Revision 3

#96422

Store at +4C

CST Logo
Orders:

877-616-CELL (2355)

[email protected]

Support:

877-678-TECH (8324)

3 Trask Lane | Danvers | Massachusetts | 01923 | USA

For Research Use Only. Not for Use in Diagnostic Procedures.

Applications:
IHC-Bond, IHC-P

Reactivity:
H

Sensitivity:
Endogenous

Source/Isotype:
Mouse IgG1

UniProt ID:
#P31327

Entrez-Gene Id:
1373

Product Usage Information

Application Dilution
IHC Leica Bond 1:200 - 1:800
Immunohistochemistry (Paraffin) 1:100 - 1:400

Storage

Supplied in a PBS-based buffer containing sodium azide as a preservative. Stable for 12 months when stored at 4°C. Do not aliquot the antibody.

Specificity/Sensitivity

CPS1/Hep Par-1 (OCH1E5) Mouse Monoclonal Antibody (Clone previously known as Hepatocyte Specific Antigen) recognizes endogenous levels of total CPS1/Hep Par-1 protein, which is present in the liver and small intestine.

Source / Purification

Monoclonal antibody is produced by immunizing animals with human liver fixed in formalin.

Background

Carbamoyl phosphate synthetase 1 (CPS1), a rate-limiting enzyme in the urea cycle, catalyzes the conversion of ammonia and bicarbonate to carbamoyl phosphate in mitochondria. Non-small cell lung carcinoma (NSCLC) cells with oncogenic KRAS and loss of the tumor suppressor LKB1 express CPS1 and depend on this enzyme for growth. CPS1 maintains pyrimidine/purine balance in these cancer cells. Silencing CPS1 reduces the pyrimidine to purine ratio and stalls DNA synthesis, leading to DNA damage and cancer cell death (1). In addition, the tumor suppressor p53 represses the expression of urea cycle enzymes CPS1, OTC, and ARG1 and, therefore, causes the accumulation of ammonia, suppressing cancer growth (2). Furthermore, research studies suggest that hypermethylation-mediated downregulation of CPS1 expression may contribute to the progression of normal hepatocytes to hepatocellular carcinoma (HCC) (3). CPS1 was identified to be the antigen detected by Hep Par-1 antibody (4).

Species Reactivity

Species reactivity is determined by testing in at least one approved application (e.g., western blot).

Applications Key

IHC-Bond: IHC Leica Bond IHC-P: Immunohistochemistry (Paraffin)

Cross-Reactivity Key

H: Human

Trademarks and Patents

Cell Signaling Technology is a trademark of Cell Signaling Technology, Inc.

All other trademarks are the property of their respective owners. Visit cellsignal.com/trademarks for more information.

Limited Uses

Except as otherwise expressly agreed in a writing signed by a legally authorized representative of CST, the following terms apply to Products provided by CST, its affiliates or its distributors. Any Customer's terms and conditions that are in addition to, or different from, those contained herein, unless separately accepted in writing by a legally authorized representative of CST, are rejected and are of no force or effect.

Products are labeled with For Research Use Only or a similar labeling statement and have not been approved, cleared, or licensed by the FDA or other regulatory foreign or domestic entity, for any purpose. Customer shall not use any Product for any diagnostic or therapeutic purpose, or otherwise in any manner that conflicts with its labeling statement. Products sold or licensed by CST are provided for Customer as the end-user and solely for research and development uses. Any use of Product for diagnostic, prophylactic or therapeutic purposes, or any purchase of Product for resale (alone or as a component) or other commercial purpose, requires a separate license from CST. Customer shall (a) not sell, license, loan, donate or otherwise transfer or make available any Product to any third party, whether alone or in combination with other materials, or use the Products to manufacture any commercial products, (b) not copy, modify, reverse engineer, decompile, disassemble or otherwise attempt to discover the underlying structure or technology of the Products, or use the Products for the purpose of developing any products or services that would compete with CST products or services, (c) not alter or remove from the Products any trademarks, trade names, logos, patent or copyright notices or markings, (d) use the Products solely in accordance with CST Product Terms of Sale and any applicable documentation, and (e) comply with any license, terms of service or similar agreement with respect to any third party products or services used by Customer in connection with the Products.

Orders: 877-616-CELL (2355) [email protected] Support: 877-678-TECH (8324) [email protected] Web: cellsignal.com
For Research Use Only. Not for Use in Diagnostic Procedures.

Revision 3

Cell Signaling Technology Logo
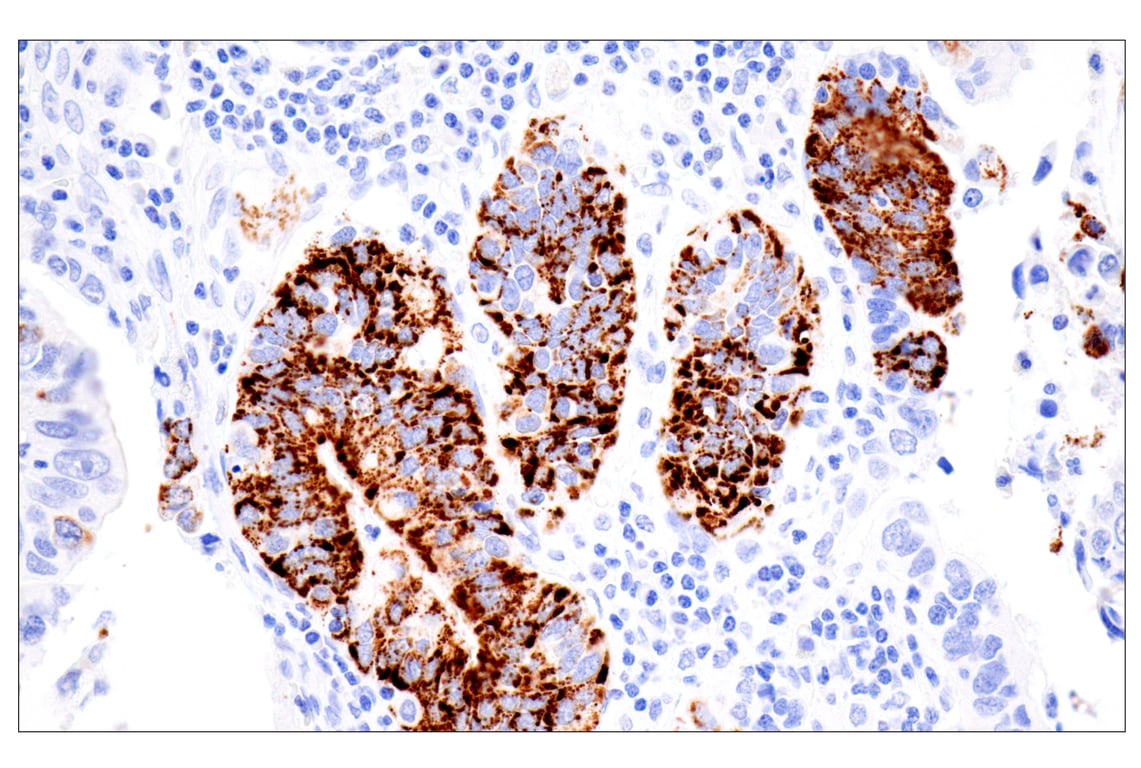
Immunohistochemical analysis of paraffin-embedded human hepatocellular carcinoma using CPS1/Hep Par-1 (OCH1E5) Mouse mAb (Clone previously known as Hepatocyte Specific Antigen) performed on the Leica BOND RX.
Immunohistochemistry Image 1: CPS1/Hep Par-1 (OCH1E5) Mouse Monoclonal Antibody (Clone previously known as Hepatocyte Specific Antigen)
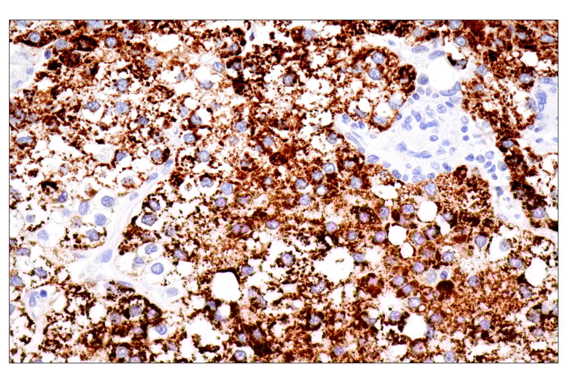
Immunohistochemical analysis of paraffin-embedded human hepatocellular carcinoma using CPS1/Hep Par-1 (OCH1E5) Mouse mAb (Clone previously known as Hepatocyte Specific Antigen).
Immunohistochemistry Image 1: CPS1/Hep Par-1 (OCH1E5) Mouse Monoclonal Antibody (Clone previously known as Hepatocyte Specific Antigen)

Immunohistochemical analysis of paraffin-embedded human hepatocellular carcinoma using CPS1/Hep Par-1 (OCH1E5) Mouse mAb (Clone previously known as Hepatocyte Specific Antigen).

Immunohistochemistry Image 2: CPS1/Hep Par-1 (OCH1E5) Mouse Monoclonal Antibody (Clone previously known as Hepatocyte Specific Antigen)
Orders: 877-616-CELL (2355) [email protected] Support: 877-678-TECH (8324) [email protected] Web: cellsignal.com
For Research Use Only. Not for Use in Diagnostic Procedures.

Revision 3

Cell Signaling Technology Logo

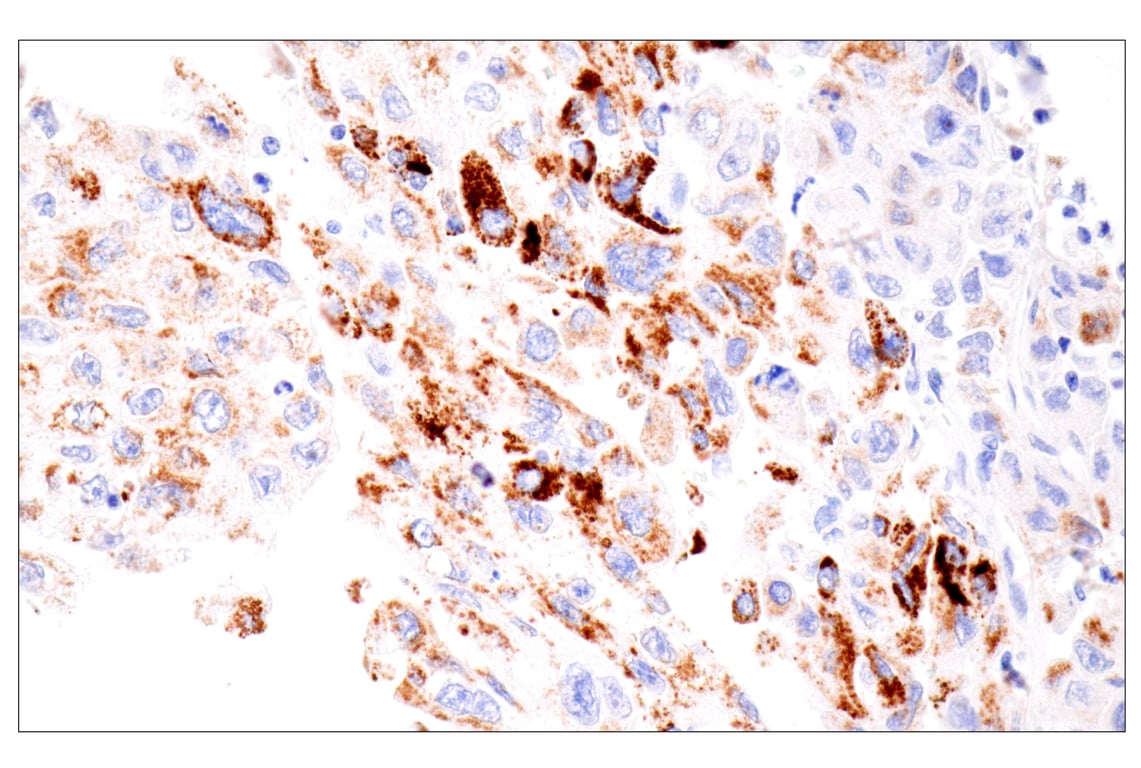
Immunohistochemical analysis of paraffin-embedded human esophageal carcinoma using CPS1/Hep Par-1 (OCH1E5) Mouse mAb (Clone previously known as Hepatocyte Specific Antigen).

Immunohistochemistry Image 3: CPS1/Hep Par-1 (OCH1E5) Mouse Monoclonal Antibody (Clone previously known as Hepatocyte Specific Antigen)
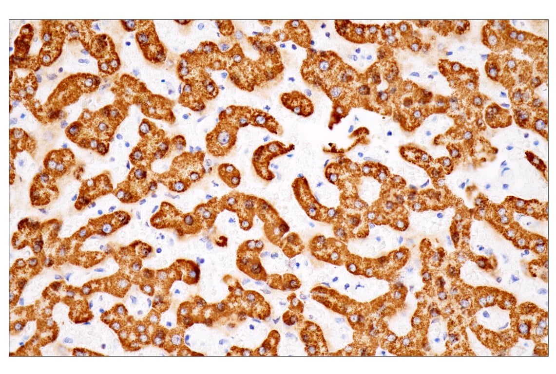
Immunohistochemical analysis of paraffin-embedded normal human liver using CPS1/Hep Par-1 (OCH1E5) Mouse mAb (Clone previously known as Hepatocyte Specific Antigen).
Immunohistochemistry Image 4: CPS1/Hep Par-1 (OCH1E5) Mouse Monoclonal Antibody (Clone previously known as Hepatocyte Specific Antigen)
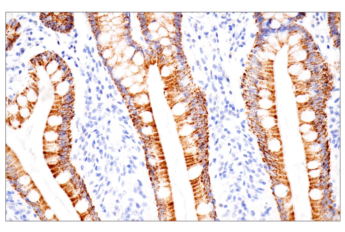
Immunohistochemical analysis of paraffin-embedded normal human small intestine using CPS1/Hep Par-1 (OCH1E5) Mouse mAb (Clone previously known as Hepatocyte Specific Antigen).
Immunohistochemistry Image 5: CPS1/Hep Par-1 (OCH1E5) Mouse Monoclonal Antibody (Clone previously known as Hepatocyte Specific Antigen)
Orders: 877-616-CELL (2355) [email protected] Support: 877-678-TECH (8324) [email protected] Web: cellsignal.com
For Research Use Only. Not for Use in Diagnostic Procedures.

Revision 3

Cell Signaling Technology Logo
Immunohistochemical analysis of paraffin-embedded human hepatocellular carcinoma using CPS1/Hep Par-1 (OCH1E5) Mouse mAb (Clone previously known as Hepatocyte Specific Antigen) (left) compared to concentration-matched Mouse (G3A1) mAb IgG1 Isotype Control #5415 (right).
Immunohistochemistry Image 6: CPS1/Hep Par-1 (OCH1E5) Mouse Monoclonal Antibody (Clone previously known as Hepatocyte Specific Antigen)
Immunohistochemical analysis of paraffin-embedded HuH-1 cell pellet (left, positive) or U-2 OS cell pellet (right, negative) using CPS1/Hep Par-1 (OCH1E5) Mouse mAb (Clone previously known as Hepatocyte Specific Antigen).
Immunohistochemistry Image 7: CPS1/Hep Par-1 (OCH1E5) Mouse Monoclonal Antibody (Clone previously known as Hepatocyte Specific Antigen)
Orders: 877-616-CELL (2355) [email protected] Support: 877-678-TECH (8324) [email protected] Web: cellsignal.com
For Research Use Only. Not for Use in Diagnostic Procedures.