Revision 7

#94885

Store at -20C

CST Logo
Orders:

877-616-CELL (2355)

[email protected]

Support:

877-678-TECH (8324)

3 Trask Lane | Danvers | Massachusetts | 01923 | USA

For Research Use Only. Not for Use in Diagnostic Procedures.

Applications:
W, IP, IHC-P, IF-F, IF-IC, FC-FP

Reactivity:
M R

Sensitivity:
Endogenous

MW (kDa):
89

Source/Isotype:
Rabbit IgG

UniProt ID:
#P11103

Entrez-Gene Id:
11545

Product Usage Information

Application Dilution
Western Blotting 1:1000
Immunoprecipitation 1:100
Immunohistochemistry (Paraffin) 1:100
Immunofluorescence (Frozen) 1:100
Immunofluorescence (Immunocytochemistry) 1:800
Flow Cytometry (Fixed/Permeabilized) 1:100

Storage

Supplied in 10 mM sodium HEPES (pH 7.5), 150 mM NaCl, 100 µg/ml BSA, 50% glycerol and less than 0.02% sodium azide. Store at –20°C. Do not aliquot the antibody.



For a carrier free (BSA and azide free) version of this product see product# 96256.

Specificity/Sensitivity

Cleaved PARP (Asp214) (D6X6X) Rabbit Monoclonal Antibody recognizes endogenous levels of the large fragment (89 kDa) of PARP protein only when cleaved at Asp214.

Source / Purification

Monoclonal antibody is produced by immunizing animals with a synthetic peptide corresponding to residues surrounding Asp214 of rodent PARP1 protein.

Background

PARP, a 116 kDa nuclear poly (ADP-ribose) polymerase, appears to be involved in DNA repair in response to environmental stress (1). This protein can be cleaved by many ICE-like caspases in vitro (2,3) and is one of the main cleavage targets of caspase-3 in vivo (4,5). In human PARP, the cleavage occurs between Asp214 and Gly215, which separates the PARP amino-terminal DNA-binding domain (24 kDa) from the carboxy-terminal catalytic domain (89 kDa) (2,4). PARP helps cells to maintain their viability; cleavage of PARP facilitates cellular disassembly and serves as a marker of cells undergoing apoptosis (6).

Species Reactivity

Species reactivity is determined by testing in at least one approved application (e.g., western blot).

Western Blot Buffer

IMPORTANT: For western blots, incubate membrane with diluted primary antibody in 5% w/v BSA, 1X TBS, 0.1% Tween® 20 at 4°C with gentle shaking, overnight.

Applications Key

W: Western Blotting IP: Immunoprecipitation IHC-P: Immunohistochemistry (Paraffin) IF-F: Immunofluorescence (Frozen) IF-IC: Immunofluorescence (Immunocytochemistry) FC-FP: Flow Cytometry (Fixed/Permeabilized)

Cross-Reactivity Key

M: Mouse R: Rat

Trademarks and Patents

Cell Signaling Technology is a trademark of Cell Signaling Technology, Inc.

Alexa Fluor is a registered trademark of Life Technologies Corporation.

All other trademarks are the property of their respective owners. Visit cellsignal.com/trademarks for more information.

Limited Uses

Except as otherwise expressly agreed in a writing signed by a legally authorized representative of CST, the following terms apply to Products provided by CST, its affiliates or its distributors. Any Customer's terms and conditions that are in addition to, or different from, those contained herein, unless separately accepted in writing by a legally authorized representative of CST, are rejected and are of no force or effect.

Products are labeled with For Research Use Only or a similar labeling statement and have not been approved, cleared, or licensed by the FDA or other regulatory foreign or domestic entity, for any purpose. Customer shall not use any Product for any diagnostic or therapeutic purpose, or otherwise in any manner that conflicts with its labeling statement. Products sold or licensed by CST are provided for Customer as the end-user and solely for research and development uses. Any use of Product for diagnostic, prophylactic or therapeutic purposes, or any purchase of Product for resale (alone or as a component) or other commercial purpose, requires a separate license from CST. Customer shall (a) not sell, license, loan, donate or otherwise transfer or make available any Product to any third party, whether alone or in combination with other materials, or use the Products to manufacture any commercial products, (b) not copy, modify, reverse engineer, decompile, disassemble or otherwise attempt to discover the underlying structure or technology of the Products, or use the Products for the purpose of developing any products or services that would compete with CST products or services, (c) not alter or remove from the Products any trademarks, trade names, logos, patent or copyright notices or markings, (d) use the Products solely in accordance with CST Product Terms of Sale and any applicable documentation, and (e) comply with any license, terms of service or similar agreement with respect to any third party products or services used by Customer in connection with the Products.

Orders: 877-616-CELL (2355) [email protected] Support: 877-678-TECH (8324) [email protected] Web: cellsignal.com
For Research Use Only. Not for Use in Diagnostic Procedures.

Revision 7

Cell Signaling Technology Logo
Western blot analysis of extracts from serum-starved Neuro-2a cells, untreated (-) or treated with Staurosporine #9953 (1 μM, 3 hr), using Cleaved PARP (Asp214) (D6X6X) Rabbit mAb (Rodent Specific) (upper) or β-Actin (D6A8) Rabbit mAb #8457 (lower).
Western Blotting Image 1: Cleaved PARP (Asp214) (D6X6X) Rabbit Monoclonal Antibody
Western blot analysis of extracts from serum-starved H-4-II-E cells, untreated (-) or treated with Staurosporine #9953 (1 μM, 6 hr; +), using Cleaved PARP (Asp214) (D6X6X) Rabbit mAb (Rodent Specific) (upper) or β-Actin (D6A8) Rabbit mAb #8457 (lower).
Western Blotting Image 2: Cleaved PARP (Asp214) (D6X6X) Rabbit Monoclonal Antibody
Immunoprecipitation of Cleaved PARP (Asp214) from Neuro-2a cell extracts treated with Staurosporine #9953 (1 μM, 3 hr). Lane 1 is 10% input, lane 2 is Rabbit (DA1E) mAb IgG XP® Isotype Control #3900, and lane 3 is Cleaved PARP (Asp214) (D6X6X) Rabbit mAb (Rodent Specific). Western blot was perform using Cleaved PARP (Asp214) (D6X6X) Rabbit mAb (Rodent Specific). Anti-rabbit IgG, HRP-linked Antibody #7074 was used as a secondary antibody.
Immunoprecipitation Image 1: Cleaved PARP (Asp214) (D6X6X) Rabbit Monoclonal Antibody
Orders: 877-616-CELL (2355) [email protected] Support: 877-678-TECH (8324) [email protected] Web: cellsignal.com
For Research Use Only. Not for Use in Diagnostic Procedures.

Revision 7

Cell Signaling Technology Logo
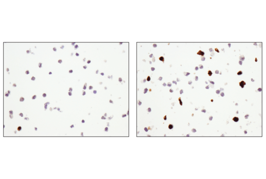
Immunohistochemical analysis of paraffin-embedded 3T3 cell pellet, untreated (left, negative) or treated with Staurosporine #9953 (right, positive), using Cleaved PARP (Asp214)(D6X6X) mAb (Rodent Specific).
Immunohistochemistry Image 1: Cleaved PARP (Asp214) (D6X6X) Rabbit Monoclonal Antibody
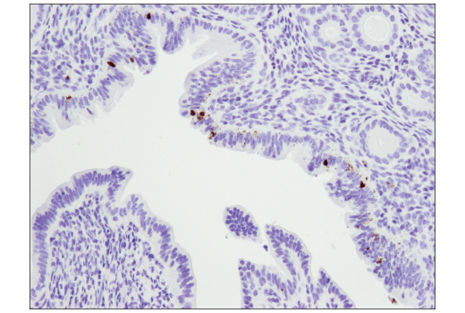
Immunohistochemical analysis of paraffin-embedded E14 rat embryo using Cleaved PARP (Asp214)(D6X6X) mAb (Rodent Specific).
Immunohistochemistry Image 2: Cleaved PARP (Asp214) (D6X6X) Rabbit Monoclonal Antibody
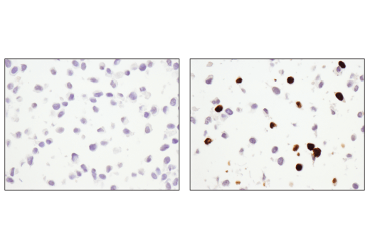
Immunohistochemical analysis of paraffin-embedded H-4-II-E cell pellet, untreated (left, negative) or treated with Staurosporine #9953 (right, positive), using Cleaved PARP (Asp214)(D6X6X) mAb (Rodent Specific).
Immunohistochemistry Image 3: Cleaved PARP (Asp214) (D6X6X) Rabbit Monoclonal Antibody
Orders: 877-616-CELL (2355) [email protected] Support: 877-678-TECH (8324) [email protected] Web: cellsignal.com
For Research Use Only. Not for Use in Diagnostic Procedures.

Revision 7

Cell Signaling Technology Logo
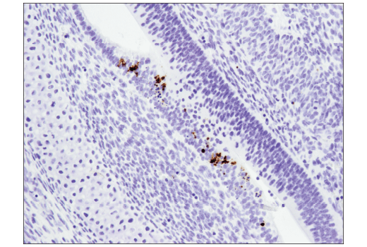
Immunohistochemical analysis of paraffin-embedded mouse ovary using Cleaved PARP (Asp214)(D6X6X) mAb (Rodent Specific).
Immunohistochemistry Image 4: Cleaved PARP (Asp214) (D6X6X) Rabbit Monoclonal Antibody
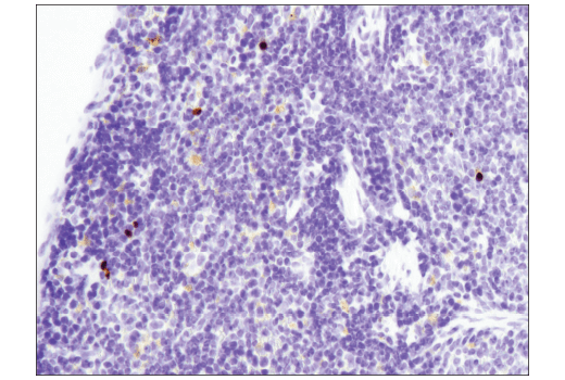
Immunohistochemical analysis of paraffin-embedded mouse spleen using Cleaved PARP (Asp214)(D6X6X) mAb (Rodent Specific).
Immunohistochemistry Image 5: Cleaved PARP (Asp214) (D6X6X) Rabbit Monoclonal Antibody
Confocal immunofluorescent analysis of fixed frozen E14 mouse embryo digit labeled with Cleaved PARP (Asp214) (D6X6X) Rabbit Monoclonal Antibody (green), TUNEL Assay Kit (Fluorescence, 640 nm) #64936 (red), and ProLong Gold Antifade Reagent with DAPI #8961 (blue).
Immunofluorescence Image 1: Cleaved PARP (Asp214) (D6X6X) Rabbit Monoclonal Antibody
Orders: 877-616-CELL (2355) [email protected] Support: 877-678-TECH (8324) [email protected] Web: cellsignal.com
For Research Use Only. Not for Use in Diagnostic Procedures.

Revision 7

Cell Signaling Technology Logo
Confocal immunofluorescent analysis of Neuro-2a cells, untreated (left, negative) or treated with Staurosporine #9953 (1 μM, 3 hr; right, positive), using Cleaved PARP (Asp214) (D6X6X) Rabbit mAb (Rodent Specific) (green). Actin filaments were labeled with DyLight™ 554 Phalloidin #13054 (red). Blue pseudocolor = DRAQ5® #4084 (fluorescent DNA dye).
Immunofluorescence Image 1: Cleaved PARP (Asp214) (D6X6X) Rabbit Monoclonal Antibody
Flow cytometric analysis of serum-starved Neuro-2a cells, untreated (blue) or treated with Staurosporine #9953 (1 μM, 3 hr; green), using Cleaved PARP (Asp214) (D6X6X) Rabbit mAb (Rodent Specific) (solid lines) or concentration-matched Rabbit (DA1E) mAb IgG XP® Isotype Control #3900 (dashed lines). Anti-rabbit IgG (H+L), F(ab')2 Fragment (Alexa Fluor® 488 Conjugate) #4412 was used as a secondary antibody.
Flow Cytometry Image 1: Cleaved PARP (Asp214) (D6X6X) Rabbit Monoclonal Antibody
Flow cytometric analysis of serum-starved H-4-II-E cells, untreated (blue) or treated with Staurosporine #9953 (1 μM, 3 hr; green), using Cleaved PARP (Asp214) (D6X6X) Rabbit mAb (Rodent Specific) (solid lines) or concentration-matched Rabbit (DA1E) mAb IgG XP® Isotype Control #3900 (dashed lines). Anti-rabbit IgG (H+L), F(ab')2 Fragment (Alexa Fluor® 488 Conjugate) #4412 was used as a secondary antibody.
Flow Cytometry Image 2: Cleaved PARP (Asp214) (D6X6X) Rabbit Monoclonal Antibody
Orders: 877-616-CELL (2355) [email protected] Support: 877-678-TECH (8324) [email protected] Web: cellsignal.com
For Research Use Only. Not for Use in Diagnostic Procedures.