Revision 11

#9197

Store at -20C

CST Logo
Orders:

877-616-CELL (2355)

[email protected]

Support:

877-678-TECH (8324)

3 Trask Lane | Danvers | Massachusetts | 01923 | USA

For Research Use Only. Not for Use in Diagnostic Procedures.

Applications:
W, IP, IHC-P, IF-F, IF-IC, FC-FP, ChIP, C&R, C&T

Reactivity:
H M R Mk Dm

Sensitivity:
Endogenous

MW (kDa):
43

Source/Isotype:
Rabbit IgG

UniProt ID:
#P16220

Entrez-Gene Id:
1385

Product Usage Information

For optimal ChIP results, use 10 μl of antibody and 10 μg of chromatin (approximately 4 x 106 cells) per IP. This antibody has been validated using SimpleChIP® Enzymatic Chromatin IP Kits.

The CUT&RUN dilution was determined using CUT&RUN Assay Kit #86652.

The CUT&Tag dilution was determined using CUT&Tag Assay Kit #77552.

Application Dilution
Western Blotting 1:1000
Immunoprecipitation 1:250
Immunohistochemistry (Paraffin) 1:6400 - 1:25600
Immunofluorescence (Frozen) 1:800 - 1:3200
Immunofluorescence (Immunocytochemistry) 1:800 - 1:3200
Flow Cytometry (Fixed/Permeabilized) 1:200 - 1:800
Chromatin IP 1:50
CUT&RUN 1:50
CUT&Tag 1:50

Storage

Supplied in 10 mM sodium HEPES (pH 7.5), 150 mM NaCl, 100 µg/ml BSA, 50% glycerol and less than 0.02% sodium azide. Store at –20°C. Do not aliquot the antibody.

For a carrier-free (BSA and azide free) version of this product see product #56820.

Specificity/Sensitivity

CREB (48H2) Rabbit Monoclonal Antibody detects endogenous levels of total CREB-1 protein. This antibody does not cross-react with other ATF/CREB family members. Non-specific staining of components along the retinotectal pathway was observed by immunofluorescence in fixed frozen mouse tissue. Non-specific signal is observed in formaldehyde fixed frozen mouse retina by immunofluorescence.

Source / Purification

Monoclonal antibody is produced by immunizing animals with recombinant protein specific to the amino terminus of human CREB-1 protein. The epitope has been mapped to residues surrounding Glu21.

Background

CREB is a bZIP transcription factor that activates target genes through cAMP response elements. CREB is able to mediate signals from numerous physiological stimuli, resulting in regulation of a broad array of cellular responses. While CREB is expressed in numerous tissues, it plays a large regulatory role in the nervous system. CREB is believed to play a key role in promoting neuronal survival, precursor proliferation, neurite outgrowth, and neuronal differentiation in certain neuronal populations (1-3). Additionally, CREB signaling is involved in learning and memory in several organisms (4-6). CREB is able to selectively activate numerous downstream genes through interactions with different dimerization partners. CREB is activated by phosphorylation at Ser133 by various signaling pathways, including Erk, Ca2+, and stress signaling. Some of the kinases involved in phosphorylating CREB at Ser133 are p90RSK, MSK, CaMKIV, and MAPKAPK-2 (7-9).

Species Reactivity

Species reactivity is determined by testing in at least one approved application (e.g., western blot).

Western Blot Buffer

IMPORTANT: For western blots, incubate membrane with diluted primary antibody in 5% w/v BSA, 1X TBS, 0.1% Tween® 20 at 4°C with gentle shaking, overnight.

Applications Key

W: Western Blotting IP: Immunoprecipitation IHC-P: Immunohistochemistry (Paraffin) IF-F: Immunofluorescence (Frozen) IF-IC: Immunofluorescence (Immunocytochemistry) FC-FP: Flow Cytometry (Fixed/Permeabilized) ChIP: Chromatin IP C&R: CUT&RUN C&T: CUT&Tag

Cross-Reactivity Key

H: Human M: Mouse R: Rat Mk: Monkey Dm: D. melanogaster

Trademarks and Patents

Cell Signaling Technology is a trademark of Cell Signaling Technology, Inc.

All other trademarks are the property of their respective owners. Visit cellsignal.com/trademarks for more information.

Limited Uses

Except as otherwise expressly agreed in a writing signed by a legally authorized representative of CST, the following terms apply to Products provided by CST, its affiliates or its distributors. Any Customer's terms and conditions that are in addition to, or different from, those contained herein, unless separately accepted in writing by a legally authorized representative of CST, are rejected and are of no force or effect.

Products are labeled with For Research Use Only or a similar labeling statement and have not been approved, cleared, or licensed by the FDA or other regulatory foreign or domestic entity, for any purpose. Customer shall not use any Product for any diagnostic or therapeutic purpose, or otherwise in any manner that conflicts with its labeling statement. Products sold or licensed by CST are provided for Customer as the end-user and solely for research and development uses. Any use of Product for diagnostic, prophylactic or therapeutic purposes, or any purchase of Product for resale (alone or as a component) or other commercial purpose, requires a separate license from CST. Customer shall (a) not sell, license, loan, donate or otherwise transfer or make available any Product to any third party, whether alone or in combination with other materials, or use the Products to manufacture any commercial products, (b) not copy, modify, reverse engineer, decompile, disassemble or otherwise attempt to discover the underlying structure or technology of the Products, or use the Products for the purpose of developing any products or services that would compete with CST products or services, (c) not alter or remove from the Products any trademarks, trade names, logos, patent or copyright notices or markings, (d) use the Products solely in accordance with CST Product Terms of Sale and any applicable documentation, and (e) comply with any license, terms of service or similar agreement with respect to any third party products or services used by Customer in connection with the Products.

Orders: 877-616-CELL (2355) [email protected] Support: 877-678-TECH (8324) [email protected] Web: cellsignal.com
For Research Use Only. Not for Use in Diagnostic Procedures.

Revision 11

Cell Signaling Technology Logo
Western Blot analysis of extracts from SK-N-MC, COS, NIH/3T3, C6 and Drosophila S2 cells, using CREB (48H2) Rabbit mAb.
Western Blotting Image 1: CREB (48H2) Rabbit Monoclonal Antibody
Immunoprecipitation of CREB from SK-N-MC extracts. Lane 1 is CREB (48H2) Rabbit mAb, lane 2 is Rabbit (DA1E) mAb IgG XP® Isotype Control #3900, and lane 3 is 10% input. Western blot analysis was perfomed using CREB (86B10) Mouse mAb #9104. Anti-mouse IgG, HRP-linked Antibody #7076 was used as a secondary antibody.
Immunoprecipitation Image 1: CREB (48H2) Rabbit Monoclonal Antibody
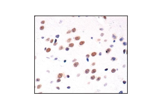
Immunohistochemical analysis of paraffin-embedded human astrocytoma, using CREB (48H2) Rabbit mAb.
Immunohistochemistry Image 1: CREB (48H2) Rabbit Monoclonal Antibody
Orders: 877-616-CELL (2355) [email protected] Support: 877-678-TECH (8324) [email protected] Web: cellsignal.com
For Research Use Only. Not for Use in Diagnostic Procedures.

Revision 11

Cell Signaling Technology Logo
Immunohistochemical analysis of paraffin-embedded human lung carcinoma, using CREB (48H2) Rabbit mAb.
Immunohistochemistry Image 2: CREB (48H2) Rabbit Monoclonal Antibody
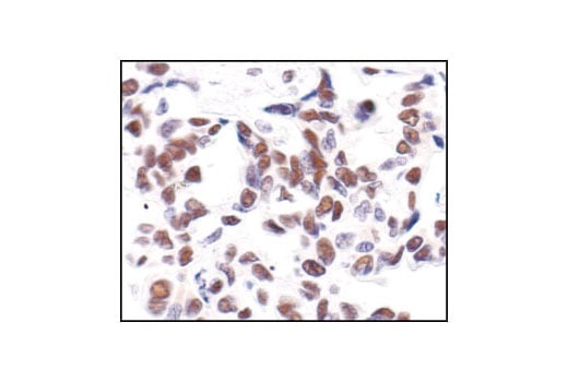
Immunohistochemical analysis of paraffin-embedded human Non-Hodgkin's lymphoma, using CREB (48H2) Rabbit mAb.
Immunohistochemistry Image 3: CREB (48H2) Rabbit Monoclonal Antibody
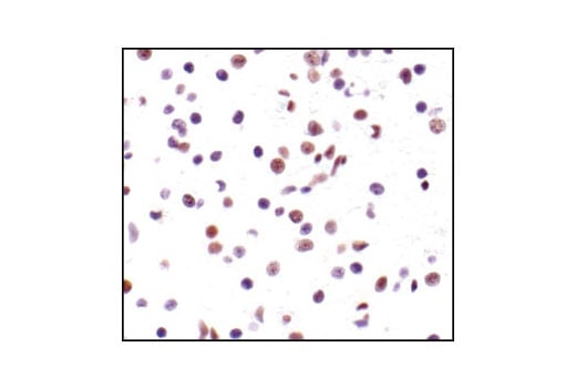
Immunohistochemical analysis of paraffin-embedded mouse brain, using CREB (48H2) Rabbit mAb.
Immunohistochemistry Image 4: CREB (48H2) Rabbit Monoclonal Antibody
Orders: 877-616-CELL (2355) [email protected] Support: 877-678-TECH (8324) [email protected] Web: cellsignal.com
For Research Use Only. Not for Use in Diagnostic Procedures.

Revision 11

Cell Signaling Technology Logo
Confocal immunofluorescent analysis of mouse cerebellum labeled with CREB (48H2) Rabbit mAb (red) and Neurofilament-L (DA2) Mouse mAb #2835 (green). Blue pseudocolor =DRAQ5® #4084 (fluorescent DNA dye).
Immunofluorescence Image 1: CREB (48H2) Rabbit Monoclonal Antibody
Confocal immunofluorescent analysis of SK-N-MC cells showing nuclear stain with CREB (48H2) Rabbit mAb (A, red) compared to an isotype control (B). Blue pseudocolor =DRAQ5® (fluorescent DNA dye).
Immunofluorescence Image 1: CREB (48H2) Rabbit Monoclonal Antibody
Flow cytometric analysis of Jurkat cells using CREB (48H2) Rabbit mAb (solid line) compared to concentration-matched Rabbit (DA1E) mAb IgG XP® Isotype Control #3900 (dashed line). Anti-rabbit IgG (H+L), F(ab')2 Fragment (Alexa Fluor® 488 Conjugate) #4412 was used as a secondary antibody.
Flow Cytometry Image 1: CREB (48H2) Rabbit Monoclonal Antibody
Orders: 877-616-CELL (2355) [email protected] Support: 877-678-TECH (8324) [email protected] Web: cellsignal.com
For Research Use Only. Not for Use in Diagnostic Procedures.

Revision 11

Cell Signaling Technology Logo
Chromatin immunoprecipitations were performed with cross-linked chromatin from 293 cells, treated with Forskolin #3828 (30 μM) for 1h and either 10 μl of CREB (48H2) Rabbit mAb or 2 μl of Normal Rabbit IgG #2729, using SimpleChIP® Enzymatic Chromatin IP Kit (Magnetic Beads) #9003. The enriched DNA was quantified by real-time PCR using human ALS2 exon 1 primers, SimpleChIP® Human NR4A3 Promoter Primers #4829, and SimpleChIP® Human α Satellite Repeat Primers #4486. The amount of immunoprecipitated DNA in each sample is represented as signal relative to the total amount of input chromatin, which is equivalent to one.
Chromatin Immunoprecipitation Image 1: CREB (48H2) Rabbit Monoclonal Antibody
CUT&RUN was performed with 293 cells treated with Forskolin #3828 (30 μM) for 1h and either CREB (48H2) Rabbit mAb or Phospho-CREB (Ser133) (87G3) Rabbit mAb #9198, using CUT&RUN Assay Kit #86652. DNA Libraries were prepared using DNA Library Prep Kit for Illumina Systems (ChIP-seq, CUT&RUN) #56795. The figure shows binding across NR4A3 gene.
CUT & RUN Image 1: CREB (48H2) Rabbit Monoclonal Antibody
CUT&RUN was performed with 293 cells treated with Forskolin #3828 (30 μM) for 1h and either CREB (48H2) Rabbit mAb or Phospho-CREB (Ser133) (87G3) Rabbit mAb #9198, using CUT&RUN Assay Kit #86652. DNA Libraries were prepared using DNA Library Prep Kit for Illumina Systems (ChIP-seq, CUT&RUN) #56795. The figures show binding across chromosome 9 (upper), including NR4A3 (lower) gene.
CUT & RUN Image 2: CREB (48H2) Rabbit Monoclonal Antibody
Orders: 877-616-CELL (2355) [email protected] Support: 877-678-TECH (8324) [email protected] Web: cellsignal.com
For Research Use Only. Not for Use in Diagnostic Procedures.

Revision 11

Cell Signaling Technology Logo
CUT&RUN was performed with 293 cells treated with Forskolin #3828 (30 μM) for 1h and either CREB (48H2) Rabbit mAb or Rabbit (DA1E) mAb IgG XP® Isotype Control (CUT&RUN) #66362, using CUT&RUN Assay Kit #86652. The enriched DNA was quantified by real-time PCR using human ALS2 exon 1 primers and SimpleChIP® Human α Satellite Repeat Primers #4486. The amount of immunoprecipitated DNA in each sample is represented as signal relative to the total amount of input chromatin, which is equivalent to one.
CUT & RUN Image 3: CREB (48H2) Rabbit Monoclonal Antibody
CUT&Tag was performed with 293 cells treated with Forskolin #3828 (30 μM) for 1h and either CREB (48H2) Rabbit mAb or Phospho-CREB (Ser133) (87G3) Rabbit mAb #9198, using CUT&Tag Assay Kit #77552. DNA libraries were prepared using CUT&Tag Dual Index Primers and PCR Master Mix for Illumina Systems #47415. The figure shows binding across NR4A3, a known target gene of both CREB and Phospho-CREB (see additional figure containing ChIP-qPCR data).
CUT & Tag Image 1: CREB (48H2) Rabbit Monoclonal Antibody
CUT&Tag was performed with 293 cells treated with Forskolin #3828 (30 μM) for 1h and either CREB (48H2) Rabbit mAb or Phospho-CREB (Ser133) (87G3) Rabbit mAb #9198, using CUT&Tag Assay Kit #77552. DNA libraries were prepared using CUT&Tag Dual Index Primers and PCR Master Mix for Illumina Systems #47415. The figures show binding across chromosome 9 (upper), including NR4A3 (lower), a known target gene of both CREB and Phospho-CREB (see additional figure containing ChIP-qPCR data).
CUT & Tag Image 2: CREB (48H2) Rabbit Monoclonal Antibody
Orders: 877-616-CELL (2355) [email protected] Support: 877-678-TECH (8324) [email protected] Web: cellsignal.com
For Research Use Only. Not for Use in Diagnostic Procedures.