Revision 1

#13163

Store at -20C

CST Logo
Orders:

877-616-CELL (2355)

[email protected]

Support:

877-678-TECH (8324)

3 Trask Lane | Danvers | Massachusetts | 01923 | USA

For Research Use Only. Not for Use in Diagnostic Procedures.

Applications:
W, IF-F, IF-IC

Reactivity:
H M

Sensitivity:
Endogenous

MW (kDa):
15

Source/Isotype:
Rabbit IgG

UniProt ID:
#P29762

Entrez-Gene Id:
1381

Product Usage Information

Application Dilution
Western Blotting 1:1000
Immunofluorescence (Frozen) 1:800
Immunofluorescence (Immunocytochemistry) 1:800

Storage

Supplied in 10 mM sodium HEPES (pH 7.5), 150 mM NaCl, 100 µg/ml BSA, 50% glycerol and less than 0.02% sodium azide. Store at –20°C. Do not aliquot the antibody.

Specificity/Sensitivity

CRABP1 (D7F9T) Rabbit Monoclonal Antibody recognizes endogenous levels of total CRABP1 protein. This antibody does not cross-react with other intracellular lipid-binding protein family members, CRBP1 and CRBP2.

Species predicted to react based on 100% sequence homology

Rat, Bovine

Source / Purification

Monoclonal antibody is produced by immunizing animals with a synthetic peptide corresponding to residues surrounding Glu102 of human CRABP1 protein.

Background

Vitamin A gives rise to multiple species of biologically active lipophilic metabolites, known as retinoids, which play a critical role in numerous physiological processes such as vision and embryonic development. Intracellularly, all-trans retinoic acid is bound with high affinity to either cellular retinoic acid-binding protein 1 (CRABP1) or cellular retinoic acid-binding protein 2 (CRABP2), which aids in its solubilization within the aqueous cytosolic compartment. Belonging to the intracellular lipid-binding protein family (iLBP), the human CRABPs are 74% identical at the protein level and each CRABP is highly conserved across multiple species. Research studies have shown that knockout of Crabp1 is not lethal but results in defects in limb development (1), suggesting that CRABP1 plays a role in establishing retinoic acid concentration gradients in the developing limb bud. Although it remains unclear how CRABP1 may regulate the formation of retinoic acid gradients in vivo, research studies have suggested that CRABP1 can enhance the activities of intracellular retinoic acid-metabolizing enzymes, thus blunting cellular responses to retinoic acid (2-4).

Species Reactivity

Species reactivity is determined by testing in at least one approved application (e.g., western blot).

Western Blot Buffer

IMPORTANT: For western blots, incubate membrane with diluted primary antibody in 5% w/v nonfat dry milk, 1X TBS, 0.1% Tween® 20 at 4°C with gentle shaking, overnight.

Applications Key

W: Western Blotting IF-F: Immunofluorescence (Frozen) IF-IC: Immunofluorescence (Immunocytochemistry)

Cross-Reactivity Key

H: Human M: Mouse

Trademarks and Patents

Cell Signaling Technology is a trademark of Cell Signaling Technology, Inc.

All other trademarks are the property of their respective owners. Visit cellsignal.com/trademarks for more information.

Limited Uses

Except as otherwise expressly agreed in a writing signed by a legally authorized representative of CST, the following terms apply to Products provided by CST, its affiliates or its distributors. Any Customer's terms and conditions that are in addition to, or different from, those contained herein, unless separately accepted in writing by a legally authorized representative of CST, are rejected and are of no force or effect.

Products are labeled with For Research Use Only or a similar labeling statement and have not been approved, cleared, or licensed by the FDA or other regulatory foreign or domestic entity, for any purpose. Customer shall not use any Product for any diagnostic or therapeutic purpose, or otherwise in any manner that conflicts with its labeling statement. Products sold or licensed by CST are provided for Customer as the end-user and solely for research and development uses. Any use of Product for diagnostic, prophylactic or therapeutic purposes, or any purchase of Product for resale (alone or as a component) or other commercial purpose, requires a separate license from CST. Customer shall (a) not sell, license, loan, donate or otherwise transfer or make available any Product to any third party, whether alone or in combination with other materials, or use the Products to manufacture any commercial products, (b) not copy, modify, reverse engineer, decompile, disassemble or otherwise attempt to discover the underlying structure or technology of the Products, or use the Products for the purpose of developing any products or services that would compete with CST products or services, (c) not alter or remove from the Products any trademarks, trade names, logos, patent or copyright notices or markings, (d) use the Products solely in accordance with CST Product Terms of Sale and any applicable documentation, and (e) comply with any license, terms of service or similar agreement with respect to any third party products or services used by Customer in connection with the Products.

Orders: 877-616-CELL (2355) [email protected] Support: 877-678-TECH (8324) [email protected] Web: cellsignal.com
For Research Use Only. Not for Use in Diagnostic Procedures.

Revision 1

Cell Signaling Technology Logo
Western blot analysis of extracts from SK-N-AS (positive) and RKO (negative) cells using CRABP1 (D7F9T) Rabbit mAb (upper) and GAPDH (D16H11) XP® Rabbit mAb #5174 (lower).
Western Blotting Image 1: CRABP1 (D7F9T) Rabbit Monoclonal Antibody
Western blot analysis of extracts from 293T cells, mock transfected (-) or transfected with Myc/DDK-tagged constructs expressing full-length human CRABP1 (hCRABP1-Myc/DDK; +), full-length human CRABP2 (hCRABP2-Myc/DDK; +), full-length human CRBP1 (hCRBP1-Myc/DDK; +), full-length human CRBP2 (hCRBP2-Myc/DDK; +), and full length human FABP4 (hFABP4-Myc/DDK; +), using CRABP1 (D7F9T) Rabbit mAb (upper) and DYKDDDDK Tag Antibody #2368 (lower).
Western Blotting Image 2: CRABP1 (D7F9T) Rabbit Monoclonal Antibody
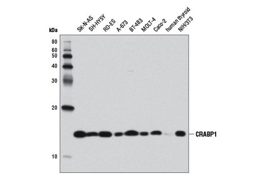
Western blot analysis of extracts from various cell lines and human thyroid tissue using CRABP1 (D7F9T) Rabbit mAb.
Western Blotting Image 3: CRABP1 (D7F9T) Rabbit Monoclonal Antibody
Orders: 877-616-CELL (2355) [email protected] Support: 877-678-TECH (8324) [email protected] Web: cellsignal.com
For Research Use Only. Not for Use in Diagnostic Procedures.

Revision 1

Cell Signaling Technology Logo
Confocal immunofluorescent analysis of mouse embryonic day 10.5 frontal-nasal mesenchyme (left), and mid- to hindbrain (right) using CRABP1 (D7F9T) Rabbit mAb (green). Actin filaments were labeled with DY-554 phalloidin (red). Blue pseudocolor = DRAQ5® #4084 (fluorescent DNA dye).
Immunofluorescence Image 1: CRABP1 (D7F9T) Rabbit Monoclonal Antibody
Confocal immunofluorescent anaylsis of SK-N-AS (left), or RKO (right) cells using CRABP1 (D7F9T) Rabbit mAb (green). Actin filaments were labeled with DY-554 phalloidin (red). Blue pseudocolor = DRAQ5® #4084 (fluorescent DNA dye).
Immunofluorescence Image 1: CRABP1 (D7F9T) Rabbit Monoclonal Antibody
Orders: 877-616-CELL (2355) [email protected] Support: 877-678-TECH (8324) [email protected] Web: cellsignal.com
For Research Use Only. Not for Use in Diagnostic Procedures.