Revision 1

#35672

Store at -20C

CST Logo
Orders:

877-616-CELL (2355)

[email protected]

Support:

877-678-TECH (8324)

3 Trask Lane | Danvers | Massachusetts | 01923 | USA

For Research Use Only. Not for Use in Diagnostic Procedures.

Applications:
W, IP, IHC-P, IF-IC

Reactivity:
H M R

Sensitivity:
Endogenous

MW (kDa):
60-80

Source/Isotype:
Rabbit IgG

UniProt ID:
#Q16555

Entrez-Gene Id:
1808

Product Usage Information

Application Dilution
Western Blotting 1:1000
Immunoprecipitation 1:50
Immunohistochemistry (Paraffin) 1:50 - 1:200
Immunofluorescence (Immunocytochemistry) 1:800

Storage

Supplied in 10 mM sodium HEPES (pH 7.5), 150 mM NaCl, 100 µg/ml BSA, 50% glycerol and less than 0.02% sodium azide. Store at –20°C. Do not aliquot the antibody.

Specificity/Sensitivity

CRMP-2 (D8L6V) Rabbit Monoclonal Antibody recognizes endogenous levels of total CRMP-2 protein.

Source / Purification

Monoclonal antibody is produced by immunizing animals with a synthetic peptide corresponding to residues surrounding lle546 of human CRMP-2 protein.

Background

Collapsin Response Mediator Protein-2 (CRMP-2) is expressed at high levels in the developing nervous system and plays a critical role in axonal outgrowth by specifying axon/dendrite fate and establishing neuronal polarity (1,2). CRMP-2 enhances axon elongation and branching by binding to tubulin heterodimers to promote microtubule assembly (3). GSK-3β inactivates CRMP-2 by phosphorylating it at Thr514. CRMP-2 is primed following phosphorylation at Ser522 by CDK5 and at Thr518 by GSK-3β (2). Phosphorylation of CRMP-2, which decreases tubulin binding ability, can be inhibited by NT-3 and BDNF through the PI3 kinase/Akt pathway (2). CRMP-2 also mediates semaphorin-induced growth cone collapse (4). Hyperphosphorylation of CRMP-2 is found in Alzheimer disease plaques with concurrent elevated GSK-3β activity in these patients (5).

Species Reactivity

Species reactivity is determined by testing in at least one approved application (e.g., western blot).

Western Blot Buffer

IMPORTANT: For western blots, incubate membrane with diluted primary antibody in 5% w/v BSA, 1X TBS, 0.1% Tween® 20 at 4°C with gentle shaking, overnight.

Applications Key

W: Western Blotting IP: Immunoprecipitation IHC-P: Immunohistochemistry (Paraffin) IF-IC: Immunofluorescence (Immunocytochemistry)

Cross-Reactivity Key

H: Human M: Mouse R: Rat

Trademarks and Patents

Cell Signaling Technology is a trademark of Cell Signaling Technology, Inc.

SignalStain is a registered trademark of Cell Signaling Technology, Inc.

All other trademarks are the property of their respective owners. Visit cellsignal.com/trademarks for more information.

Limited Uses

Except as otherwise expressly agreed in a writing signed by a legally authorized representative of CST, the following terms apply to Products provided by CST, its affiliates or its distributors. Any Customer's terms and conditions that are in addition to, or different from, those contained herein, unless separately accepted in writing by a legally authorized representative of CST, are rejected and are of no force or effect.

Products are labeled with For Research Use Only or a similar labeling statement and have not been approved, cleared, or licensed by the FDA or other regulatory foreign or domestic entity, for any purpose. Customer shall not use any Product for any diagnostic or therapeutic purpose, or otherwise in any manner that conflicts with its labeling statement. Products sold or licensed by CST are provided for Customer as the end-user and solely for research and development uses. Any use of Product for diagnostic, prophylactic or therapeutic purposes, or any purchase of Product for resale (alone or as a component) or other commercial purpose, requires a separate license from CST. Customer shall (a) not sell, license, loan, donate or otherwise transfer or make available any Product to any third party, whether alone or in combination with other materials, or use the Products to manufacture any commercial products, (b) not copy, modify, reverse engineer, decompile, disassemble or otherwise attempt to discover the underlying structure or technology of the Products, or use the Products for the purpose of developing any products or services that would compete with CST products or services, (c) not alter or remove from the Products any trademarks, trade names, logos, patent or copyright notices or markings, (d) use the Products solely in accordance with CST Product Terms of Sale and any applicable documentation, and (e) comply with any license, terms of service or similar agreement with respect to any third party products or services used by Customer in connection with the Products.

Orders: 877-616-CELL (2355) [email protected] Support: 877-678-TECH (8324) [email protected] Web: cellsignal.com
For Research Use Only. Not for Use in Diagnostic Procedures.

Revision 1

Cell Signaling Technology Logo
Western blot analysis of extracts from various cell lines and tissues using CRMP-2 (D8L6V) Rabbit mAb (upper) and β-Actin (D6A8) Rabbit mAb #8457 (lower).
Western Blotting Image 1: CRMP-2 (D8L6V) Rabbit Monoclonal Antibody
Immunoprecipitation of CRMP-2 from SH-SY5Y extracts. Lane 1 is 10% input, lane 2 is Rabbit (DA1E) mAb IgG XP® Isotype Control #3900, and lane 3 is CRMP-2 (D8L6V) Rabbit mAb. Western blot analysis was performed using CRMP-2 (D8L6V) Rabbit mAb.
Immunoprecipitation Image 1: CRMP-2 (D8L6V) Rabbit Monoclonal Antibody
Immunohistochemical analysis of paraffin-embedded human ductal breast carcinoma using CRMP-2 (D8L6V) Rabbit mAb (left) compared to concentration-matched Rabbit (DA1E) mAb IgG XP® Isotype Control #3900 (right).
Immunohistochemistry Image 1: CRMP-2 (D8L6V) Rabbit Monoclonal Antibody
Orders: 877-616-CELL (2355) [email protected] Support: 877-678-TECH (8324) [email protected] Web: cellsignal.com
For Research Use Only. Not for Use in Diagnostic Procedures.

Revision 1

Cell Signaling Technology Logo
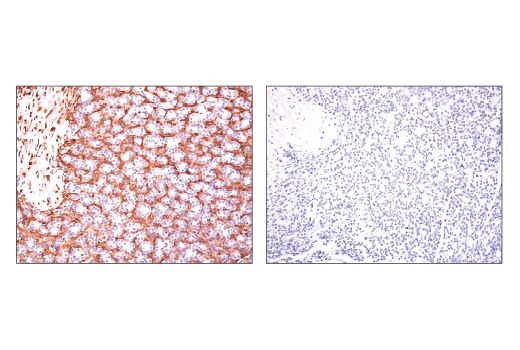
Immunohistochemical analysis of paraffin-embedded SH-SY5Y cell pellet (left, positive) or NCI-H522 cell pellet (right, negative) using CRMP-2 (D8L6V) Rabbit mAb.
Immunohistochemistry Image 2: CRMP-2 (D8L6V) Rabbit Monoclonal Antibody
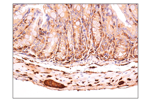
Immunohistochemical analysis of paraffin-embedded mouse colon using CRMP-2 (D8L6V) Rabbit mAb.
Immunohistochemistry Image 3: CRMP-2 (D8L6V) Rabbit Monoclonal Antibody
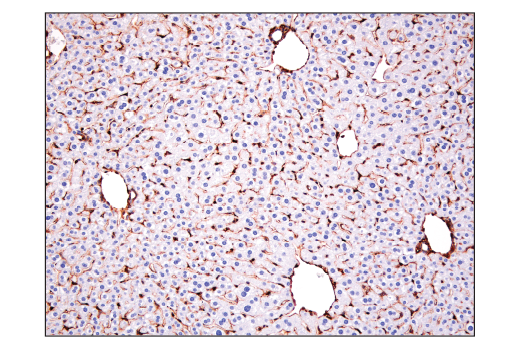
Immunohistochemical analysis of paraffin-embedded mouse liver using CRMP-2 (D8L6V) Rabbit mAb.
Immunohistochemistry Image 4: CRMP-2 (D8L6V) Rabbit Monoclonal Antibody
Orders: 877-616-CELL (2355) [email protected] Support: 877-678-TECH (8324) [email protected] Web: cellsignal.com
For Research Use Only. Not for Use in Diagnostic Procedures.

Revision 1

Cell Signaling Technology Logo
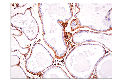
Immunohistochemical analysis of paraffin-embedded mouse prostate using CRMP-2 (D8L6V) Rabbit mAb.
Immunohistochemistry Image 5: CRMP-2 (D8L6V) Rabbit Monoclonal Antibody
Confocal immunofluorescent analysis of SH-SY5Y (left) and NCI-H522 (right) cells using CRMP-2 (D8L6V) Rabbit mAb (green). Actin filaments have been labeled with DyLight™ 554 Phalloidin #13054 (red). Blue pseudocolor = DRAQ5® #4084 (fluorescent DNA dye).
Immunofluorescence Image 1: CRMP-2 (D8L6V) Rabbit Monoclonal Antibody
Orders: 877-616-CELL (2355) [email protected] Support: 877-678-TECH (8324) [email protected] Web: cellsignal.com
For Research Use Only. Not for Use in Diagnostic Procedures.