Revision 4

#86903

Store at -20C

CST Logo
Orders:

877-616-CELL (2355)

[email protected]

Support:

877-678-TECH (8324)

3 Trask Lane | Danvers | Massachusetts | 01923 | USA

For Research Use Only. Not for Use in Diagnostic Procedures.

Applications:
W, IP, IHC-Bond, IHC-P, IF-IC

Reactivity:
H

Sensitivity:
Endogenous

MW (kDa):
250

Source/Isotype:
Rabbit IgG

UniProt ID:
#P20908

Entrez-Gene Id:
1289

Product Usage Information

Application Dilution
Western Blotting 1:1000
Immunoprecipitation 1:100
IHC Leica Bond 1:50 - 1:200
Immunohistochemistry (Paraffin) 1:50 - 1:200
Immunofluorescence (Immunocytochemistry) 1:200 - 1:800

Storage

Supplied in 10 mM sodium HEPES (pH 7.5), 150 mM NaCl, 100 µg/ml BSA, 50% glycerol and less than 0.02% sodium azide. Store at –20°C. Do not aliquot the antibody.

For a carrier free (BSA and azide free) version of this product see product #80085.

Specificity/Sensitivity

COL5A1 (E6U9W) Rabbit Monoclonal Antibody recognizes endogenous levels of total COL5A1 protein. Nonspecific staining was observed in skeletal muscle by immunohistochemistry.

Source / Purification

Monoclonal antibody is produced by immunizing animals with a synthetic peptide corresponding to residues surrounding Pro364 of human COL5A1 protein.

Background

The Extracellular Matrix (ECM) is a complex network of macromolecules that provides structural tissue support to cells in the basement membrane and interstitial matrix. It is composed of many molecules including proteins, glycoproteins, proteoglycans, and polysaccharides (1,2). One of the major proteins that comprises the ECM, and the human body, is collagen. Collagens are a large family of proteins. They are trimeric molecules comprised of three alpha polypeptide chains that form a triple helix structure that is characteristic of all collagens (3). The large family of collagens is divided into three subgroups: the fibrillar collagens, the non-fibril forming collagens, and the fibril-associated collagens. These sub groups differ in their structure and supramolecular assembly (3). COL5A1 is a minor fibrillar collagen expressed broadly across tissues. It participates in bone and cartilage development, and defects in the COL5A1 gene leads to Ehlers-Danlos Syndrome, a condition that affects the integrity of bones, cartilage, and skin (4,5). Several proteomics, gene profiling, and biochemical studies have indicated that aberrant COL5A1 may play a malignant role in various types of cancer including breast, renal, colon, prostate, lung, and others (6-10).

Species Reactivity

Species reactivity is determined by testing in at least one approved application (e.g., western blot).

Western Blot Buffer

IMPORTANT: For western blots, incubate membrane with diluted primary antibody in 5% w/v BSA, 1X TBS, 0.1% Tween® 20 at 4°C with gentle shaking, overnight.

Applications Key

W: Western Blotting IP: Immunoprecipitation IHC-Bond: IHC Leica Bond IHC-P: Immunohistochemistry (Paraffin) IF-IC: Immunofluorescence (Immunocytochemistry)

Cross-Reactivity Key

H: Human

Trademarks and Patents

Cell Signaling Technology is a trademark of Cell Signaling Technology, Inc.

Alexa Fluor is a registered trademark of Life Technologies Corporation.

All other trademarks are the property of their respective owners. Visit cellsignal.com/trademarks for more information.

Limited Uses

Except as otherwise expressly agreed in a writing signed by a legally authorized representative of CST, the following terms apply to Products provided by CST, its affiliates or its distributors. Any Customer's terms and conditions that are in addition to, or different from, those contained herein, unless separately accepted in writing by a legally authorized representative of CST, are rejected and are of no force or effect.

Products are labeled with For Research Use Only or a similar labeling statement and have not been approved, cleared, or licensed by the FDA or other regulatory foreign or domestic entity, for any purpose. Customer shall not use any Product for any diagnostic or therapeutic purpose, or otherwise in any manner that conflicts with its labeling statement. Products sold or licensed by CST are provided for Customer as the end-user and solely for research and development uses. Any use of Product for diagnostic, prophylactic or therapeutic purposes, or any purchase of Product for resale (alone or as a component) or other commercial purpose, requires a separate license from CST. Customer shall (a) not sell, license, loan, donate or otherwise transfer or make available any Product to any third party, whether alone or in combination with other materials, or use the Products to manufacture any commercial products, (b) not copy, modify, reverse engineer, decompile, disassemble or otherwise attempt to discover the underlying structure or technology of the Products, or use the Products for the purpose of developing any products or services that would compete with CST products or services, (c) not alter or remove from the Products any trademarks, trade names, logos, patent or copyright notices or markings, (d) use the Products solely in accordance with CST Product Terms of Sale and any applicable documentation, and (e) comply with any license, terms of service or similar agreement with respect to any third party products or services used by Customer in connection with the Products.

Orders: 877-616-CELL (2355) [email protected] Support: 877-678-TECH (8324) [email protected] Web: cellsignal.com
For Research Use Only. Not for Use in Diagnostic Procedures.

Revision 4

Cell Signaling Technology Logo
Western blot analysis of extracts from Saos-2 and SK-N-SH cells using COL5A1 (E6U9W) Rabbit mAb (upper) and β-Actin (D6A8) Rabbit mAb #8457 (lower). The differential in COL5A1 expression between Saos-2 and SK-N-SH cells is consistent with their reported molecular expression profiles (www.biogps.org), confirming specificity of the antibody for COL5A1.
Western Blotting Image 1: COL5A1 (E6U9W) Rabbit Monoclonal Antibody
Immunoprecipitation of COL5A1 protein from SF-539 cell extracts. Lane 1 is 10% input, lane 2 is Rabbit (DA1E) mAb IgG XP® Isotype Control #3900, and lane 3 is COL5A1 (E6U9W) Rabbit mAb. Western blot analysis was performed using COL5A1 (E6U9W) Rabbit mAb. Anti-rabbit IgG, HRP-linked Antibody #7074 was used as the secondary antibody.
Immunoprecipitation Image 1: COL5A1 (E6U9W) Rabbit Monoclonal Antibody
Immunohistochemical analysis of paraffin-embedded human esophageal carcinoma using COL5A1 (E6U9W) Rabbit mAb performed on the Leica® BOND™ Rx.
Immunohistochemistry Image 1: COL5A1 (E6U9W) Rabbit Monoclonal Antibody
Orders: 877-616-CELL (2355) [email protected] Support: 877-678-TECH (8324) [email protected] Web: cellsignal.com
For Research Use Only. Not for Use in Diagnostic Procedures.

Revision 4

Cell Signaling Technology Logo
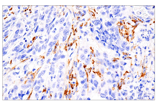
Immunohistochemical analysis of paraffin-embedded human breast carcinoma using COL5A1 (E6U9W) Rabbit mAb performed on the Leica® BOND™ Rx.
Immunohistochemistry Image 2: COL5A1 (E6U9W) Rabbit Monoclonal Antibody
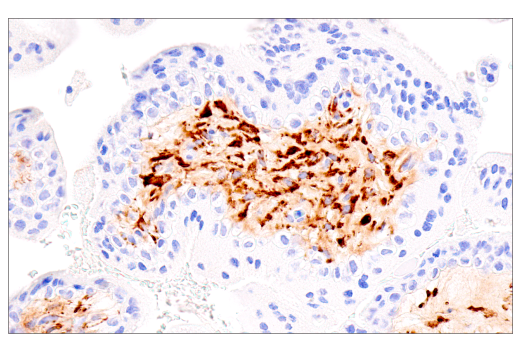
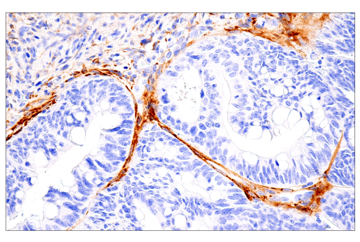
Immunohistochemical analysis of paraffin-embedded human colon carcinoma using COL5A1 (E6U9W) Rabbit mAb performed on the Leica® BOND™ Rx.
Immunohistochemistry Image 3: COL5A1 (E6U9W) Rabbit Monoclonal Antibody
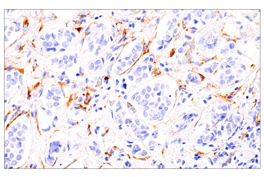
Immunohistochemical analysis of paraffin-embedded human ovarian adenocarcinoma using COL5A1 (E6U9W) Rabbit mAb performed on the Leica® BOND™ Rx.
Immunohistochemistry Image 4: COL5A1 (E6U9W) Rabbit Monoclonal Antibody
Orders: 877-616-CELL (2355) [email protected] Support: 877-678-TECH (8324) [email protected] Web: cellsignal.com
For Research Use Only. Not for Use in Diagnostic Procedures.

Revision 4

Cell Signaling Technology Logo
Immunohistochemical analysis of paraffin-embedded human endometrioid adenocarcinoma using COL5A1 (E6U9W) Rabbit mAb.
Immunohistochemistry Image 5: COL5A1 (E6U9W) Rabbit Monoclonal Antibody
Immunohistochemical analysis of paraffin-embedded normal human placenta using COL5A1 (E6U9W) Rabbit mAb.
Immunohistochemistry Image 1: COL5A1 (E6U9W) Rabbit Monoclonal Antibody
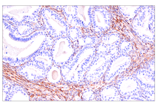
Immunohistochemical analysis of paraffin-embedded normal human colon using COL5A1 (E6U9W) Rabbit mAb.
Immunohistochemistry Image 2: COL5A1 (E6U9W) Rabbit Monoclonal Antibody
Orders: 877-616-CELL (2355) [email protected] Support: 877-678-TECH (8324) [email protected] Web: cellsignal.com
For Research Use Only. Not for Use in Diagnostic Procedures.

Revision 4

Cell Signaling Technology Logo
Immunohistochemical analysis of paraffin-embedded human neuroendocrine lung carcinoma using COL5A1 (E6U9W) Rabbit mAb (left) compared to concentration-matched Rabbit (DA1E) mAb IgG XP® Isotype Control #3900 (right). 
Immunohistochemistry Image 3: COL5A1 (E6U9W) Rabbit Monoclonal Antibody
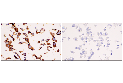
Immunohistochemical analysis of paraffin-embedded SF-539 cell pellet (left, positive) or ACHN cell pellet (right, negative) using COL5A1 (E6U9W) Rabbit mAb.
Immunohistochemistry Image 4: COL5A1 (E6U9W) Rabbit Monoclonal Antibody
Confocal immunofluorescent analysis of U-118 MG cells (left, positive), RD cells (center, positive) or OVCAR-5 cells (right, negative) using COL5A1 (E6U9W) Rabbit mAb (green), S6 Ribosomal Protein (54D2) Mouse mAb (Alexa Fluor® 647 Conjugate) #5548 (red), and DAPI #4083 (blue).
Immunofluorescence Image 1: COL5A1 (E6U9W) Rabbit Monoclonal Antibody
Orders: 877-616-CELL (2355) [email protected] Support: 877-678-TECH (8324) [email protected] Web: cellsignal.com
For Research Use Only. Not for Use in Diagnostic Procedures.

Revision 4

Cell Signaling Technology Logo
Confocal immunofluorescent analysis of SF539 cells (left, positive) or ACHN cells (right, negative) using COL5A1 (E6U9W) Rabbit mAb (green), S6 Ribosomal Protein (54D2) Mouse mAb (Alexa Fluor® 647 Conjugate) #5548 (red), and DAPI #4083 (blue).
Immunofluorescence Image 2: COL5A1 (E6U9W) Rabbit Monoclonal Antibody
Orders: 877-616-CELL (2355) [email protected] Support: 877-678-TECH (8324) [email protected] Web: cellsignal.com
For Research Use Only. Not for Use in Diagnostic Procedures.