Revision 4

#28601

Store at -20C

CST Logo
Orders:

877-616-CELL (2355)

[email protected]

Support:

877-678-TECH (8324)

3 Trask Lane | Danvers | Massachusetts | 01923 | USA

For Research Use Only. Not for Use in Diagnostic Procedures.

Applications:
W, IHC-P, IF-IC

Reactivity:
H M R

Sensitivity:
Endogenous

MW (kDa):
20

Source/Isotype:
Rabbit IgG

UniProt ID:
#Q16527

Entrez-Gene Id:
1466

Product Usage Information

Application Dilution
Western Blotting 1:1000
Immunohistochemistry (Paraffin) 1:200 - 1:800
Immunofluorescence (Immunocytochemistry) 1:100 - 1:400

Storage

Supplied in 10 mM sodium HEPES (pH 7.5), 150 mM NaCl, 100 µg/ml BSA, 50% glycerol and less than 0.02% sodium azide. Store at –20°C. Do not aliquot the antibody.

Specificity/Sensitivity

CRP2 (E8R5N) Rabbit Monoclonal Antibody recognizes endogenous levels of total CRP2 protein.

Source / Purification

Monoclonal antibody is produced by immunizing animals with a synthetic peptide corresponding to residues surrounding Leu88 of human CRP2 protein.

Background

CRP2 is a LIM domain containing protein that is expressed from the CSRP2 gene. It was first described to be a differentially regulated and preferentially expressed protein in aortic smooth muscle cells (1). It plays a role in development of the vasculature in embryogenesis (2). It was also established that CRP2 is expressed exclusively in stellate cells in the liver, being absent from hepatocytes, sinusoidal endothelial cells, and Kupffer cells. Upregulation of CRP2 was observed to occur upon early activation in the myofibroblastic program of stellate cells, and is now thought to be involved in the development of liver fibrosis (3).

More recently, CRP2 has been shown to be an invadopodia actin bundling protein. Invadopodia are actin-rich membrane protrusions that direct extracellular matrix degradation that are believed to facilitate tumor cell invasion. CRP2 has been shown to be upregulated in breast tumors (4), and in B-cell acute lymphoblastic leukemia high CRP2 expression has been associated with poor outcome (5). The proximal promoter of the CSRP2 gene has been shown to possess two hypoxia responsive elements that are targeted by HIF-1α. A model now is proposed whereby the CSRP2 gene is a direct target of HIF-1 which facilitates hypoxia-induced breast cancer cell invasion through increased invadopodia formation (6).

Species Reactivity

Species reactivity is determined by testing in at least one approved application (e.g., western blot).

Western Blot Buffer

IMPORTANT: For western blots, incubate membrane with diluted primary antibody in 5% w/v BSA, 1X TBS, 0.1% Tween® 20 at 4°C with gentle shaking, overnight.

Applications Key

W: Western Blotting IHC-P: Immunohistochemistry (Paraffin) IF-IC: Immunofluorescence (Immunocytochemistry)

Cross-Reactivity Key

H: Human M: Mouse R: Rat

Trademarks and Patents

Cell Signaling Technology is a trademark of Cell Signaling Technology, Inc.

SignalStain is a registered trademark of Cell Signaling Technology, Inc.

All other trademarks are the property of their respective owners. Visit cellsignal.com/trademarks for more information.

Limited Uses

Except as otherwise expressly agreed in a writing signed by a legally authorized representative of CST, the following terms apply to Products provided by CST, its affiliates or its distributors. Any Customer's terms and conditions that are in addition to, or different from, those contained herein, unless separately accepted in writing by a legally authorized representative of CST, are rejected and are of no force or effect.

Products are labeled with For Research Use Only or a similar labeling statement and have not been approved, cleared, or licensed by the FDA or other regulatory foreign or domestic entity, for any purpose. Customer shall not use any Product for any diagnostic or therapeutic purpose, or otherwise in any manner that conflicts with its labeling statement. Products sold or licensed by CST are provided for Customer as the end-user and solely for research and development uses. Any use of Product for diagnostic, prophylactic or therapeutic purposes, or any purchase of Product for resale (alone or as a component) or other commercial purpose, requires a separate license from CST. Customer shall (a) not sell, license, loan, donate or otherwise transfer or make available any Product to any third party, whether alone or in combination with other materials, or use the Products to manufacture any commercial products, (b) not copy, modify, reverse engineer, decompile, disassemble or otherwise attempt to discover the underlying structure or technology of the Products, or use the Products for the purpose of developing any products or services that would compete with CST products or services, (c) not alter or remove from the Products any trademarks, trade names, logos, patent or copyright notices or markings, (d) use the Products solely in accordance with CST Product Terms of Sale and any applicable documentation, and (e) comply with any license, terms of service or similar agreement with respect to any third party products or services used by Customer in connection with the Products.

Orders: 877-616-CELL (2355) [email protected] Support: 877-678-TECH (8324) [email protected] Web: cellsignal.com
For Research Use Only. Not for Use in Diagnostic Procedures.

Revision 4

Cell Signaling Technology Logo
Western blot analysis of extracts from T-47D and RD cells using CRP2 (E8R5N) Rabbit mAb (upper) and β-Actin (D6A8) Rabbit mAb #8457 (lower). The differential in CRP2 expression between T-47D and RD cells is consistent with their reported molecular expression profiles (www.depmap.org), confirming specificity of the antibody for CRP2 protein.
Western Blotting Image 1: CRP2 (E8R5N) Rabbit Monoclonal Antibody
Immunohistochemical analysis of paraffin-embedded human colon carcinoma using CRP2 (E8R5N) Rabbit mAb.
Immunohistochemistry Image 1: CRP2 (E8R5N) Rabbit Monoclonal Antibody
Immunohistochemical analysis of paraffin-embedded human urothelial carcinoma using CRP2 (E8R5N) Rabbit mAb.
Immunohistochemistry Image 2: CRP2 (E8R5N) Rabbit Monoclonal Antibody
Orders: 877-616-CELL (2355) [email protected] Support: 877-678-TECH (8324) [email protected] Web: cellsignal.com
For Research Use Only. Not for Use in Diagnostic Procedures.

Revision 4

Cell Signaling Technology Logo
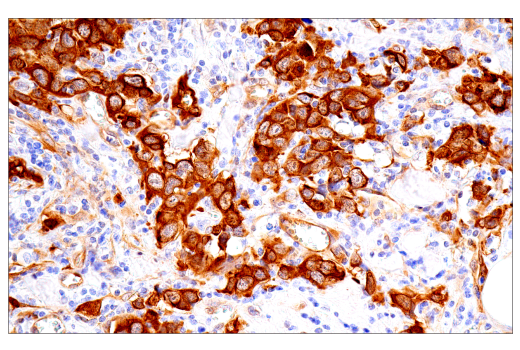
Immunohistochemical analysis of paraffin-embedded human neuroendocrine lung carcinoma using CRP2 (E8R5N) Rabbit mAb.
Immunohistochemistry Image 3: CRP2 (E8R5N) Rabbit Monoclonal Antibody
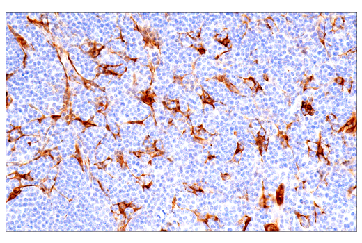
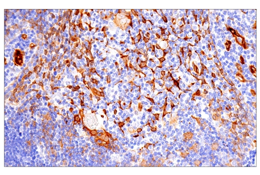
Immunohistochemical analysis of paraffin-embedded human B-cell non-Hodgkin lymphoma using CRP2 (E8R5N) Rabbit mAb.
Immunohistochemistry Image 4: CRP2 (E8R5N) Rabbit Monoclonal Antibody
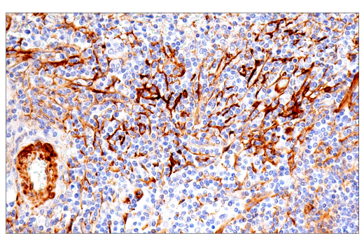
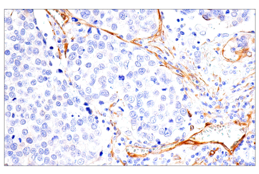
Immunohistochemical analysis of paraffin-embedded human ovarian serous carcinoma using CRP2 (E8R5N) Rabbit mAb.
Immunohistochemistry Image 5: CRP2 (E8R5N) Rabbit Monoclonal Antibody
Orders: 877-616-CELL (2355) [email protected] Support: 877-678-TECH (8324) [email protected] Web: cellsignal.com
For Research Use Only. Not for Use in Diagnostic Procedures.

Revision 4

Cell Signaling Technology Logo
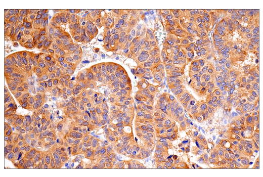
Immunohistochemical analysis of paraffin-embedded human prostate carcinoma using CRP2 (E8R5N) Rabbit mAb.
Immunohistochemistry Image 6: CRP2 (E8R5N) Rabbit Monoclonal Antibody
Immunohistochemical analysis of paraffin-embedded normal human thymus using CRP2 (E8R5N) Rabbit mAb.
Immunohistochemistry Image 7: CRP2 (E8R5N) Rabbit Monoclonal Antibody
Immunohistochemical analysis of paraffin-embedded normal human spleen using CRP2 (E8R5N) Rabbit mAb.
Immunohistochemistry Image 8: CRP2 (E8R5N) Rabbit Monoclonal Antibody
Orders: 877-616-CELL (2355) [email protected] Support: 877-678-TECH (8324) [email protected] Web: cellsignal.com
For Research Use Only. Not for Use in Diagnostic Procedures.

Revision 4

Cell Signaling Technology Logo
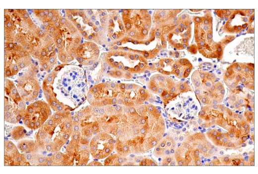
Immunohistochemical analysis of paraffin-embedded mouse kidney using CRP2 (E8R5N) Rabbit mAb.
Immunohistochemistry Image 9: CRP2 (E8R5N) Rabbit Monoclonal Antibody
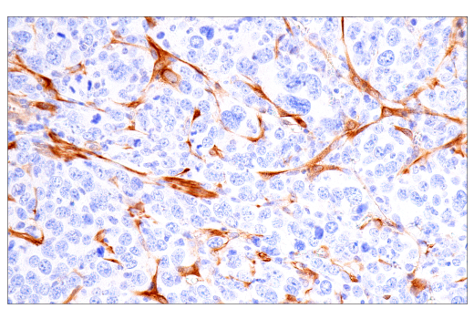
Immunohistochemical analysis of paraffin-embedded Renca syngeneic tumor using CRP2 (E8R5N) Rabbit mAb.
Immunohistochemistry Image 10: CRP2 (E8R5N) Rabbit Monoclonal Antibody
Immunohistochemical analysis of paraffin-embedded human gastrointestinal stromal tumor using CRP2 (E8R5N) Rabbit mAb (left) compared to concentration-matched Rabbit (DA1E) mAb IgG XP® Isotype Control #3900 (right).
Immunohistochemistry Image 11: CRP2 (E8R5N) Rabbit Monoclonal Antibody
Orders: 877-616-CELL (2355) [email protected] Support: 877-678-TECH (8324) [email protected] Web: cellsignal.com
For Research Use Only. Not for Use in Diagnostic Procedures.

Revision 4

Cell Signaling Technology Logo
Immunohistochemical analysis of paraffin-embedded RD cell pellet (left, positive) or T-47D cell pellet (right, negative) using CRP2 (E8R5N) Rabbit mAb.
Immunohistochemistry Image 12: CRP2 (E8R5N) Rabbit Monoclonal Antibody
Confocal immunofluorescent analysis of RD cells (left, positive) and T-47D cells (right, negative) using CRP2 (E8R5N) Rabbit mAb (green), DyLight™ 554 Phalloidin #13054 (red), and DAPI #4083 (blue).
Immunofluorescence Image 1: CRP2 (E8R5N) Rabbit Monoclonal Antibody
Orders: 877-616-CELL (2355) [email protected] Support: 877-678-TECH (8324) [email protected] Web: cellsignal.com
For Research Use Only. Not for Use in Diagnostic Procedures.