Revision 1

#96256

Store at -80C

CST Logo
Orders:

877-616-CELL (2355)

[email protected]

Support:

877-678-TECH (8324)

3 Trask Lane | Danvers | Massachusetts | 01923 | USA

For Research Use Only. Not for Use in Diagnostic Procedures.

Applications:
W, IHC-P, IF-IC, FC-FP

Reactivity:
M R

Sensitivity:
Endogenous

MW (kDa):
89

Source/Isotype:
Rabbit IgG

UniProt ID:
#P11103

Entrez-Gene Id:
11545

Product Usage Information

This product is the carrier free version of product #94885. All data were generated using the same antibody clone in the standard formulation which contains BSA and glycerol.

This formulation is ideal for use with technologies requiring specialized or custom antibody labeling, including fluorophores, metals, lanthanides, and oligonucleotides. It is not recommended for ChIP, ChIP-seq, CUT&RUN or CUT&Tag assays. If you require a carrier free formulation for chromatin profiling, please contact us. Optimal dilutions/concentrations should be determined by the end user.

BSA and Azide Free antibodies are quality control tested by size exclusion chromatography (SEC) to determine antibody integrity.

Formulation

Supplied in 1X PBS (10 mM Na2HPO4, 3 mM KCl, 2 mM KH2PO4, and 140 mM NaCl (pH 7.8)). BSA and Azide Free.

For standard formulation of this product see product #94885

Storage

Store at -20°C. This product will freeze at -20°C so it is recommended to aliquot into single-use vials to avoid multiple freeze/thaw cycles. A slight precipitate may be present and can be dissolved by gently vortexing. This will not interfere with antibody performance.

Specificity/Sensitivity

Cleaved PARP (Asp214) (D6X6X) Rabbit Monoclonal Antibody (BSA and Azide Free) recognizes endogenous levels of the large fragment (89 kDa) of PARP protein only when cleaved at Asp214.

Source / Purification

Monoclonal antibody is produced by immunizing animals with a synthetic peptide corresponding to residues surrounding Asp214 of rodent PARP1 protein.

Background

PARP, a 116 kDa nuclear poly (ADP-ribose) polymerase, appears to be involved in DNA repair in response to environmental stress (1). This protein can be cleaved by many ICE-like caspases in vitro (2,3) and is one of the main cleavage targets of caspase-3 in vivo (4,5). In human PARP, the cleavage occurs between Asp214 and Gly215, which separates the PARP amino-terminal DNA-binding domain (24 kDa) from the carboxy-terminal catalytic domain (89 kDa) (2,4). PARP helps cells to maintain their viability; cleavage of PARP facilitates cellular disassembly and serves as a marker of cells undergoing apoptosis (6).

Species Reactivity

Species reactivity is determined by testing in at least one approved application (e.g., western blot).

Applications Key

W: Western Blotting IHC-P: Immunohistochemistry (Paraffin) IF-IC: Immunofluorescence (Immunocytochemistry) FC-FP: Flow Cytometry (Fixed/Permeabilized)

Cross-Reactivity Key

M: Mouse R: Rat

Trademarks and Patents

Cell Signaling Technology is a trademark of Cell Signaling Technology, Inc.

All other trademarks are the property of their respective owners. Visit cellsignal.com/trademarks for more information.

Limited Uses

Except as otherwise expressly agreed in a writing signed by a legally authorized representative of CST, the following terms apply to Products provided by CST, its affiliates or its distributors. Any Customer's terms and conditions that are in addition to, or different from, those contained herein, unless separately accepted in writing by a legally authorized representative of CST, are rejected and are of no force or effect.

Products are labeled with For Research Use Only or a similar labeling statement and have not been approved, cleared, or licensed by the FDA or other regulatory foreign or domestic entity, for any purpose. Customer shall not use any Product for any diagnostic or therapeutic purpose, or otherwise in any manner that conflicts with its labeling statement. Products sold or licensed by CST are provided for Customer as the end-user and solely for research and development uses. Any use of Product for diagnostic, prophylactic or therapeutic purposes, or any purchase of Product for resale (alone or as a component) or other commercial purpose, requires a separate license from CST. Customer shall (a) not sell, license, loan, donate or otherwise transfer or make available any Product to any third party, whether alone or in combination with other materials, or use the Products to manufacture any commercial products, (b) not copy, modify, reverse engineer, decompile, disassemble or otherwise attempt to discover the underlying structure or technology of the Products, or use the Products for the purpose of developing any products or services that would compete with CST products or services, (c) not alter or remove from the Products any trademarks, trade names, logos, patent or copyright notices or markings, (d) use the Products solely in accordance with CST Product Terms of Sale and any applicable documentation, and (e) comply with any license, terms of service or similar agreement with respect to any third party products or services used by Customer in connection with the Products.

Orders: 877-616-CELL (2355) [email protected] Support: 877-678-TECH (8324) [email protected] Web: cellsignal.com
For Research Use Only. Not for Use in Diagnostic Procedures.

Revision 1

Cell Signaling Technology Logo
Western blot analysis of extracts from serum-starved Neuro-2a cells, untreated (-) or treated with Staurosporine #9953 (1 μM, 3 hr), using Cleaved PARP (Asp214) (D6X6X) Rabbit mAb (upper) or β-Actin (D6A8) Rabbit mAb #8457 (lower). Data were generated using the standard formulation of this product.
Western Blotting Image 1: Cleaved PARP (Asp214) (D6X6X) Rabbit Monoclonal Antibody (BSA and Azide Free)
Western blot analysis of extracts from serum-starved H-4-II-E cells, untreated (-) or treated with Staurosporine #9953 (1 μM, 6 hr; +), using Cleaved PARP (Asp214) (D6X6X) Rabbit mAb (upper) or β-Actin (D6A8) Rabbit mAb #8457 (lower). Data were generated using the standard formulation of this product.
Western Blotting Image 2: Cleaved PARP (Asp214) (D6X6X) Rabbit Monoclonal Antibody (BSA and Azide Free)
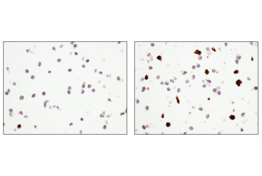
Immunohistochemical analysis of paraffin-embedded 3T3 cell pellet, untreated (left, negative) or treated with Staurosporine #9953 (right, positive), using Cleaved PARP (Asp214) (D6X6X) Rabbit mAb. Data were generated using the standard formulation of this product.
Immunohistochemistry Image 1: Cleaved PARP (Asp214) (D6X6X) Rabbit Monoclonal Antibody (BSA and Azide Free)
Orders: 877-616-CELL (2355) [email protected] Support: 877-678-TECH (8324) [email protected] Web: cellsignal.com
For Research Use Only. Not for Use in Diagnostic Procedures.

Revision 1

Cell Signaling Technology Logo
Immunohistochemical analysis of paraffin-embedded E14 rat embryo using Cleaved PARP (Asp214) (D6X6X) Rabbit mAb. Data were generated using the standard formulation of this product.
Immunohistochemistry Image 2: Cleaved PARP (Asp214) (D6X6X) Rabbit Monoclonal Antibody (BSA and Azide Free)
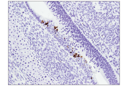
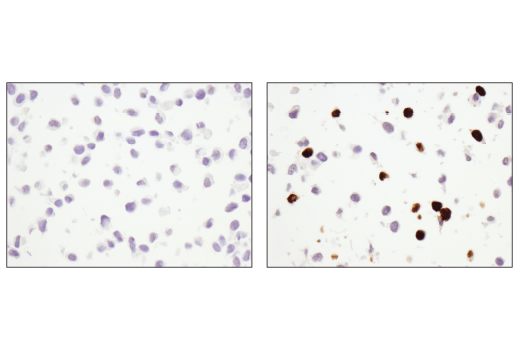
Immunohistochemical analysis of paraffin-embedded H-4-II-E cell pellet, untreated (left, negative) or treated with Staurosporine #9953 (right, positive), using Cleaved PARP (Asp214) (D6X6X) Rabbit mAb. Data were generated using the standard formulation of this product.
Immunohistochemistry Image 3: Cleaved PARP (Asp214) (D6X6X) Rabbit Monoclonal Antibody (BSA and Azide Free)
Immunohistochemical analysis of paraffin-embedded mouse ovary using Cleaved PARP (Asp214) (D6X6X) Rabbit mAb. Data were generated using the standard formulation of this product.
Immunohistochemistry Image 4: Cleaved PARP (Asp214) (D6X6X) Rabbit Monoclonal Antibody (BSA and Azide Free)
Orders: 877-616-CELL (2355) [email protected] Support: 877-678-TECH (8324) [email protected] Web: cellsignal.com
For Research Use Only. Not for Use in Diagnostic Procedures.

Revision 1

Cell Signaling Technology Logo
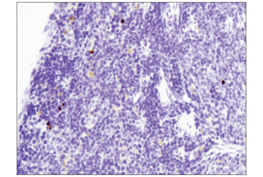
Immunohistochemical analysis of paraffin-embedded mouse spleen using Cleaved PARP (Asp214) (D6X6X) Rabbit mAb. Data were generated using the standard formulation of this product.
Immunohistochemistry Image 5: Cleaved PARP (Asp214) (D6X6X) Rabbit Monoclonal Antibody (BSA and Azide Free)
Confocal immunofluorescent analysis of Neuro-2a cells, untreated (left, negative) or treated with Staurosporine #9953 (1 μM, 3 hr; right, positive), using Cleaved PARP (Asp214) (D6X6X) Rabbit mAb (green). Actin filaments were labeled with DyLight™ 554 Phalloidin #13054 (red). Blue pseudocolor = DRAQ5® #4084 (fluorescent DNA dye). Data were generated using the standard formulation of this product.
Immunofluorescence Image 1: Cleaved PARP (Asp214) (D6X6X) Rabbit Monoclonal Antibody (BSA and Azide Free)
Flow cytometric analysis of serum-starved Neuro-2a cells, untreated (blue) or treated with Staurosporine #9953 (1 μM, 3 hr; green), using Cleaved PARP (Asp214) (D6X6X) Rabbit mAb (solid lines) or concentration-matched Rabbit (DA1E) mAb IgG XP® Isotype Control #3900 (dashed lines). Anti-rabbit IgG (H+L), F(ab')2 Fragment (Alexa Fluor® 488 Conjugate) #4412 was used as a secondary antibody. Data were generated using the standard formulation of this product.
Flow Cytometry Image 1: Cleaved PARP (Asp214) (D6X6X) Rabbit Monoclonal Antibody (BSA and Azide Free)
Orders: 877-616-CELL (2355) [email protected] Support: 877-678-TECH (8324) [email protected] Web: cellsignal.com
For Research Use Only. Not for Use in Diagnostic Procedures.

Revision 1

Cell Signaling Technology Logo
Flow cytometric analysis of serum-starved H-4-II-E cells, untreated (blue) or treated with Staurosporine #9953 (1 μM, 3 hr; green), using Cleaved PARP (Asp214) (D6X6X) Rabbit mAb (solid lines) or concentration-matched Rabbit (DA1E) mAb IgG XP® Isotype Control #3900 (dashed lines). Anti-rabbit IgG (H+L), F(ab')2 Fragment (Alexa Fluor® 488 Conjugate) #4412 was used as a secondary antibody. Data were generated using the standard formulation of this product.
Flow Cytometry Image 2: Cleaved PARP (Asp214) (D6X6X) Rabbit Monoclonal Antibody (BSA and Azide Free)
Orders: 877-616-CELL (2355) [email protected] Support: 877-678-TECH (8324) [email protected] Web: cellsignal.com
For Research Use Only. Not for Use in Diagnostic Procedures.