Revision 1

#72032

Store at -20C

CST Logo
Orders:

877-616-CELL (2355)

[email protected]

Support:

877-678-TECH (8324)

3 Trask Lane | Danvers | Massachusetts | 01923 | USA

For Research Use Only. Not for Use in Diagnostic Procedures.

Product Includes Product # Quantity Mol. Wt Isotype/Source
CRBN (D8H3S) Rabbit Monoclonal Antibody7181020 µl55 kDaRabbit IgG
CUL4A Antibody269920 µl80, 82 kDaRabbit
DDB-1 (D4C8) Rabbit Monoclonal Antibody699820 µl127 kDaRabbit IgG
RBX1 (D3J5I) Rabbit Monoclonal Antibody1192220 µl13 kDaRabbit IgG
NEDD8 (19E3) Rabbit Monoclonal Antibody275420 µl9 kDaRabbit IgG
Ubiquitin (E4I2J) Rabbit Monoclonal Antibody4312420 µlRabbit IgG
Anti-rabbit IgG, HRP-linked Antibody7074100 µlGoat

Please visit cellsignal.com for individual component applications, species cross-reactivity, dilutions, protocols, and additional product information.

Description

The CRL4/CRBN Targeted Protein Degradation Complex Antibody Sampler Kit provides an economical means of detecting the individual components of a CRL4/CRBN E3 ubiquitin ligase complex, including free and conjugated forms of both NEDD8 and ubiquitin. The kit includes enough antibodies to perform two western blot experiments with each primary antibody.

Storage

Supplied in 10 mM sodium HEPES (pH 7.5), 150 mM NaCl, 100 µg/mL BSA, 50% glycerol and less than 0.02% sodium azide. Store at –20°C. Do not aliquot the antibodies.

Background

Targeted protein degradation is an experimental method of drug-based protein targeting that leverages endogenous proteolysis machinery, such as the the ubiquitin proteasome system (UPS), to selectively degrade proteins of interest (POIs). It is being actively explored as a therapeutic strategy to target and degrade POIs that contribute to disease progression (1). This approach differs from traditional small-molecule therapeutics that seek to suppress disease proteins (e.g., kinases) by sterically blocking catalytic domains. Proteolysis-targeting chimeras (PROTACs) and "molecular glue" degraders are the two primary degrader modalities used in UPS-mediated targeted protein degradation. PROTACs are bivalent, chemically-linked ligands that induce proximity between a POI and an E3 ubiquitin ligase, resulting in ubiquitination of the target protein, and its subsequent degradation by the UPS (2,3). Molecular glues are molecules that chemically generate novel interaction surfaces between two proteins, which can used to induce proximity between a POI and an E3 ligase. Cereblon (CRBN) is the substrate-recognition component of a Cullin-RING-ubiquitin (E3) ligase complex (CRL4/CRBN) that was among the first to be recognized for its therapeutic potential via targeted protein degradation (4). The CRL4/CRBN complex is comprised of CRBN, DDB-1, RBX1, and the scaffold protein CUL4A; its ligase activity is dynamically regulated via the covalent modification (neddylation) of CUL4A by NEDD8 (5). In unrelated mechanistic studies of multiple myeloma drugs, it was revealed that phthalimides (e.g., thalidomide, lenalidomide) promoted CRBN-dependent recruitment, ubiquitination, and proteasomal degradation of the transcription factors Ikaros (IKZF1) and Aiolos (IKZF3) (6). The discovery that phthalimides were functioning as molecular glue degraders that could selective degrade what were previously considered "undruggable" targets, led to a rapid acceleration and expansion of research into targeted protein degradation, with the promise of novel therapies for diseases deemed largely intractable using conventional small-molecule therapies (7-9).

Trademarks and Patents

Cell Signaling Technology is a trademark of Cell Signaling Technology, Inc.

All other trademarks are the property of their respective owners. Visit cellsignal.com/trademarks for more information.

Limited Uses

Except as otherwise expressly agreed in a writing signed by a legally authorized representative of CST, the following terms apply to Products provided by CST, its affiliates or its distributors. Any Customer's terms and conditions that are in addition to, or different from, those contained herein, unless separately accepted in writing by a legally authorized representative of CST, are rejected and are of no force or effect.

Products are labeled with For Research Use Only or a similar labeling statement and have not been approved, cleared, or licensed by the FDA or other regulatory foreign or domestic entity, for any purpose. Customer shall not use any Product for any diagnostic or therapeutic purpose, or otherwise in any manner that conflicts with its labeling statement. Products sold or licensed by CST are provided for Customer as the end-user and solely for research and development uses. Any use of Product for diagnostic, prophylactic or therapeutic purposes, or any purchase of Product for resale (alone or as a component) or other commercial purpose, requires a separate license from CST. Customer shall (a) not sell, license, loan, donate or otherwise transfer or make available any Product to any third party, whether alone or in combination with other materials, or use the Products to manufacture any commercial products, (b) not copy, modify, reverse engineer, decompile, disassemble or otherwise attempt to discover the underlying structure or technology of the Products, or use the Products for the purpose of developing any products or services that would compete with CST products or services, (c) not alter or remove from the Products any trademarks, trade names, logos, patent or copyright notices or markings, (d) use the Products solely in accordance with CST Product Terms of Sale and any applicable documentation, and (e) comply with any license, terms of service or similar agreement with respect to any third party products or services used by Customer in connection with the Products.

Orders: 877-616-CELL (2355) [email protected] Support: 877-678-TECH (8324) [email protected] Web: cellsignal.com
For Research Use Only. Not for Use in Diagnostic Procedures.

Revision 1

Cell Signaling Technology Logo
Western blot analysis of extracts from various cell lines using RBX1 (D3J5I) Rabbit mAb.
undefined Image 1: CRL4/CRBN Targeted Protein Degradation Complex Antibody Sampler Kit
Western blot analysis of extracts from COS and SK-MEL-28 cell lines using CUL4A Antibody.
undefined Image 2: CRL4/CRBN Targeted Protein Degradation Complex Antibody Sampler Kit
Western blot analysis of ubiquitin, NEDD8, ISG15 and SUMO-2/3 recombinant proteins (5 ng each), using NEDD8 (19E3) Rabbit mAb, Ubiquitin (P4D1) Mouse mAb #3936, ISG15 Antibody #2743 and SUMO-2/3 Antibody.
undefined Image 3: CRL4/CRBN Targeted Protein Degradation Complex Antibody Sampler Kit
Orders: 877-616-CELL (2355) [email protected] Support: 877-678-TECH (8324) [email protected] Web: cellsignal.com
For Research Use Only. Not for Use in Diagnostic Procedures.

Revision 1

Cell Signaling Technology Logo
Western blot analysis of extracts from HeLa, NIH/3T3, and H-4-II-E cells, untreated (-) or treated with MG-132 #2194 (10μM, 90min; +), using Ubiquitin (E4I2J) Rabbit mAb (upper) and β-Actin (D6A8) Rabbit mAb #8457 (lower).
undefined Image 4: CRL4/CRBN Targeted Protein Degradation Complex Antibody Sampler Kit
Western blot analysis of extracts from various cell lines using DDB-1 (D4C8) Rabbit mAb.
undefined Image 5: CRL4/CRBN Targeted Protein Degradation Complex Antibody Sampler Kit
After the primary antibody is bound to the target protein, a complex with HRP-linked secondary antibody is formed. The LumiGLO® is added and emits light during enzyme catalyzed decomposition.
undefined Image 6: CRL4/CRBN Targeted Protein Degradation Complex Antibody Sampler Kit
Orders: 877-616-CELL (2355) [email protected] Support: 877-678-TECH (8324) [email protected] Web: cellsignal.com
For Research Use Only. Not for Use in Diagnostic Procedures.

Revision 1

Cell Signaling Technology Logo
Western blot analysis of extracts from various cell lines using CRBN (D8H3S) Rabbit mAb (upper) or β-Actin (D6A8) Rabbit mAb #8457 (lower).
undefined Image 7: CRL4/CRBN Targeted Protein Degradation Complex Antibody Sampler Kit
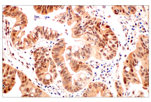
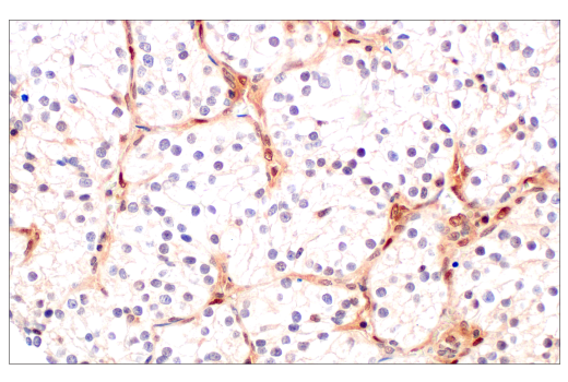
Immunohistochemical analysis of paraffin-embedded human esophageal adenocarcinoma using CRBN (D8H3S) Rabbit mAb.
undefined Image 8: CRL4/CRBN Targeted Protein Degradation Complex Antibody Sampler Kit
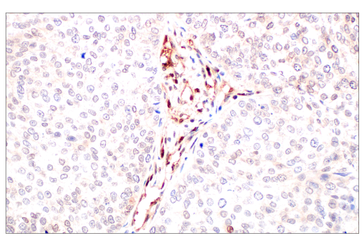
Immunohistochemical analysis of paraffin-embedded human colon carcinoma using RBX1 (D3J5I) Rabbit mAb in the presence of control peptide (left) or antigen-specific peptide (right).
undefined Image 9: CRL4/CRBN Targeted Protein Degradation Complex Antibody Sampler Kit
Orders: 877-616-CELL (2355) [email protected] Support: 877-678-TECH (8324) [email protected] Web: cellsignal.com
For Research Use Only. Not for Use in Diagnostic Procedures.

Revision 1

Cell Signaling Technology Logo
Immunoprecipitation of CUL4A from HT-29 extracts. Lane 1 is CUL4A Antibody, lane 2 is Normal Rabbit IgG #2729, and lane 3 is 10% input. Western blot analysis was perfomed using CUL4A Antibody. Anti-rabbit IgG, HRP-linked Antibody #7074 was used as the secondary antibody.
undefined Image 10: CRL4/CRBN Targeted Protein Degradation Complex Antibody Sampler Kit
Western blot analysis of lysates from HeLa, RAW, C6 and COS cells, using NEDD8 (19E3) Rabbit mAb.
undefined Image 11: CRL4/CRBN Targeted Protein Degradation Complex Antibody Sampler Kit
Western blot analysis of various recombinant linkage-specific polyubiquitin chains, recombinant free monoubiquitin (MonoUb), and recombinant linear polyubiquitin (Ub linear) (300 ng each), using Ubiquitin (E4I2J) Rabbit mAb.
undefined Image 12: CRL4/CRBN Targeted Protein Degradation Complex Antibody Sampler Kit
Orders: 877-616-CELL (2355) [email protected] Support: 877-678-TECH (8324) [email protected] Web: cellsignal.com
For Research Use Only. Not for Use in Diagnostic Procedures.

Revision 1

Cell Signaling Technology Logo
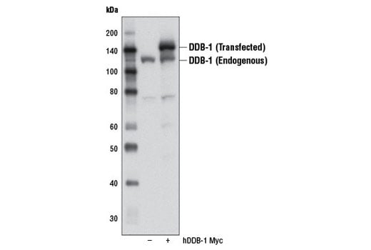
Western blot analysis of extracts from 293T cells, either mock transfected (-) or transfected with a Myc-tagged cDNA expression construct encoding full-length human DDB-1 (+), using DDB-1 (D4C8) Rabbit mAb.
undefined Image 13: CRL4/CRBN Targeted Protein Degradation Complex Antibody Sampler Kit
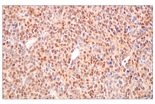
Immunohistochemical analysis of paraffin-embedded human prostate adenocarcinoma using CRBN (D8H3S) Rabbit mAb
undefined Image 14: CRL4/CRBN Targeted Protein Degradation Complex Antibody Sampler Kit
Immunohistochemical analysis of paraffin-embedded mouse prostate using RBX1 (D3J5I) Rabbit mAb.
undefined Image 15: CRL4/CRBN Targeted Protein Degradation Complex Antibody Sampler Kit
Orders: 877-616-CELL (2355) [email protected] Support: 877-678-TECH (8324) [email protected] Web: cellsignal.com
For Research Use Only. Not for Use in Diagnostic Procedures.

Revision 1

Cell Signaling Technology Logo
Immunoprecipitation of CRBN protein from TF-1 extracts. Lane 1 is CRBN (D8H3S) Rabbit mAb #71810, lane 2 is Rabbit (DA1E) mAb IgG XP® Isotype Control#3900, and lane 3 is 10% input. Western blot analysis was performed using CRBN (D8H3S) Rabbit mAb #71810. Mouse Anti-rabbit IgG (Conformation Specific) (L27A9) mAb #3678 was used as the secondary antibody.
undefined Image 16: CRL4/CRBN Targeted Protein Degradation Complex Antibody Sampler Kit
Immunohistochemical analysis of paraffin-embedded human adenoid cystic carcinoma of the salivary gland using CRBN (D8H3S) Rabbit mAb.
undefined Image 17: CRL4/CRBN Targeted Protein Degradation Complex Antibody Sampler Kit
Immunohistochemical analysis of paraffin-embedded human colon carcinoma, using NEDD8 (19E3) Rabbit mAb.
undefined Image 18: CRL4/CRBN Targeted Protein Degradation Complex Antibody Sampler Kit
Orders: 877-616-CELL (2355) [email protected] Support: 877-678-TECH (8324) [email protected] Web: cellsignal.com
For Research Use Only. Not for Use in Diagnostic Procedures.

Revision 1

Cell Signaling Technology Logo
Immunohistochemical analysis of paraffin-embedded human squamous cell lung carcinoma using CRBN D8H3S) Rabbit mAb.
undefined Image 19: CRL4/CRBN Targeted Protein Degradation Complex Antibody Sampler Kit
Immunohistochemical analysis of paraffin-embedded human ovarian carcinoma, using NEDD8 (19E3) Rabbit mAb.
undefined Image 20: CRL4/CRBN Targeted Protein Degradation Complex Antibody Sampler Kit
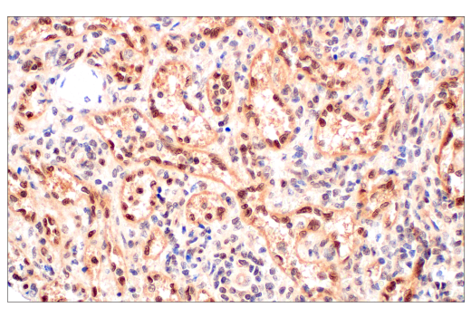
Immunohistochemical analysis of paraffin-embedded human renal cell carcinoma using CRBN (D8H3S) Rabbit mAb.
undefined Image 21: CRL4/CRBN Targeted Protein Degradation Complex Antibody Sampler Kit
Orders: 877-616-CELL (2355) [email protected] Support: 877-678-TECH (8324) [email protected] Web: cellsignal.com
For Research Use Only. Not for Use in Diagnostic Procedures.

Revision 1

Cell Signaling Technology Logo
Immunohistochemical analysis of paraffin-embedded human breast carcinoma, using NEDD8 (19E3) Rabbit mAb, preincubated with control peptide (left) or Nedd8 Blocking Peptide #1048 (right).
undefined Image 22: CRL4/CRBN Targeted Protein Degradation Complex Antibody Sampler Kit
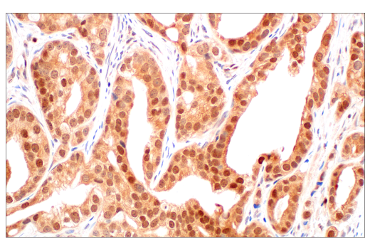
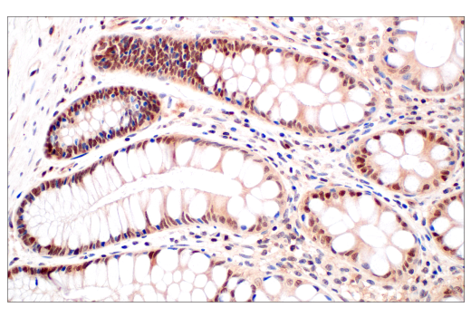
Immunohistochemical analysis of paraffin-embedded normal human colon using CRBN (D8H3S) Rabbit mAb.
undefined Image 23: CRL4/CRBN Targeted Protein Degradation Complex Antibody Sampler Kit
Immunohistochemical analysis of paraffin-embedded normal human spleen using CRBN (D8H3S) Rabbit mAb.
undefined Image 24: CRL4/CRBN Targeted Protein Degradation Complex Antibody Sampler Kit
Orders: 877-616-CELL (2355) [email protected] Support: 877-678-TECH (8324) [email protected] Web: cellsignal.com
For Research Use Only. Not for Use in Diagnostic Procedures.

Revision 1

Cell Signaling Technology Logo
Immunohistochemical analysis of paraffin-embedded normal human testis using CRBN D8H3S) Rabbit mAb.
undefined Image 25: CRL4/CRBN Targeted Protein Degradation Complex Antibody Sampler Kit
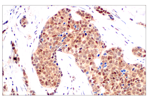
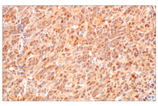
Immunohistochemical analysis of paraffin-embedded 4T1 syngeneic tumor using CRBN (D8H3S) Rabbit mAb.
undefined Image 26: CRL4/CRBN Targeted Protein Degradation Complex Antibody Sampler Kit
Immunohistochemical analysis of paraffin-embedded LL/2 syngeneic tumor using CRBN (D8H3S) Rabbit mAb.
undefined Image 27: CRL4/CRBN Targeted Protein Degradation Complex Antibody Sampler Kit
Orders: 877-616-CELL (2355) [email protected] Support: 877-678-TECH (8324) [email protected] Web: cellsignal.com
For Research Use Only. Not for Use in Diagnostic Procedures.

Revision 1

Cell Signaling Technology Logo
Immunohistochemical analysis of paraffin-embedded Renca syngeneic tumor using CRBN (D8H3S) Rabbit mAb.
undefined Image 28: CRL4/CRBN Targeted Protein Degradation Complex Antibody Sampler Kit
Immunohistochemical analysis of paraffin-embedded human normal testis (left), prostate adenocarcinoma (middle), and colon carcinoma (right) using CRBN (D8H3S) Rabbit mAb (top) or a CRBN rabbit mAb (bottom). These two antibodies detect unique, non-overlapping epitopes on CRBN protein. The similar staining patterns obtained with both antibodies to help to confirm the specificity of the staining.
undefined Image 29: CRL4/CRBN Targeted Protein Degradation Complex Antibody Sampler Kit
Immunohistochemical analysis of paraffin-embedded human colon carcinoma using CRBN (D8H3S) Rabbit mAb (left) compared to concentration-matched Rabbit (DA1E) mAb IgG XP® Isotype Control #3900 (right).
undefined Image 30: CRL4/CRBN Targeted Protein Degradation Complex Antibody Sampler Kit
Orders: 877-616-CELL (2355) [email protected] Support: 877-678-TECH (8324) [email protected] Web: cellsignal.com
For Research Use Only. Not for Use in Diagnostic Procedures.

Revision 1

Cell Signaling Technology Logo
Simple Western™ analysis of lysates (1 mg/mL) from 3T3 cells using CRBN (D8H3S) Rabbit mAb #71810. The virtual lane view (left) shows the target band (as indicated) at 1:10 and 1:50 dilutions of primary antibody. The corresponding electropherogram view (right) plots chemiluminescence by molecular weight along the capillary at 1:10 (blue line) and 1:50 (green line) dilutions of primary antibody. This experiment was performed under reducing conditions on the Jess™ Simple Western instrument from ProteinSimple, a BioTechne brand, using the 12-230 kDa separation module.
undefined Image 31: CRL4/CRBN Targeted Protein Degradation Complex Antibody Sampler Kit
Orders: 877-616-CELL (2355) [email protected] Support: 877-678-TECH (8324) [email protected] Web: cellsignal.com
For Research Use Only. Not for Use in Diagnostic Procedures.