Revision 4

#66948

Store at -20C

CST Logo
Orders:

877-616-CELL (2355)

[email protected]

Support:

877-678-TECH (8324)

3 Trask Lane | Danvers | Massachusetts | 01923 | USA

For Research Use Only. Not for Use in Diagnostic Procedures.

Applications:
W, IHC-Bond, IHC-P, IF-IC

Reactivity:
H

Sensitivity:
Endogenous

MW (kDa):
220

Source/Isotype:
Mouse IgG2a kappa

UniProt ID:
#P02452

Entrez-Gene Id:
1277

Product Usage Information

Application Dilution
Western Blotting 1:1000
IHC Leica Bond 1:200 - 1:800
Immunohistochemistry (Paraffin) 1:50 - 1:200
Immunofluorescence (Immunocytochemistry) 1:50 - 1:200

Storage

Supplied in 10 mM sodium HEPES (pH 7.5), 150 mM NaCl, 100 µg/ml BSA, 50% glycerol and less than 0.02% sodium azide. Store at –20°C. Do not aliquot the antibody.

For a carrier free (BSA and azide free) version of this product see product #66154.

Specificity/Sensitivity

COL1A1 (E3E1X) Mouse Monoclonal Antibody recognizes endogenous levels of total COL1A1 protein.

Source / Purification

Monoclonal antibody is produced by immunizing animals with a synthetic peptide corresponding to residues surrounding Lys170 of human COL1A1 protein.

Background

Type 1 collagen is the most abundant collagen in many human tissues, including bone, skin, and tendons. It is a trimeric complex composed of two molecules of COL1A1 (alpha-1 type 1 collagen) and one molecule of COL1A2 (alpha-2 type 1 collagen) (1-3). The expression levels of COL1A1 are regulated by multiple mechanisms, including mRNA stability, translation, and post-translational modification (3-5). Overexpression of COL1A1 has been positively associated with tissue fibrosis disorders, including systemic sclerosis (6), while loss-of-function mutations in the COL1A1 gene are a major causative factor for osteogenesis imperfecta (brittle bone disease) (7). Notably, COL1A1 expression levels have also been associated with tumor development in gastric, lung, thyroid, and breast cancers. Research studies suggest that upregulation of COL1A1 can generate a modified extracellular matrix environment that promotes cancer cell survival, proliferation, metastasis, and invasion (8-11).

Species Reactivity

Species reactivity is determined by testing in at least one approved application (e.g., western blot).

Western Blot Buffer

IMPORTANT: For western blots, incubate membrane with diluted primary antibody in 5% w/v BSA, 1X TBS, 0.1% Tween® 20 at 4°C with gentle shaking, overnight.

Applications Key

W: Western Blotting IHC-Bond: IHC Leica Bond IHC-P: Immunohistochemistry (Paraffin) IF-IC: Immunofluorescence (Immunocytochemistry)

Cross-Reactivity Key

H: Human

Trademarks and Patents

Cell Signaling Technology is a trademark of Cell Signaling Technology, Inc.

SignalStain is a registered trademark of Cell Signaling Technology, Inc.

All other trademarks are the property of their respective owners. Visit cellsignal.com/trademarks for more information.

Limited Uses

Except as otherwise expressly agreed in a writing signed by a legally authorized representative of CST, the following terms apply to Products provided by CST, its affiliates or its distributors. Any Customer's terms and conditions that are in addition to, or different from, those contained herein, unless separately accepted in writing by a legally authorized representative of CST, are rejected and are of no force or effect.

Products are labeled with For Research Use Only or a similar labeling statement and have not been approved, cleared, or licensed by the FDA or other regulatory foreign or domestic entity, for any purpose. Customer shall not use any Product for any diagnostic or therapeutic purpose, or otherwise in any manner that conflicts with its labeling statement. Products sold or licensed by CST are provided for Customer as the end-user and solely for research and development uses. Any use of Product for diagnostic, prophylactic or therapeutic purposes, or any purchase of Product for resale (alone or as a component) or other commercial purpose, requires a separate license from CST. Customer shall (a) not sell, license, loan, donate or otherwise transfer or make available any Product to any third party, whether alone or in combination with other materials, or use the Products to manufacture any commercial products, (b) not copy, modify, reverse engineer, decompile, disassemble or otherwise attempt to discover the underlying structure or technology of the Products, or use the Products for the purpose of developing any products or services that would compete with CST products or services, (c) not alter or remove from the Products any trademarks, trade names, logos, patent or copyright notices or markings, (d) use the Products solely in accordance with CST Product Terms of Sale and any applicable documentation, and (e) comply with any license, terms of service or similar agreement with respect to any third party products or services used by Customer in connection with the Products.

Orders: 877-616-CELL (2355) [email protected] Support: 877-678-TECH (8324) [email protected] Web: cellsignal.com
For Research Use Only. Not for Use in Diagnostic Procedures.

Revision 4

Cell Signaling Technology Logo
Western blot analysis of extracts from various cell lines using COL1A1 (E3E1X) Mouse mAb (upper) and GAPDH (D16H11) XP® Rabbit mAb #5174 (lower).
Western Blotting Image 1: COL1A1 (E3E1X) Mouse Monoclonal Antibody
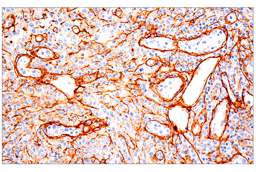
Immunohistochemical analysis of paraffin-embedded human T cell lymphoma using COL1A1 (E3E1X) Mouse mAb performed on the Leica® BOND™ Rx.
Immunohistochemistry Image 1: COL1A1 (E3E1X) Mouse Monoclonal Antibody
Immunohistochemical analysis of paraffin-embedded human prostate carcinoma using COL1A1 (E3E1X) Mouse mAb performed on the Leica® BOND™ Rx.
Immunohistochemistry Image 2: COL1A1 (E3E1X) Mouse Monoclonal Antibody
Orders: 877-616-CELL (2355) [email protected] Support: 877-678-TECH (8324) [email protected] Web: cellsignal.com
For Research Use Only. Not for Use in Diagnostic Procedures.

Revision 4

Cell Signaling Technology Logo
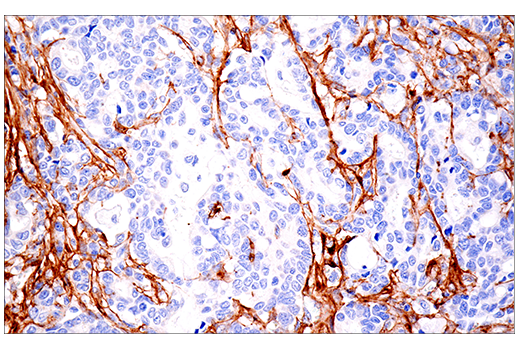
Immunohistochemical analysis of paraffin-embedded human non-small cell lung carcinoma using COL1A1 (E3E1X) Mouse mAb performed on the Leica® BOND™ Rx.
Immunohistochemistry Image 3: COL1A1 (E3E1X) Mouse Monoclonal Antibody
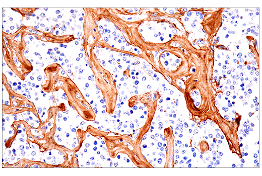
Immunohistochemical analysis of paraffin-embedded normal human placenta using COL1A1 (E3E1X) Mouse mAb.
Immunohistochemistry Image 1: COL1A1 (E3E1X) Mouse Monoclonal Antibody
Immunohistochemical analysis of paraffin-embedded normal human testis using COL1A1 (E3E1X) Mouse mAb.
Immunohistochemistry Image 2: COL1A1 (E3E1X) Mouse Monoclonal Antibody
Orders: 877-616-CELL (2355) [email protected] Support: 877-678-TECH (8324) [email protected] Web: cellsignal.com
For Research Use Only. Not for Use in Diagnostic Procedures.

Revision 4

Cell Signaling Technology Logo
Immunohistochemical analysis of paraffin-embedded human endometrioid adenocarcinoma using COL1A1 (E3E1X) Mouse mAb.
Immunohistochemistry Image 3: COL1A1 (E3E1X) Mouse Monoclonal Antibody
Immunohistochemical analysis of paraffin-embedded human B cell non-Hodgkin's lymphoma with fibrosis using COL1A1 (E3E1X) Mouse mAb.
Immunohistochemistry Image 4: COL1A1 (E3E1X) Mouse Monoclonal Antibody
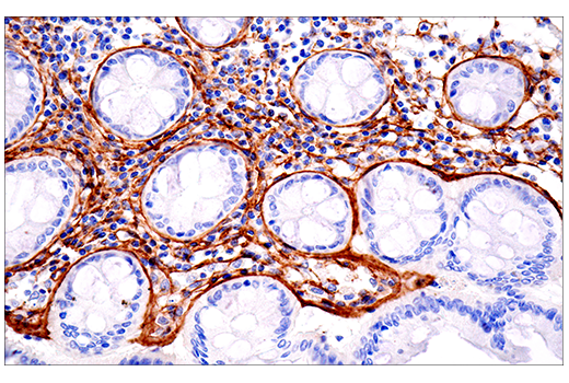
Immunohistochemical analysis of paraffin-embedded normal human colon using COL1A1 (E3E1X) Mouse mAb.
Immunohistochemistry Image 5: COL1A1 (E3E1X) Mouse Monoclonal Antibody
Orders: 877-616-CELL (2355) [email protected] Support: 877-678-TECH (8324) [email protected] Web: cellsignal.com
For Research Use Only. Not for Use in Diagnostic Procedures.

Revision 4

Cell Signaling Technology Logo
Immunohistochemical analysis of paraffin-embedded human esophageal adenocarcinoma using COL1A1 (E3E1X) Mouse mAb.
Immunohistochemistry Image 6: COL1A1 (E3E1X) Mouse Monoclonal Antibody
Immunohistochemical analysis of paraffin-embedded human ductal breast carcinoma using COL1A1 (E3E1X) Mouse mAb (left) compared to concentration-matched Mouse (E5Y6Q) mAb IgG2a Isotype Control #61656 (right).
Immunohistochemistry Image 7: COL1A1 (E3E1X) Mouse Monoclonal Antibody
Immunohistochemical analysis of paraffin-embedded human colon carcinoma (left), renal cell carcinoma (middle), or prostate carcinoma (right) using COL1A1 (E3E1X) Mouse mAb (top) or COL1A1 (E8F4L) XP® Rabbit mAb #72026 (bottom). These two antibodies detect independent, unique epitopes on human COL1A1. The similar staining patterns obtained with both antibodies help to confirm the specificity of the staining.
Immunohistochemistry Image 8: COL1A1 (E3E1X) Mouse Monoclonal Antibody
Orders: 877-616-CELL (2355) [email protected] Support: 877-678-TECH (8324) [email protected] Web: cellsignal.com
For Research Use Only. Not for Use in Diagnostic Procedures.

Revision 4

Cell Signaling Technology Logo
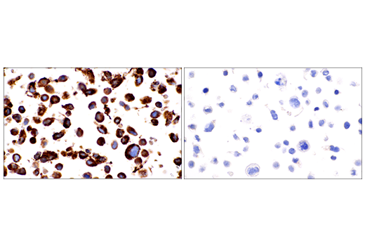
Immunohistochemical analysis of paraffin-embedded U-118 MG cell pellet (left, positive) or HT-29 cell pellet (right, negative) using COL1A1 (E3E1X) Mouse mAb.
Immunohistochemistry Image 9: COL1A1 (E3E1X) Mouse Monoclonal Antibody
Confocal immunofluorescent analysis of U-118 MG cells (left, positive) and HT-29 cells (right, negative) using COL1A1 (E3E1X) Mouse mAb (green). Actin filaments were labeled with DyLight™ 554 Phalloidin #13054 (red). Samples were mounted in ProLong® Gold Antifade Reagent with DAPI #8961 (blue).
Immunofluorescence Image 1: COL1A1 (E3E1X) Mouse Monoclonal Antibody
Orders: 877-616-CELL (2355) [email protected] Support: 877-678-TECH (8324) [email protected] Web: cellsignal.com
For Research Use Only. Not for Use in Diagnostic Procedures.