Revision 1

#61751

Store at -20C

CST Logo
Orders:

877-616-CELL (2355)

[email protected]

Support:

877-678-TECH (8324)

3 Trask Lane | Danvers | Massachusetts | 01923 | USA

For Research Use Only. Not for Use in Diagnostic Procedures.

Applications:
W, IHC-P, IF-F, IF-IC, FC-FP

Reactivity:
All

Sensitivity:
Transfected Only

MW (kDa):
37

Source/Isotype:
Rabbit IgG

UniProt ID:
#P06956

Entrez-Gene Id:
2777477

Product Usage Information

This product is the carrier free version of product #15036. All data were generated using the same antibody clone in the standard formulation which contains BSA and glycerol.

This formulation is ideal for use with technologies requiring specialized or custom antibody labeling, including fluorophores, metals, lanthanides, and oligonucleotides. It is not recommended for ChIP, ChIP-seq, CUT&RUN or CUT&Tag assays. If you require a carrier free formulation for chromatin profiling, please contact us. Optimal dilutions/concentrations should be determined by the end user.

BSA and Azide Free antibodies are quality control tested by size exclusion chromatography (SEC) to determine antibody integrity.

Formulation

Supplied in 1X PBS (10 mM Na2HPO4, 3 mM KCl, 2 mM KH2PO4, and 140 mM NaCl (pH 7.8)). BSA and Azide Free.

For standard formulation of this product see product #15036

Storage

Store at -20°C. This product will freeze at -20°C so it is recommended to aliquot into single-use vials to avoid multiple freeze/thaw cycles. A slight precipitate may be present and can be dissolved by gently vortexing. This will not interfere with antibody performance.

Specificity/Sensitivity

Cre Recombinase (D7L7L) Rabbit Monoclonal Antibody (BSA and Azide Free) recognizes transfected and transgenic levels of total Cre recombinase protein.

Source / Purification

Monoclonal antibody is produced by immunizing animals with a synthetic peptide corresponding to residues near the amino terminus of bacteriophage-P1 Cre recombinase protein.

Background

Cre recombinase is a bacteriophage-P1 enzyme required for maintenance of the phage genome as a monomeric plasmid in the lysogenic state (1,2). This enzyme mediates a site-specific recombination between two 34-base-pair loxP sites. This reaction can be carried out in vitro, indicating that it does not require accessory factors (3). The Cre/Lox system has been used for a number of in vitro and in vivo applications, including targeted gene deletions (4) and gene-specific humanized animal models (5). Resolution of the crystal structure of the Cre-Lox complex revealed that two Cre molecules interact with a single Lox site (6).

Species Reactivity

Species reactivity is determined by testing in at least one approved application (e.g., western blot).

Applications Key

W: Western Blotting IHC-P: Immunohistochemistry (Paraffin) IF-F: Immunofluorescence (Frozen) IF-IC: Immunofluorescence (Immunocytochemistry) FC-FP: Flow Cytometry (Fixed/Permeabilized)

Cross-Reactivity Key

All: All Species Expected

Trademarks and Patents

Cell Signaling Technology is a trademark of Cell Signaling Technology, Inc.

SignalStain is a registered trademark of Cell Signaling Technology, Inc.

All other trademarks are the property of their respective owners. Visit cellsignal.com/trademarks for more information.

Limited Uses

Except as otherwise expressly agreed in a writing signed by a legally authorized representative of CST, the following terms apply to Products provided by CST, its affiliates or its distributors. Any Customer's terms and conditions that are in addition to, or different from, those contained herein, unless separately accepted in writing by a legally authorized representative of CST, are rejected and are of no force or effect.

Products are labeled with For Research Use Only or a similar labeling statement and have not been approved, cleared, or licensed by the FDA or other regulatory foreign or domestic entity, for any purpose. Customer shall not use any Product for any diagnostic or therapeutic purpose, or otherwise in any manner that conflicts with its labeling statement. Products sold or licensed by CST are provided for Customer as the end-user and solely for research and development uses. Any use of Product for diagnostic, prophylactic or therapeutic purposes, or any purchase of Product for resale (alone or as a component) or other commercial purpose, requires a separate license from CST. Customer shall (a) not sell, license, loan, donate or otherwise transfer or make available any Product to any third party, whether alone or in combination with other materials, or use the Products to manufacture any commercial products, (b) not copy, modify, reverse engineer, decompile, disassemble or otherwise attempt to discover the underlying structure or technology of the Products, or use the Products for the purpose of developing any products or services that would compete with CST products or services, (c) not alter or remove from the Products any trademarks, trade names, logos, patent or copyright notices or markings, (d) use the Products solely in accordance with CST Product Terms of Sale and any applicable documentation, and (e) comply with any license, terms of service or similar agreement with respect to any third party products or services used by Customer in connection with the Products.

Orders: 877-616-CELL (2355) [email protected] Support: 877-678-TECH (8324) [email protected] Web: cellsignal.com
For Research Use Only. Not for Use in Diagnostic Procedures.

Revision 1

Cell Signaling Technology Logo
Western blot analysis of extracts from 293T cells, mock-transfected (-) or transfected with a construct expressing Cre recombinase (+), using Cre Recombinase (D7L7L) XP® Rabbit mAb (upper) and β-Actin (D6A8) Rabbit mAb #8457 (lower). Data were generated using the standard formulation of this product.
Western Blotting Image 1: Cre Recombinase (D7L7L) Rabbit Monoclonal Antibody (BSA and Azide Free)
Immunohistochemical analysis of paraffin-embedded Ins1cre mouse pancreas (left; JAX stock #026801) and wild type B6 mouse pancreas (right) using Cre Recombinase (D7L7L) XP® Rabbit mAb. The Ins1cre mouse expresses Cre recombinase from the start codon of Ins1 in beta cells. Data were generated using the standard formulation of this product.
Immunohistochemistry Image 1: Cre Recombinase (D7L7L) Rabbit Monoclonal Antibody (BSA and Azide Free)
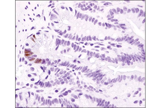
Immunohistochemical analysis of paraffin-embedded Lgr5-EGFP-IRES-CreERT2 mouse small intestine using Cre Recombinase (D7L7L) XP® Rabbit mAb. Lgr5-EGFP-IRES-CreERT2 mouse small intestine kindly provided by Omer Yilmaz of MIT, Cambridge, MA. Data were generated using the standard formulation of this product.
Immunohistochemistry Image 2: Cre Recombinase (D7L7L) Rabbit Monoclonal Antibody (BSA and Azide Free)
Orders: 877-616-CELL (2355) [email protected] Support: 877-678-TECH (8324) [email protected] Web: cellsignal.com
For Research Use Only. Not for Use in Diagnostic Procedures.

Revision 1

Cell Signaling Technology Logo
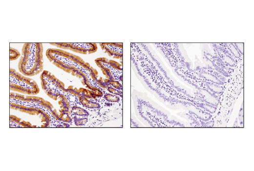
Immunohistochemical analysis of paraffin-embedded Villin-CreERT2 mouse small intestine (left) and wild type mouse small intestine (right) using Cre Recombinase (D7L7L) XP® Rabbit mAb. Villin-CreERT2 mouse small intestine kindly provided by Omer Yilmaz of MIT, Cambridge, MA. Data were generated using the standard formulation of this product.
Immunohistochemistry Image 3: Cre Recombinase (D7L7L) Rabbit Monoclonal Antibody (BSA and Azide Free)
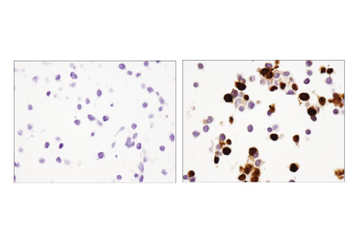
Immunohistochemical analysis of paraffin-embedded 293T cell pellets, untransfected (left) or transfected with Cre recombinase (right), using Cre Recombinase (D7L7L) XP® Rabbit mAb. Data were generated using the standard formulation of this product.
Immunohistochemistry Image 4: Cre Recombinase (D7L7L) Rabbit Monoclonal Antibody (BSA and Azide Free)
Confocal immunofluorescent analysis of pancreas from a wild-type (bottom) or Ins1cre mouse (top; JAX stock #026801), which expresses Cre recombinase from the start codon of Ins1 in beta cells. Sections were first labeled with Cre Recombinase (D7L7L) XP® Rabbit mAb (red). After blocking free secondary binding sites with Rabbit (DA1E) mAb IgG XP® Isotype Control #3900, tissues were then stained with Insulin (C27C9) Rabbit mAb (Alexa Fluor® 488 Conjugate) #9016 (green). Samples were mounted in ProLong® Gold Antifade Reagent with DAPI #8961 (blue). Data were generated using the standard formulation of this product.
Immunofluorescence Image 1: Cre Recombinase (D7L7L) Rabbit Monoclonal Antibody (BSA and Azide Free)
Orders: 877-616-CELL (2355) [email protected] Support: 877-678-TECH (8324) [email protected] Web: cellsignal.com
For Research Use Only. Not for Use in Diagnostic Procedures.

Revision 1

Cell Signaling Technology Logo
Confocal immunofluorescent analysis of HeLa cells transfected with a construct expressing Cre Recombinase using Cre Recombinase (D7L7L) XP® Rabbit mAb (green). Actin filaments were labeled with DyLight 650 Phalloidin (red pseudocolor). Data were generated using the standard formulation of this product.
Immunofluorescence Image 1: Cre Recombinase (D7L7L) Rabbit Monoclonal Antibody (BSA and Azide Free)
Flow cytometric analysis of 293T cells, untransfected (blue) or transfected with Cre Recombinase (green) using Cre Recombinase (D7L7L) XP® Rabbit mAb. Anti-rabbit IgG (H+L), F(ab')2 Fragment (Alexa Fluor® 488 Conjugate) #4412 was used as a secondary antibody. Data were generated using the standard formulation of this product.
Flow Cytometry Image 1: Cre Recombinase (D7L7L) Rabbit Monoclonal Antibody (BSA and Azide Free)
Orders: 877-616-CELL (2355) [email protected] Support: 877-678-TECH (8324) [email protected] Web: cellsignal.com
For Research Use Only. Not for Use in Diagnostic Procedures.