Revision 4

#73315

Store at -20C

CST Logo
Orders:

877-616-CELL (2355)

[email protected]

Support:

877-678-TECH (8324)

3 Trask Lane | Danvers | Massachusetts | 01923 | USA

For Research Use Only. Not for Use in Diagnostic Procedures.

Applications:
W, IHC-P, IF-IC, FC-FP, ELISA

Reactivity:
H M R

Sensitivity:
Endogenous

MW (kDa):
74

Source/Isotype:
Rabbit IgG

UniProt ID:
#P35354

Entrez-Gene Id:
5743

Product Usage Information

This product is the carrier free version of product #12282. All data were generated using the same antibody clone in the standard formulation which contains BSA and glycerol.

This formulation is ideal for use with technologies requiring specialized or custom antibody labeling, including fluorophores, metals, lanthanides, and oligonucleotides. It is not recommended for ChIP, ChIP-seq, CUT&RUN or CUT&Tag assays. If you require a carrier free formulation for chromatin profiling, please contact us. Optimal dilutions/concentrations should be determined by the end user.

BSA and Azide Free antibodies are quality control tested by size exclusion chromatography (SEC) to determine antibody integrity.

Formulation

Supplied in 1X PBS (10 mM Na2HPO4, 3 mM KCl, 2 mM KH2PO4, and 140 mM NaCl (pH 7.8)). BSA and Azide Free.

For standard formulation of this product see product #12282

Storage

Store at -20°C. This product will freeze at -20°C so it is recommended to aliquot into single-use vials to avoid multiple freeze/thaw cycles. A slight precipitate may be present and can be dissolved by gently vortexing. This will not interfere with antibody performance.

Specificity/Sensitivity

Cox2 (D5H5) Rabbit Monoclonal Antibody (BSA and Azide Free) recognizes endogenous levels of total Cox2 protein. Species cross-reactivity for IF-IC is mouse and rat only. Non-specific labeling of centrioles may be observed by immunofluorescence in human cells.

Source / Purification

Monoclonal antibody is produced by immunizing animals with a synthetic peptide corresponding to residues surrounding His108 of human Cox2 protein.

Background

Cyclooxygenase1 (Cox1) and cyclooxygenase2 (Cox2), family members with 60% homology in humans, catalyze prostaglandin production from arachidonic acid (1,2). While Cox1 expression is constitutive in most tissues, Cox2 expression is induced by lipopolysaccharide (LPS) and peptidoglycan (PGN) (3). PGN activates Ras, leading to phosphorylation of Raf at Ser338 and Erk1/2 at Tyr204. The activation of MAP kinase signaling results in subsequent activation of IKKα/β, phosphorylation of IκBα at Ser32/36, and NF-κB activation. Finally, activation of the transcription factor NF-κB is responsible for the induction of Cox2 expression (4). Investigators have shown that LPS and PGN induce the clinical manifestations of arthritis and bacterial infections, such as inflammation, fever, and septic shock (5). Research studies have indicated that Cox1 and Cox2 may also play a role in the neuropathology of Alzheimer's disease by potentiating γ-secretase activity and β-amyloid generation (6).

Species Reactivity

Species reactivity is determined by testing in at least one approved application (e.g., western blot).

Applications Key

W: Western Blotting IHC-P: Immunohistochemistry (Paraffin) IF-IC: Immunofluorescence (Immunocytochemistry) FC-FP: Flow Cytometry (Fixed/Permeabilized) ELISA: ELISA

Cross-Reactivity Key

H: Human M: Mouse R: Rat

Trademarks and Patents

Cell Signaling Technology is a trademark of Cell Signaling Technology, Inc.

All other trademarks are the property of their respective owners. Visit cellsignal.com/trademarks for more information.

Limited Uses

Except as otherwise expressly agreed in a writing signed by a legally authorized representative of CST, the following terms apply to Products provided by CST, its affiliates or its distributors. Any Customer's terms and conditions that are in addition to, or different from, those contained herein, unless separately accepted in writing by a legally authorized representative of CST, are rejected and are of no force or effect.

Products are labeled with For Research Use Only or a similar labeling statement and have not been approved, cleared, or licensed by the FDA or other regulatory foreign or domestic entity, for any purpose. Customer shall not use any Product for any diagnostic or therapeutic purpose, or otherwise in any manner that conflicts with its labeling statement. Products sold or licensed by CST are provided for Customer as the end-user and solely for research and development uses. Any use of Product for diagnostic, prophylactic or therapeutic purposes, or any purchase of Product for resale (alone or as a component) or other commercial purpose, requires a separate license from CST. Customer shall (a) not sell, license, loan, donate or otherwise transfer or make available any Product to any third party, whether alone or in combination with other materials, or use the Products to manufacture any commercial products, (b) not copy, modify, reverse engineer, decompile, disassemble or otherwise attempt to discover the underlying structure or technology of the Products, or use the Products for the purpose of developing any products or services that would compete with CST products or services, (c) not alter or remove from the Products any trademarks, trade names, logos, patent or copyright notices or markings, (d) use the Products solely in accordance with CST Product Terms of Sale and any applicable documentation, and (e) comply with any license, terms of service or similar agreement with respect to any third party products or services used by Customer in connection with the Products.

Orders: 877-616-CELL (2355) [email protected] Support: 877-678-TECH (8324) [email protected] Web: cellsignal.com
For Research Use Only. Not for Use in Diagnostic Procedures.

Revision 4

Cell Signaling Technology Logo
Western blot analysis of extracts from Raw 264.7 cells, untreated (-) or LPS-treated (1 μg/ml, 24 hr; +), using Cox2 (D5H5) XP® Rabbit mAb or β-Actin (D6A8) Rabbit mAb #8457. Data were generated using the standard formulation of this product.
Western Blotting Image 1: Cox2 (D5H5) Rabbit Monoclonal Antibody (BSA and Azide Free)
Immunohistochemical analysis of paraffin-embedded human hepatocellular carcinoma using Cox2 (D5H5) XP® Rabbit mAb. Data were generated using the standard formulation of this product.
Immunohistochemistry Image 1: Cox2 (D5H5) Rabbit Monoclonal Antibody (BSA and Azide Free)
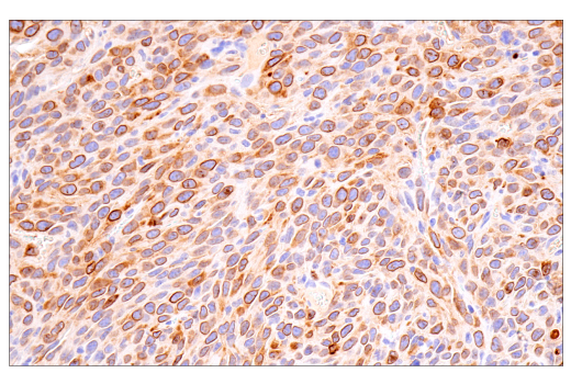
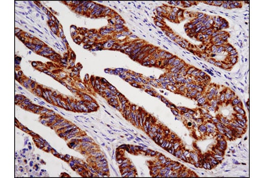
Immunohistochemical analysis of paraffin-embedded human colon carcinoma using Cox2 (D5H5) XP® Rabbit mAb. Data were generated using the standard formulation of this product.
Immunohistochemistry Image 2: Cox2 (D5H5) Rabbit Monoclonal Antibody (BSA and Azide Free)
Orders: 877-616-CELL (2355) [email protected] Support: 877-678-TECH (8324) [email protected] Web: cellsignal.com
For Research Use Only. Not for Use in Diagnostic Procedures.

Revision 4

Cell Signaling Technology Logo
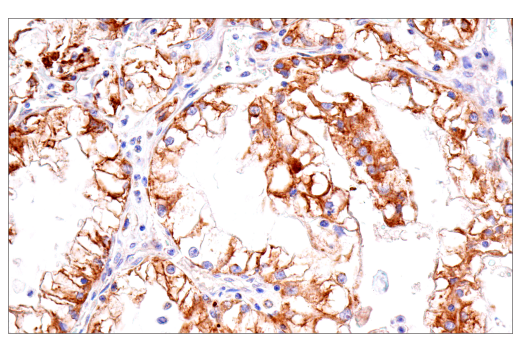
Immunohistochemical analysis of paraffin-embedded human renal cell carcinoma using Cox2 (D5H5) XP® Rabbit mAb. Data were generated using the standard formulation of this product.
Immunohistochemistry Image 3: Cox2 (D5H5) Rabbit Monoclonal Antibody (BSA and Azide Free)
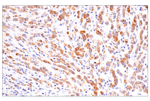
Immunohistochemical analysis of paraffin-embedded human esophageal adenocarcinoma using Cox2 (D5H5) XP® Rabbit mAb. Data were generated using the standard formulation of this product.
Immunohistochemistry Image 4: Cox2 (D5H5) Rabbit Monoclonal Antibody (BSA and Azide Free)
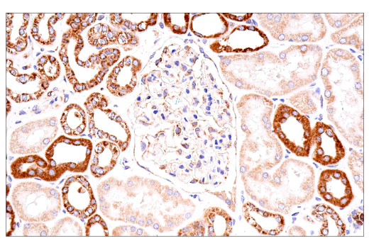
Immunohistochemical analysis of paraffin-embedded normal human kidney using Cox2 (D5H5) XP® Rabbit mAb. Data were generated using the standard formulation of this product.
Immunohistochemistry Image 5: Cox2 (D5H5) Rabbit Monoclonal Antibody (BSA and Azide Free)
Orders: 877-616-CELL (2355) [email protected] Support: 877-678-TECH (8324) [email protected] Web: cellsignal.com
For Research Use Only. Not for Use in Diagnostic Procedures.

Revision 4

Cell Signaling Technology Logo
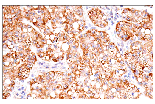
Immunohistochemical analysis of paraffin-embedded normal human pancreas using Cox2 (D5H5) XP® Rabbit mAb. Data were generated using the standard formulation of this product.
Immunohistochemistry Image 6: Cox2 (D5H5) Rabbit Monoclonal Antibody (BSA and Azide Free)
Immunohistochemical analysis of paraffin-embedded 4T1 syngeneic mammary tumor using Cox2 (D5H5) XP® Rabbit mAb. Data were generated using the standard formulation of this product.
Immunohistochemistry Image 7: Cox2 (D5H5) Rabbit Monoclonal Antibody (BSA and Azide Free)
Immunohistochemical analysis of paraffin-embedded CT26.WT syngeneic tumor using Cox2 (D5H5) XP® Rabbit mAb. Data were generated using the standard formulation of this product.
Immunohistochemistry Image 8: Cox2 (D5H5) Rabbit Monoclonal Antibody (BSA and Azide Free)
Orders: 877-616-CELL (2355) [email protected] Support: 877-678-TECH (8324) [email protected] Web: cellsignal.com
For Research Use Only. Not for Use in Diagnostic Procedures.

Revision 4

Cell Signaling Technology Logo
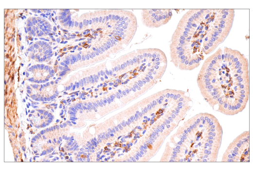
Immunohistochemical analysis of paraffin-embedded mouse small intestine using Cox2 (D5H5) XP® Rabbit mAb. Data were generated using the standard formulation of this product.
Immunohistochemistry Image 9: Cox2 (D5H5) Rabbit Monoclonal Antibody (BSA and Azide Free)
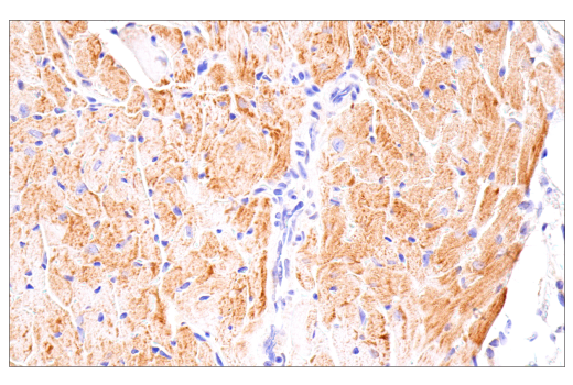
Immunohistochemical analysis of paraffin-embedded mouse heart using Cox2 (D5H5) XP® Rabbit mAb. Data were generated using the standard formulation of this product.
Immunohistochemistry Image 10: Cox2 (D5H5) Rabbit Monoclonal Antibody (BSA and Azide Free)
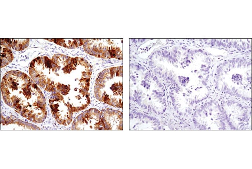
Immunohistochemical analysis of paraffin-embedded human ovarian carcinoma using Cox2 (D5H5) XP® Rabbit mAb in the presence of control peptide (left) or antigen-specific peptide (right). Data were generated using the standard formulation of this product.
Immunohistochemistry Image 11: Cox2 (D5H5) Rabbit Monoclonal Antibody (BSA and Azide Free)
Orders: 877-616-CELL (2355) [email protected] Support: 877-678-TECH (8324) [email protected] Web: cellsignal.com
For Research Use Only. Not for Use in Diagnostic Procedures.

Revision 4

Cell Signaling Technology Logo
Immunohistochemical analysis of paraffin-embedded RAW 264.7 cell pellets, untreated (left) or treated with Lipopolysaccharides (LPS) #14011 (1 μg/ml, 16 hr, right), using Cox2 (D5H5) XP® Rabbit mAb. Data were generated using the standard formulation of this product.
Immunohistochemistry Image 12: Cox2 (D5H5) Rabbit Monoclonal Antibody (BSA and Azide Free)
Confocal immunofluorescent analysis of Raw 264.7 cells, untreated (left; -) or LPS-treated (right; 1ug/ml, 24 hrs; +), using Cox2 (D5H5) XP® Rabbit mAb (green). Blue pseudocolor = DRAQ5® #4084 (fluorescent DNA dye). Data were generated using the standard formulation of this product.
Immunofluorescence Image 1: Cox2 (D5H5) Rabbit Monoclonal Antibody (BSA and Azide Free)
Flow cytometric analysis of Raw 264.7 cells, untreated (blue) or LPS-treated (1μg/ml, 24 hrs; green), using Cox2 (D5H5) XP® Rabbit mAb. Anti-rabbit IgG (H+L), F(ab')2 Fragment (Alexa Fluor® 488 Conjugate) #4412 was used as a secondary antibody. Data were generated using the standard formulation of this product.
Flow Cytometry Image 1: Cox2 (D5H5) Rabbit Monoclonal Antibody (BSA and Azide Free)
Orders: 877-616-CELL (2355) [email protected] Support: 877-678-TECH (8324) [email protected] Web: cellsignal.com
For Research Use Only. Not for Use in Diagnostic Procedures.

Revision 4

Cell Signaling Technology Logo
Data using Total Cox2 Matched Antibody Pair #95399 are shown. The two antibodies function as a capture-target-detection sandwich (#69179 and #73315, respectively) to detect endogenous protein expression in positive and negative controls.
ELISA Image 1: Cox2 (D5H5) Rabbit Monoclonal Antibody (BSA and Azide Free)
Orders: 877-616-CELL (2355) [email protected] Support: 877-678-TECH (8324) [email protected] Web: cellsignal.com
For Research Use Only. Not for Use in Diagnostic Procedures.