Revision 7

#63034

Store at -20C

CST Logo
Orders:

877-616-CELL (2355)

[email protected]

Support:

877-678-TECH (8324)

3 Trask Lane | Danvers | Massachusetts | 01923 | USA

For Research Use Only. Not for Use in Diagnostic Procedures.

Applications:
W, IHC-P, IF-IC

Reactivity:
H

Sensitivity:
Endogenous

MW (kDa):
200

Source/Isotype:
Rabbit IgG

UniProt ID:
#P02461

Entrez-Gene Id:
1281

Product Usage Information

Application Dilution
Western Blotting 1:1000
Immunohistochemistry (Paraffin) 1:250 - 1:1000
Immunofluorescence (Immunocytochemistry) 1:12800

Storage

Supplied in 10 mM sodium HEPES (pH 7.5), 150 mM NaCl, 100 µg/ml BSA, 50% glycerol and less than 0.02% sodium azide. Store at –20°C. Do not aliquot the antibody.

For a carrier-free (BSA and azide free) version of this product see product #98908.

Specificity/Sensitivity

COL3A1 (E8D7R) Rabbit Monoclonal Antibody recognizes endogenous levels of total COL3A1 protein.

Source / Purification

Monoclonal antibody is produced by immunizing animals with a synthetic peptide corresponding to residues near the carboxy terminus of human COL3A1 protein.

Background

The extracellular matrix (ECM) is a complex network of macromolecules that provides structural tissue support to cells in the basement membrane and interstitial matrix. It is composed of many molecules including proteins, glycoproteins, proteoglycans, and polysaccharides (1,2). One of the major proteins that comprises the ECM, and the human body, is collagen. Collagens are a large family of proteins. They are trimeric molecules composed of three alpha polypeptide chains that form a triple helix structure that is characteristic of all collagens (3). The large family of collagens is divided into three subgroups: fibrillar collagens, non-fibril forming collagens, and fibril-associated collagens. These subgroups differ in their structure and supramolecular assembly (3).

Collagen 3 alpha 1 (COL3A1) is a major fibrillar collagen composed of three identical alpha-1 chains. It is present in most soft tissues, along with COL1A1, and is particularly high in tissues exhibiting elastic properties, such as the cardiac arterial wall and skin (4). Heterozygous mutations in the COL3A1 gene that cause missense mutation of a critical glycine residue in the triple helical domain of the alpha-1 chain result in vascular Ehlers-Danlos syndrome (vEDS). This mutation interferes with the ability of the alpha-1 chain to form collagen fibrils and thus disrupts macromolecular assembly of collagen fibers. vEDS is a severe and life-threatening disease as patients have a propensity for rupture of large arteries (4).

Increased amounts of type III COL3A1 are found in many fibrotic conditions, such as lung, liver, kidney fibrosis, and systemic sclerosis (5,6).

Species Reactivity

Species reactivity is determined by testing in at least one approved application (e.g., western blot).

Western Blot Buffer

IMPORTANT: For western blots, incubate membrane with diluted primary antibody in 5% w/v BSA, 1X TBS, 0.1% Tween® 20 at 4°C with gentle shaking, overnight.

Applications Key

W: Western Blotting IHC-P: Immunohistochemistry (Paraffin) IF-IC: Immunofluorescence (Immunocytochemistry)

Cross-Reactivity Key

H: Human

Trademarks and Patents

Cell Signaling Technology is a trademark of Cell Signaling Technology, Inc.

SignalStain is a registered trademark of Cell Signaling Technology, Inc.

All other trademarks are the property of their respective owners. Visit cellsignal.com/trademarks for more information.

Limited Uses

Except as otherwise expressly agreed in a writing signed by a legally authorized representative of CST, the following terms apply to Products provided by CST, its affiliates or its distributors. Any Customer's terms and conditions that are in addition to, or different from, those contained herein, unless separately accepted in writing by a legally authorized representative of CST, are rejected and are of no force or effect.

Products are labeled with For Research Use Only or a similar labeling statement and have not been approved, cleared, or licensed by the FDA or other regulatory foreign or domestic entity, for any purpose. Customer shall not use any Product for any diagnostic or therapeutic purpose, or otherwise in any manner that conflicts with its labeling statement. Products sold or licensed by CST are provided for Customer as the end-user and solely for research and development uses. Any use of Product for diagnostic, prophylactic or therapeutic purposes, or any purchase of Product for resale (alone or as a component) or other commercial purpose, requires a separate license from CST. Customer shall (a) not sell, license, loan, donate or otherwise transfer or make available any Product to any third party, whether alone or in combination with other materials, or use the Products to manufacture any commercial products, (b) not copy, modify, reverse engineer, decompile, disassemble or otherwise attempt to discover the underlying structure or technology of the Products, or use the Products for the purpose of developing any products or services that would compete with CST products or services, (c) not alter or remove from the Products any trademarks, trade names, logos, patent or copyright notices or markings, (d) use the Products solely in accordance with CST Product Terms of Sale and any applicable documentation, and (e) comply with any license, terms of service or similar agreement with respect to any third party products or services used by Customer in connection with the Products.

Orders: 877-616-CELL (2355) [email protected] Support: 877-678-TECH (8324) [email protected] Web: cellsignal.com
For Research Use Only. Not for Use in Diagnostic Procedures.

Revision 7

Cell Signaling Technology Logo
Western blot analysis of extracts from RD and ACHN cells using COL3A1 (E8D7R) Rabbit Monoclonal Antibody (upper) and β-Actin (D6A8) Rabbit Monoclonal Antibody #8457 (lower). Differential expression of COL3A1 in RD and ACHN cell lines is consistent with molecular and proteomic expression profiling data, confirming the specificity of the antibody for COL3A1.
Western Blotting Image 1: COL3A1 (E8D7R) Rabbit Monoclonal Antibody
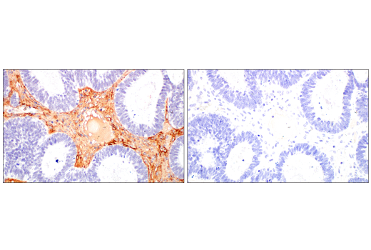
Immunohistochemical analysis of paraffin-embedded human endometrioid adenocarcinoma using COL3A1 (E8D7R) Rabbit Monoclonal Antibody (left) compared to concentration-matched Rabbit (DA1E) Monoclonal Antibody IgG Isotype Control #3900 (right).
Immunohistochemistry Image 1: COL3A1 (E8D7R) Rabbit Monoclonal Antibody
Immunohistochemical analysis of paraffin-embedded RD cell pellet (left, positive) or ACHN cell pellet (right, negative) using COL3A1 (E8D7R) Rabbit Monoclonal Antibody.
Immunohistochemistry Image 2: COL3A1 (E8D7R) Rabbit Monoclonal Antibody
Orders: 877-616-CELL (2355) [email protected] Support: 877-678-TECH (8324) [email protected] Web: cellsignal.com
For Research Use Only. Not for Use in Diagnostic Procedures.

Revision 7

Cell Signaling Technology Logo
Immunohistochemical analysis of paraffin-embedded human urothelial carcinoma using COL3A1 (E8D7R) Rabbit Monoclonal Antibody.
Immunohistochemistry Image 3: COL3A1 (E8D7R) Rabbit Monoclonal Antibody
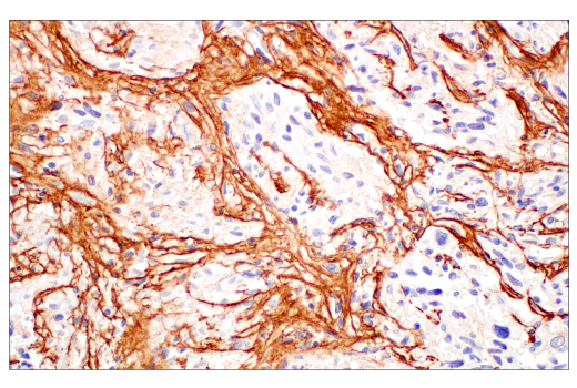
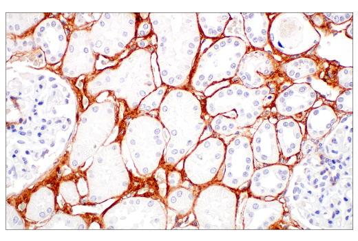
Immunohistochemical analysis of paraffin-embedded normal human kidney using COL3A1 (E8D7R) Rabbit Monoclonal Antibody.
Immunohistochemistry Image 4: COL3A1 (E8D7R) Rabbit Monoclonal Antibody
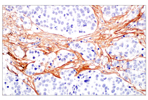
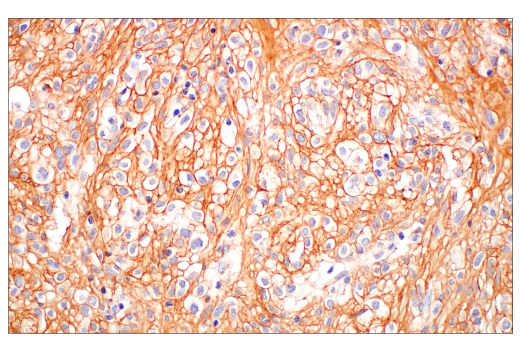
Immunohistochemical analysis of paraffin-embedded human colon adenocarcinoma using COL3A1 (E8D7R) Rabbit Monoclonal Antibody.
Immunohistochemistry Image 5: COL3A1 (E8D7R) Rabbit Monoclonal Antibody
Orders: 877-616-CELL (2355) [email protected] Support: 877-678-TECH (8324) [email protected] Web: cellsignal.com
For Research Use Only. Not for Use in Diagnostic Procedures.

Revision 7

Cell Signaling Technology Logo
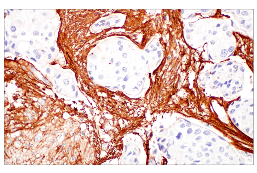
Immunohistochemical analysis of paraffin-embedded human large cell neuroendocrine lung carcinoma using COL3A1 (E8D7R) Rabbit Monoclonal Antibody.
Immunohistochemistry Image 6: COL3A1 (E8D7R) Rabbit Monoclonal Antibody
Immunohistochemical analysis of paraffin-embedded human lung sarcoma using COL3A1 (E8D7R) Rabbit Monoclonal Antibody.
Immunohistochemistry Image 7: COL3A1 (E8D7R) Rabbit Monoclonal Antibody
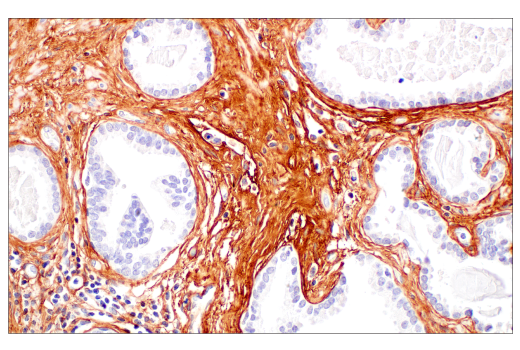
Immunohistochemical analysis of paraffin-embedded human prostate adenocarcinoma using COL3A1 (E8D7R) Rabbit Monoclonal Antibody.
Immunohistochemistry Image 8: COL3A1 (E8D7R) Rabbit Monoclonal Antibody
Orders: 877-616-CELL (2355) [email protected] Support: 877-678-TECH (8324) [email protected] Web: cellsignal.com
For Research Use Only. Not for Use in Diagnostic Procedures.

Revision 7

Cell Signaling Technology Logo
Immunohistochemical analysis of paraffin-embedded human gastrointestinal stromal tumor using COL3A1 (E8D7R) Rabbit Monoclonal Antibody.
Immunohistochemistry Image 9: COL3A1 (E8D7R) Rabbit Monoclonal Antibody
Confocal immunofluorescent analysis of RD cells (left, positive) and ACHN cells (right, negative) using COL3A1 (E8D7R) Rabbit Monoclonal Antibody (green), DyLight 554 Phalloidin #13054 (red), and DAPI #4083 (blue).
Immunofluorescence Image 1: COL3A1 (E8D7R) Rabbit Monoclonal Antibody
Orders: 877-616-CELL (2355) [email protected] Support: 877-678-TECH (8324) [email protected] Web: cellsignal.com
For Research Use Only. Not for Use in Diagnostic Procedures.