Revision 1

#66110

Store at -20C

CST Logo
Orders:

877-616-CELL (2355)

[email protected]

Support:

877-678-TECH (8324)

3 Trask Lane | Danvers | Massachusetts | 01923 | USA

For Research Use Only. Not for Use in Diagnostic Procedures.

Applications:
W, IHC-Bond, IHC-P

Reactivity:
H

Sensitivity:
Endogenous

MW (kDa):
25-80

Source/Isotype:
Rabbit IgG

UniProt ID:
#Q9NQ25

Entrez-Gene Id:
57823

Product Usage Information

This product is the carrier free version of product #98611. All data were generated using the same antibody clone in the standard formulation which contains BSA and glycerol.

This formulation is ideal for use with technologies requiring specialized or custom antibody labeling, including fluorophores, metals, lanthanides, and oligonucleotides. It is not recommended for ChIP, ChIP-seq, CUT&RUN or CUT&Tag assays. If you require a carrier free formulation for chromatin profiling, please contact us. Optimal dilutions/concentrations should be determined by the end user.

BSA and Azide Free antibodies are quality control tested by size exclusion chromatography (SEC) to determine antibody integrity.

Formulation

Supplied in 1X PBS (10 mM Na2HPO4, 3 mM KCl, 2 mM KH2PO4, and 140 mM NaCl (pH 7.8)). BSA and Azide Free.

For standard formulation of this product see product #98611

Storage

Store at -20°C. This product will freeze at -20°C so it is recommended to aliquot into single-use vials to avoid multiple freeze/thaw cycles. A slight precipitate may be present and can be dissolved by gently vortexing. This will not interfere with antibody performance.

Specificity/Sensitivity

CRACC/SLAMF7/CD319 (E5C4M) Rabbit Monoclonal Antibody (BSA and Azide Free) recognizes endogenous levels of total CRACC/SLAMF7/CD319 protein. This antibody may cross-react with several isoforms of CRACC/SLAMF7/CD319 and with varying levels of glycosylation. Non-specific staining was observed in prostate epithelium.

Source / Purification

Monoclonal antibody is produced by immunizing animals with recombinant protein specific to the amino terminus of human CRACC/SLAMF7/CD319 protein.

Background

CRACC/SLAMF7/CD319 (also known as CS1) is a member of the signaling lymphocytic activation molecule (SLAM) family. It is a single-pass type l transmembrane glycoprotein expressed on NK cells, subsets of mature dendritic cells, activated B and T lymphocytes, but not in promyelocytic B or T cell lines. Expression of this protein has been detected in the spleen, lymph node, peripheral blood leukocytes, bone marrow, small intestine, stomach, appendix, lung, and trachea (1-5). Homophilic interactions of CRACC/SLAMF7/CD319 modulate the activity and differentiation of immune cells. CRACC/SLAMF7/CD319 may function as an inhibitory or activating receptor in immune cells depending on cellular context and availability of adapter proteins, SH2D1A/SAP and/or SH2D1B/EAT-2 (4-8). In the presence of SH2D1B/EAT-2, CRACC/SLAMF7/CD319 activates NK cells and B cells (4-6). T cells lack SH2D1B/EAT-2 expression, and therefore CRACC/SLAMF7/CD319 acts as an inhibitory receptor (7). In LPS-activated monocytes, CRACC/SLAMF7/CD319 negatively regulates production of proinflammatory cytokines (8). CRACC/SLAMF7/CD319 is upregulated in multiple myeloma and is implicated in the uncontrolled proliferation of these cells, and thus has become the target for therapeutic intervention (9,10). Seven isoforms of CRACC/SLAMF7/CD319 produced by alternative splicing have been identified.

Species Reactivity

Species reactivity is determined by testing in at least one approved application (e.g., western blot).

Applications Key

W: Western Blotting IHC-Bond: IHC Leica Bond IHC-P: Immunohistochemistry (Paraffin)

Cross-Reactivity Key

H: Human

Trademarks and Patents

Cell Signaling Technology is a trademark of Cell Signaling Technology, Inc.

SignalStain is a registered trademark of Cell Signaling Technology, Inc.

All other trademarks are the property of their respective owners. Visit cellsignal.com/trademarks for more information.

Limited Uses

Except as otherwise expressly agreed in a writing signed by a legally authorized representative of CST, the following terms apply to Products provided by CST, its affiliates or its distributors. Any Customer's terms and conditions that are in addition to, or different from, those contained herein, unless separately accepted in writing by a legally authorized representative of CST, are rejected and are of no force or effect.

Products are labeled with For Research Use Only or a similar labeling statement and have not been approved, cleared, or licensed by the FDA or other regulatory foreign or domestic entity, for any purpose. Customer shall not use any Product for any diagnostic or therapeutic purpose, or otherwise in any manner that conflicts with its labeling statement. Products sold or licensed by CST are provided for Customer as the end-user and solely for research and development uses. Any use of Product for diagnostic, prophylactic or therapeutic purposes, or any purchase of Product for resale (alone or as a component) or other commercial purpose, requires a separate license from CST. Customer shall (a) not sell, license, loan, donate or otherwise transfer or make available any Product to any third party, whether alone or in combination with other materials, or use the Products to manufacture any commercial products, (b) not copy, modify, reverse engineer, decompile, disassemble or otherwise attempt to discover the underlying structure or technology of the Products, or use the Products for the purpose of developing any products or services that would compete with CST products or services, (c) not alter or remove from the Products any trademarks, trade names, logos, patent or copyright notices or markings, (d) use the Products solely in accordance with CST Product Terms of Sale and any applicable documentation, and (e) comply with any license, terms of service or similar agreement with respect to any third party products or services used by Customer in connection with the Products.

Orders: 877-616-CELL (2355) [email protected] Support: 877-678-TECH (8324) [email protected] Web: cellsignal.com
For Research Use Only. Not for Use in Diagnostic Procedures.

Revision 1

Cell Signaling Technology Logo
Western blot analysis of extracts from various human cells using CRACC/SLAMF7/CD319 (E5C4M) Rabbit mAb (upper) and β-Actin (D6A8) Rabbit mAb #8457 (lower). Data were generated using the standard formulation of this product.
Western Blotting Image 1: CRACC/SLAMF7/CD319 (E5C4M) Rabbit Monoclonal Antibody (BSA and Azide Free)
Immunohistochemical analysis of paraffin-embedded human lung adenocarcinoma using CRACC/SLAMF7/CD319 (E5C4M) Rabbit mAb performed on the Leica® BOND™ Rx. Data were generated using the standard formulation of this product.
Immunohistochemistry Image 1: CRACC/SLAMF7/CD319 (E5C4M) Rabbit Monoclonal Antibody (BSA and Azide Free)
Immunohistochemical analysis of paraffin-embedded human urothelial carcinoma using CRACC/SLAMF7/CD319 (E5C4M) Rabbit mAb. Data were generated using the standard formulation of this product.
Immunohistochemistry Image 1: CRACC/SLAMF7/CD319 (E5C4M) Rabbit Monoclonal Antibody (BSA and Azide Free)
Orders: 877-616-CELL (2355) [email protected] Support: 877-678-TECH (8324) [email protected] Web: cellsignal.com
For Research Use Only. Not for Use in Diagnostic Procedures.

Revision 1

Cell Signaling Technology Logo
Immunohistochemical analysis of paraffin-embedded human colon carcinoma using CRACC/SLAMF7/CD319 (E5C4M) Rabbit mAb (left) compared to concentration matched Rabbit (DA1E) mAb IgG XP® Isotype Control #3900 (right). Data were generated using the standard formulation of this product.
Immunohistochemistry Image 2: CRACC/SLAMF7/CD319 (E5C4M) Rabbit Monoclonal Antibody (BSA and Azide Free)
Immunohistochemical analysis of paraffin-embedded human squamous cell lung carcinoma using CRACC/SLAMF7/CD319 (E5C4M) Rabbit mAb. Data were generated using the standard formulation of this product.
Immunohistochemistry Image 3: CRACC/SLAMF7/CD319 (E5C4M) Rabbit Monoclonal Antibody (BSA and Azide Free)
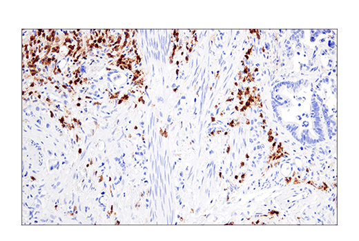
Immunohistochemical analysis of paraffin-embedded human esophageal carcinoma using CRACC/SLAMF7/CD319 (E5C4M) Rabbit mAb. Data were generated using the standard formulation of this product.
Immunohistochemistry Image 4: CRACC/SLAMF7/CD319 (E5C4M) Rabbit Monoclonal Antibody (BSA and Azide Free)
Orders: 877-616-CELL (2355) [email protected] Support: 877-678-TECH (8324) [email protected] Web: cellsignal.com
For Research Use Only. Not for Use in Diagnostic Procedures.

Revision 1

Cell Signaling Technology Logo
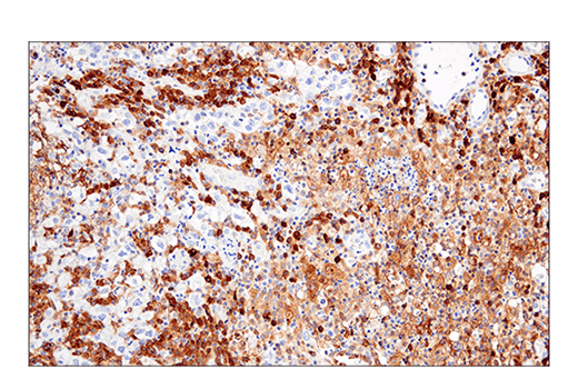
Immunohistochemical analysis of paraffin-embedded human multiple myeloma using CRACC/SLAMF7/CD319 (E5C4M) Rabbit mAb. Data were generated using the standard formulation of this product.
Immunohistochemistry Image 5: CRACC/SLAMF7/CD319 (E5C4M) Rabbit Monoclonal Antibody (BSA and Azide Free)
Immunohistochemical analysis of paraffin-embedded IM-9 cell pellet (left, positive) or HeLa cell pellet (right, negative) using CRACC/SLAMF7/CD319 (E5C4M) Rabbit mAb. Data were generated using the standard formulation of this product.
Immunohistochemistry Image 6: CRACC/SLAMF7/CD319 (E5C4M) Rabbit Monoclonal Antibody (BSA and Azide Free)
Orders: 877-616-CELL (2355) [email protected] Support: 877-678-TECH (8324) [email protected] Web: cellsignal.com
For Research Use Only. Not for Use in Diagnostic Procedures.