Revision 1

#24902

Store at -20C

CST Logo
Orders:

877-616-CELL (2355)

[email protected]

Support:

877-678-TECH (8324)

3 Trask Lane | Danvers | Massachusetts | 01923 | USA

For Research Use Only. Not for Use in Diagnostic Procedures.

Applications:
IHC-P

Reactivity:
H

Sensitivity:
Endogenous

Source/Isotype:
Rabbit IgG

UniProt ID:
#P02462

Entrez-Gene Id:
1282

Product Usage Information

This product is the carrier free version of product #18880. All data were generated using the same antibody clone in the standard formulation which contains BSA and glycerol.

This formulation is ideal for use with technologies requiring specialized or custom antibody labeling, including fluorophores, metals, lanthanides, and oligonucleotides. It is not recommended for ChIP, ChIP-seq, CUT&RUN or CUT&Tag assays. If you require a carrier free formulation for chromatin profiling, please contact us. Optimal dilutions/concentrations should be determined by the end user.

BSA and Azide Free antibodies are quality control tested by size exclusion chromatography (SEC) to determine antibody integrity.

Formulation

Supplied in 1X PBS (10 mM Na2HPO4, 3 mM KCl, 2 mM KH2PO4, and 140 mM NaCl (pH 7.8)). BSA and Azide Free.

For standard formulation of this product see product #18880

Storage

Store at -20°C. This product will freeze at -20°C so it is recommended to aliquot into single-use vials to avoid multiple freeze/thaw cycles. A slight precipitate may be present and can be dissolved by gently vortexing. This will not interfere with antibody performance.

Specificity/Sensitivity

COL4A1 (E5M6R) Rabbit Monoclonal Antibody (BSA and Azide Free) recognizes endogenous levels of total COL4A1 protein. Non-specific diffuse cytoplasmic staining was observed in skeletal myocytes by immunohistochemistry.

Source / Purification

Monoclonal antibody is produced by immunizing animals with a synthetic peptide corresponding to residues surrounding Asp536 of human COL4A1 protein.

Background

Type IV collagens support extracellular matrix (ECM) function by forming a cross-linking network in the basement membrane zone. There are six different type IV collagens that are encoded by the following genes: COL4A1, COL4A2, COL4A3, COL4A4, COL4A5, and COL4A6. Among them, COL4A1 and COL4A2 are the most common collagens found in the basement membrane, and are usually used as a marker of the basement membrane dynamic stability (1). The type IV collagen fiber exists as a trimeric complex composed of two molecules of COL4A1 and one molecule of COL4A2. The N-terminal 7S domains of the protein function on intermolecular cross-linking, and C-terminal non-collagenous domains (NCI) are responsible for heterotrimer assembly. The trimeric fiber further associates to form a cross-linked sheet structure by NCI/NCI and 7S/7S interaction (2). COL4A1 plays a critical role in maintaining basement membrane integrity for normal tissue functions. Genetic mutations of COL4A1 and COL4A2 have been linked to cardiovascular disease, cerebral small vessel disease, and glomerulocystic kidney disease (3-5).

Species Reactivity

Species reactivity is determined by testing in at least one approved application (e.g., western blot).

Applications Key

IHC-P: Immunohistochemistry (Paraffin)

Cross-Reactivity Key

H: Human

Trademarks and Patents

Cell Signaling Technology is a trademark of Cell Signaling Technology, Inc.

All other trademarks are the property of their respective owners. Visit cellsignal.com/trademarks for more information.

Limited Uses

Except as otherwise expressly agreed in a writing signed by a legally authorized representative of CST, the following terms apply to Products provided by CST, its affiliates or its distributors. Any Customer's terms and conditions that are in addition to, or different from, those contained herein, unless separately accepted in writing by a legally authorized representative of CST, are rejected and are of no force or effect.

Products are labeled with For Research Use Only or a similar labeling statement and have not been approved, cleared, or licensed by the FDA or other regulatory foreign or domestic entity, for any purpose. Customer shall not use any Product for any diagnostic or therapeutic purpose, or otherwise in any manner that conflicts with its labeling statement. Products sold or licensed by CST are provided for Customer as the end-user and solely for research and development uses. Any use of Product for diagnostic, prophylactic or therapeutic purposes, or any purchase of Product for resale (alone or as a component) or other commercial purpose, requires a separate license from CST. Customer shall (a) not sell, license, loan, donate or otherwise transfer or make available any Product to any third party, whether alone or in combination with other materials, or use the Products to manufacture any commercial products, (b) not copy, modify, reverse engineer, decompile, disassemble or otherwise attempt to discover the underlying structure or technology of the Products, or use the Products for the purpose of developing any products or services that would compete with CST products or services, (c) not alter or remove from the Products any trademarks, trade names, logos, patent or copyright notices or markings, (d) use the Products solely in accordance with CST Product Terms of Sale and any applicable documentation, and (e) comply with any license, terms of service or similar agreement with respect to any third party products or services used by Customer in connection with the Products.

Orders: 877-616-CELL (2355) [email protected] Support: 877-678-TECH (8324) [email protected] Web: cellsignal.com
For Research Use Only. Not for Use in Diagnostic Procedures.

Revision 1

Cell Signaling Technology Logo
Immunohistochemical analysis of paraffin-embedded human hepatocellular carcinoma using COL4A1 (E5M6R) Rabbit mAb. Data were generated using the standard formulation of this product.
Immunohistochemistry Image 1: COL4A1 (E5M6R) Rabbit Monoclonal Antibody (BSA and Azide Free)
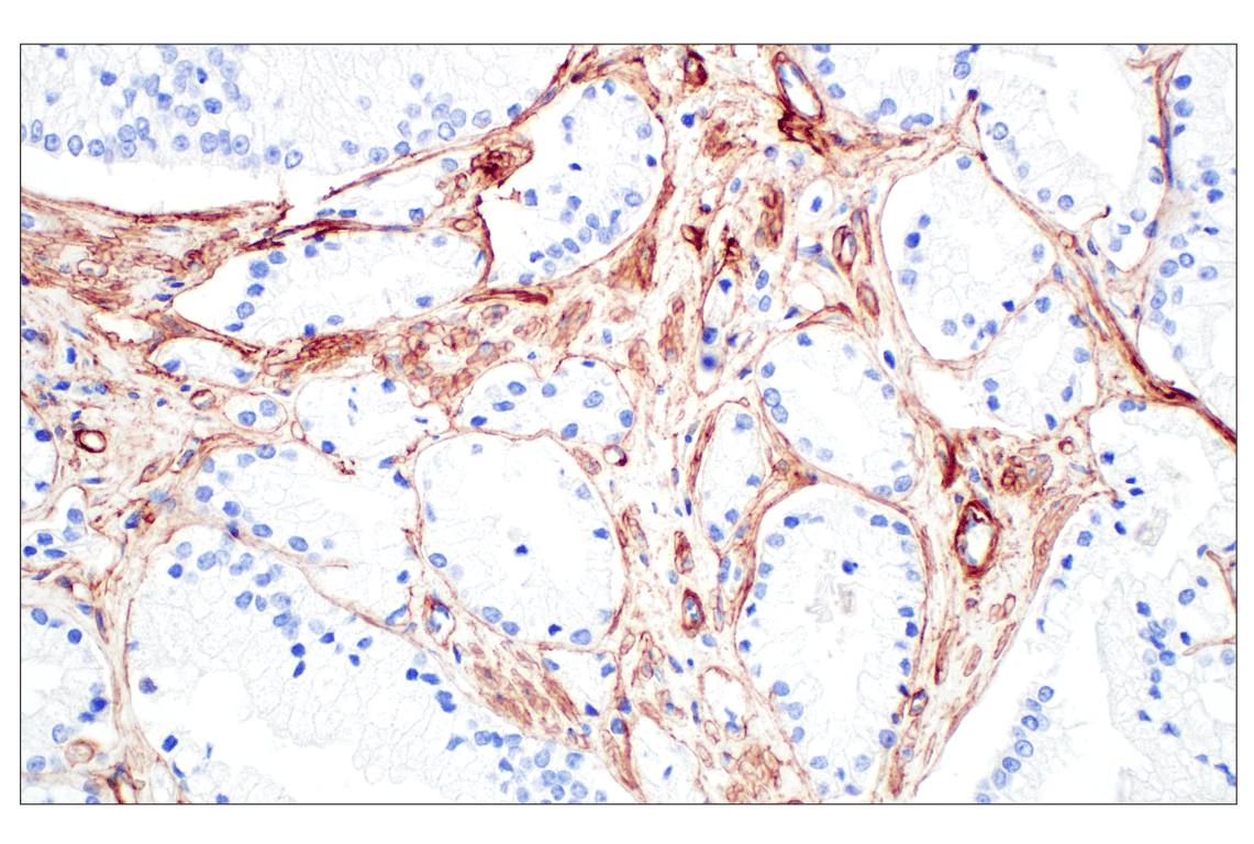
Immunohistochemical analysis of paraffin-embedded human prostate adenocarcinoma using COL4A1 (E5M6R) Rabbit mAb. Data were generated using the standard formulation of this product.
Immunohistochemistry Image 2: COL4A1 (E5M6R) Rabbit Monoclonal Antibody (BSA and Azide Free)
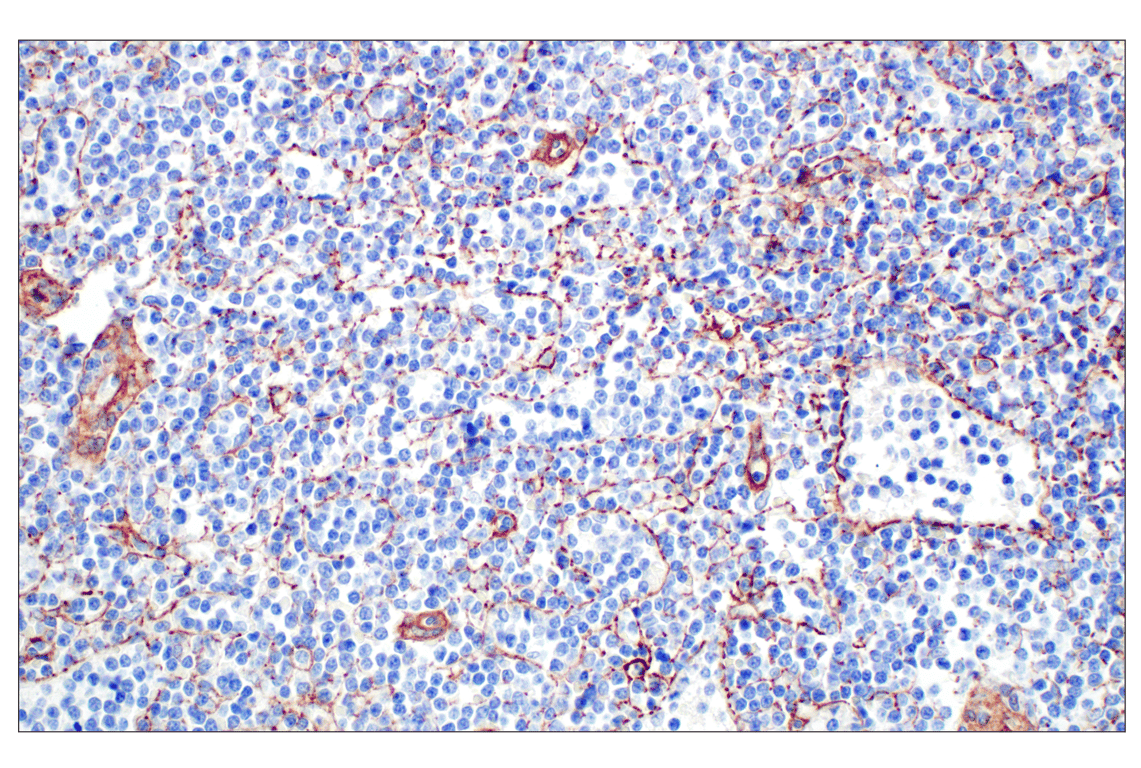
Immunohistochemical analysis of paraffin-embedded human B-cell non-Hodgkin lymphoma using COL4A1 (E5M6R) Rabbit mAb. Data were generated using the standard formulation of this product.
Immunohistochemistry Image 3: COL4A1 (E5M6R) Rabbit Monoclonal Antibody (BSA and Azide Free)
Orders: 877-616-CELL (2355) [email protected] Support: 877-678-TECH (8324) [email protected] Web: cellsignal.com
For Research Use Only. Not for Use in Diagnostic Procedures.

Revision 1

Cell Signaling Technology Logo
Immunohistochemical analysis of paraffin-embedded human thymoma using COL4A1 (E5M6R) Rabbit mAb. Data were generated using the standard formulation of this product.
Immunohistochemistry Image 4: COL4A1 (E5M6R) Rabbit Monoclonal Antibody (BSA and Azide Free)
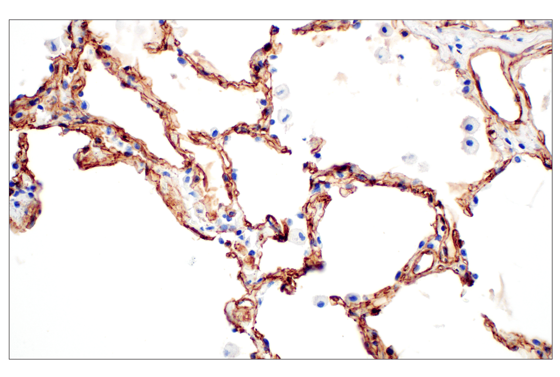
Immunohistochemical analysis of paraffin-embedded normal human lung using COL4A1 (E5M6R) Rabbit mAb. Data were generated using the standard formulation of this product.
Immunohistochemistry Image 5: COL4A1 (E5M6R) Rabbit Monoclonal Antibody (BSA and Azide Free)
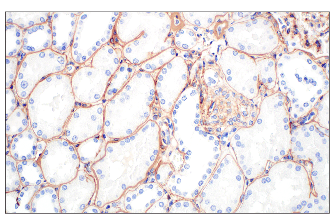
Immunohistochemical analysis of paraffin-embedded normal human kidney using COL4A1 (E5M6R) Rabbit mAb. Data were generated using the standard formulation of this product.
Immunohistochemistry Image 6: COL4A1 (E5M6R) Rabbit Monoclonal Antibody (BSA and Azide Free)
Orders: 877-616-CELL (2355) [email protected] Support: 877-678-TECH (8324) [email protected] Web: cellsignal.com
For Research Use Only. Not for Use in Diagnostic Procedures.

Revision 1

Cell Signaling Technology Logo
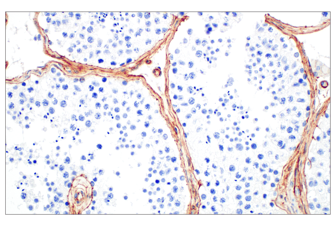
Immunohistochemical analysis of paraffin-embedded normal human testis using COL4A1 (E5M6R) Rabbit mAb. Data were generated using the standard formulation of this product.
Immunohistochemistry Image 7: COL4A1 (E5M6R) Rabbit Monoclonal Antibody (BSA and Azide Free)
Immunohistochemical analysis of paraffin-embedded human prostate adenocarcinoma using COL4A1 (E5M6R) Rabbit mAb (left) compared to concentration-matched Rabbit (DA1E) mAb IgG XP® Isotype Control #3900 (right). Data were generated using the standard formulation of this product.
Immunohistochemistry Image 8: COL4A1 (E5M6R) Rabbit Monoclonal Antibody (BSA and Azide Free)
Immunohistochemical analysis of paraffin-embedded OVCAR-4 cell pellet (left, positive) or HCT 116 cell pellet (right, negative) using COL4A1 (E5M6R) Rabbit mAb. Data were generated using the standard formulation of this product.
Immunohistochemistry Image 9: COL4A1 (E5M6R) Rabbit Monoclonal Antibody (BSA and Azide Free)
Orders: 877-616-CELL (2355) [email protected] Support: 877-678-TECH (8324) [email protected] Web: cellsignal.com
For Research Use Only. Not for Use in Diagnostic Procedures.