Revision 1

#59333

Store at -20C

CST Logo
Orders:

877-616-CELL (2355)

[email protected]

Support:

877-678-TECH (8324)

3 Trask Lane | Danvers | Massachusetts | 01923 | USA

For Research Use Only. Not for Use in Diagnostic Procedures.

Applications:
W, IHC-P

Reactivity:
H M R

Sensitivity:
Endogenous

MW (kDa):
60-80

Source/Isotype:
Rabbit IgG

UniProt ID:
#Q64735

Entrez-Gene Id:
12946

Product Usage Information

Application Dilution
Western Blotting 1:1000
Immunohistochemistry (Paraffin) 1:800 - 1:3200

Storage

Supplied in 10 mM sodium HEPES (pH 7.5), 150 mM NaCl, 100 µg/ml BSA, 50% glycerol and less than 0.02% sodium azide. Store at –20°C. Do not aliquot the antibody.

Specificity/Sensitivity

Crry (E9F1S) Rabbit Monoclonal Antibody recognizes endogenous levels of total Crry protein. This antibody cross-reacts with unidentified proteins between 25-30 kDa in some cell extracts. This antibody is not recommended for immunohistochemical analysis of human tissues.

Source / Purification

Monoclonal antibody is produced by immunizing animals with recombinant protein specific to the amino terminus of mouse Crry protein.

Background

Crry, also known as complement component receptor 1-like protein (Cr1l), is a murine membrane-bound complement regulatory protein ubiquitously expressed in mouse tissues (1,2). Crry is a functional analog of the human complement decay-accelerating factor (DAF/CD55) and membrane cofactor protein (MCP/CD46) (3). In mice, Crry acts as a cofactor for complement factor I, a serine protease which protects autologous cells against complement-mediated injury by cleaving C3b and C4b deposited on host tissues (4,5). Crry also acts as a decay-accelerating factor, preventing the formation of C4b2a and C3bBb, which are amplification convertases of the complement cascade (3,6). Crry plays a crucial role in early embryonic development by maintaining fetomaternal tolerance (7). On CD4+ T cells, Crry acts as a costimulatory factor which favors IL-4 rather than IFN-gamma secretion, suggesting Th2 polarization (8). Cancer cells and cells of the tumor microenvironment have been shown to overexpress Crry, suppressing tumor-specific T cell responses and complement-mediated anti-tumor immunity (9,10). Multiple isoforms have been identified computationally.

Species Reactivity

Species reactivity is determined by testing in at least one approved application (e.g., western blot).

Western Blot Buffer

IMPORTANT: For western blots, incubate membrane with diluted primary antibody in 5% w/v BSA, 1X TBS, 0.1% Tween® 20 at 4°C with gentle shaking, overnight.

Applications Key

W: Western Blotting IHC-P: Immunohistochemistry (Paraffin)

Cross-Reactivity Key

H: Human M: Mouse R: Rat

Trademarks and Patents

Cell Signaling Technology is a trademark of Cell Signaling Technology, Inc.

SignalStain is a registered trademark of Cell Signaling Technology, Inc.

All other trademarks are the property of their respective owners. Visit cellsignal.com/trademarks for more information.

Limited Uses

Except as otherwise expressly agreed in a writing signed by a legally authorized representative of CST, the following terms apply to Products provided by CST, its affiliates or its distributors. Any Customer's terms and conditions that are in addition to, or different from, those contained herein, unless separately accepted in writing by a legally authorized representative of CST, are rejected and are of no force or effect.

Products are labeled with For Research Use Only or a similar labeling statement and have not been approved, cleared, or licensed by the FDA or other regulatory foreign or domestic entity, for any purpose. Customer shall not use any Product for any diagnostic or therapeutic purpose, or otherwise in any manner that conflicts with its labeling statement. Products sold or licensed by CST are provided for Customer as the end-user and solely for research and development uses. Any use of Product for diagnostic, prophylactic or therapeutic purposes, or any purchase of Product for resale (alone or as a component) or other commercial purpose, requires a separate license from CST. Customer shall (a) not sell, license, loan, donate or otherwise transfer or make available any Product to any third party, whether alone or in combination with other materials, or use the Products to manufacture any commercial products, (b) not copy, modify, reverse engineer, decompile, disassemble or otherwise attempt to discover the underlying structure or technology of the Products, or use the Products for the purpose of developing any products or services that would compete with CST products or services, (c) not alter or remove from the Products any trademarks, trade names, logos, patent or copyright notices or markings, (d) use the Products solely in accordance with CST Product Terms of Sale and any applicable documentation, and (e) comply with any license, terms of service or similar agreement with respect to any third party products or services used by Customer in connection with the Products.

Orders: 877-616-CELL (2355) [email protected] Support: 877-678-TECH (8324) [email protected] Web: cellsignal.com
For Research Use Only. Not for Use in Diagnostic Procedures.

Revision 1

Cell Signaling Technology Logo
Western blot analysis of extracts from various mouse cell lines using Crry (E9F1S) Rabbit mAb (upper) and β-Actin (D6A8) Rabbit mAb #8457 (lower).
Western Blotting Image 1: Crry (E9F1S) Rabbit Monoclonal Antibody
Immunohistochemical analysis of paraffin-embedded normal mouse pancreas using Crry (E9F1S) Rabbit mAb.
Immunohistochemistry Image 1: Crry (E9F1S) Rabbit Monoclonal Antibody
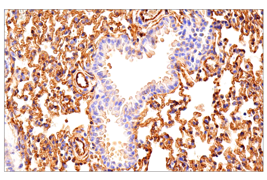
Immunohistochemical analysis of paraffin-embedded normal mouse lung using Crry (E9F1S) Rabbit mAb.
Immunohistochemistry Image 2: Crry (E9F1S) Rabbit Monoclonal Antibody
Orders: 877-616-CELL (2355) [email protected] Support: 877-678-TECH (8324) [email protected] Web: cellsignal.com
For Research Use Only. Not for Use in Diagnostic Procedures.

Revision 1

Cell Signaling Technology Logo
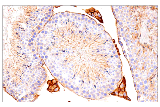
Immunohistochemical analysis of paraffin-embedded normal mouse testis using Crry (E9F1S) Rabbit mAb.
Immunohistochemistry Image 3: Crry (E9F1S) Rabbit Monoclonal Antibody
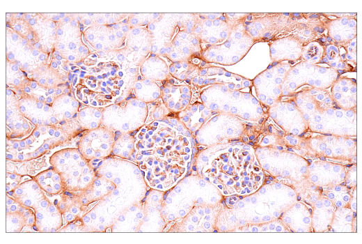
Immunohistochemical analysis of paraffin-embedded normal mouse kidney using Crry (E9F1S) Rabbit mAb.
Immunohistochemistry Image 4: Crry (E9F1S) Rabbit Monoclonal Antibody
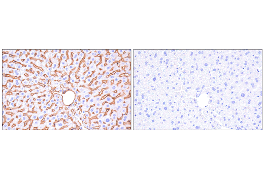
Immunohistochemical analysis of paraffin-embedded normal mouse liver using Crry (E9F1S) Rabbit mAb (left) compared to concentration-matched Rabbit (DA1E) mAb IgG XP® Isotype Control #3900 (right).
Immunohistochemistry Image 5: Crry (E9F1S) Rabbit Monoclonal Antibody
Orders: 877-616-CELL (2355) [email protected] Support: 877-678-TECH (8324) [email protected] Web: cellsignal.com
For Research Use Only. Not for Use in Diagnostic Procedures.

Revision 1

Cell Signaling Technology Logo
Immunohistochemical analysis of paraffin-embedded CTLL-2 cell pellet (left, high-expressing) or MEF cell pellet (right, low-expressing) using Crry (E9F1S) Rabbit mAb.
Immunohistochemistry Image 6: Crry (E9F1S) Rabbit Monoclonal Antibody
Immunohistochemical analysis of paraffin-embedded 293T cell pellet, untransfected (left) or mouse Crry-transfected (right), using Crry (E9F1S) Rabbit mAb.
Immunohistochemistry Image 7: Crry (E9F1S) Rabbit Monoclonal Antibody
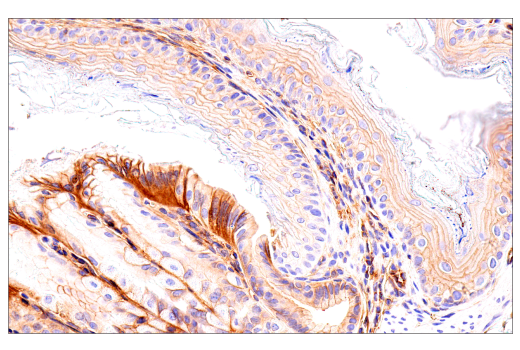
Immunohistochemical analysis of paraffin-embedded normal mouse forestomach using Crry (E9F1S) Rabbit mAb.
Immunohistochemistry Image 8: Crry (E9F1S) Rabbit Monoclonal Antibody
Orders: 877-616-CELL (2355) [email protected] Support: 877-678-TECH (8324) [email protected] Web: cellsignal.com
For Research Use Only. Not for Use in Diagnostic Procedures.