Revision 6

#36425

Store at -20C

CST Logo
Orders:

877-616-CELL (2355)

[email protected]

Support:

877-678-TECH (8324)

3 Trask Lane | Danvers | Massachusetts | 01923 | USA

For Research Use Only. Not for Use in Diagnostic Procedures.

Applications:
W, IP, IHC-P

Reactivity:
H

Sensitivity:
Endogenous

MW (kDa):
30

Source/Isotype:
Rabbit IgG

UniProt ID:
#P57764

Entrez-Gene Id:
79792

Product Usage Information

Application Dilution
Western Blotting 1:1000
Immunoprecipitation 1:50
Immunohistochemistry (Paraffin) 1:500 - 1:2000

Storage

Supplied in 10 mM sodium HEPES (pH 7.5), 150 mM NaCl, 100 µg/ml BSA, 50% glycerol and less than 0.02% sodium azide. Store at –20°C. Do not aliquot the antibody.

For a carrier-free (BSA and azide free) version of this product see product #37349.

Specificity/Sensitivity

Cleaved Gasdermin D (Asp275) (E7H9G) Rabbit Monoclonal Antibody recognizes endogenous levels of the amino fragment of human gasdermin D protein only when cleaved at Asp275.

Source / Purification

Monoclonal antibody is produced by immunizing animals with a synthetic peptide corresponding to residues surrounding Asp275 of human Gasdermin D protein.

Background

Gasdermin D (GSDMD), a member of the gasdermin family that includes GSDMA, GSDMB, and GSDMC, has been reported to have a critical role as a downstream effector of pyroptosis (1,2). Pyroptosis is a lytic type of cell death triggered by inflammasomes, multiprotein complexes assembled in response to pathogen-associated molecular patterns (PAMPs) or danger-associated molecular patterns (DAMPs) that result in the activation of caspase-1 and subsequent cleavage of pro-inflammatory cytokines IL-1β and IL-18 (3). Gasdermin D was identified by two independent groups as a substrate of inflammatory caspases, caspase-1 and caspase-11/4/5, producing two fragments: GSDMD-N and GSDMD-C. Cleavage results in release of an intramolecular inhibitory interaction between the N- and C-terminal domains, allowing the N-terminal fragment GSDMD-N to initiate pyroptosis through the formation of pores on the plasma membrane (4-7).

Species Reactivity

Species reactivity is determined by testing in at least one approved application (e.g., western blot).

Western Blot Buffer

IMPORTANT: For western blots, incubate membrane with diluted primary antibody in 5% w/v BSA, 1X TBS, 0.1% Tween® 20 at 4°C with gentle shaking, overnight.

Applications Key

W: Western Blotting IP: Immunoprecipitation IHC-P: Immunohistochemistry (Paraffin)

Cross-Reactivity Key

H: Human

Trademarks and Patents

Cell Signaling Technology is a trademark of Cell Signaling Technology, Inc.

SignalStain is a registered trademark of Cell Signaling Technology, Inc.

All other trademarks are the property of their respective owners. Visit cellsignal.com/trademarks for more information.

Limited Uses

Except as otherwise expressly agreed in a writing signed by a legally authorized representative of CST, the following terms apply to Products provided by CST, its affiliates or its distributors. Any Customer's terms and conditions that are in addition to, or different from, those contained herein, unless separately accepted in writing by a legally authorized representative of CST, are rejected and are of no force or effect.

Products are labeled with For Research Use Only or a similar labeling statement and have not been approved, cleared, or licensed by the FDA or other regulatory foreign or domestic entity, for any purpose. Customer shall not use any Product for any diagnostic or therapeutic purpose, or otherwise in any manner that conflicts with its labeling statement. Products sold or licensed by CST are provided for Customer as the end-user and solely for research and development uses. Any use of Product for diagnostic, prophylactic or therapeutic purposes, or any purchase of Product for resale (alone or as a component) or other commercial purpose, requires a separate license from CST. Customer shall (a) not sell, license, loan, donate or otherwise transfer or make available any Product to any third party, whether alone or in combination with other materials, or use the Products to manufacture any commercial products, (b) not copy, modify, reverse engineer, decompile, disassemble or otherwise attempt to discover the underlying structure or technology of the Products, or use the Products for the purpose of developing any products or services that would compete with CST products or services, (c) not alter or remove from the Products any trademarks, trade names, logos, patent or copyright notices or markings, (d) use the Products solely in accordance with CST Product Terms of Sale and any applicable documentation, and (e) comply with any license, terms of service or similar agreement with respect to any third party products or services used by Customer in connection with the Products.

Orders: 877-616-CELL (2355) [email protected] Support: 877-678-TECH (8324) [email protected] Web: cellsignal.com
For Research Use Only. Not for Use in Diagnostic Procedures.

Revision 6

Cell Signaling Technology Logo
Western blot analysis of extracts from THP-1 cells, differentiated with TPA #4174 (50 ng/ml, overnight) and then treated with LPS #14011 (5 μg/ml, indicated times), using Cleaved Gasdermin D (Asp275) (E7H9G) Rabbit mAb (upper), total Gasdermin D (L60) Antibody #93709 (middle), or β-Actin (D6A8) Rabbit mAb #8457 (lower).
Western Blotting Image 1: Cleaved Gasdermin D (Asp275) (E7H9G) Rabbit Monoclonal Antibody
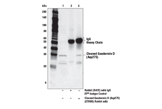
Immunoprecipitation of Cleaved Gasdermin D (Asp725) from THP-1 cells differentiated with TPA #4174 (50 ng/ml, overnight) and then treated with LPS #14011 (5 μg/ml, 6 hr). Lane 1 is 10% input, lane 2 is Rabbit (DA1E) mAb IgG XP® Isotype Control #3900, and lane 3 is Cleaved Gasdermin D (Asp275) (E7H9G) Rabbit mAb. Western blot was performed using Cleaved Gasdermin D (Asp275) (E7H9G) Rabbit mAb. Anti-rabbit IgG, HRP-linked Antibody #7074 was used as a secondary antibody.
Immunoprecipitation Image 1: Cleaved Gasdermin D (Asp275) (E7H9G) Rabbit Monoclonal Antibody
Immunohistochemical analysis of paraffin-embedded human ductal breast carcinoma using Cleaved Gasdermin D (Asp275) (E7H9G) Rabbit mAb.
Immunohistochemistry Image 1: Cleaved Gasdermin D (Asp275) (E7H9G) Rabbit Monoclonal Antibody
Orders: 877-616-CELL (2355) [email protected] Support: 877-678-TECH (8324) [email protected] Web: cellsignal.com
For Research Use Only. Not for Use in Diagnostic Procedures.

Revision 6

Cell Signaling Technology Logo
Immunohistochemical analysis of paraffin-embedded human colon carcinoma using Cleaved Gasdermin D (Asp275) (E7H9G) Rabbit mAb in the presence of non-cleaved Gasdermin D peptide (left) or Asp275 cleavage-specific Gasdermin D peptide (right).
Immunohistochemistry Image 2: Cleaved Gasdermin D (Asp275) (E7H9G) Rabbit Monoclonal Antibody
Immunohistochemical analysis of paraffin-embedded human squamous cell lung carcinoma using Cleaved Gasdermin D (Asp275) (E7H9G) Rabbit mAb.
Immunohistochemistry Image 3: Cleaved Gasdermin D (Asp275) (E7H9G) Rabbit Monoclonal Antibody
Immunohistochemical analysis of paraffin-embedded human non-Hodgkin's Lymphoma using Cleaved Gasdermin D (Asp275) (E7H9G) Rabbit mAb.
Immunohistochemistry Image 4: Cleaved Gasdermin D (Asp275) (E7H9G) Rabbit Monoclonal Antibody
Orders: 877-616-CELL (2355) [email protected] Support: 877-678-TECH (8324) [email protected] Web: cellsignal.com
For Research Use Only. Not for Use in Diagnostic Procedures.

Revision 6

Cell Signaling Technology Logo
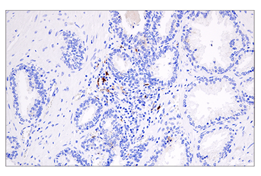
Immunohistochemical analysis of paraffin-embedded human prostate carcinoma using Cleaved Gasdermin D (Asp275) (E7H9G) Rabbit mAb.
Immunohistochemistry Image 5: Cleaved Gasdermin D (Asp275) (E7H9G) Rabbit Monoclonal Antibody
Immunohistochemical analysis of paraffin-embedded human spleen (left, positive) and skeletal muscle (right, negative) using Cleaved Gasdermin D (Asp275) (E7H9G) Rabbit mAb.
Immunohistochemistry Image 6: Cleaved Gasdermin D (Asp275) (E7H9G) Rabbit Monoclonal Antibody
Immunohistochemical analysis of paraffin-embedded THP-1 cell pellets, differentiated with TPA #4174 (left) and then treated with LPS #14011 (right), using Cleaved Gasdermin D (Asp275) (E7H9G) Rabbit mAb.
Immunohistochemistry Image 7: Cleaved Gasdermin D (Asp275) (E7H9G) Rabbit Monoclonal Antibody
Orders: 877-616-CELL (2355) [email protected] Support: 877-678-TECH (8324) [email protected] Web: cellsignal.com
For Research Use Only. Not for Use in Diagnostic Procedures.

Revision 6

Cell Signaling Technology Logo
Immunohistochemical analysis of paraffin-embedded human ulcerative colitis using Cleaved Gasdermin D (Asp275) (E7H9G) Rabbit mAb.
Immunohistochemistry Image 8: Cleaved Gasdermin D (Asp275) (E7H9G) Rabbit Monoclonal Antibody
Orders: 877-616-CELL (2355) [email protected] Support: 877-678-TECH (8324) [email protected] Web: cellsignal.com
For Research Use Only. Not for Use in Diagnostic Procedures.