Revision 7

#9579

Store at -20C

CST Logo
Orders:

877-616-CELL (2355)

[email protected]

Support:

877-678-TECH (8324)

3 Trask Lane | Danvers | Massachusetts | 01923 | USA

For Research Use Only. Not for Use in Diagnostic Procedures.

Applications:
IHC-P, IF-IC, FC-FP

Reactivity:
H M

Sensitivity:
Endogenous

Source/Isotype:
Rabbit IgG

UniProt ID:
#P42574

Entrez-Gene Id:
836

Product Usage Information

Application Dilution
Immunohistochemistry (Paraffin) 1:250
Immunofluorescence (Immunocytochemistry) 1:1600 - 1:6400
Flow Cytometry (Fixed/Permeabilized) 1:200

Storage

Supplied in 10 mM sodium HEPES (pH 7.5), 150 mM NaCl, 100 µg/ml BSA, 50% glycerol and less than 0.02% sodium azide. Store at –20°C. Do not aliquot the antibody.

For a carrier free (BSA and azide free) version of this product see product #74860

Specificity/Sensitivity

Cleaved Caspase-3 (Asp175) (D3E9) Rabbit Monoclonal Antibody recognizes endogenous levels of caspase-3 protein only when cleaved at Asp175. This antibody is preferred for immunofluorescence, flow cytometry, and immunohistochemistry applications. This antibody detects non-specific caspase substrates by western blot. Non-specific labeling may be observed by immunofluorescence in specific sub-types of healthy cells in fixed-frozen tissues (e.g. pancreatic alpha-cells). Nuclear background may be observed in rat and monkey samples.

Species predicted to react based on 100% sequence homology

Rat, Bovine, Dog, Pig

Source / Purification

Monoclonal antibody is produced by immunizing animals with a synthetic peptide corresponding to residues surrounding Asp175 of human caspase-3 protein.

Background

Caspase-3 (CPP-32, Apopain, Yama, SCA-1) is a critical executioner of apoptosis, as it is either partially or totally responsible for the proteolytic cleavage of many key proteins, such as the nuclear enzyme poly (ADP-ribose) polymerase (PARP) (1). Activation of caspase-3 requires proteolytic processing of its inactive zymogen into activated p17 and p12 fragments. Cleavage of caspase-3 requires the aspartic acid residue at the P1 position (2).

Species Reactivity

Species reactivity is determined by testing in at least one approved application (e.g., western blot).

Applications Key

IHC-P: Immunohistochemistry (Paraffin) IF-IC: Immunofluorescence (Immunocytochemistry) FC-FP: Flow Cytometry (Fixed/Permeabilized)

Cross-Reactivity Key

H: Human M: Mouse

Trademarks and Patents

Cell Signaling Technology is a trademark of Cell Signaling Technology, Inc.

All other trademarks are the property of their respective owners. Visit cellsignal.com/trademarks for more information.

Limited Uses

Except as otherwise expressly agreed in a writing signed by a legally authorized representative of CST, the following terms apply to Products provided by CST, its affiliates or its distributors. Any Customer's terms and conditions that are in addition to, or different from, those contained herein, unless separately accepted in writing by a legally authorized representative of CST, are rejected and are of no force or effect.

Products are labeled with For Research Use Only or a similar labeling statement and have not been approved, cleared, or licensed by the FDA or other regulatory foreign or domestic entity, for any purpose. Customer shall not use any Product for any diagnostic or therapeutic purpose, or otherwise in any manner that conflicts with its labeling statement. Products sold or licensed by CST are provided for Customer as the end-user and solely for research and development uses. Any use of Product for diagnostic, prophylactic or therapeutic purposes, or any purchase of Product for resale (alone or as a component) or other commercial purpose, requires a separate license from CST. Customer shall (a) not sell, license, loan, donate or otherwise transfer or make available any Product to any third party, whether alone or in combination with other materials, or use the Products to manufacture any commercial products, (b) not copy, modify, reverse engineer, decompile, disassemble or otherwise attempt to discover the underlying structure or technology of the Products, or use the Products for the purpose of developing any products or services that would compete with CST products or services, (c) not alter or remove from the Products any trademarks, trade names, logos, patent or copyright notices or markings, (d) use the Products solely in accordance with CST Product Terms of Sale and any applicable documentation, and (e) comply with any license, terms of service or similar agreement with respect to any third party products or services used by Customer in connection with the Products.

Orders: 877-616-CELL (2355) [email protected] Support: 877-678-TECH (8324) [email protected] Web: cellsignal.com
For Research Use Only. Not for Use in Diagnostic Procedures.

Revision 7

Cell Signaling Technology Logo
Immunohistochemical analysis of paraffin-embedded Jurkat cell pellets, untreated (left) or etoposide-treated (right), using Cleaved Caspase-3 (Asp175) (D3E9) Rabbit mAb on SignalSlide® Cleaved Caspase-3 (Asp175) IHC Controls #8104.
Immunohistochemistry Image 1: Cleaved Caspase-3 (Asp175) (D3E9) Rabbit Monoclonal Antibody
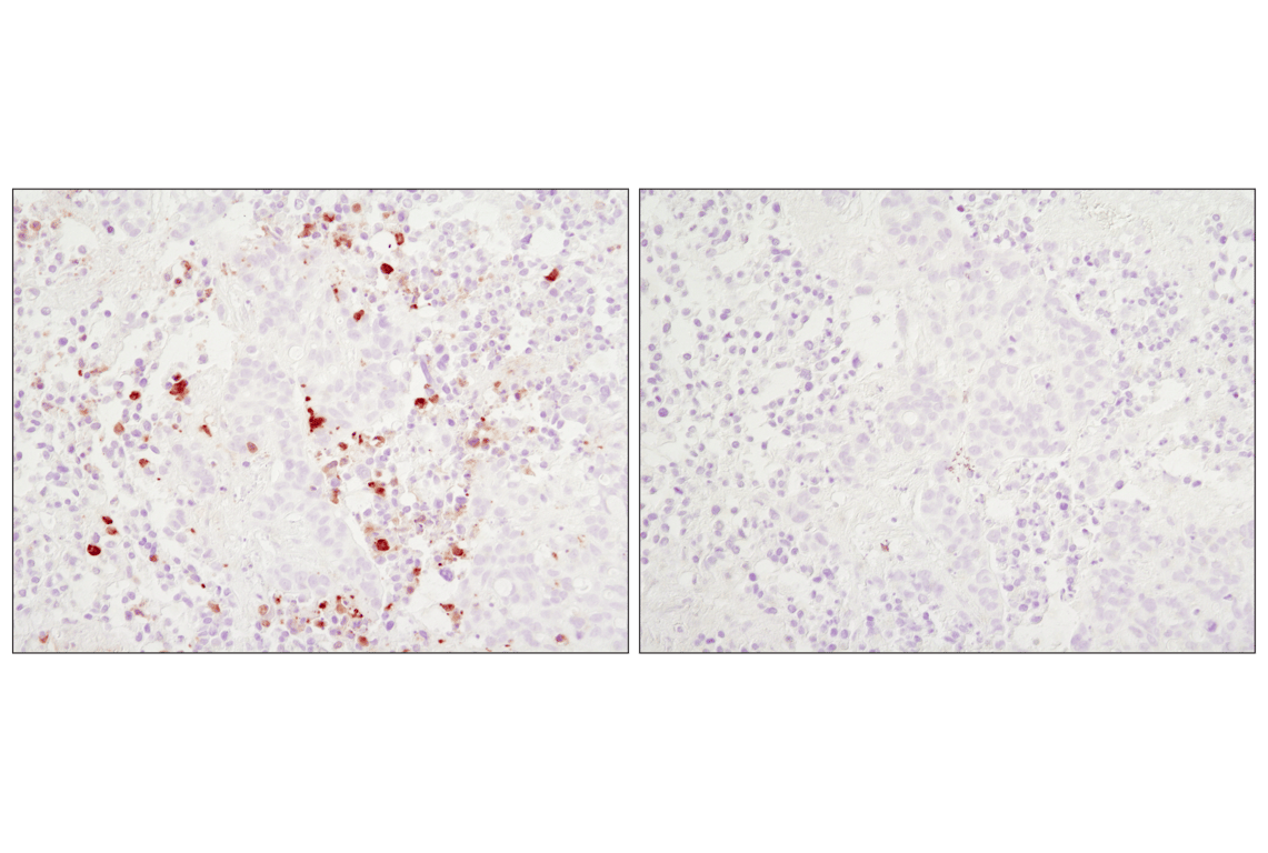
Immunohistochemical analysis of paraffin-embedded HT-29 xenograft using Cleaved Caspase-3 (Asp175) (D3E9) Rabbit mAb in the presence of control peptide (left) or Cleaved Caspase-3 (Asp175) Blocking Peptide #1050 (right).
Immunohistochemistry Image 2: Cleaved Caspase-3 (Asp175) (D3E9) Rabbit Monoclonal Antibody
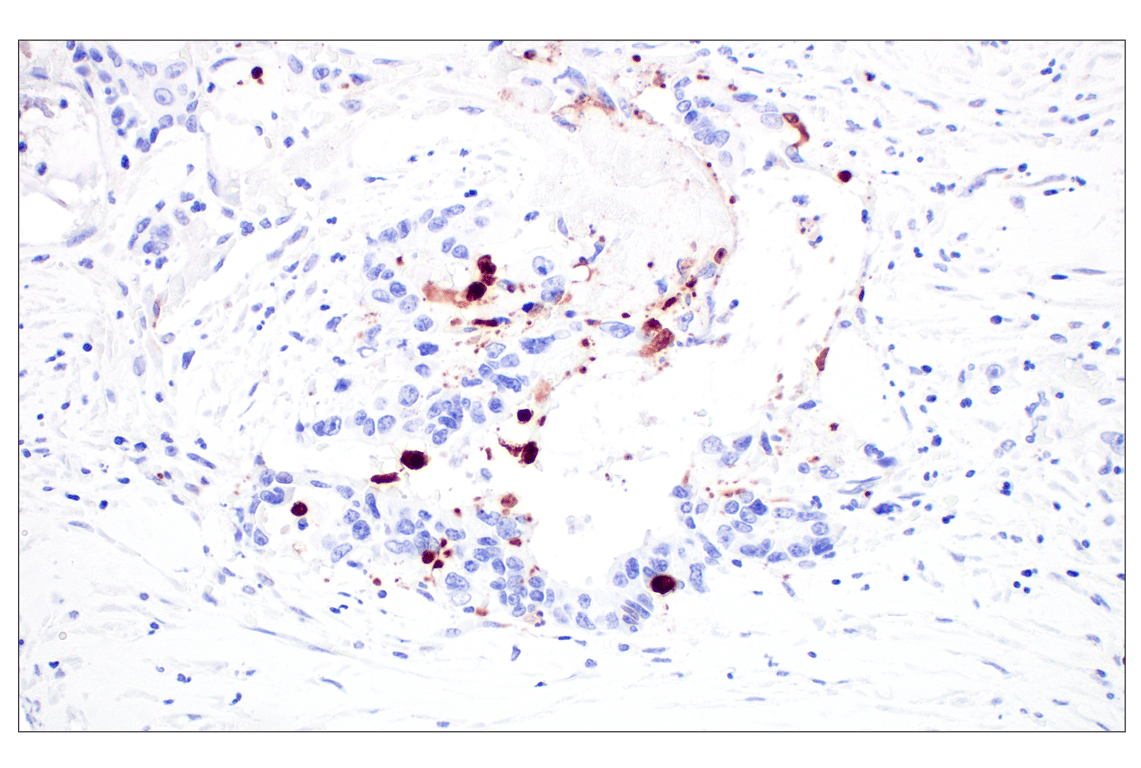
Immunohistochemical analysis of paraffin-embedded human malignant stromal tumor using Cleaved Caspase-3 (Asp175) (D3E9) Rabbit mAb.
Immunohistochemistry Image 3: Cleaved Caspase-3 (Asp175) (D3E9) Rabbit Monoclonal Antibody
Orders: 877-616-CELL (2355) [email protected] Support: 877-678-TECH (8324) [email protected] Web: cellsignal.com
For Research Use Only. Not for Use in Diagnostic Procedures.

Revision 7

Cell Signaling Technology Logo
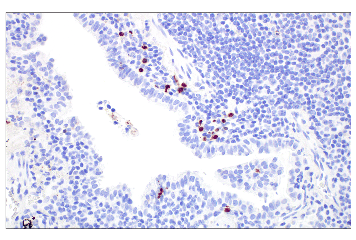
Immunohistochemical analysis of paraffin-embedded human colon adenocarcinoma using Cleaved Caspase-3 (Asp175) (D3E9) Rabbit mAb.
Immunohistochemistry Image 4: Cleaved Caspase-3 (Asp175) (D3E9) Rabbit Monoclonal Antibody
Immunohistochemical analysis of paraffin-embedded human metastastic B-cell non-Hodgkin's lymphoma using Cleaved Caspase-3 (Asp175) (D3E9) Rabbit mAb.
Immunohistochemistry Image 5: Cleaved Caspase-3 (Asp175) (D3E9) Rabbit Monoclonal Antibody
Confocal immunofluorescent analysis of HeLa (upper) and NIH/3T3 (lower) cells, untreated (left) or treated with Staurosporine #9953 (1 μM, 4 hr; right), using Cleaved Caspase-3 (Asp175) (D3E9) Rabbit mAb (green). Actin filaments were labeled with DY-554 phalloidin (red). Blue pseudocolor = DRAQ5® #4084 (fluorescent DNA dye).
Immunofluorescence Image 1: Cleaved Caspase-3 (Asp175) (D3E9) Rabbit Monoclonal Antibody
Orders: 877-616-CELL (2355) [email protected] Support: 877-678-TECH (8324) [email protected] Web: cellsignal.com
For Research Use Only. Not for Use in Diagnostic Procedures.

Revision 7

Cell Signaling Technology Logo
Flow cytometric analysis of Jurkat cells, untreated (blue) or treated with Etoposide #2200 (25 μM, overnight ; green) using Cleaved Caspase-3 (Asp175) (D3E9) Rabbit mAb (solid lines) or concentration-matched Rabbit (DA1E) mAb IgG XP® Isotype Control #3900 (dashed lines). Anti-rabbit IgG (H+L), F(ab')2 Fragment (Alexa Fluor® 488 Conjugate) #4412 was used as a secondary antibody.
Flow Cytometry Image 1: Cleaved Caspase-3 (Asp175) (D3E9) Rabbit Monoclonal Antibody
Orders: 877-616-CELL (2355) [email protected] Support: 877-678-TECH (8324) [email protected] Web: cellsignal.com
For Research Use Only. Not for Use in Diagnostic Procedures.