Revision 2

#98908

Store at -20C

CST Logo
Orders:

877-616-CELL (2355)

[email protected]

Support:

877-678-TECH (8324)

3 Trask Lane | Danvers | Massachusetts | 01923 | USA

For Research Use Only. Not for Use in Diagnostic Procedures.

Applications:
W, IHC-P, IF-IC

Reactivity:
H

Sensitivity:
Endogenous

MW (kDa):
200

Source/Isotype:
Rabbit IgG

UniProt ID:
#P02461

Entrez-Gene Id:
1281

Product Usage Information

This product is the carrier-free version of product #63034. All data were generated using the same antibody clone in the standard formulation which contains BSA and glycerol.

This formulation is ideal for use with technologies requiring specialized or custom antibody labeling, including fluorophores, metals, lanthanides, and oligonucleotides. It is not recommended for ChIP, ChIP-seq, CUT&RUN, or CUT&Tag assays. If you require a carrier-free formulation for chromatin profiling, please contact us. Optimal dilutions/concentrations should be determined by the end user.

BSA and Azide Free antibodies are quality control tested by size exclusion chromatography (SEC) to determine antibody integrity.

Formulation

Supplied in 1X PBS (10 mM Na2HPO4, 3 mM KCl, 2 mM KH2PO4, and 140 mM NaCl (pH 7.8)). BSA and Azide Free.

For standard formulation of this product see product #63034.

Storage

Store at -20°C. This product will freeze at -20°C so it is recommended to aliquot into single-use vials to avoid multiple freeze/thaw cycles. A slight precipitate may be present and can be dissolved by gently vortexing. This will not interfere with antibody performance.

Specificity/Sensitivity

COL3A1 (E8D7R) Rabbit Monoclonal Antibody (BSA and Azide Free) recognizes endogenous levels of total COL3A1 protein.

Source / Purification

Monoclonal antibody is produced by immunizing animals with a synthetic peptide corresponding to residues near the carboxy terminus of human COL3A1 protein.

Background

The extracellular matrix (ECM) is a complex network of macromolecules that provides structural tissue support to cells in the basement membrane and interstitial matrix. It is composed of many molecules including proteins, glycoproteins, proteoglycans, and polysaccharides (1,2). One of the major proteins that comprises the ECM, and the human body, is collagen. Collagens are a large family of proteins. They are trimeric molecules composed of three alpha polypeptide chains that form a triple helix structure that is characteristic of all collagens (3). The large family of collagens is divided into three subgroups: fibrillar collagens, non-fibril forming collagens, and fibril-associated collagens. These subgroups differ in their structure and supramolecular assembly (3).

Collagen 3 alpha 1 (COL3A1) is a major fibrillar collagen composed of three identical alpha-1 chains. It is present in most soft tissues, along with COL1A1, and is particularly high in tissues exhibiting elastic properties, such as the cardiac arterial wall and skin (4). Heterozygous mutations in the COL3A1 gene that cause missense mutation of a critical glycine residue in the triple helical domain of the alpha-1 chain result in vascular Ehlers-Danlos syndrome (vEDS). This mutation interferes with the ability of the alpha-1 chain to form collagen fibrils and thus disrupts macromolecular assembly of collagen fibers. vEDS is a severe and life-threatening disease as patients have a propensity for rupture of large arteries (4).

Increased amounts of type III COL3A1 are found in many fibrotic conditions, such as lung, liver, kidney fibrosis, and systemic sclerosis (5,6).

Species Reactivity

Species reactivity is determined by testing in at least one approved application (e.g., western blot).

Applications Key

W: Western Blotting IHC-P: Immunohistochemistry (Paraffin) IF-IC: Immunofluorescence (Immunocytochemistry)

Cross-Reactivity Key

H: Human

Trademarks and Patents

Cell Signaling Technology is a trademark of Cell Signaling Technology, Inc.

All other trademarks are the property of their respective owners. Visit cellsignal.com/trademarks for more information.

Limited Uses

Except as otherwise expressly agreed in a writing signed by a legally authorized representative of CST, the following terms apply to Products provided by CST, its affiliates or its distributors. Any Customer's terms and conditions that are in addition to, or different from, those contained herein, unless separately accepted in writing by a legally authorized representative of CST, are rejected and are of no force or effect.

Products are labeled with For Research Use Only or a similar labeling statement and have not been approved, cleared, or licensed by the FDA or other regulatory foreign or domestic entity, for any purpose. Customer shall not use any Product for any diagnostic or therapeutic purpose, or otherwise in any manner that conflicts with its labeling statement. Products sold or licensed by CST are provided for Customer as the end-user and solely for research and development uses. Any use of Product for diagnostic, prophylactic or therapeutic purposes, or any purchase of Product for resale (alone or as a component) or other commercial purpose, requires a separate license from CST. Customer shall (a) not sell, license, loan, donate or otherwise transfer or make available any Product to any third party, whether alone or in combination with other materials, or use the Products to manufacture any commercial products, (b) not copy, modify, reverse engineer, decompile, disassemble or otherwise attempt to discover the underlying structure or technology of the Products, or use the Products for the purpose of developing any products or services that would compete with CST products or services, (c) not alter or remove from the Products any trademarks, trade names, logos, patent or copyright notices or markings, (d) use the Products solely in accordance with CST Product Terms of Sale and any applicable documentation, and (e) comply with any license, terms of service or similar agreement with respect to any third party products or services used by Customer in connection with the Products.

Orders: 877-616-CELL (2355) [email protected] Support: 877-678-TECH (8324) [email protected] Web: cellsignal.com
For Research Use Only. Not for Use in Diagnostic Procedures.

Revision 2

Cell Signaling Technology Logo
Western blot analysis of extracts from RD and ACHN cells using COL3A1 (E8D7R) XP® Rabbit mAb (upper) or β-Actin (D6A8) Rabbit mAb #8457 (lower). Differential expression of COL3A1 in RD and ACHN cell lines is consistent with molecular and proteomic expression profiling data, confirming specificity of the antibody for COL3A1. Data were generated using the standard formulation of this product.
Western Blotting Image 1: COL3A1 (E8D7R) Rabbit Monoclonal Antibody (BSA and Azide Free)
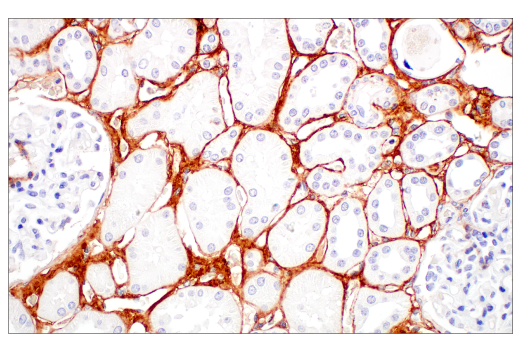
Immunohistochemical analysis of paraffin-embedded normal human kidney using COL3A1 (E8D7R) XP® Rabbit mAb. Data were generated using the standard formulation of this product.
Immunohistochemistry Image 1: COL3A1 (E8D7R) Rabbit Monoclonal Antibody (BSA and Azide Free)
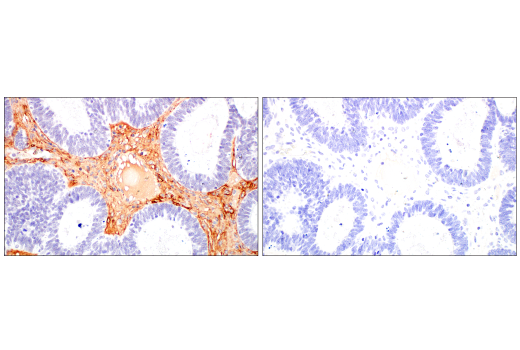
Immunohistochemical analysis of paraffin-embedded RD cell pellet (left, positive) or ACHN cell pellet (right, negative) using COL3A1 (E8D7R) XP® Rabbit mAb. Data were generated using the standard formulation of this product.
Immunohistochemistry Image 2: COL3A1 (E8D7R) Rabbit Monoclonal Antibody (BSA and Azide Free)
Orders: 877-616-CELL (2355) [email protected] Support: 877-678-TECH (8324) [email protected] Web: cellsignal.com
For Research Use Only. Not for Use in Diagnostic Procedures.

Revision 2

Cell Signaling Technology Logo
Immunohistochemical analysis of paraffin-embedded human endometrioid adenocarcinoma using COL3A1 (E8D7R) XP® Rabbit mAb (left) compared to concentration-matched Rabbit (DA1E) mAb IgG XP® Isotype Control #3900 (right). Data were generated using the standard formulation of this product.
Immunohistochemistry Image 3: COL3A1 (E8D7R) Rabbit Monoclonal Antibody (BSA and Azide Free)

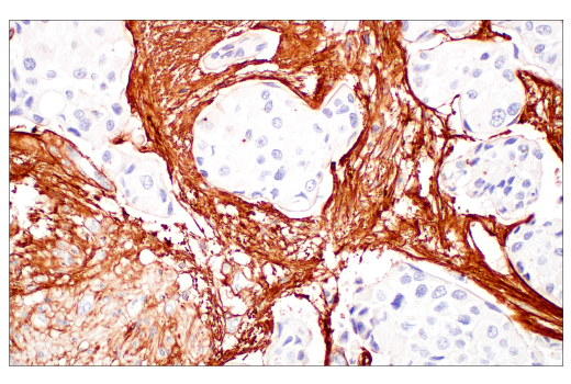
Immunohistochemical analysis of paraffin-embedded human urothelial carcinoma using COL3A1 (E8D7R) XP® Rabbit mAb. Data were generated using the standard formulation of this product.

Immunohistochemistry Image 4: COL3A1 (E8D7R) Rabbit Monoclonal Antibody (BSA and Azide Free)

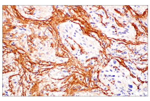
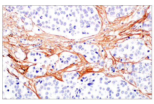
Immunohistochemical analysis of paraffin-embedded human colon adenocarcinoma using COL3A1 (E8D7R) XP® Rabbit mAb. Data were generated using the standard formulation of this product.

Immunohistochemistry Image 5: COL3A1 (E8D7R) Rabbit Monoclonal Antibody (BSA and Azide Free)
Orders: 877-616-CELL (2355) [email protected] Support: 877-678-TECH (8324) [email protected] Web: cellsignal.com
For Research Use Only. Not for Use in Diagnostic Procedures.

Revision 2

Cell Signaling Technology Logo
Immunohistochemical analysis of paraffin-embedded human large cell neuroendocrine lung carcinoma using COL3A1 (E8D7R) XP® Rabbit mAb. Data were generated using the standard formulation of this product.
Immunohistochemistry Image 6: COL3A1 (E8D7R) Rabbit Monoclonal Antibody (BSA and Azide Free)
Immunohistochemical analysis of paraffin-embedded human lung sarcoma using COL3A1 (E8D7R) XP® Rabbit mAb. Data were generated using the standard formulation of this product.
Immunohistochemistry Image 7: COL3A1 (E8D7R) Rabbit Monoclonal Antibody (BSA and Azide Free)
Immunohistochemical analysis of paraffin-embedded human prostate adenocarcinoma using COL3A1 (E8D7R) XP® Rabbit mAb. Data were generated using the standard formulation of this product.
Immunohistochemistry Image 8: COL3A1 (E8D7R) Rabbit Monoclonal Antibody (BSA and Azide Free)
Orders: 877-616-CELL (2355) [email protected] Support: 877-678-TECH (8324) [email protected] Web: cellsignal.com
For Research Use Only. Not for Use in Diagnostic Procedures.

Revision 2

Cell Signaling Technology Logo
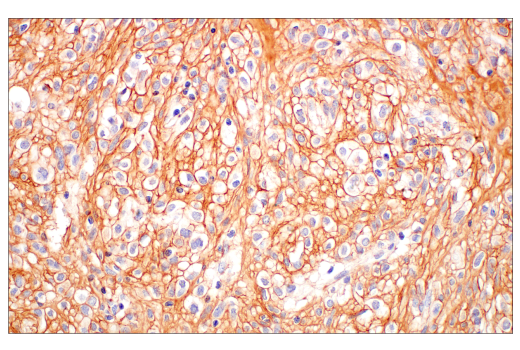
Immunohistochemical analysis of paraffin-embedded human gastrointestinal stromal tumor using COL3A1 (E8D7R) XP® Rabbit mAb. Data were generated using the standard formulation of this product.
Immunohistochemistry Image 9: COL3A1 (E8D7R) Rabbit Monoclonal Antibody (BSA and Azide Free)
Confocal immunofluorescent analysis of RD cells (left, positive) and ACHN cells (right, negative) using COL3A1 (E3K9U) XP® Rabbit mAb (green). Actin filaments were labeled with DyLight™ 554 Phalloidin #13054 (red). Blue = DAPI #4083 (fluorescent DNA dye). Data were generated using the standard formulation of this product.
Immunofluorescence Image 1: COL3A1 (E8D7R) Rabbit Monoclonal Antibody (BSA and Azide Free)
Confocal immunofluorescent analysis of RD cells (left, positive) and ACHN cells (right, negative) using COL3A1 (E8D7R) Rabbit Monoclonal Antibody (green), DyLight® 554 Phalloidin #13054 (red), and DAPI #4083 (blue). Data were generated using the standard formulation of this product.
Immunofluorescence Image 2: COL3A1 (E8D7R) Rabbit Monoclonal Antibody (BSA and Azide Free)
Orders: 877-616-CELL (2355) [email protected] Support: 877-678-TECH (8324) [email protected] Web: cellsignal.com
For Research Use Only. Not for Use in Diagnostic Procedures.