Revision 4

#37349

Store at -20C

CST Logo
Orders:

877-616-CELL (2355)

[email protected]

Support:

877-678-TECH (8324)

3 Trask Lane | Danvers | Massachusetts | 01923 | USA

For Research Use Only. Not for Use in Diagnostic Procedures.

Applications:
W, IHC-P, ELISA

Reactivity:
H

Sensitivity:
Endogenous

MW (kDa):
30

Source/Isotype:
Rabbit IgG

UniProt ID:
#P57764

Entrez-Gene Id:
79792

Product Usage Information

This product is the carrier-free version of product #36425. All data were generated using the same antibody clone in the standard formulation which contains BSA and glycerol.

This formulation is ideal for use with technologies requiring specialized or custom antibody labeling, including fluorophores, metals, lanthanides, and oligonucleotides. It is not recommended for ChIP, ChIP-seq, CUT&RUN, or CUT&Tag assays. If you require a carrier-free formulation for chromatin profiling, please contact us. Optimal dilutions/concentrations should be determined by the end user.

BSA and Azide Free antibodies are quality control tested by size exclusion chromatography (SEC) to determine antibody integrity.

Formulation

Supplied in 1X PBS (10 mM Na2HPO4, 3 mM KCl, 2 mM KH2PO4, and 140 mM NaCl (pH 7.8)). BSA and Azide Free.

For standard formulation of this product see product #36425.

Storage

Store at -20°C. This product will freeze at -20°C so it is recommended to aliquot into single-use vials to avoid multiple freeze/thaw cycles. A slight precipitate may be present and can be dissolved by gently vortexing. This will not interfere with antibody performance.

Specificity/Sensitivity

Cleaved Gasdermin D (Asp275) (E7H9G) Rabbit Monoclonal Antibody (BSA and Azide Free) recognizes endogenous levels of the amino fragment of human gasdermin D protein only when cleaved at Asp275.

Source / Purification

Monoclonal antibody is produced by immunizing animals with a synthetic peptide corresponding to residues surrounding Asp275 of human Gasdermin D protein.

Background

Gasdermin D (GSDMD), a member of the gasdermin family that includes GSDMA, GSDMB, and GSDMC, has been reported to have a critical role as a downstream effector of pyroptosis (1,2). Pyroptosis is a lytic type of cell death triggered by inflammasomes, multiprotein complexes assembled in response to pathogen-associated molecular patterns (PAMPs) or danger-associated molecular patterns (DAMPs) that result in the activation of caspase-1 and subsequent cleavage of pro-inflammatory cytokines IL-1β and IL-18 (3). Gasdermin D was identified by two independent groups as a substrate of inflammatory caspases, caspase-1 and caspase-11/4/5, producing two fragments: GSDMD-N and GSDMD-C. Cleavage results in release of an intramolecular inhibitory interaction between the N- and C-terminal domains, allowing the N-terminal fragment GSDMD-N to initiate pyroptosis through the formation of pores on the plasma membrane (4-7).

Species Reactivity

Species reactivity is determined by testing in at least one approved application (e.g., western blot).

Applications Key

W: Western Blotting IHC-P: Immunohistochemistry (Paraffin) ELISA: ELISA

Cross-Reactivity Key

H: Human

Trademarks and Patents

Cell Signaling Technology is a trademark of Cell Signaling Technology, Inc.

SignalStain is a registered trademark of Cell Signaling Technology, Inc.

All other trademarks are the property of their respective owners. Visit cellsignal.com/trademarks for more information.

Limited Uses

Except as otherwise expressly agreed in a writing signed by a legally authorized representative of CST, the following terms apply to Products provided by CST, its affiliates or its distributors. Any Customer's terms and conditions that are in addition to, or different from, those contained herein, unless separately accepted in writing by a legally authorized representative of CST, are rejected and are of no force or effect.

Products are labeled with For Research Use Only or a similar labeling statement and have not been approved, cleared, or licensed by the FDA or other regulatory foreign or domestic entity, for any purpose. Customer shall not use any Product for any diagnostic or therapeutic purpose, or otherwise in any manner that conflicts with its labeling statement. Products sold or licensed by CST are provided for Customer as the end-user and solely for research and development uses. Any use of Product for diagnostic, prophylactic or therapeutic purposes, or any purchase of Product for resale (alone or as a component) or other commercial purpose, requires a separate license from CST. Customer shall (a) not sell, license, loan, donate or otherwise transfer or make available any Product to any third party, whether alone or in combination with other materials, or use the Products to manufacture any commercial products, (b) not copy, modify, reverse engineer, decompile, disassemble or otherwise attempt to discover the underlying structure or technology of the Products, or use the Products for the purpose of developing any products or services that would compete with CST products or services, (c) not alter or remove from the Products any trademarks, trade names, logos, patent or copyright notices or markings, (d) use the Products solely in accordance with CST Product Terms of Sale and any applicable documentation, and (e) comply with any license, terms of service or similar agreement with respect to any third party products or services used by Customer in connection with the Products.

Orders: 877-616-CELL (2355) [email protected] Support: 877-678-TECH (8324) [email protected] Web: cellsignal.com
For Research Use Only. Not for Use in Diagnostic Procedures.

Revision 4

Cell Signaling Technology Logo
Western blot analysis of extracts from THP-1 cells, differentiated with TPA (12-O-Tetradecanoylphorbol-13-Acetate) #4174 (50 ng/mL, overnight) and then treated with Lipopolysaccharides (LPS) #14011 (5 μg/mL, indicated times), using Cleaved Gasdermin D (Asp275) (E7H9G) Rabbit mAb (upper), total Gasdermin D (L60) Antibody #93709 (middle), or β-Actin (D6A8) Rabbit mAb #8457 (lower). Data were generated using the standard formulation of this product.
Western Blotting Image 1: Cleaved Gasdermin D (Asp275) (E7H9G) Rabbit Monoclonal Antibody (BSA and Azide Free)
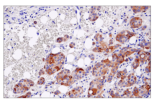
Immunohistochemical analysis of paraffin-embedded human ductal breast carcinoma using Cleaved Gasdermin D (Asp275) (E7H9G) Rabbit mAb. Data were generated using the standard formulation of this product.
Immunohistochemistry Image 1: Cleaved Gasdermin D (Asp275) (E7H9G) Rabbit Monoclonal Antibody (BSA and Azide Free)
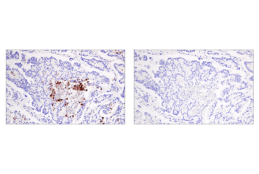
Immunohistochemical analysis of paraffin-embedded human colon carcinoma using Cleaved Gasdermin D (Asp275) (E7H9G) Rabbit mAb in the presence of non-cleaved Gasdermin D peptide (left) or Asp275 cleavage-specific Gasdermin D peptide (right). Data were generated using the standard formulation of this product.
Immunohistochemistry Image 2: Cleaved Gasdermin D (Asp275) (E7H9G) Rabbit Monoclonal Antibody (BSA and Azide Free)
Orders: 877-616-CELL (2355) [email protected] Support: 877-678-TECH (8324) [email protected] Web: cellsignal.com
For Research Use Only. Not for Use in Diagnostic Procedures.

Revision 4

Cell Signaling Technology Logo
Immunohistochemical analysis of paraffin-embedded human squamous cell lung carcinoma using Cleaved Gasdermin D (Asp275) (E7H9G) Rabbit mAb. Data were generated using the standard formulation of this product.
Immunohistochemistry Image 3: Cleaved Gasdermin D (Asp275) (E7H9G) Rabbit Monoclonal Antibody (BSA and Azide Free)
Immunohistochemical analysis of paraffin-embedded human non-Hodgkin Lymphoma using Cleaved Gasdermin D (Asp275) (E7H9G) Rabbit mAb. Data were generated using the standard formulation of this product.
Immunohistochemistry Image 4: Cleaved Gasdermin D (Asp275) (E7H9G) Rabbit Monoclonal Antibody (BSA and Azide Free)
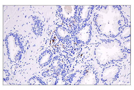
Immunohistochemical analysis of paraffin-embedded human prostate carcinoma using Cleaved Gasdermin D (Asp275) (E7H9G) Rabbit mAb. Data were generated using the standard formulation of this product.
Immunohistochemistry Image 5: Cleaved Gasdermin D (Asp275) (E7H9G) Rabbit Monoclonal Antibody (BSA and Azide Free)
Orders: 877-616-CELL (2355) [email protected] Support: 877-678-TECH (8324) [email protected] Web: cellsignal.com
For Research Use Only. Not for Use in Diagnostic Procedures.

Revision 4

Cell Signaling Technology Logo
Immunohistochemical analysis of paraffin-embedded human spleen (left, positive) and skeletal muscle (right, negative) using Cleaved Gasdermin D (Asp275) (E7H9G) Rabbit mAb. Data were generated using the standard formulation of this product.
Immunohistochemistry Image 6: Cleaved Gasdermin D (Asp275) (E7H9G) Rabbit Monoclonal Antibody (BSA and Azide Free)
Immunohistochemical analysis of paraffin-embedded THP-1 cell pellets, differentiated with TPA (12-O-Tetradecanoylphorbol-13-Acetate) #4174 (left) and then treated with Lipopolysaccharides (LPS) #14011 (right), using Cleaved Gasdermin D (Asp275) (E7H9G) Rabbit mAb. Data were generated using the standard formulation of this product.
Immunohistochemistry Image 7: Cleaved Gasdermin D (Asp275) (E7H9G) Rabbit Monoclonal Antibody (BSA and Azide Free)
Immunohistochemical analysis of paraffin-embedded human ulcerative colitis using Cleaved Gasdermin D (Asp275) (E7H9G) Rabbit mAb. Data were generated using the standard formulation of this product.
Immunohistochemistry Image 8: Cleaved Gasdermin D (Asp275) (E7H9G) Rabbit Monoclonal Antibody (BSA and Azide Free)
Orders: 877-616-CELL (2355) [email protected] Support: 877-678-TECH (8324) [email protected] Web: cellsignal.com
For Research Use Only. Not for Use in Diagnostic Procedures.

Revision 4

Cell Signaling Technology Logo
Data using Cleaved Gasdermin D (Asp275) Matched Antibody Pair #17710 are shown. The two antibodies function as a capture-target-detection sandwich (#69312 and #37349, respectively) to detect protein expression in positive and negative controls.
ELISA Image 1: Cleaved Gasdermin D (Asp275) (E7H9G) Rabbit Monoclonal Antibody (BSA and Azide Free)
Orders: 877-616-CELL (2355) [email protected] Support: 877-678-TECH (8324) [email protected] Web: cellsignal.com
For Research Use Only. Not for Use in Diagnostic Procedures.