Revision 5

#61964

Store at -20C

CST Logo
Orders:

877-616-CELL (2355)

[email protected]

Support:

877-678-TECH (8324)

3 Trask Lane | Danvers | Massachusetts | 01923 | USA

For Research Use Only. Not for Use in Diagnostic Procedures.

Applications:
W, IHC-P

Reactivity:
H

Sensitivity:
Endogenous

MW (kDa):
220

Source/Isotype:
Rabbit IgG

UniProt ID:
#Q05707

Entrez-Gene Id:
7373

Product Usage Information

Application Dilution
Western Blotting 1:1000
Immunohistochemistry (Paraffin) 1:50 - 1:200

Storage

Supplied in 10 mM sodium HEPES (pH 7.5), 150 mM NaCl, 100 µg/mL BSA, 50% glycerol, and less than 0.02% sodium azide. Store at –20°C. Do not aliquot the antibody.

For a carrier free (BSA and azide free) version of this product see product #58865.

Specificity/Sensitivity

COL14A1 (E5W8S) Rabbit Monoclonal Antibody recognizes endogenous levels of total COL14A1 protein.

Source / Purification

Monoclonal antibody is produced by immunizing animals with a synthetic peptide corresponding to residues near the carboxy terminus of human COL14A1 protein.

Background

COL14A1 (Collagen Type XIV, Undulin) is an interstitial collagen that belongs to the fibril-associated collagens with interrupted triple helices (FACIT) family (1). COL14A1 contributes to the assembly and remodeling of the interstitial extracellular matrix, in part by promoting the formation of inter-molecular bridges between collagen molecules (2-4). Changes in COL14A1 expression have been identified as a potential biomarker in a variety of fibrotic diseases, including idiopathic pulmonary fibrosis (5,6) and fibrotic kidney diseases (7). A study of tumor stroma-associated biomarkers furthermore revealed that COL14A1 was one of a group of genes whose expression correlated negatively with clinical stage of breast cancer patient samples (8).

Species Reactivity

Species reactivity is determined by testing in at least one approved application (e.g., western blot).

Western Blot Buffer

IMPORTANT: For western blots, incubate membrane with diluted primary antibody in 5% w/v BSA, 1X TBS, 0.1% Tween® 20 at 4°C with gentle shaking, overnight.

Applications Key

W: Western Blotting IHC-P: Immunohistochemistry (Paraffin)

Cross-Reactivity Key

H: Human

Trademarks and Patents

Cell Signaling Technology is a trademark of Cell Signaling Technology, Inc.

All other trademarks are the property of their respective owners. Visit cellsignal.com/trademarks for more information.

Limited Uses

Except as otherwise expressly agreed in a writing signed by a legally authorized representative of CST, the following terms apply to Products provided by CST, its affiliates or its distributors. Any Customer's terms and conditions that are in addition to, or different from, those contained herein, unless separately accepted in writing by a legally authorized representative of CST, are rejected and are of no force or effect.

Products are labeled with For Research Use Only or a similar labeling statement and have not been approved, cleared, or licensed by the FDA or other regulatory foreign or domestic entity, for any purpose. Customer shall not use any Product for any diagnostic or therapeutic purpose, or otherwise in any manner that conflicts with its labeling statement. Products sold or licensed by CST are provided for Customer as the end-user and solely for research and development uses. Any use of Product for diagnostic, prophylactic or therapeutic purposes, or any purchase of Product for resale (alone or as a component) or other commercial purpose, requires a separate license from CST. Customer shall (a) not sell, license, loan, donate or otherwise transfer or make available any Product to any third party, whether alone or in combination with other materials, or use the Products to manufacture any commercial products, (b) not copy, modify, reverse engineer, decompile, disassemble or otherwise attempt to discover the underlying structure or technology of the Products, or use the Products for the purpose of developing any products or services that would compete with CST products or services, (c) not alter or remove from the Products any trademarks, trade names, logos, patent or copyright notices or markings, (d) use the Products solely in accordance with CST Product Terms of Sale and any applicable documentation, and (e) comply with any license, terms of service or similar agreement with respect to any third party products or services used by Customer in connection with the Products.

Orders: 877-616-CELL (2355) [email protected] Support: 877-678-TECH (8324) [email protected] Web: cellsignal.com
For Research Use Only. Not for Use in Diagnostic Procedures.

Revision 5

Cell Signaling Technology Logo
Western blot analysis of extracts from U-251 MG cells, transfected with control siRNA (-) or COL14A1 siRNA (+), using COL14A1 (E5W8S) Rabbit mAb (upper) or GAPDH (D16H11) XP® Rabbit mAb #5174 (lower).
Western Blotting Image 1: COL14A1 (E5W8S) Rabbit Monoclonal Antibody
Western blot analysis of extracts from various cell lines using COL14A1 (E5W8S) Rabbit mAb (upper) or GAPDH (D16H11) XP® Rabbit mAb #5174 (lower). Negative expression of COL14A1 protein in NCI-H3255 cell extracts and human skeletal muscle is consistent with the predicted expression pattern.
Western Blotting Image 2: COL14A1 (E5W8S) Rabbit Monoclonal Antibody
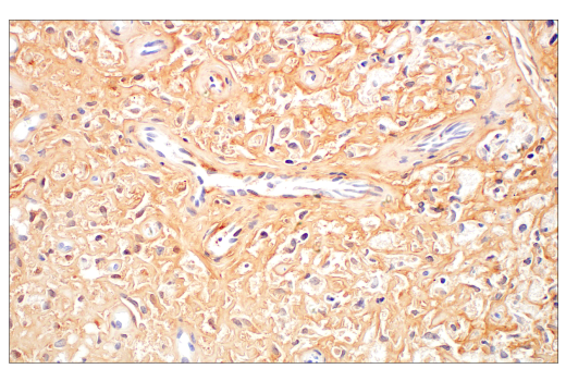
Immunohistochemical analysis of paraffin-embedded human prostate adenocarcinoma using COL14A1 (E5W8S) Rabbit mAb.
Immunohistochemistry Image 1: COL14A1 (E5W8S) Rabbit Monoclonal Antibody
Orders: 877-616-CELL (2355) [email protected] Support: 877-678-TECH (8324) [email protected] Web: cellsignal.com
For Research Use Only. Not for Use in Diagnostic Procedures.

Revision 5

Cell Signaling Technology Logo

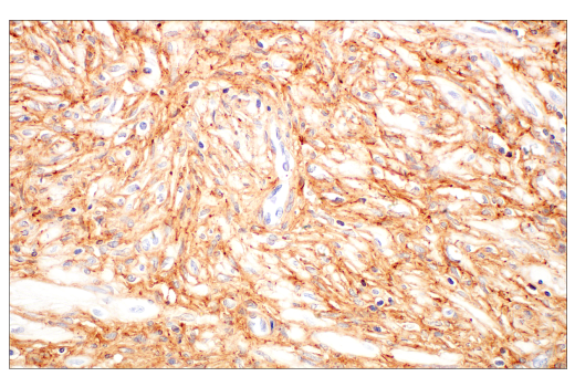
Immunohistochemical analysis of paraffin-embedded human ovarian serous adenocarcinoma using COL14A1 (E5W8S) Rabbit mAb.

Immunohistochemistry Image 2: COL14A1 (E5W8S) Rabbit Monoclonal Antibody

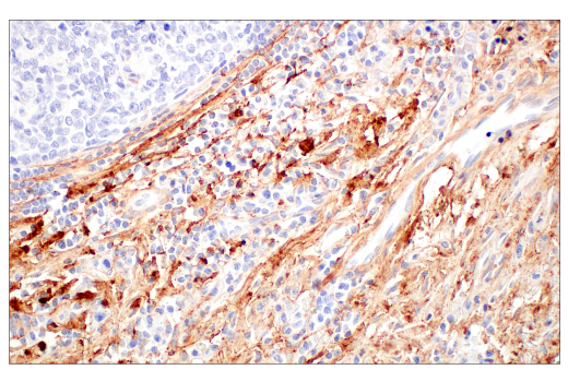
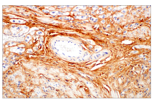
Immunohistochemical analysis of paraffin-embedded human hepatocellular carcinoma using COL14A1 (E5W8S) Rabbit mAb.

Immunohistochemistry Image 3: COL14A1 (E5W8S) Rabbit Monoclonal Antibody
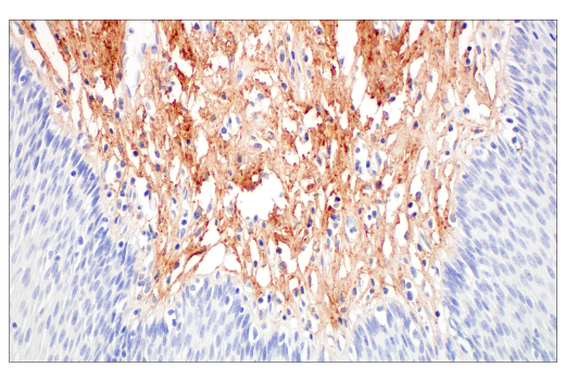
Immunohistochemical analysis of paraffin-embedded human T-cell lymphoma using COL14A1 (E5W8S) Rabbit mAb.
Immunohistochemistry Image 4: COL14A1 (E5W8S) Rabbit Monoclonal Antibody
Orders: 877-616-CELL (2355) [email protected] Support: 877-678-TECH (8324) [email protected] Web: cellsignal.com
For Research Use Only. Not for Use in Diagnostic Procedures.

Revision 5

Cell Signaling Technology Logo
Immunohistochemical analysis of paraffin-embedded human colon adenocarcinoma using COL14A1 (E5W8S) Rabbit mAb.
Immunohistochemistry Image 5: COL14A1 (E5W8S) Rabbit Monoclonal Antibody
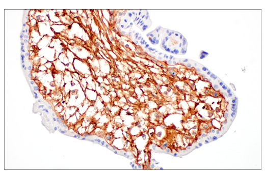
Immunohistochemical analysis of paraffin-embedded normal human placenta using COL14A1 (E5W8S) Rabbit mAb.
Immunohistochemistry Image 6: COL14A1 (E5W8S) Rabbit Monoclonal Antibody
Immunohistochemical analysis of paraffin-embedded normal human prostate using COL14A1 (E5W8S) Rabbit mAb.
Immunohistochemistry Image 7: COL14A1 (E5W8S) Rabbit Monoclonal Antibody
Orders: 877-616-CELL (2355) [email protected] Support: 877-678-TECH (8324) [email protected] Web: cellsignal.com
For Research Use Only. Not for Use in Diagnostic Procedures.

Revision 5

Cell Signaling Technology Logo
Immunohistochemical analysis of paraffin-embedded normal human esophagus using COL14A1 (E5W8S) Rabbit mAb.
Immunohistochemistry Image 8: COL14A1 (E5W8S) Rabbit Monoclonal Antibody
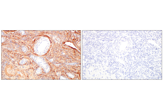
Immunohistochemical analysis of paraffin-embedded normal human ovary using COL14A1 (E5W8S) Rabbit mAb (left) compared to concentration-matched Rabbit (DA1E) mAb IgG XP® Isotype Control #3900 (right). 
Immunohistochemistry Image 9: COL14A1 (E5W8S) Rabbit Monoclonal Antibody
Immunohistochemical analysis of paraffin-embedded RD cell pellet (left, positive) or NCI-H3255 cell pellet (right, negative) using COL14A1 (E5W8S) Rabbit mAb.
Immunohistochemistry Image 10: COL14A1 (E5W8S) Rabbit Monoclonal Antibody
Orders: 877-616-CELL (2355) [email protected] Support: 877-678-TECH (8324) [email protected] Web: cellsignal.com
For Research Use Only. Not for Use in Diagnostic Procedures.