein expression pattern is associated with several types of cancer (2,3). Claudin-1 is expressed primarily in keratinocytes (4) and normal mammary epithelial cells, but is absent or reduced in breast carcinomas and breast cancer cell lines (5,6).

Claudin-6 is a member of the CLDN family that is expressed in epithelial cell sheets. Downregulation of Claudin-6 has been reported in breast invasive ductal carcinoma associated with lymphatic metastasis which may point to a function of Claudin-6 as a tumor suppressor. Claudin-6 is reported to play a role in inhibiting malignancy of breast cancer cells by inducing apoptosis, inhibiting proliferation and migration. Mechanisms of action of Claudin-6 have been described through various signaling pathways such as p38-MAPK, JAKs-STATs, ASK1-JNK, and other pathways (7,8). Regulation of Claudin-6 expression may occur through epigenetic mechanisms (9). Other reports describe aberrant expression in various malignancies (10,11). The clinical significance of Claudin-6 dysregulation has created interest in the potential for pharmaceutical intervention (12-14).

Species Reactivity

Species reactivity is determined by testing in at least one approved application (e.g., western blot).

Western Blot Buffer

IMPORTANT: For western blots, incubate membrane with diluted primary antibody in 5% w/v BSA, 1X TBS, 0.1% Tween® 20 at 4°C with gentle shaking, overnight.

Applications Key

W: Western Blotting IHC-Bond: IHC Leica Bond IHC-P: Immunohistochemistry (Paraffin)

Cross-Reactivity Key

H: Human

Trademarks and Patents

Cell Signaling Technology is a trademark of Cell Signaling Technology, Inc.

SignalStain is a registered trademark of Cell Signaling Technology, Inc.

All other trademarks are the property of their respective owners. Visit cellsignal.com/trademarks for more information.

Limited Uses

Except as otherwise expressly agreed in a writing signed by a legally authorized representative of CST, the following terms apply to Products provided by CST, its affiliates or its distributors. Any Customer's terms and conditions that are in addition to, or different from, those contained herein, unless separately accepted in writing by a legally authorized representative of CST, are rejected and are of no force or effect.

Products are labeled with For Research Use Only or a similar labeling statement and have not been approved, cleared, or licensed by the FDA or other regulatory foreign or domestic entity, for any purpose. Customer shall not use any Product for any diagnostic or therapeutic purpose, or otherwise in any manner that conflicts with its labeling statement. Products sold or licensed by CST are provided for Customer as the end-user and solely for research and development uses. Any use of Product for diagnostic, prophylactic or therapeutic purposes, or any purchase of Product for resale (alone or as a component) or other commercial purpose, requires a separate license from CST. Customer shall (a) not sell, license, loan, donate or otherwise transfer or make available any Product to any third party, whether alone or in combination with other materials, or use the Products to manufacture any commercial products, (b) not copy, modify, reverse engineer, decompile, disassemble or otherwise attempt to discover the underlying structure or technology of the Products, or use the Products for the purpose of developing any products or services that would compete with CST products or services, (c) not alter or remove from the Products any trademarks, trade names, logos, patent or copyright notices or markings, (d) use the Products solely in accordance with CST Product Terms of Sale and any applicable documentation, and (e) comply with any license, terms of service or similar agreement with respect to any third party products or services used by Customer in connection with the Products.

Orders: 877-616-CELL (2355) [email protected] Support: 877-678-TECH (8324) [email protected] Web: cellsignal.com
For Research Use Only. Not for Use in Diagnostic Procedures.

Revision 4

Cell Signaling Technology Logo
Western blot analysis of extracts from OVCAR-3 and DU 145 cells using Claudin-6 (E7U2O) XP® Rabbit mAb (upper) or β-Actin (D6A8) Rabbit mAb #8457 (lower). Negative expression of Claudin-6 in DU 145 cells is consistent with the predicted expression pattern.
Western Blotting Image 1: Claudin-6 (E7U2O) Rabbit Monoclonal Antibody
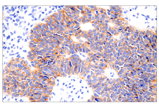
Immunohistochemical analysis of paraffin-embedded human serous papillary carcinoma of the ovary using Claudin-6 (E7U2O) XP® Rabbit mAb performed on the Leica® BOND™ Rx.
Immunohistochemistry Image 1: Claudin-6 (E7U2O) Rabbit Monoclonal Antibody
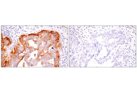
Immunohistochemical analysis of paraffin-embedded human serous papillary carcinoma of the ovary using Claudin-6 (E7U2O) XP® Rabbit mAb (left) compared to concentration-matched Rabbit (DA1E) mAb IgG XP® Isotype Control #3900 (right).
Immunohistochemistry Image 1: Claudin-6 (E7U2O) Rabbit Monoclonal Antibody
Orders: 877-616-CELL (2355) [email protected] Support: 877-678-TECH (8324) [email protected] Web: cellsignal.com
For Research Use Only. Not for Use in Diagnostic Procedures.

Revision 4

Cell Signaling Technology Logo
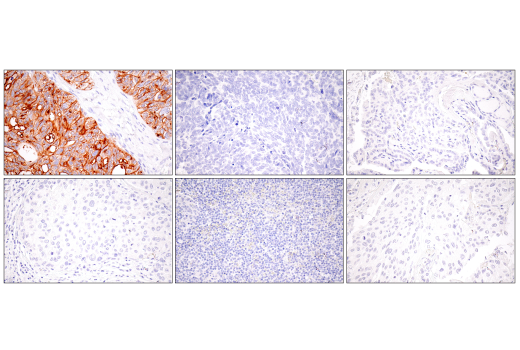
Immunohistochemical analysis of various paraffin-embedded human tissues: serous papillary carcinoma of the ovary (left-top), small cell carcinoma of the salivary gland (middle-top), papillary thyroid carcinoma (right-top), hepatocellular carcinoma (left-bottom), non-Hodgkin lymphoma (middle-bottom), and pulmonary sarcoma (right-bottom) using Claudin-6 (E7U2O) XP® Rabbit mAb.
Immunohistochemistry Image 2: Claudin-6 (E7U2O) Rabbit Monoclonal Antibody
Immunohistochemical analysis of various paraffin-embedded normal human tissues: placenta (left-top), appendix (middle-top), esophagus (right-top), brain (left-bottom), pancreas (middle-bottom), and tonsil (right-bottom) using Claudin-6 (E7U2O) XP® Rabbit mAb.
Immunohistochemistry Image 3: Claudin-6 (E7U2O) Rabbit Monoclonal Antibody
Immunohistochemical analysis of paraffin-embedded 293T cell pellet, untransfected (left) or Claudin-9 transfected (right), using Claudin-6 (E7U2O) XP® Rabbit mAb (top) or DYKDDDDK Tag (D6W5B) Rabbit mAb #14793 (bottom).
Immunohistochemistry Image 4: Claudin-6 (E7U2O) Rabbit Monoclonal Antibody
Orders: 877-616-CELL (2355) [email protected] Support: 877-678-TECH (8324) [email protected] Web: cellsignal.com
For Research Use Only. Not for Use in Diagnostic Procedures.

Revision 4

Cell Signaling Technology Logo
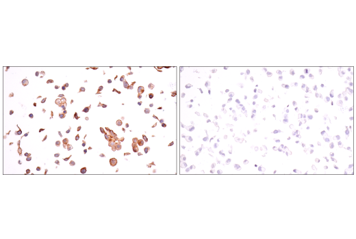
Immunohistochemical analysis of paraffin-embedded OVCAR-3 cell pellet (left, positive) or DU 145 cell pellet (right, negative) using Claudin-6 (E7U2O) XP® Rabbit mAb.
Immunohistochemistry Image 5: Claudin-6 (E7U2O) Rabbit Monoclonal Antibody
Orders: 877-616-CELL (2355) [email protected] Support: 877-678-TECH (8324) [email protected] Web: cellsignal.com
For Research Use Only. Not for Use in Diagnostic Procedures.