Revision 4

#34642

Store at -20C

CST Logo
Orders:

877-616-CELL (2355)

[email protected]

Support:

877-678-TECH (8324)

3 Trask Lane | Danvers | Massachusetts | 01923 | USA

For Research Use Only. Not for Use in Diagnostic Procedures.

Applications:
W, IHC-P

Reactivity:
H

Sensitivity:
Endogenous

MW (kDa):
35-42, 65, 75

Source/Isotype:
Rabbit IgG

UniProt ID:
#P10909

Entrez-Gene Id:
1191

Product Usage Information

Application Dilution
Western Blotting 1:1000
Immunohistochemistry (Paraffin) 1:400

Storage

Supplied in 10 mM sodium HEPES (pH 7.5), 150 mM NaCl, 100 µg/ml BSA, 50% glycerol and less than 0.02% sodium azide. Store at –20°C. Do not aliquot the antibody.

For a carrier free (BSA and azide free) version of this product see product #83411.

Specificity/Sensitivity

Clusterin (D7N2K) Rabbit Monoclonal Antibody recognizes endogenous levels of total Clusterin protein.

Source / Purification

Monoclonal antibody is produced by immunizing animals with a synthetic peptide corresponding to residues surrounding Ser396 of human Clusterin protein.

Background

Clusterin (CLU, apolipoprotein J) is a multifunctional glycoprotein that is expressed ubiquitously in most tissues. Clusterin functions as a secreted chaperone protein that interacts with and stabilizes stress-induced proteins to prevent their precipitation (1,2). Research studies show that clusterin plays a protective role in Alzheimer’s disease by sequestering amyloid β(1-40) peptides to form long-lived, stable complexes, which prevents amyloid fibril formation (3-5). In addition to the secreted protein, several intracellular isoforms are localized to the nucleus, mitochondria, cytoplasm, and ER. The subcellular distribution of these multiple isoforms leads to the diversity of clusterin functions. Additional studies report that clusterin is involved in membrane recycling, cell adhesion, cell proliferation, apoptosis, and tumor survival (6-9). The clusterin precursor is post-translationally cleaved into the mature clusterin α and clusterin β forms. Clusterin α and β chains create a heterodimer through formation of disulfide bonds (10).

Species Reactivity

Species reactivity is determined by testing in at least one approved application (e.g., western blot).

Western Blot Buffer

IMPORTANT: For western blots, incubate membrane with diluted primary antibody in 5% w/v BSA, 1X TBS, 0.1% Tween® 20 at 4°C with gentle shaking, overnight.

Applications Key

W: Western Blotting IHC-P: Immunohistochemistry (Paraffin)

Cross-Reactivity Key

H: Human

Trademarks and Patents

Cell Signaling Technology is a trademark of Cell Signaling Technology, Inc.

SignalStain is a registered trademark of Cell Signaling Technology, Inc.

All other trademarks are the property of their respective owners. Visit cellsignal.com/trademarks for more information.

Limited Uses

Except as otherwise expressly agreed in a writing signed by a legally authorized representative of CST, the following terms apply to Products provided by CST, its affiliates or its distributors. Any Customer's terms and conditions that are in addition to, or different from, those contained herein, unless separately accepted in writing by a legally authorized representative of CST, are rejected and are of no force or effect.

Products are labeled with For Research Use Only or a similar labeling statement and have not been approved, cleared, or licensed by the FDA or other regulatory foreign or domestic entity, for any purpose. Customer shall not use any Product for any diagnostic or therapeutic purpose, or otherwise in any manner that conflicts with its labeling statement. Products sold or licensed by CST are provided for Customer as the end-user and solely for research and development uses. Any use of Product for diagnostic, prophylactic or therapeutic purposes, or any purchase of Product for resale (alone or as a component) or other commercial purpose, requires a separate license from CST. Customer shall (a) not sell, license, loan, donate or otherwise transfer or make available any Product to any third party, whether alone or in combination with other materials, or use the Products to manufacture any commercial products, (b) not copy, modify, reverse engineer, decompile, disassemble or otherwise attempt to discover the underlying structure or technology of the Products, or use the Products for the purpose of developing any products or services that would compete with CST products or services, (c) not alter or remove from the Products any trademarks, trade names, logos, patent or copyright notices or markings, (d) use the Products solely in accordance with CST Product Terms of Sale and any applicable documentation, and (e) comply with any license, terms of service or similar agreement with respect to any third party products or services used by Customer in connection with the Products.

Orders: 877-616-CELL (2355) [email protected] Support: 877-678-TECH (8324) [email protected] Web: cellsignal.com
For Research Use Only. Not for Use in Diagnostic Procedures.

Revision 4

Cell Signaling Technology Logo
Western blot analysis of extracts from indicated human cell lines and human tonsil using Clusterin (D7N2K) XP® Rabbit mAb (upper) and β-Actin (D6A8) Rabbit mAb #8457 (lower).
Western Blotting Image 1: Clusterin (D7N2K) Rabbit Monoclonal Antibody
Immunohistochemical analysis of paraffin-embedded T-47D cell pellet (left, positive) or Jurkat cell pellet (right, negative) using Clusterin (D7N2K) XP® Rabbit mAb.
Immunohistochemistry Image 1: Clusterin (D7N2K) Rabbit Monoclonal Antibody
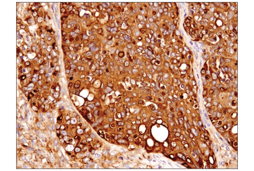
Immunohistochemical analysis of paraffin-embedded human non-small cell lung carcinoma using Clusterin (D7N2K) XP® Rabbit mAb.
Immunohistochemistry Image 2: Clusterin (D7N2K) Rabbit Monoclonal Antibody
Orders: 877-616-CELL (2355) [email protected] Support: 877-678-TECH (8324) [email protected] Web: cellsignal.com
For Research Use Only. Not for Use in Diagnostic Procedures.

Revision 4

Cell Signaling Technology Logo
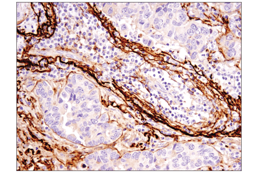
Immunohistochemical analysis of paraffin-embedded human serous papillary carcinoma of the ovary using Clusterin (D7N2K) XP® Rabbit mAb.
Immunohistochemistry Image 3: Clusterin (D7N2K) Rabbit Monoclonal Antibody
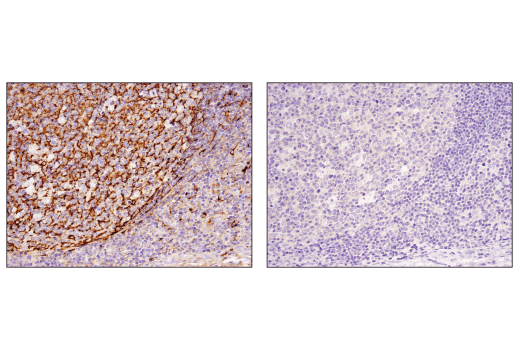
Immunohistochemical analysis of paraffin-embedded human tonsil using Clusterin (D7N2K) XP® Rabbit mAb in the presence of control peptide (left) or antigen-specific peptide (right).
Immunohistochemistry Image 4: Clusterin (D7N2K) Rabbit Monoclonal Antibody
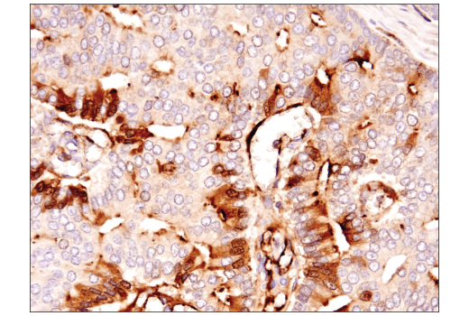
Immunohistochemical analysis of paraffin-embedded human prostate carcinoma using Clusterin (D7N2K) XP® Rabbit mAb.
Immunohistochemistry Image 5: Clusterin (D7N2K) Rabbit Monoclonal Antibody
Orders: 877-616-CELL (2355) [email protected] Support: 877-678-TECH (8324) [email protected] Web: cellsignal.com
For Research Use Only. Not for Use in Diagnostic Procedures.