Revision 3

#46351

Store at -20C

CST Logo
Orders:

877-616-CELL (2355)

[email protected]

Support:

877-678-TECH (8324)

3 Trask Lane | Danvers | Massachusetts | 01923 | USA

For Research Use Only. Not for Use in Diagnostic Procedures.

Applications:
W, IHC-P, ELISA

Reactivity:
H M R

Sensitivity:
Endogenous

MW (kDa):
55

Source/Isotype:
Rabbit IgG

UniProt ID:
#Q96SW2

Entrez-Gene Id:
51185

Product Usage Information

This product is the carrier free version of product #71810. All data were generated using the same antibody clone in the standard formulation which contains BSA and glycerol.

This formulation is ideal for use with technologies requiring specialized or custom antibody labeling, including fluorophores, metals, lanthanides, and oligonucleotides. It is not recommended for ChIP, ChIP-seq, CUT&RUN or CUT&Tag assays. If you require a carrier free formulation for chromatin profiling, please contact us. Optimal dilutions/concentrations should be determined by the end user.

BSA and Azide Free antibodies are quality control tested by size exclusion chromatography (SEC) to determine antibody integrity.

Formulation

Supplied in 1X PBS (10 mM Na2HPO4, 3 mM KCl, 2 mM KH2PO4, and 140 mM NaCl (pH 7.8)). BSA and Azide Free.

For standard formulation of this product see product #71810

Storage

Store at -20°C. This product will freeze at -20°C so it is recommended to aliquot into single-use vials to avoid multiple freeze/thaw cycles. A slight precipitate may be present and can be dissolved by gently vortexing. This will not interfere with antibody performance.

Specificity/Sensitivity

CRBN (D8H3S) Rabbit Monoclonal Antibody (BSA and Azide Free) recognizes endogenous levels of total CRBN protein.

Source / Purification

Monoclonal antibody is produced by immunizing animals with a synthetic peptide corresponding to residues surrounding Pro44 of human CRBN protein.

Background

CRBN/Cereblon, a substrate receptor for the CRL4 E3 ubiquitin ligase, was originally identified for its role in autosomal recessive nonsyndromic mental retardation (1). CRBN’s role in the regulation of the AMPK pathway has been linked to various human diseases, including cardiovascular disease and obesity, and its involvement in proteasomal degradation may be important in neuropsychiatric diseases (2). CRBN has also been shown to enhance the effects of immunomodulatory imide drugs (IMiDs) in multiple myeloma, and may be a predictive marker for therapy (2-4).

Species Reactivity

Species reactivity is determined by testing in at least one approved application (e.g., western blot).

Applications Key

W: Western Blotting IHC-P: Immunohistochemistry (Paraffin) ELISA: ELISA

Cross-Reactivity Key

H: Human M: Mouse R: Rat

Trademarks and Patents

Cell Signaling Technology is a trademark of Cell Signaling Technology, Inc.

All other trademarks are the property of their respective owners. Visit cellsignal.com/trademarks for more information.

Limited Uses

Except as otherwise expressly agreed in a writing signed by a legally authorized representative of CST, the following terms apply to Products provided by CST, its affiliates or its distributors. Any Customer's terms and conditions that are in addition to, or different from, those contained herein, unless separately accepted in writing by a legally authorized representative of CST, are rejected and are of no force or effect.

Products are labeled with For Research Use Only or a similar labeling statement and have not been approved, cleared, or licensed by the FDA or other regulatory foreign or domestic entity, for any purpose. Customer shall not use any Product for any diagnostic or therapeutic purpose, or otherwise in any manner that conflicts with its labeling statement. Products sold or licensed by CST are provided for Customer as the end-user and solely for research and development uses. Any use of Product for diagnostic, prophylactic or therapeutic purposes, or any purchase of Product for resale (alone or as a component) or other commercial purpose, requires a separate license from CST. Customer shall (a) not sell, license, loan, donate or otherwise transfer or make available any Product to any third party, whether alone or in combination with other materials, or use the Products to manufacture any commercial products, (b) not copy, modify, reverse engineer, decompile, disassemble or otherwise attempt to discover the underlying structure or technology of the Products, or use the Products for the purpose of developing any products or services that would compete with CST products or services, (c) not alter or remove from the Products any trademarks, trade names, logos, patent or copyright notices or markings, (d) use the Products solely in accordance with CST Product Terms of Sale and any applicable documentation, and (e) comply with any license, terms of service or similar agreement with respect to any third party products or services used by Customer in connection with the Products.

Orders: 877-616-CELL (2355) [email protected] Support: 877-678-TECH (8324) [email protected] Web: cellsignal.com
For Research Use Only. Not for Use in Diagnostic Procedures.

Revision 3

Cell Signaling Technology Logo
Western blot analysis of extracts from various cell lines using CRBN (D8H3S) Rabbit mAb (upper) or β-Actin (D6A8) Rabbit mAb #8457 (lower). Data were generated using the standard formulation of this product.
Western Blotting Image 1: CRBN (D8H3S) Rabbit Monoclonal Antibody (BSA and Azide Free)
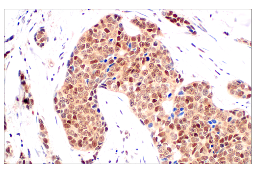
Immunohistochemical analysis of paraffin-embedded human esophageal adenocarcinoma using CRBN (D8H3S) Rabbit mAb. Data were generated using the standard formulation of this product.
Immunohistochemistry Image 1: CRBN (D8H3S) Rabbit Monoclonal Antibody (BSA and Azide Free)
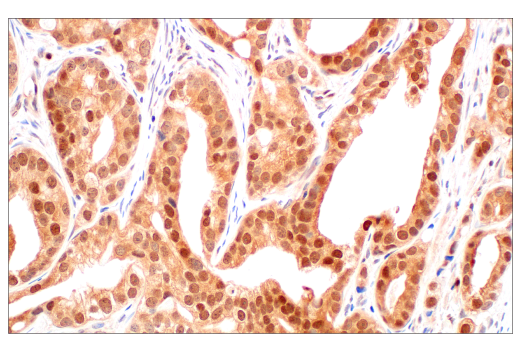
Immunohistochemical analysis of paraffin-embedded human prostate adenocarcinoma using CRBN (D8H3S) Rabbit mAb Data were generated using the standard formulation of this product.
Immunohistochemistry Image 2: CRBN (D8H3S) Rabbit Monoclonal Antibody (BSA and Azide Free)
Orders: 877-616-CELL (2355) [email protected] Support: 877-678-TECH (8324) [email protected] Web: cellsignal.com
For Research Use Only. Not for Use in Diagnostic Procedures.

Revision 3

Cell Signaling Technology Logo
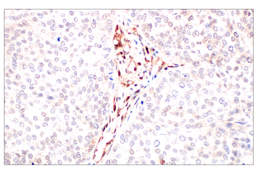
Immunohistochemical analysis of paraffin-embedded human adenoid cystic carcinoma of the salivary gland using CRBN (D8H3S) Rabbit mAb. Data were generated using the standard formulation of this product.
Immunohistochemistry Image 3: CRBN (D8H3S) Rabbit Monoclonal Antibody (BSA and Azide Free)
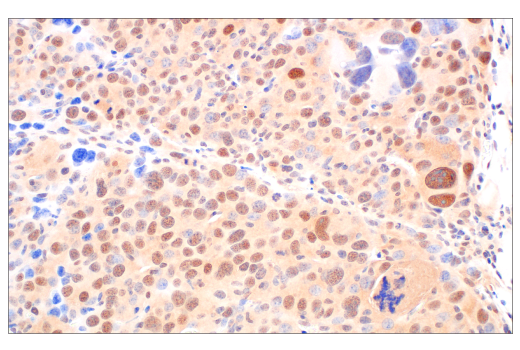
Immunohistochemical analysis of paraffin-embedded human squamous cell lung carcinoma using CRBN D8H3S) Rabbit mAb. Data were generated using the standard formulation of this product.
Immunohistochemistry Image 4: CRBN (D8H3S) Rabbit Monoclonal Antibody (BSA and Azide Free)
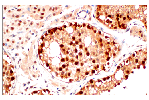
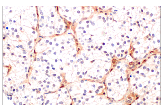
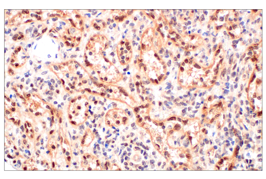
Immunohistochemical analysis of paraffin-embedded human renal cell carcinoma using CRBN (D8H3S) Rabbit mAb. Data were generated using the standard formulation of this product.
Immunohistochemistry Image 5: CRBN (D8H3S) Rabbit Monoclonal Antibody (BSA and Azide Free)
Orders: 877-616-CELL (2355) [email protected] Support: 877-678-TECH (8324) [email protected] Web: cellsignal.com
For Research Use Only. Not for Use in Diagnostic Procedures.

Revision 3

Cell Signaling Technology Logo
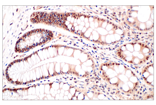
Immunohistochemical analysis of paraffin-embedded normal human colon using CRBN (D8H3S) Rabbit mAb. Data were generated using the standard formulation of this product.
Immunohistochemistry Image 6: CRBN (D8H3S) Rabbit Monoclonal Antibody (BSA and Azide Free)
Immunohistochemical analysis of paraffin-embedded normal human spleen using CRBN (D8H3S) Rabbit mAb. Data were generated using the standard formulation of this product.
Immunohistochemistry Image 7: CRBN (D8H3S) Rabbit Monoclonal Antibody (BSA and Azide Free)
Immunohistochemical analysis of paraffin-embedded normal human testis using CRBN D8H3S) Rabbit mAb. Data were generated using the standard formulation of this product.
Immunohistochemistry Image 8: CRBN (D8H3S) Rabbit Monoclonal Antibody (BSA and Azide Free)
Orders: 877-616-CELL (2355) [email protected] Support: 877-678-TECH (8324) [email protected] Web: cellsignal.com
For Research Use Only. Not for Use in Diagnostic Procedures.

Revision 3

Cell Signaling Technology Logo
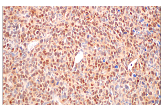
Immunohistochemical analysis of paraffin-embedded 4T1 syngeneic tumor using CRBN (D8H3S) Rabbit mAb. Data were generated using the standard formulation of this product.
Immunohistochemistry Image 9: CRBN (D8H3S) Rabbit Monoclonal Antibody (BSA and Azide Free)
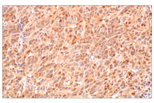
Immunohistochemical analysis of paraffin-embedded LL/2 syngeneic tumor using CRBN (D8H3S) Rabbit mAb. Data were generated using the standard formulation of this product.
Immunohistochemistry Image 10: CRBN (D8H3S) Rabbit Monoclonal Antibody (BSA and Azide Free)
Immunohistochemical analysis of paraffin-embedded Renca syngeneic tumor using CRBN (D8H3S) Rabbit mAb. Data were generated using the standard formulation of this product.
Immunohistochemistry Image 11: CRBN (D8H3S) Rabbit Monoclonal Antibody (BSA and Azide Free)
Orders: 877-616-CELL (2355) [email protected] Support: 877-678-TECH (8324) [email protected] Web: cellsignal.com
For Research Use Only. Not for Use in Diagnostic Procedures.

Revision 3

Cell Signaling Technology Logo
Immunohistochemical analysis of paraffin-embedded human normal testis (left), prostate adenocarcinoma (middle), and colon carcinoma (right) using CRBN (D8H3S) Rabbit mAb (top) or a CRBN rabbit mAb (bottom). These two antibodies detect unique, non-overlapping epitopes on CRBN protein. The similar staining patterns obtained with both antibodies to help to confirm the specificity of the staining. Data were generated using the standard formulation of this product.
Immunohistochemistry Image 12: CRBN (D8H3S) Rabbit Monoclonal Antibody (BSA and Azide Free)
Immunohistochemical analysis of paraffin-embedded human colon carcinoma using CRBN (D8H3S) Rabbit mAb (left) compared to concentration-matched Rabbit (DA1E) mAb IgG XP® Isotype Control #3900 (right). Data were generated using the standard formulation of this product.
Immunohistochemistry Image 13: CRBN (D8H3S) Rabbit Monoclonal Antibody (BSA and Azide Free)
Data using CRBN Matched Antibody Pair #38606 are shown. The two antibodies function as a capture-target-detection sandwich (#46351 and #95258, respectively) to detect endogenous protein expression in positive and negative controls.
ELISA Image 1: CRBN (D8H3S) Rabbit Monoclonal Antibody (BSA and Azide Free)
Orders: 877-616-CELL (2355) [email protected] Support: 877-678-TECH (8324) [email protected] Web: cellsignal.com
For Research Use Only. Not for Use in Diagnostic Procedures.