Revision 3

#52395

Store at -20C

CST Logo
Orders:

877-616-CELL (2355)

[email protected]

Support:

877-678-TECH (8324)

3 Trask Lane | Danvers | Massachusetts | 01923 | USA

For Research Use Only. Not for Use in Diagnostic Procedures.

Applications:
W, IHC-P, IF-F

Reactivity:
H M R

Sensitivity:
Endogenous

MW (kDa):
130

Source/Isotype:
Rabbit IgG

UniProt ID:
#P12109

Entrez-Gene Id:
1291

Product Usage Information

Application Dilution
Western Blotting 1:1000
Immunohistochemistry (Paraffin) 1:50 - 1:200
Immunofluorescence (Frozen) 1:400 - 1:1600

Storage

Supplied in 10 mM sodium HEPES (pH 7.5), 150 mM NaCl, 100 µg/mL BSA, 50% glycerol, and less than 0.02% sodium azide. Store at –20°C. Do not aliquot the antibody.

For a carrier free (BSA and azide free) version of this product see product #66606.

Specificity/Sensitivity

COL6A1 (E9U3B) Rabbit Monoclonal Antibody recognizes endogenous levels of total COL6A1 protein. This antibody is not recommended for immunohistochemical analysis of mouse tissues. Reactivity for immunofluorescence is mouse only.

Source / Purification

Monoclonal antibody is produced by immunizing animals with a synthetic peptide corresponding to residues surrounding His1018 of human COL6A1 protein.

Background

Collagen type VI (ColVI) is a microfibrillar collagen found in the extracellular matrix (ECM) of muscles, bone, and connective tissues (1). ColVI consists of three main alpha chains: alpha 1, alpha 2, and alpha 3, which are encoded by the COL6A1, COL6A2, and COL6A3 genes, respectively. The three alpha chains form triple helix monomers and tetramers, which further assemble into a beaded microfilament network structure in the ECM (1,2). ColVI interacts with other ECM components, such as collagens, fibronectins, and perlecan, to support ECM mechanical sensing, anchoring the basement membrane to the surrounding ECM and inhibiting apoptosis and oxidative damage (3,4). Mutations in each of the ColVI genes (COL6A1, COL6A2, and COL6A3) result in defective ColVI assembly, causing Ullrich congenital muscular dystrophy (CMD) and Bethlem myopathy due to malformation of ECM structure (5,6). Knockout of COL6A1 in mice displays a mild myopathy and neurodegeneration associated with mitochondrial dysfunction, defective autophagy, and spontaneous apoptosis of muscle fibers (7,8). Increased COL6A1 in the ECM promotes tumor growth, metastasis, and therapeutic drug resistance (9-11).

Species Reactivity

Species reactivity is determined by testing in at least one approved application (e.g., western blot).

Western Blot Buffer

IMPORTANT: For western blots, incubate membrane with diluted primary antibody in 5% w/v BSA, 1X TBS, 0.1% Tween® 20 at 4°C with gentle shaking, overnight.

Applications Key

W: Western Blotting IHC-P: Immunohistochemistry (Paraffin) IF-F: Immunofluorescence (Frozen)

Cross-Reactivity Key

H: Human M: Mouse R: Rat

Trademarks and Patents

Cell Signaling Technology is a trademark of Cell Signaling Technology, Inc.

All other trademarks are the property of their respective owners. Visit cellsignal.com/trademarks for more information.

Limited Uses

Except as otherwise expressly agreed in a writing signed by a legally authorized representative of CST, the following terms apply to Products provided by CST, its affiliates or its distributors. Any Customer's terms and conditions that are in addition to, or different from, those contained herein, unless separately accepted in writing by a legally authorized representative of CST, are rejected and are of no force or effect.

Products are labeled with For Research Use Only or a similar labeling statement and have not been approved, cleared, or licensed by the FDA or other regulatory foreign or domestic entity, for any purpose. Customer shall not use any Product for any diagnostic or therapeutic purpose, or otherwise in any manner that conflicts with its labeling statement. Products sold or licensed by CST are provided for Customer as the end-user and solely for research and development uses. Any use of Product for diagnostic, prophylactic or therapeutic purposes, or any purchase of Product for resale (alone or as a component) or other commercial purpose, requires a separate license from CST. Customer shall (a) not sell, license, loan, donate or otherwise transfer or make available any Product to any third party, whether alone or in combination with other materials, or use the Products to manufacture any commercial products, (b) not copy, modify, reverse engineer, decompile, disassemble or otherwise attempt to discover the underlying structure or technology of the Products, or use the Products for the purpose of developing any products or services that would compete with CST products or services, (c) not alter or remove from the Products any trademarks, trade names, logos, patent or copyright notices or markings, (d) use the Products solely in accordance with CST Product Terms of Sale and any applicable documentation, and (e) comply with any license, terms of service or similar agreement with respect to any third party products or services used by Customer in connection with the Products.

Orders: 877-616-CELL (2355) [email protected] Support: 877-678-TECH (8324) [email protected] Web: cellsignal.com
For Research Use Only. Not for Use in Diagnostic Procedures.

Revision 3

Cell Signaling Technology Logo
Western blot analysis of extracts from various cell lines using COL6A1 (E9U3B) Rabbit mAb (upper) or GAPDH (D16H11) XP® Rabbit mAb #5174 (lower). Negative expression of COL6A1 protein in HCT-15 and HT-29 cells is consistent with the predicted expression pattern.
Western Blotting Image 1: COL6A1 (E9U3B) Rabbit Monoclonal Antibody
Immunohistochemical analysis of paraffin-embedded human esophageal adenocarcinoma using COL6A1 (E9U3B) Rabbit mAb.
Immunohistochemistry Image 1: COL6A1 (E9U3B) Rabbit Monoclonal Antibody
Immunohistochemical analysis of paraffin-embedded normal human salivary gland using COL6A1 (E9U3B) Rabbit mAb.
Immunohistochemistry Image 2: COL6A1 (E9U3B) Rabbit Monoclonal Antibody
Orders: 877-616-CELL (2355) [email protected] Support: 877-678-TECH (8324) [email protected] Web: cellsignal.com
For Research Use Only. Not for Use in Diagnostic Procedures.

Revision 3

Cell Signaling Technology Logo
Immunohistochemical analysis of paraffin-embedded normal human esophagus using COL6A1 (E9U3B) Rabbit mAb.
Immunohistochemistry Image 3: COL6A1 (E9U3B) Rabbit Monoclonal Antibody
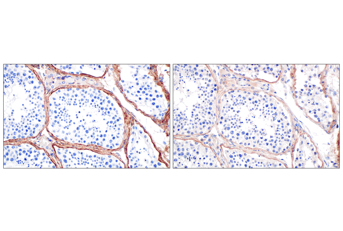
Immunohistochemical analysis of paraffin-embedded normal human testis using COL6A1 (E9U3B) Rabbit mAb (left) or a COL6A1 Rabbit mAb (right). These two antibodies detect unique, non-overlapping epitopes on human COL6A1. The similar staining patterns obtained with both antibodies help to confirm the specificity of the staining.
Immunohistochemistry Image 4: COL6A1 (E9U3B) Rabbit Monoclonal Antibody
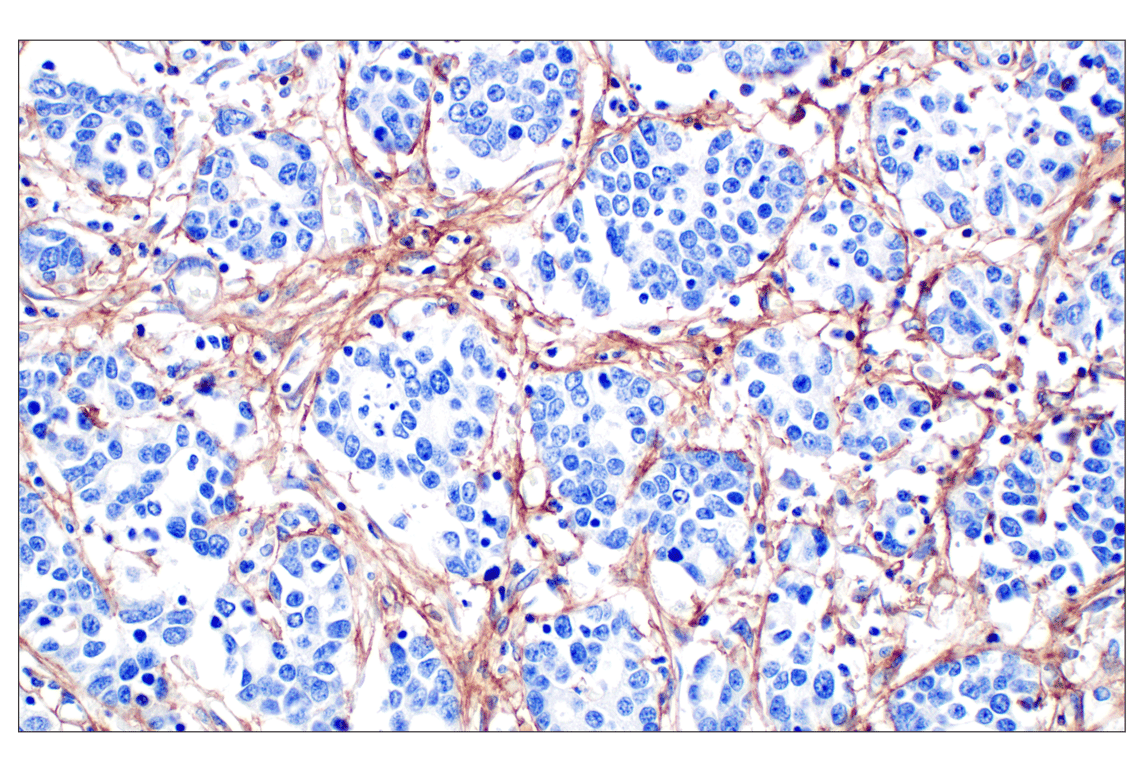
Immunohistochemical analysis of paraffin-embedded human prostate adenocarcinoma using COL6A1 (E9U3B) Rabbit mAb (left) compared to concentration-matched Rabbit (DA1E) mAb IgG XP® Isotype Control #3900 (right).
Immunohistochemistry Image 5: COL6A1 (E9U3B) Rabbit Monoclonal Antibody
Orders: 877-616-CELL (2355) [email protected] Support: 877-678-TECH (8324) [email protected] Web: cellsignal.com
For Research Use Only. Not for Use in Diagnostic Procedures.

Revision 3

Cell Signaling Technology Logo
Immunohistochemical analysis of paraffin-embedded PC-3 cell pellet (left, positive) or HT-29 cell pellet (right, negative) using COL6A1 (E9U3B) Rabbit mAb.
Immunohistochemistry Image 6: COL6A1 (E9U3B) Rabbit Monoclonal Antibody
Confocal immunofluorescent analysis of fixed frozen mouse spleen labeled with COL6A1 (E9U3B) Rabbit mAb (green). Free secondary binding sites were then blocked with Rabbit (DA1E) mAb IgG XP® Isotype Control #3900 prior to co-labeling with CD45 (D3F8Q) Rabbit mAb (Alexa Fluor® 555 Conjugate) #19581 (red).
Immunofluorescence Image 1: COL6A1 (E9U3B) Rabbit Monoclonal Antibody
Confocal immunofluorescent analysis of fixed frozen mouse kidney, labeled with COL6A1 (E9U3B) Rabbit mAb (left, green). Free secondary binding sites were then blocked with Rabbit (DA1E) mAb IgG XP® Isotype Control #3900 prior to co-labeling with AQP4 (D1F8E) XP® Rabbit mAb (Alexa Fluor® 647 Conjugate) #89851 (right, red). Sections were mounted in ProLong Gold Antifade Reagent with DAPI #8961 (right, blue).
Immunofluorescence Image 2: COL6A1 (E9U3B) Rabbit Monoclonal Antibody
Orders: 877-616-CELL (2355) [email protected] Support: 877-678-TECH (8324) [email protected] Web: cellsignal.com
For Research Use Only. Not for Use in Diagnostic Procedures.

Revision 3

Cell Signaling Technology Logo
Confocal immunofluorescent analysis of fixed frozen mouse small intestine, labeled with COL6A1 (E9U3B) Rabbit mAb (left, green). Free secondary binding sites were then blocked with Rabbit (DA1E) mAb IgG XP® Isotype Control #3900 prior to co-labeling with CD45 (D3F8Q) Rabbit mAb (Alexa Fluor® 555 Conjugate) #19581 (right, red). Sections were mounted in ProLong Gold Antifade Reagent with DAPI #8961 (right, blue).
Immunofluorescence Image 3: COL6A1 (E9U3B) Rabbit Monoclonal Antibody
Orders: 877-616-CELL (2355) [email protected] Support: 877-678-TECH (8324) [email protected] Web: cellsignal.com
For Research Use Only. Not for Use in Diagnostic Procedures.